¿Sabías que una exposición excesiva al flúor puede producir una afección llamada fluorosis dental? Seguramente has escuchado muchas veces lo importante que es el flúor en la lucha contra las caries. E, incluso, que te hayan hablado de la necesidad de usar pastas de dientes fluoradas para remineralizar el esmalte, haciéndolo más resistente frente a las lesiones cariosas. Y precisamente sobre ello vamos a hablar hoy. En esta entrada del blog explicaremos qué es la fluorosis dental y cómo puede tratarse.

¿Qué es la Fluorosis Dental?
La fluorosis dental es una alteración del esmalte producida por una exposición excesiva al flúor durante el proceso de formación de los dientes. La fluorosis dental es una alteración que afecta el esmalte dental caracterizada por la aparición de manchas y puntos en los dientes. A pesar de que la fluorosis tenga su origen en la primera etapa de la vida, sus síntomas son visibles en los dientes definitivos, en lugar de en los dientes de leche.
La exposición excesiva al flúor da lugar a una hipermineralización del esmalte y provoca que el esmalte no se forme de manera adecuada. Esto afecta a su calidad y deriva en manchas o estrías visibles en los dientes.
Las CARIES en niños con DIENTES DE LECHE no hace falta tratarlas. 🤥¡MENTIRA!
Tipos de Fluorosis Dental
La fluorosis dental se clasifica en tres tipos según el nivel de gravedad de las manchas sobre el esmalte dental.
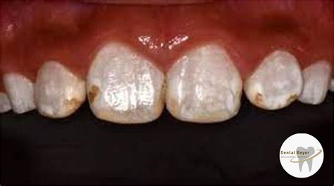
- Fluorosis dental leve: La forma leve de fluorosis dental se caracteriza por la aparición de manchas blancas o pequeñas estrías en la superficie del esmalte. A veces, se crean manchas de color blanquecino, que van ligadas con pequeñas grietas y estrías (grado leve).
- Fluorosis dental moderada: La fluorosis dental moderada se caracteriza por la presencia de manchas de tonalidades blancas en el esmalte de la pieza.
- Fluorosis dental severa: Por último, la fluorosis dental severa origina manchas que ocupan la mayor parte de la pieza y puede provocar rugosidades en el esmalte o modificaciones en la forma del diente. En este grado, la persona que lo sufre presenta caries y machas que llenan gran parte del diente. En casos más extremos, aparecen manchas marrones y agujeritos, dando apariencia de que están corroídos.

Causas de la Fluorosis Dental
En general, la principal causa de la fluorosis dental es la sobreexposición al flúor durante la etapa de formación del esmalte. Es importante tener en cuenta que la gravedad de los síntomas depende de la cantidad total de flúor a la que hemos estado expuestos y durante cuánto tiempo.
- Exceso de flúor en el agua potable: En primer lugar, tenemos que los niveles excesivos de flúor en el agua potable son una de las causas más comunes de fluorosis dental. El consumo de agua con una concentración de flúor elevada puede causar fluorosis. La Organización Mundial de la Salud recomienda que el nivel de fluoruro en el agua no supere las 1.5 partes por millón (ppm).
- Uso incorrecto de productos fluorados: Por último, otra de las causas más relacionadas tiene que ver con la exposición prolongada a ciertos productos como pasta de dientes o colutorios con una cantidad de flúor superior a la recomendada. El uso de dentífricos o enjuagues bucodentales con una cantidad de flúor superior a la recomendada es otra de las causas de fluorosis dental.
- Suplementos de flúor: El consumo de suplementos con fluoruro en embarazadas o niños menores de seis años también puede provocar fluorosis dental.
Dicho esto, el consumo directo de agua no es lo único que puede causar fluorosis. En España, el consumo de agua potable es seguro. Por tanto, las dos situaciones mencionadas son improbables en nuestro país. La ingesta de flúor debe ir aumentando gradualmente con el paso de los años, y a medida que los niños desarrollan la habilidad de escupir el dentífrico o enjuague (en lugar de tragárselo). En general, los niños pueden empezar a usar las pastas de dientes para adultos a partir de los seis años. Esta condición aparece en nuestro periodo de formación dental, es decir, entre los nueve meses y tres años de edad.
Síntomas de la Fluorosis Dental
Los síntomas de la fluorosis dental pueden variar en función de la severidad del caso:
- Pequeñas grietas y estrías: normalmente, estas grietas y estrías son de color blanco.
- Manchas blancas opacas y suelen ser simétricas en los dientes frontales.
Diagnóstico de la Fluorosis Dental
El diagnóstico de la fluorosis dental generalmente lo realiza un odontólogo a través de una exploración clínica de los dientes (examen visual). El diagnóstico de la fluorosis dental se realiza a través de evaluaciones clínicas y radiológicas. La evaluación del estado dental se lleva a cabo mediante una exploración visual exhaustiva.
- Radiografías: Pueden ser requeridas para determinar la salud general de los dientes.
El diagnóstico de la fluorosis dental varía en función de la edad del paciente. En niños, la supervisión es especialmente importante dado que los daños en el esmalte son más habituales durante el período crítico de formación dental. Para los adultos, el enfoque es diferente, ya que las estructuras dentales han madurado.
Tratamientos para la Fluorosis Dental
El objetivo principal de cualquier tratamiento para la fluorosis dental es asegurar la salud de los dientes, así como restablecer la estética y armonía de la sonrisa. Por ello, el tratamiento adecuado irá en función de la gravedad de las manchas causadas por la fluorosis dental.
- Blanqueamiento dental: El blanqueamiento dental es un tratamiento al que se puede recurrir en casos de fluorosis leve. El blanqueamiento elimina las manchas y los puntos producidos por fluorosis dental. El blanqueamiento dental se utiliza principalmente en casos de fluorosis leve. Sin embargo, en los casos más severos este procedimiento resulta insuficiente.
- Carillas dentales: Cuando el blanqueamiento no resulta suficiente, el odontólogo podrá recomendar la colocación de carillas dentales, las cuales pueden ser de composite o porcelana. Las carillas se colocan sobre la superficie de los dientes, ocultando las manchas y mejorando la apariencia general. Para solucionar de manera permanente esta condición de la boca, en Gross Dentistas te recomendamos el uso de carillas dentales.
- Coronas dentales: Por su parte, el tratamiento indicado para los casos más severos de fluorosis dental puede ser la colocación de coronas. Las coronas son unas prótesis dentales que cubren totalmente la estructura del diente. Por tanto, permiten tapar las manchas o los daños por completo. Las coronas dentales pueden ser necesarias en situaciones donde el daño al esmalte es extenso.
- Tratamiento con Icon Vestibular: Una de las soluciones más avanzadas y recomendadas para tratar las manchas blancas es el tratamiento con Icon Vestibular. Este procedimiento utiliza una resina microinvasiva que se infiltra en las áreas porosas del esmalte afectado. Este tratamiento debe ser realizado por un dentista profesional, quien evaluará el caso específico y preparará la superficie del diente para asegurar la adherencia de la resina.
¿Cómo Prevenir la Fluorosis Dental?
El cuidado y la prevención son fundamentales para reducir el riesgo de esta alteración dental. Tomar estas precauciones puede ayudar a reducir significativamente el riesgo de fluorosis dental y asegurar que los dientes de los niños crezcan sanos y fuertes.
- Usar productos de higiene oral específicos para cada edad: los niños menores de seis años no podrán utilizar dentífricos ni colutorios para adultos. Utilizar únicamente dentífricos especialmente recomendados para niños y en la dosis recomendada por el fabricante. De esta manera, nos aseguraremos de utilizar productos que contienen la concentración de flúor adecuada para su edad y caso en particular. Emplear de forma exclusiva dentífricos especialmente recomendados para niños y en la dosis recomendada.
- Adaptar la cantidad de pasta de dientes: no es recomendable guiarse por las imágenes de los anuncios de dentífricos en televisión, y menos en el caso de los niños. No es necesario ni aconsejable que la pasta rebose en el cepillo. Además, la cantidad de dentífrico también tiene que estar adaptada para cada edad. Por ejemplo, en los bebés dicha cantidad debe ser mínima, ya que no saben enjuagarse ni escupir.
- Controlar la concentración de flúor en el agua potable es esencial para prevenir efectos adversos en el esmalte dental. Consumir agua mineral embotellada: los niños menores de seis años que viajan a regiones donde el agua potable tiene una concentración de flúor superior a la recomendada para su edad deberán usar agua mineral embotellada.
- Evitar comer en exceso alimentos con una alta concentración de flúor como el pescado azul o las espinacas.
- Una buena práctica de higiene dental es vital en la infancia, no solo para prevenir la fluorosis, sino también para mantener dientes sanos.
En cualquier caso, si tienes alguna duda sobre cómo actuar ante la fluorosis dental, te recomendamos llamar a una de las clínicas dentales Vitaldent y solicitar tu primera visita gratuita. En todo caso, si tienes dudas te esperamos encantados en BASTIDA Clínica Dental en Vigo donde un equipo de odontólogos especialistas te espera con los brazos abiertos para resolver todas tus dudas sobre la fluorosis y ayudarte a conseguir la sonrisa perfecta.