¡Hola! Si estás leyendo esto, es probable que tú (o alguien cercano) tenga un diente partido por la mitad y estés preocupado. Como odontólogo con años de experiencia, sé lo alarmante que puede ser este momento. He visto muchos casos de dientes rotos, y la buena noticia es que casi siempre hay solución. En este artículo te explicaré de forma clara qué hacer si se te parte un diente, cuáles son las causas y consecuencias más comunes, y qué tratamientos existen para salvarlo (o reemplazarlo si no queda otra opción). Una muela rota al ras de la encía es un problema que no debe tomarse a la ligera. Aunque puede parecer un simple inconveniente, las consecuencias de ignorarlo pueden ser graves.
¿Qué hacer si se parte un Diente?😬 | Diente Roto | Fractura dental
Tener un diente partido por la mitad es, básicamente, sufrir una fractura dental severa. Puede ocurrir en cualquier pieza (un incisivo frontal, un colmillo o una muela) y suele implicar que una parte notable del diente se ha quebrado o desprendido. A veces es una fisura visible que divide el diente en dos secciones; otras veces, el diente puede seguir en su sitio pero con una grieta que lo atraviesa verticalmente.

Tipos de Fracturas Dentales
- Diente astillado o fisurado: Es la forma más leve. Solo una pequeña porción del esmalte se ha rajado o saltado. Podrías notar el borde del diente áspero o cortante, pero no ves un trozo grande separado.
- Fractura parcial de la corona: Aquí sí se ha caído un trozo del diente. Por ejemplo, se desprende una esquina o una parte de la cara visible. Notarás que “falta un pedazo” y podrías encontrar el fragmento. Sueles sentir sensibilidad al frío o calor porque la fractura puede exponer la dentina (la capa interna bajo el esmalte).
- Diente partido por la mitad (fractura grave): Es cuando al menos la mitad del diente se ha fracturado. Puede abarcar la corona entera e incluso extenderse hacia la raíz. A veces, el diente queda dividido en dos partes claramente separadas. Los síntomas típicos de un diente roto de esta magnitud incluyen dolor agudo (especialmente al morder), sensibilidad extrema si la fractura llega cerca del nervio, sangrado de encía alrededor del diente y a veces movilidad de la parte fracturada.
- Fractura radicular o “diente partido por dentro”: Aquí la grieta nace en la raíz debajo de la encía y sube hacia la corona. Es engañosa porque quizá no veas gran cosa externamente. Podrías tener dolor intermitente al masticar o sensibilidad, pero cuesta identificar cuál diente duele. Si la fractura de raíz alcanza la corona, en algún momento el diente puede partirse completamente.
- Avulsión (diente fuera de su sitio): Lo menciono por claridad. No es exactamente “partido por la mitad”, sino que el diente entero salió de su alveolo por el golpe. En estos casos, el diente ya no está en la boca.
En resumen, un diente fracturado puede ir desde una pequeña grieta hasta partirse en dos mitades. Cuanto más profunda y extensa la fractura, más grave es la situación. Pero incluso un diente partido en dos muchas veces se puede arreglar si actuamos a tiempo.
Causas Comunes de una Muela Rota al Nivel de la Encía
Las muelas, aunque están diseñadas para soportar una gran cantidad de presión al masticar, no son indestructibles. Hay varias razones por las que una muela puede romperse al nivel de la encía.
- Traumatismos o golpes: La razón número uno. Un accidente de coche, una caída, un balonazo jugando fútbol o básquet, o incluso una pelea, pueden causar un impacto directo en la boca. Los traumatismos deportivos son especialmente comunes; de hecho, el Consejo General de Dentistas de España advierte que muchos traumatismos dentales ocurren practicando deporte de contacto, y recomienda usar protector bucal. Un golpe fuerte puede fracturar el diente o incluso sacarlo completo.
- Caries avanzadas: Cuando una caries no se trata a tiempo, puede debilitar significativamente la estructura de la muela. Cuando una caries no se trata a tiempo, puede debilitar significativamente la estructura de la muela. Esto provoca que, con el tiempo, se fracture o se rompa completamente.
- Morder objetos duros: ¿Te suena eso de partir nueces con los dientes? ¿O masticar hielo, huesos, caramelos muy duros o abrir cosas con la boca? Son hábitos muy arriesgados. Una presión excesiva al morder algo duro puede ocasionar desde un diente astillado hasta partirlo en dos.
- Bruxismo (rechinar o apretar los dientes): El hábito de rechinar los dientes por la noche o apretar la mandíbula constantemente desgasta y fisura las piezas dentales. Con el tiempo, el bruxismo genera pequeñas grietas en el esmalte y microfracturas. Si no se usa una férula de descarga y el hábito continúa, esas fisuras pueden propagarse.
- Tratamientos dentales que no se mantienen adecuadamente: Los tratamientos dentales que no se mantienen adecuadamente pueden debilitar la estructura de una muela. Irónicamente, dientes que ya tuvieron tratamientos también pueden romperse más fácil. Si tienes una restauración muy grande (un empaste amplio) en una muela, esa pieza es más propensa a fracturarse por el tamaño de la cavidad. Lo mismo va para dientes endodonciados (con el nervio tratado): después de una endodoncia el diente queda más frágil y casi siempre recomendamos cubrirlo con una corona.
- Mordida desalineada (maloclusión): Cuando la mordida no encaja bien, ciertos dientes reciben más carga de la debida. Esa distribución desigual de fuerzas al masticar puede ir fisurando piezas puntualmente. No es la causa más común, pero influye.
- Desgaste y edad: A medida que envejecemos, los dientes sufren un desgaste acumulativo. Con los años, nuestros dientes pasan por mucho. El esmalte puede tener pequeñas grietas por cambios térmicos (tomar cosas muy calientes y luego muy frías) o por el simple desgaste diario.
En mi experiencia, la combinación de factores es común. Por ejemplo: una muela con un gran empaste y además el paciente aprieta los dientes - ese combo tarde o temprano puede acabar en fractura. La buena noticia es que con buenos hábitos (protector bucal, evitar morder hielo, tratar caries) se pueden prevenir muchas fracturas.
Qué Hacer Inmediatamente Si Se Te Parte un Diente
Lo primero que te voy a pedir es calma. Sé que ver un diente roto asusta (¡y duele!), pero mantener la cabeza fría te ayudará a salvar esa pieza.
- Conserva cualquier fragmento del diente: Si se te ha caído un trozo, búscalo y recupéralo. Ese pedazo podría ser pegado de nuevo por el odontólogo si se maneja adecuadamente. ¿Cómo guardarlo? Lo ideal es mantenerlo húmedo para que las células no se sequen. Lo mejor es sumergir el fragmento en un vasito de leche fría (la leche entera preserva bien las células del diente). Si no tienes leche a mano, puedes mantenerlo en tu propia saliva: por ejemplo, coloca el fragmento dentro de tu boca, entre la mejilla y las encías (¡cuidado de no tragarlo!). Otra opción es usar suero fisiológico si tienes un botiquín cerca. Evita el agua del grifo como medio, úsala solo de último recurso - el cloro y otras sustancias del agua corriente pueden dañar el tejido dental.
- Enjuaga tu boca cuidadosamente: Enjuágate con agua tibia para limpiar la zona. Esto elimina restos de sangre, fragmentos sueltos o suciedad del accidente. Si puedes, haz un enjuague suave con agua salada (una cucharadita de sal en un vaso de agua tibia) para ayudar a desinfectar. No uses enjuagues fuertes con alcohol en este momento, podría irritar más.
- Controla el sangrado (si lo hay): Es común que un diente roto sangre por la encía cercana. Toma una gasa estéril o un pañuelo limpio, colócalo sobre la zona que sangra y haz presión suave pero firme durante unos minutos. Eso suele detener el sangrado de encías menores.
- Aplica frío en la cara: Pon una compresa fría o bolsa de hielo envuelta en paño sobre la mejilla, justo afuera de la zona afectada. El frío reduce la inflamación y adormece un poco el área para disminuir el dolor.
- Evita masticar o tocar el diente: Trata ese diente con mucha delicadeza. No lo toquetees con la lengua o los dedos, eso puede moverlo más si está inestable o causar más dolor. Por supuesto, no trates de “pegar” el trozo por tu cuenta con pegamentos caseros (he visto pacientes intentar pegar un diente con superglue - ¡por favor no hagas eso!).
- Si el nervio quedó expuesto, protégelo: A veces al partirse el diente, ves un puntito rojo en el centro de la cavidad: es la pulpa (el nervio) expuesto. Esto duele mucho y es una puerta abierta a infección. Si sospechas que la fractura dejó al nervio al aire (por el dolor intenso o porque lo ves), cúbrelo temporalmente hasta que te atienda el dentista. Puedes usar un material de obturación temporal que venden en farmacias (son unos cementos dentales provisionales) siguiendo las instrucciones. Si no consigues, coloca un poco de cera dental (por ejemplo, cera de ortodoncia) encima de la zona rota a modo de parche protector. Incluso mascar un chicle sin azúcar y pegar el chicle sobre el diente roto sirve de emergencia para tapar el agujero y proteger la pulpa unas horas.
- Toma un analgésico si el dolor es muy fuerte: Medicamentos de venta libre como ibuprofeno o paracetamol pueden ayudar a controlar el dolor y la inflamación ligera. Siempre que no tengas alergias y siguiendo las dosis recomendadas en el prospecto, un analgésico te dará alivio camino al dentista.
- Llama a tu dentista de inmediato (urgencia dental): No dejes pasar el tiempo. Contacta cuanto antes una clínica dental de urgencias y explícales lo ocurrido: “Se me partió un diente por la mitad, tengo el fragmento conmigo (o no lo tengo), fue por un golpe/hace X horas”. Este paso es crucial. Un diente fracturado no es algo que deba esperar días, porque existe riesgo de infección en la pulpa que puede extenderse a la encía y hueso. Idealmente, deberías ver al odontólogo en las primeras 24 horas (o inmediatamente si es posible). Cuanto más pronto llegues, mayores son las chances de salvar el diente y menor el dolor o complicación.
La actuación inmediata ante un diente roto marca la diferencia. Mantén la calma, rescata el fragmento, limpia y protege la zona, y acude al dentista lo antes posible. Estos primeros auxilios ayudarán a que el posterior tratamiento sea más sencillo y exitoso.
Opciones de Tratamiento para un Diente Roto
Cuando llegues al consultorio dental, lo primero que haré (o hará cualquier odontólogo) es evaluar la gravedad de la fractura con examen clínico y, normalmente, una radiografía. Esto nos permite ver si la raíz está afectada y hasta dónde llega la rotura. La meta principal será siempre salvar tu diente natural si existe posibilidad.
Tratamiento para Fracturas Leves
Si solo se ha astillado una parte del esmalte o se desprendió un fragmento pequeño, la solución suele ser sencilla y mínimamente invasiva. En estos casos no hace falta anestesia muchas veces.
- Adhesión del fragmento: Si todavía tienes el trozo de diente y está en buen estado, a veces podemos pegarlo de nuevo. Se limpia el fragmento y el diente, y con un material adhesivo especial (resinas compuestas) se adhiere el pedazo en su sitio original. Esto solo se logra si la fractura encaja perfectamente y el fragmento no está contaminado ni han pasado muchas horas; por eso insistimos en conservarlo en leche o saliva.
- Reconstrucción con composite: Si no se puede reinsertar el pedazo (porque se perdió, se astilló en micro pedazos, o simplemente la unión no “pega”), entonces reconstruimos la parte faltante con un material de resina composite. El composite es una especie de “empaste blanco” del color del diente que moldeo para reponer la forma original de la zona rota. Primero preparo la superficie, aplico un adhesivo, y luego voy colocando capas de resina hasta darle la anatomía correcta. Finalmente se pule para que quede liso.
- Limado y pulido: En algunos casos de fisuras muy finas en el esmalte sin pérdida de estructura, basta con un limado y pulido de la zona. Pasar una fresa para alisar el borde quebrado y quitar la grieta superficial. Esto elimina filos cortantes y previene que la fisura se profundice.
Este tipo de tratamiento es rápido. En una sola cita saldrás con tu diente reparado. No duele (o las molestias son mínimas) y la pieza recupera su estética y función casi al 100%.
Tratamiento para Fracturas Moderadas
Aquí hablamos de un diente que perdió una porción considerable, pero el nervio dental no quedó al descubierto. Puede doler por la cercanía a la pulpa y por la fractura en dentina, pero el pronóstico de salvar el diente es bueno.
- Adhesión del fragmento: Al igual que en las fracturas leves, si el paciente trae el pedazo de diente y encaja bien, la primera opción es intentar recolocar el fragmento con técnicas adhesivas. He logrado reponer mitades de dientes frontales con resultados sorprendentes, prácticamente como si no hubiera pasado nada, siempre que la unión esté limpia.
- Reconstrucción con composite: Si no hay fragmento disponible o no es viable pegarlo, entonces hacemos una reconstrucción directa. Con resina composite se restaura la zona faltante. En dientes anteriores, esto es similar a poner un empaste estético.
- Incrustación (inlay/onlay): Las incrustaciones son restauraciones a medida (de porcelana o composite hecho en laboratorio) que encajan en la parte faltante del diente. Piensa en ello como un “puzzle”: tomamos un molde o escaneo del diente roto y en laboratorio fabrican la pieza que falta. Luego la cementamos en tu diente. Es una solución intermedia entre un empaste y una corona. Se utiliza cuando la fractura es amplia pero queda suficiente diente sano alrededor. Las incrustaciones de porcelana/disilicato son muy resistentes y precisas, excelentes para muelas fracturadas donde no quieres cubrir todo el diente con una corona.
- Corona parcial o completa: Si la fractura abarca más de 1/2 de la corona, probablemente se necesite una corona dental. Una corona es una cubierta en forma de diente (puede ser de porcelana, cerámica, zirconio, metal-porcelana, etc.) que se coloca cubriendo lo que queda de tu diente natural, fortaleciéndolo. Para eso, primero reconstruimos cualquier base faltante y tallamos el diente, luego tomamos molde y en la siguiente cita cementamos la corona definitiva. Las coronas protegen contra futuras fracturas y devuelven la anatomía al 100%. Suelo indicarlas cuando la estructura remanente está débil o cuando un empaste grande no sería suficiente.
Un diente con fractura moderada sí tiene solución en prácticamente todos los casos mediante estos métodos. El diente queda funcional y estético. Es posible que necesites 1 o 2 visitas dependiendo si hacemos algo directo (una sola cita) o una corona/incrustación (dos citas normalmente). Lo importante: el nervio sigue vivo, así que si logramos sellar bien el diente y protegerlo, debería seguir sano.

Tratamiento para Fracturas que Afectan el Nervio
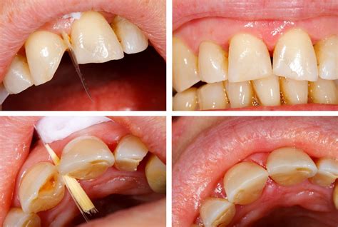
Si la línea de fractura alcanza la pulpa dental (es decir, el nervio del diente), el escenario cambia un poco. Sueles saber que este es el caso cuando el dolor es intenso y constante después del golpe, o si ves directamente el tejido rojizo del nervio en la fractura.
- Endodoncia: Consiste en remover la pulpa dañada del interior del diente. Es decir, limpiamos el espacio interno (los conductos radiculares) para eliminar el nervio que se expuso o se lesionó con la fractura. Se hace bajo anestesia local, así que no sentirás dolor durante el procedimiento. Con pequeñas limas y soluciones, se desinfectan bien los conductos y luego se sellan con un material de relleno.
Complicaciones de Ignorar una Muela Rota
Una muela rota no solo es un problema estético, sino que también puede desencadenar diversas complicaciones si no se atiende a tiempo.
- Infección: La fractura deja un espacio abierto para que las bacterias entren en el tejido interno de la muela y la raíz. Ignorar una muela rota puede llevar a infecciones, abscesos, pérdida de hueso en la mandíbula y otros problemas de salud oral.
- Problemas de Mordida: Una muela rota afecta la funcionalidad de la mordida, lo que puede dificultar la ingesta de ciertos alimentos.
- Pérdida de la Muela: Si la raíz o el hueso de soporte también están dañados, puede ser necesario extraer la muela. Si solo queda la raíz, es probable que el dentista evalúe si es posible colocar una corona o si es necesario extraerla.
Una muela no tiene arreglo cuando la caries o el daño afectan la raíz o el hueso de soporte de manera irreversible.
Extracción de una Muela Rota
La extracción de una muela rota requiere la intervención de un dentista. Dependiendo de la complejidad, puede realizarse con anestesia local o bajo sedación, y el procedimiento puede incluir la remoción quirúrgica de la raíz. Cuando una parte de la muela queda dentro de la encía, puede provocar inflamación, dolor o infecciones.
Preguntas Frecuentes
- ¿Siempre es necesario extraer una muela rota? No siempre es necesario extraerla. Si la grieta no afecta la raíz o el nervio, puede repararse con una corona o empaste.
- ¿Cuánto cuesta extraer una muela rota? El coste de extraer una muela rota depende de la complejidad del caso y del tratamiento requerido.
- ¿Qué debo hacer si se me parte un pedazo de muela? Si se te parte un pedazo de muela, enjuaga la boca con agua tibia, evita masticar por ese lado y acude al dentista lo antes posible.
- ¿Es doloroso extraer una muela rota? El nivel de dolor depende de cada persona y de la complejidad del procedimiento. La endodoncia suele ser menos dolorosa, ya que se realiza bajo anestesia y conserva el diente.