La caries dental es una de las enfermedades bucales más comunes tanto en adultos como en niños. Es una patología que afecta a la estructura de los dientes y, si no se trata a tiempo, puede derivar en problemas más graves como infecciones o la pérdida de piezas dentales.
Afortunadamente, la caries es prevenible mediante buenos hábitos de higiene dental y una dieta equilibrada. Descubre las causas y cómo prevenirlas tú también.

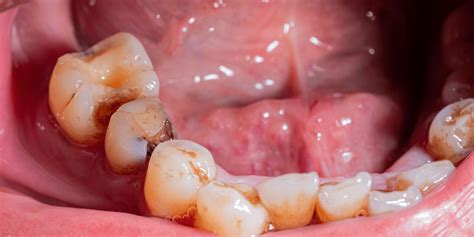
Fases de la Caries Dental
¿Qué es la Caries Dental?
La caries dental es una enfermedad infecciosa que se produce por la acumulación de placa bacteriana en los dientes. Esta placa se forma a partir de los restos de alimentos, especialmente aquellos ricos en azúcares y carbohidratos.
Las bacterias presentes en la boca descomponen estos alimentos, generando ácidos que atacan el esmalte dental y provocan la desmineralización del diente. Los verdaderos culpables de la caries son las bacterias que se encuentran en la placa. Obtienen su energía de los hidratos de carbono de los alimentos, prefieren el azúcar fácilmente fermentable, y convierten este azúcar en ácidos que desmineralizan nuestro esmalte dental.
Además, la caries puede ser contagiosa. Ya sea diente canino, muela del juicio o incluso diente de leche, la caries puede formarse en cualquier parte de nuestros dientes y suele desarrollarse cuando no nos cepillamos los dientes a fondo y con suficiente regularidad.
Característico de la caries -y al mismo tiempo el signo más llamativo- es el temido agujero en el diente, que, sin embargo, sólo se manifiesta en una fase avanzada.
La caries dental es una enfermedad que daña los tejidos duros del diente, como el esmalte y la dentina, debido a la acción de bacterias presentes en la placa dental.
Tipos de Caries
- Caries Interproximal: Este término se refiere a la caries que se forma entre los dientes; es decir, en las superficies de contacto de dos dientes adyacentes. Estas zonas son especialmente susceptibles porque a menudo se olvidan durante el cepillado.
- Caries Oclusal: Se trata de la caries que se forma en el diente, es decir, en las superficies masticatorias de los molares.
- Caries del Cuello: La caries dental del cuello se produce cuando los cuellos de los dientes están expuestos y se forma caries en ellos. Esto ocurre con más frecuencia en las personas mayores, que son más propensas a tener encías retraídas y cuellos dentales expuestos.
- Caries Secundaria: La caries secundaria describe la formación de caries en zonas que ya han sido tratadas. Así, esta nueva caries se desarrolla en la zona de empastes y coronas; también bajo un empaste o corona. Esta nueva formación de caries se denomina recidiva de caries y suele ser el resultado de un tratamiento inicial deficiente.

Atención Dental Profesional
Etapas de la Caries
Una caries nunca aparece de la noche a la mañana. La formación de caries es un proceso que, en el mejor de los casos, puede reconocerse y detenerse en una fase temprana. En realidad, la caries inicial es sólo una fase preliminar de la enfermedad, que luego se convierte en caries sin tratamiento.
- Caries Inicial: Suele manifestarse en forma de manchas blancas, marrones o transparentes en los dientes. Se desarrollan porque el esmalte dental ya ha sido atacado y las zonas afectadas ya se han desmineralizado. En esta fase, el diente ya ha sufrido más; sin embargo, al principio se trata "sólo" de una infestación superficial, en la que el esmalte está afectado.
- Afectación de la Dentina: Se denomina dentina al tejido que se encuentra bajo el esmalte dental. Este tejido es blando y, por tanto, más susceptible a la caries. En este caso, la caries ya ha atacado dos tercios del hueso del diente y ha penetrado en la pulpa.
- Afectación de la Pulpa: Esta capa más interna contiene los vasos sanguíneos y los nervios. La caries puede causar irritación e inflamación de la pulpa, lo que puede ser muy doloroso.
- Absceso Dental: Se trata de la forma más grave de caries; casi la fase final. Las bacterias destructoras han llegado a la pulpa y han creado una conexión entre la cavidad bucal y la cavidad del diente. Si la caries ya ha alcanzado la pulpa, puede desarrollarse una infección, que a su vez puede causar un absceso en la parte inferior del diente. Un absceso de este tipo es muy peligroso y debe tratarse inmediatamente. Si no se hace, la infección puede extenderse a los huesos maxilares y también a la cabeza y el cuello. Suele causar dolor. También puede haber inflamación de las encías, la cara o la mandíbula. La fiebre y la inflamación de los ganglios linfáticos también pueden ser signos de un absceso.
Factores de Riesgo de la Caries
Ya conoces los factores de riesgo más importantes de la caries dental: la placa y el sarro. Sin embargo, también hay otros factores que pueden favorecer el desarrollo de caries:
- Mala higiene dental.
- Consumo excesivo de azúcares.
- Bajo flujo de saliva.
- Esmalte dental débil.
- Embarazo.
Rutina Anti Caries ¿Cómo se lava los dientes un dentista en casa?
Prevención de la Caries en Adultos
Prevenir la caries dental en adultos requiere adoptar una serie de hábitos saludables que mantengan los dientes y encías en buen estado.
- Cepillado Correcto y Regular: El cepillado correcto y regular es clave para evitar la caries. Es importante cepillarse los dientes al menos dos veces al día, especialmente antes de acostarse. Además, el uso de hilo dental es esencial para limpiar las áreas entre los dientes donde el cepillo no puede llegar.
- Dieta Baja en Azúcares: Una dieta baja en azúcares es fundamental para prevenir la caries. Limita el consumo de alimentos azucarados, bebidas gaseosas y jugos industriales, ya que estos productos generan ácidos que dañan el esmalte.
- Revisiones Periódicas: Realizar revisiones periódicas con el dentista es fundamental para detectar problemas de manera temprana.
Prevención de la Caries en Niños
En los niños, es crucial inculcar buenos hábitos desde temprana edad para garantizar una salud bucal óptima.
- Es importante comenzar a limpiar las encías del bebé desde los primeros meses de vida utilizando una gasa húmeda.
- El uso prolongado del biberón, especialmente cuando contiene bebidas azucaradas o leche, puede provocar lo que se conoce como "caries del biberón".
- Los niños deben evitar el consumo excesivo de dulces y golosinas.
- Los selladores son recubrimientos protectores que los dentistas aplican en los molares y premolares de los niños para evitar que las bacterias se acumulen en los surcos de los dientes.

Caries Interproximales
Caries Silenciosas
No todas las caries duelen. De hecho, algunas pueden avanzar de forma silenciosa durante meses sin que el paciente lo note. Son las llamadas caries silenciosas, una de las causas más frecuentes de pérdida dental evitable.
Las caries silenciosas son lesiones provocadas por la desmineralización del esmalte dental debido a la acción de bacterias que no producen dolor ni molestias en sus fases iniciales. El problema es que, al no doler, el paciente no suele detectar nada hasta que el daño ya es avanzado.
El esmalte dental no tiene terminaciones nerviosas, por lo que una caries puede avanzar por esta capa sin generar dolor. Cuanto antes se detecte la caries, más conservador será el tratamiento. Las caries pueden formarse bajo restauraciones previas, entre dientes o incluso en raíces expuestas por retracción de encías.
Las caries silenciosas son un enemigo invisible, pero evitable. No esperes a tener dolor.
Mitos Comunes sobre las Caries
Cuando alguien tiene muchas caries, lo primero que suele decir es: «Es que yo tengo mala suerte» o «En mi familia siempre hemos tenido malos dientes.» Pero estas ideas no siempre son ciertas. Vamos a desmontar algunos de los mitos más habituales:
- «Es cuestión de suerte»: La suerte puede influir en muchas cosas, pero no es el factor clave en la aparición de caries. Lo que marca la diferencia son los hábitos diarios: cómo comes, cómo te cepillas, cómo cuidas la hidratación, cómo organizas tus comidas. Las personas que no tienen caries, en realidad, no son afortunadas, son constantes.
- «Es hereditario, no puedo hacer nada»: Es verdad que la genética influye, pero no es una condena. Puedes tener un esmalte más débil o una saliva menos protectora, pero eso no te impide mejorar tus hábitos y controlar otros factores que sí dependen de ti. La genética marca el punto de partida, pero tus decisiones diarias marcan el camino.
- «Si no me duele, no tengo caries»: Las caries no siempre duelen, sobre todo al principio. A veces están avanzando en silencio y cuando duelen… es que ya están bastante evolucionadas. Por eso es importante no confiarse y acudir al dentista de manera periódica, aunque creas que todo está bien.
- «Me cepillo mucho, así que no tendré caries»: Cepillarse es importante, claro. Pero lo fundamental es cómo te cepillas, no cuántas veces. Un cepillado agresivo o con mala técnica puede dañar las encías y desgastar el esmalte. Y si después picoteas todo el día o tomas refrescos continuamente, por mucho que te cepilles… las caries pueden aparecer.
Preguntas Frecuentes sobre las Caries
- ¿Es posible llegar a la edad adulta sin haber tenido nunca una caries? Sí. No es lo más común, pero algunas personas llegan a la edad adulta sin haber tenido caries. Normalmente, se debe a una combinación de genética favorable, buena calidad de la saliva, microbiota equilibrada y hábitos saludables mantenidos en el tiempo.
- ¿Influye la alimentación más allá del azúcar? Sí. Aunque el azúcar es el principal enemigo, también lo son los alimentos ultraprocesados y las bebidas ácidas. En cambio, una dieta rica en frutas, verduras y alimentos integrales favorece una microbiota oral más equilibrada y reduce el riesgo.
- ¿El estrés puede aumentar las caries? Indirectamente, sí. El estrés puede reducir la producción de saliva, favorecer el bruxismo (rechinar de dientes) y llevar a descuidar los hábitos de higiene. Todo ello incrementa la vulnerabilidad a las caries.
- ¿Los selladores dentales son solo para niños? No. Aunque se usan sobre todo en la infancia para proteger las muelas permanentes recién erupcionadas, en algunos adultos con fisuras profundas o riesgo alto de caries también pueden recomendarse.
- ¿El uso de probióticos puede ayudar a prevenir caries? La investigación está avanzando en este campo. Algunos probióticos específicos parecen favorecer un mejor equilibrio de la microbiota oral, pero no sustituyen al cepillado, al flúor ni a la dieta saludable.
- ¿Si no tengo caries, necesito revisiones dentales? Sí. No tener caries no significa que no puedan aparecer otros problemas, como desgaste, enfermedad de encías o alteraciones de la mordida. Las revisiones periódicas permiten detectarlos a tiempo y mantener la boca sana.
¿Cómo Detectar la Caries?
Cuanto antes se detecte la caries, más fácil será tratarla. Las revisiones dentales son muy importantes para detectar las primeras fases de la caries.
- Inspección Visual: El primer paso para detectar la caries es observar de cerca los dientes. Para ello, el dentista utiliza un pequeño espejo y una luz muy brillante. Durante este primer examen, el médico puede detectar cambios en la superficie del diente que pueden indicar la presencia de caries. Si es así, el médico puede confirmar sus sospechas con una sonda especial. Si, por ejemplo, la sonda se atasca en un punto, suele ser señal de que allí hay caries. Esto se debe a que el esmalte sano es duro y resiste la presión de la sonda. Si, por el contrario, el esmalte dental está afectado por la caries, se vuelve blando, de modo que la sonda se clava un poco allí.
- Radiografías: Los rayos X son otra forma de detectar caries bien ocultas. La gran ventaja es que las imágenes hacen visible el daño en una fase muy temprana, lo que no ocurre cuando se examina con una sonda. La desventaja, por supuesto, es la exposición a la radiación.
- Transiluminación con Fibra Óptica: Más suave es la llamada transiluminación con fibra óptica. Describe el paso de luz a través de los dientes. El dentista dirige la luz fría hacia el diente mediante una sonda (roma). Este método de examen es ideal para detectar caries en los espacios interdentales de los dientes posteriores y anteriores. El principio en el que se basa: La sustancia dental destruida impide la transmisión de la luz; se hace visible una mancha oscura que representa la caries.
- Medición de la Resistencia Eléctrica: La medición de la resistencia eléctrica también es un método para la detección precoz de la caries. Aprovecha el hecho de que la caries modifica la resistencia eléctrica de los dientes. El esmalte dental sano tiene poca o ninguna conductividad eléctrica. Si se caries, pierde esta propiedad aislante: empieza a conducir la electricidad.
- Diagnóstico por Fluorescencia Láser: El diagnóstico por fluorescencia láser utiliza las propiedades fluorescentes de la estructura dental. Las partes cariadas presentan una fluorescencia más intensa que las sanas. Para detectar estas diferencias, se ilumina el diente con una lámpara especial que emite una luz con una longitud de onda específica.
Tratamientos para la Caries
Una vez que se ha desarrollado la caries, es importante detener la enfermedad lo antes posible. La terapia es más suave cuando la caries aparece en forma de las "manchas blancas" descritas anteriormente. En esta fase temprana de la enfermedad, no es necesario utilizar un taladro. Sin embargo, no se debe esperar la autocuración. Si no se toman medidas, el riesgo de "caries real" es alto.
Es probable que el dentista recomiende el uso de un dentífrico altamente concentrado en flúor para remineralizar el diente. También se puede considerar como terapia la aplicación de varias aplicaciones de flúor por el propio dentista.
Si la caries ya ha alcanzado la dentina, a menudo hay que recurrir a la fresa. Con este aparato se elimina la caries de la zona afectada. Por supuesto, la "cavidad" que se crea allí debe rellenarse de nuevo.
Los materiales de relleno más comunes son:
- Amalgama de Plata: Es una combinación de plata, mercurio, cobre, estaño y, a veces, zinc, paladio o indio. La mayor ventaja de este material es que es barato y dura una media de 14 años. Además, es menos probable que los empastes de amalgama se estropeen. Otra ventaja es que los dientes con empastes de amalgama de plata son menos propensos a sufrir caries secundarias. La mayor desventaja es que muchas personas encuentran poco atractivo el aspecto de los empastes. Su color plateado hace que destaquen del resto del diente. Además, hay problemas medioambientales por el contenido de mercurio.
- Composite: Este empaste está compuesto por un 20% de plástico y un 80% de sal de sílice o partículas de vidrio muy finas. Los pacientes suelen elegir este tipo de empaste porque es del color del diente y, por tanto, no destaca o destaca muy poco sobre los dientes sanos. En el pasado, el composite tenía la gran desventaja de no ser tan estable como la amalgama de plata. Los composites son blandos y sólo se endurecen después de colocarlos en la cavidad dental con una lámpara especial de luz azul. Deben adherirse a la estructura dental.
- Cemento de Ionómero de Vidrio: Este empaste es un cemento mineral especialmente desarrollado para uso dental. Cuando el material se ha endurecido, su superficie tiene que ser protegida con barniz.
Recomendaciones Adicionales
- Asegúrate de cepillarte los dientes al menos dos veces al día durante tres minutos.
- No olvides los espacios entre los dientes.
- Para prevenir la caries en los espacios interdentales, es importante limpiarlos con regularidad.
- Reduce el consumo de alimentos y bebidas azucaradas.
- Utiliza dentífricos enriquecidos con fluoruros.

Cuidado Dental Profesional
La Saliva: Ese Escudo Silencioso
La saliva es uno de esos grandes olvidados. Está ahí, siempre, trabajando de fondo, sin que le demos importancia… hasta que empieza a faltar.
Cuando una persona tiene poca saliva, lo nota: sensación de sequedad, incomodidad al hablar, al tragar, al comer. Pero cuando la saliva funciona bien, casi nadie le presta atención. Y, sin embargo, es fundamental.
¿Por qué es tan importante?
- Neutraliza los ácidos: Cada vez que comemos, especialmente alimentos ricos en carbohidratos o azúcares, las bacterias de la boca se activan y generan ácidos que atacan el esmalte dental. La saliva actúa como una especie de «bombero» natural: reduce la acidez, amortigua el ataque y ayuda a recuperar un pH saludable.
- Remineraliza el esmalte: El esmalte dental no es una estructura estática. Todos los días se desgasta un poco y, si el ataque ácido no es demasiado agresivo, también puede repararse. Ahí la saliva vuelve a ser clave. Aporta minerales como calcio y fosfato, que ayudan a reforzar el esmalte y a reparar esos pequeños daños diarios antes de que se conviertan en caries.
- Limpieza natural: La saliva también cumple una función mecánica: ayuda a eliminar restos de comida y bacterias de la boca. Es una limpieza constante que hacemos de manera inconsciente simplemente al tragar.
Hábitos de Personas con Pocas Caries
Quizá ni ellos mismos se dan cuenta, pero están protegiendo sus dientes cada día. Y lo mejor: tú también puedes hacerlo.
- No picotean entre horas: Cada vez que comemos, las bacterias aprovechan para generar ácidos. Si esos «ataques» son continuos -por estar picoteando todo el día- la boca no tiene tiempo para recuperarse. En cambio, las personas que comen en horarios definidos y no caen en el picoteo continuo están ayudando, sin saberlo, a que la saliva pueda neutralizar esos ácidos entre comidas.
- Beben agua, no refrescos: Las personas que suelen tener pocas caries casi siempre priorizan el agua como bebida habitual. Puede parecer un detalle pequeño, pero marcará la diferencia dentro de unos años. Los refrescos, aunque sean «sin azúcar», suelen ser ácidos y pueden dañar el esmalte. Y las bebidas azucaradas, como los zumos industriales o las bebidas energéticas, crean un ambiente perfecto para las bacterias.
- Se cepillan con constancia, no con obsesión: Hay quien se cepilla dos veces al día, sin prisas, de manera tranquila y eficaz. Y eso funciona. En cambio, otras personas se cepillan muchas veces, pero con demasiada fuerza o con movimientos agresivos que dañan las encías y desgastan el esmalte.
- No se saltan el cepillado nocturno: Este hábito es, probablemente, uno de los más decisivos. Por la noche producimos menos saliva y, si dejamos restos de comida, las bacterias tienen el terreno perfecto para atacar los dientes durante horas.
La Microbiota Oral
En nuestra boca viven millones de microorganismos. No todos son dañinos; de hecho, muchos son esenciales para mantener un equilibrio saludable. El problema surge cuando ciertas especies -las más cariogénicas- se descontrolan.
¿Y por qué algunas personas tienen una microbiota más equilibrada?
- Una alimentación rica en vegetales y fibra desde la infancia.
- Haber recibido lactancia materna.
- No haber abusado de antibióticos.
- Tener una higiene regular, pero no agresiva.
- Evitar enjuagues antisépticos de forma indiscriminada.
Hábitos que Puedes Aplicar Desde Hoy
- Evita el picoteo continuo.
- Usa un dentífrico con flúor.
- Hidrátate bien (la saliva necesita agua).
- No te cepilles con fuerza: hazlo con atención.
- Consulta con tu dentista aunque creas que “todo va bien”.