¿Alguna vez has notado manchas o surcos en tus dientes que no desaparecen, sin importar cuánto los cepilles? Esta podría ser una señal de hipoplasia dental, un problema que muchos adultos enfrentan pero pocos entienden. En Medicina, la hipoplasia hace referencia a la incorrecta formación de un órgano o parte del cuerpo. La hipoplasia dental es una afección que se manifiesta como un desarrollo incompleto o defectuoso del esmalte dental, la capa más externa que protege los dientes. Dado que esta alteración puede afectar a diferentes zonas, su complejidad depende de dónde se localice dicha afectación.
La hipoplasia dental, también conocida como hipoplasia del esmalte o diente de Turner, es una condición en la que el esmalte de los dientes no se desarrolla correctamente. Podemos decir que el esmalte no se desarrolla lo suficiente. La hipoplasia dental es una enfermedad en el desarrollo del esmalte dental. Esta anomalía se produce durante el desarrollo de los dientes y se detecta a través de manchas y pequeños huecos en los dientes.
¿Qué es la hipoplasia del esmalte y cómo tratarla?
¿Qué es la Hipoplasia Dental?
La hipoplasia es un defecto de los dientes que implica una menor cantidad de esmalte de lo habitual. Esta dolencia consiste en un subdesarrollo del esmalte que provoca la aparición de manchas en los dientes. La hipoplasia dental es una anomalía del esmalte dental por una formación insuficiente en determinadas zonas de la matriz del esmalte , podemos definirlo como un defecto cuantitativo y denominamos hipomineralización a una disiminución de la mineralización del esmalte tratandose de un defecto cualitativo porque la calidad se ve alterada. La detección precoz de la hipoplasia dental es fundamental para tratarla y proteger así el esmalte remanente.

Dicha alteración tiene lugar durante el desarrollo del diente y, más concretamente, en el proceso de formación del esmalte. Como ya hemos citado previamente, la hipoplasia dental tiene lugar durante el desarrollo de la estructura del diente. Al igual que en el caso anterior, este tratamiento es completamente individualizado en función del paciente. La hipoplasia del esmalte puede dar lugar tanto a manchas blancas o marrones como a surcos en los dientes.
Es importante recordar que el esmalte dental es la capa externa que protege los dientes, en términos más sencillos es la parte blanca y dura que los recubre. Como ya hemos explicado anteriormente, el esmalte constituye la capa más superficial de la pieza dental. Por este motivo, tiene una función protectora. Ahora que ya hemos explicado qué es la hipoplasia y cómo se manifiesta, vamos a recordar qué es exactamente el esmalte de los dientes.
¿Cómo Saber si Tienes el Esmalte Débil?
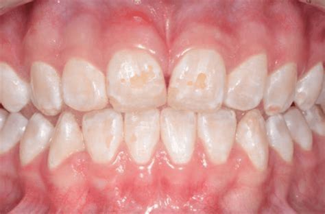
La hipoplasia dental se manifiesta a través de manchas blancas o marrones, que es el síntoma de un esmalte mucho más débil del habitual, siendo más propenso a padecer caries, fracturas y desgastes. Según el grado de hipoplasia que se padezca, las manchas tienden a ser más blanquecinas en casos más leves, mientras que en los casos graves adquieren un tono más amarillento - marrón. También provoca pequeños huecos entre los dientes debido a la erosión y desgaste, así como sensibilidad dental a la temperatura de los alimentos. Dependiendo del desarrollo de la hipoplasia, y si ésta ha sido tratada a tiempo, el efecto será casi imperceptible o puede mostrar una dentadura muy dañada.

La hipoplasia dental provoca un esmalte más débil o delgado, haciendo que los dientes sean más vulnerables ante las caries y traumatismos. Cuando la hipoplasia dental es muy leve, los síntomas no serán fácilmente detectables por el paciente. Esta afección también provoca manchas dentales, pero su causa es muy diferente, ya que se debe a un consumo excesivo de fluoruro durante la etapa de formación de los dientes, hasta los ocho años.
Causas de la Hipoplasia Dental
La alteración se debe a que en ese periodo se produjo una situación o circunstancia propicia para su aparición. Ejemplos de estas situaciones o circunstancias serían la malnutrición, una infección, la fiebre o una enfermedad. Debido a que este defecto puede deberse a diferentes motivos y a que se desarrolló en una etapa temprana de nuestra vida, en muchas ocasiones es difícil determinar la causa exacta que lo originó.
¿Y cuál es el motivo de que el esmalte no se desarrolle de manera correcta? No siempre es fácil determinar el origen de la afección, ya que el problema sucede durante los primeros años de vida del bebé y se manifiesta después. Realmente no se conocen las causas que originan la hipoplasia ya que al darse en la etapa de crecimiento puede aparecer por múltiples motivos, hereditarios, deficiencias o de desarrollo durante la infancia. La hipoplasia dental hereditaria se debe a un defecto genético que afecta el desarrollo de los dientes, y que puede ser transmitida de padres a hijos.
Entre las causas más comunes se incluyen deficiencias nutricionales durante el desarrollo prenatal y en los primeros años de vida, enfermedades e infecciones durante la gestación o la niñez, la exposición a toxinas o ciertos medicamentos. También se puede ocasionar por enfermedades como la celiaquía o por golpes en la dentadura. Asimismo, esta enfermedad se puede desarrollar en el embarazo ya que algunos bebés nacen con hipoplasia por falta de vitamina D. Otros motivos también son la malnutrición, las infecciones o la fiebre. Los medicamentos también juegan un papel importante ya que algunos pueden afectar al crecimiento de los dientes.
A continuación te explicamos las posibles causas de la hipoplasia dental en niños. Sin embargo, cuando se da en adultos, hay otros factores que pueden ocasionar su aparición:
- Un cepillado demasiado abrasivo o el uso de un cepillo de cerdas muy duras. Esto causa un daño progresivo en el esmalte, así como la aparición de manchas.
- Otra de las causas del daño en el esmalte podría ser la caries o el bruxismo. Este segundo es el que conocemos como el famoso rechinar de dientes que muchas personas padecen de manera inconsciente, en general de noche y por estrés, aunque también se puede dar durante el día.
- Por último, cuando la persona sufre vómitos con frecuencia, el exceso de ácidos también va deteriorando el esmalte. Esto sucedería en enfermedades como la bulimia, el trastorno de reflujo gastroesofágico o durante el embarazo.
Causas Específicas en Niños
- Problemas en el desarrollo durante el embarazo o parto prematuro: Los niños que nacen antes de la semana 37 de gestación o con bajo peso al nacer son más proclives a tener hipoplasia o defectos en el esmalte dental. Algunas enfermedades o deficiencias de la madre gestante también pueden afectar al desarrollo dental.
- Infecciones: La varicela, el sarampión o las fiebres por escarlatina son algunas de las enfermedades infecciosas que pueden causar hipoplasia dental.
- Nutrición deficiente: Una alimentación pobre en nutrientes afecta al desarrollo de los niños. En el caso de la hipoplasia dental, estos son los nutrientes cuyo déficit está relacionado con problemas y alteraciones en el esmalte:
- Vitamina A
- Vitamina C
- Vitamina D
- Calcio
- Fluorosis dental: Una sobreexposición al fluoruro durante la infancia puede provocar fluorosis dental.
- Medicamentos: Los efectos secundarios de algunos medicamentos incluyen la posibilidad de padecer daños en el esmalte dental.
- Traumatismos: Un golpe en la boca puede afectar a la raíz del diente de leche y, por lo tanto, alterar su desarrollo.
Consecuencias de No Tratar la Hipoplasia Dental
¿Por qué conviene diagnosticar y tratar la hipoplasia dental lo antes posible? Porque estas manchas y rugosidades que pueden parecer un problema estético, en realidad, están haciendo que el diente sea más vulnerable a otras afecciones. ¿Sabías que el esmalte es más duro que los huesos? Por lo tanto, podemos decir que es muy resistente, pero también que necesita cuidados, sobre todo, si no se ha desarrollado correctamente.
Los dientes afectados suelen presentar un esmalte delgado o irregular con pequeñas manchas de color blanco u opacas y en casos severos manchas marrones, incluso en ocasiones el esmalte esta completamente ausente. Son dientes con mayor facilidad para la caries y roturas dentales siendo también frecuente la sensibilidad dental. La hipoplasia dental afecta al esmalte de los dientes de forma permanente, exponiéndolos a los ácidos de los alimentos y a las fuerzas oclusales.
- Caries: Cada rugosidad, cada fisura, cada porosidad en el esmalte es un lugar donde se puede acumular las bacterias con más facilidad.
- Enfermedades de las encías: La falta de esmalte hace que los dientes queden más expuestos, permitiendo que las bacterias penetren con más facilidad en las encías.
- Pérdida de piezas dentales: La debilidad del esmalte y las enfermedades de las encías son una mala combinación que podría llevar a la pérdida prematura de dientes.
- Maloclusión: En las fases más graves, aparecen irregularidades y anomalías en los dientes que pueden ser muy significativas, afectando el proceso de masticar y, a veces, incluso el habla.
Tratamientos para la Hipoplasia Dental
El tratamiento de la hipoplasia del esmalte varía según la gravedad del problema. El objetivo del tratamiento es preservar la vitalidad del diente y evitar una mayor destrucción del esmalte. En los niños es importante asegurarse de que se alimenten de manera correcta, ofreciéndoles alimentos balanceados, naturales y saludables. Además, como mencionamos antes, ciudad la cantidad de flúor a la hora de cepillarse es la manera de impedir que se produzca una flurosis.
Después de un diagnóstico adecuado lo primero que hay que diferenciar es el tratamiento del paciente infantil del paciente joven y adolescente. Para eliminar por completo las manchas que aparecen en los dientes, es importante realizar un tratamiento adecuado para ello.

En pacientes infantiles con dentición de leche se pautaran sesiones de fluor en clinica y se aconsejara el uso de una pasta adecuada con fluor de 1450ppm ,haciendo hincapié en una correcta técnica de cepillado y pautaremos un seguimiento estrecho en el control de caries cada 3 meses. En los dientes permanentes de los niños y adolescentes se pautarán tratamientos de fluor en clincia en sesiones secuenciadas y también tratamientos no solo por motivos estéticos sino también como protección del diente. En cuanto al tratamiento este varía dependiendo de si es en niños o adultos. En el caso de los niños se utilizan tratamientos muy poco invasivos como son pastas remineralizantes o sellados de fisuras, junto con visitas constantes al dentista para verificar que no haya caries en los dientes afectados.
A continuación destacamos cuáles son los tratamientos disponibles y hacemos hincapié en los más adecuados para los niños. Diferentes opciones con un mismo objetivo: recuperar una sonrisa uniforme y natural.
En adultos, dependiendo de la gravedad, un especialista en estética y rehabilitación oral puede tratar de diferentes formas dependiendo del problema:
- Blanqueamiento dental: Se lleva a cabo cuando las manchas en los dientes son blancas, consiguiendo un color uniforme. Sin embargo, este tratamiento es más indicado para la edad adulta. Es ideal para eliminar las manchas blancas superficiales causadas por la hipoplasia dental. Con varias sesiones se puede recuperar un aspecto uniforme en los dientes. El tratamiento de blanqueamiento dental irá destinado a mejorar la estética dental, con el fin de mantener una apariencia uniforme del tono de los dientes.
- Microabrasión dental: Es un tipo de tratamiento al que se recurre cuando las manchas son severas. Consiste en pulir la capa del esmalte que está dañada, de manera que eliminamos la mancha. ¿Si las manchas son notorias, se realiza una microabrasión y se pule la parte del esmalte que está dañada para eliminar cualquier rastro de la mancha.
- Recontorneado de dientes: El recontorneado de dientes es una excelente opción para la hipoplasia dental en niños que tienen los dientes definitivos con los bordes irregulares. Se utiliza un material de relleno que tiene el mismo color que los dientes sanos y se consigue un efecto muy natural. El procedimiento se realiza con composite dental.
- Carillas dentales: Cuando el daño es muy severo, será necesario recurrir a otras soluciones como las carillas o las coronas dentales. Tanto las carillas (porcelana o composite) como las coronas (porcelana, metal-porcelana o zirconio) son tratamientos completamente personalizados. Si los dientes afectados son los incisivos, uno de los mejores tratamientos son las carillas de porcelana, gracias a su durabilidad y la facilidad con la que imitan a un diente natural. Carillas de porcelana: también es recomendable únicamente durante la edad adulta.
- Restauraciones cerámicas: Cuando la hipoplasia dental es más avanzada y la erosión del diente es más significativa, se recomendará restaurar el diente con estructuras de cerámica, material más resistente que el composite. En los dientes posteriores, si el desgaste es medio se optará por las incrustaciones, bloques de cerámica que recubrirán el hueco perdido.
- Implantes dentales: Los implantes serían el último recurso que se debería utilizar, ya que lo más recomendable para el paciente es que seamos conservadores con sus dientes. Sin embargo, cuando el deterioro de la pieza dental es extremo, es necesario contemplar la posibilidad de extraerla y colocar un implante. En caso de que la hipoplasia dental haya dañado mucho el diente, es posible colocar una corona dental, o en caso de ser necesario y como última opción un implante dental para sustituir al diente afectado.
- Sellado dental y fluorización: el sellado dental consiste en cubrir los desniveles dentales o pequeñas fisuras de los dientes de leche con un material biocompatible de resina (composite), allanando la supericie del diente y previniendo la acumulación de alimentos y las consecuentes caries. Se recomienda este tratamiento en los casos con hipoplasia dental leve, en los cuales hay poca erosión del esmalte y las manchas son muy poco visibles. Se combina con fluorizaciones para remineralizar el esmalte y fortalecerlo ante las caries y las fuerzas oclusales.
Tabla Resumen de Tratamientos
| Tratamiento | Descripción | Indicación |
|---|---|---|
| Blanqueamiento dental | Aplicación de un gel blanqueador para unificar el color del esmalte. | Manchas blancas superficiales. |
| Microabrasión dental | Pulido de la capa superficial del esmalte para eliminar manchas severas. | Manchas oscuras o muy evidentes. |
| Recontorneado de dientes | Uso de composite para corregir bordes irregulares y proteger la superficie del diente. | Bordes desiguales y manchas discretas en dientes definitivos. |
| Carillas dentales | Láminas de porcelana o composite que cubren la superficie del diente para mejorar su apariencia. | Irregularidades considerables en el esmalte. |
| Implantes dentales | Sustitución de la pieza dental dañada por un implante. | Deterioro extremo del diente. |
Prevención de la Hipoplasia Dental
Para detectar y tratar la hipoplasia lo ideal es acudir al dentista a revisiones periódicas. Además, los suplementos de vitaminas A o D también pueden ayudar a mitigarla. Es importante seguir una rutina de higiene bucal adecuada, incluyendo el cepillado regular y el uso de hilo dental.
- Hábitos de higiene: mantener una buena rutina buco-dental con cepillado de dientes después de cada comida, y el uso de hilo dental y cepillos interproximales al menos una vez al día.
- Revisiones periódicas a una clínica dental: como hemos comentado, los síntomas de hipoplasia son a veces poco visibles hasta que la erosión del esmalte ya es significativa.