Las carillas dentales de disilicato de litio representan una opción avanzada en odontología estética, diseñadas para transformar la sonrisa de forma natural y segura. Si estás pensando en mejorar tu sonrisa, seguramente has oído hablar de las carillas dentales. Pero, ¿sabías que hay distintos tipos, como las de porcelana y las de disilicato de litio?
Las carillas dentales son láminas delgadas que se adhieren a la superficie frontal de los dientes. Este tipo de carillas dentales se utiliza para corregir imperfecciones como dientes fracturados, manchas, malposiciones leves o desgastes. Las carillas de disilicato de litio son láminas cerámicas ultrafinas, altamente estéticas, que se adhieren a la superficie frontal de los dientes. Las carillas de disilicato de litio son láminas ultrafinas hechas de una combinación de cerámica y vidrio.
En este artículo, exploraremos las ventajas y desventajas de este material, comparándolo con otras opciones como el zirconio y la porcelana, para ayudarte a tomar una decisión informada sobre el tratamiento dental más adecuado para ti.

¿Qué son las Carillas de Disilicato de Litio?
Gracias a su translucidez y coloración personalizada, se integran perfectamente con los dientes naturales, logrando un efecto visual casi imperceptible. Una de las principales razones por las que las carillas de disilicato son tan valoradas es su combinación única de estética y resistencia. Este es un material más nuevo en el mundo de las carillas. El disilicato de litio es un nuevo material compuesto de cerámica y vidrio que se utiliza en la fabricación de prótesis dentales de una sola pieza, como puentes con tres piezas, puentes premolares e incluso posteriores.
Las carillas de porcelana son las más conocidas y se fabrican en un laboratorio dental para que se ajusten perfectamente a tus dientes. Las carillas de porcelana o cerámica son finas láminas de cerámica que se fabrican en un laboratorio dental especializado.
Carillas Dentales Vs Diseño de Sonrisa | Lo que tienes que saber antes de decidir
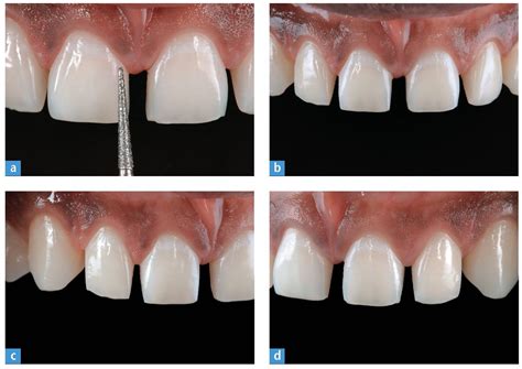
Proceso de Fabricación y Colocación
Las carillas de disilicato de litio se fabrican a través de un proceso dental personalizado:
- Consulta y planificación: En primer lugar, se programa una consulta con un dentista especializado en estética dental.
- Preparación: Una vez que se haya determinado que estas carillas son la opción adecuada para el paciente, el dentista preparará los dientes.
- Toma de impresiones: Se realizarán impresiones precisas de los dientes preparados.
- Diseño y fabricación: Las impresiones se envían a un laboratorio dental donde se hará el diseño y fabricación personalizada.
- Prueba y ajuste: Una vez que las carillas estén listas, se llevará a cabo una cita para probarlas. El dentista las colocará temporalmente en los dientes para verificar el ajuste, la forma, el color y la apariencia estética.
- Colocación definitiva: Después de la prueba, las carillas se cementarán permanentemente en la superficie frontal de los dientes.
- Finalización y seguimiento: Después de la colocación, el dentista realizará los últimos ajustes y pulidos para asegurarse de la correcta colocación.
Una vez listas, se prueban en la boca del paciente para verificar forma, color y ajuste. Después de la prueba, las carillas se cementarán permanentemente en la superficie frontal de los dientes.

Ventajas de las Carillas de Disilicato de Litio
Estas carillas ofrecen varias ventajas significativas en odontología estética. La resistencia del disilicato es hasta tres veces superior a la de otros materiales cerámicos y permite adaptar su color a cualquier tonalidad, por lo que ofrece una excelente calidad estética.
- Durabilidad y resistencia a largo plazo: Las carillas de disilicato de litio son conocidas por su durabilidad y resistencia a largo plazo.
- Estética natural: Además, su translucidez permite una apariencia muy natural, similar al esmalte dental, mejorando la estética de la sonrisa.
- Adaptación marginal: Estas carillas también tienen una excelente adaptación marginal, lo que reduce el riesgo de filtraciones y caries secundarias.
- Además, tiene una gran biocompatibilidad (no causa alergias) y ofrece un ajuste excelente, manteniendo una buena adhesión al diente, en las carillas finas y coronas, sea con adhesivo o cementación, así como una buena relación con la encía.
Desventajas de las Carillas de Disilicato de Litio
A pesar de sus ventajas, estas carillas presentan algunos inconvenientes.
- Además, el proceso de fabricación y colocación es complejo y caro, limitando su accesibilidad para algunos pacientes.
Comparativa: Carillas de Porcelana vs. Disilicato de Litio
Ya sean de porcelana o de disilicato de litio, las carillas dentales son soluciones estéticas altamente efectivas para transformar tu sonrisa. Los dos tipos de carillas siguen un proceso de colocación similar, pero las carillas de disilicato de litio suelen requerir una preparación previa menor.
Si estás pensando en mejorar tu sonrisa, seguramente has oído hablar de las carillas dentales. Pero, ¿sabías que hay distintos tipos, como las de porcelana y las de disilicato de litio?
Comparativa:
- El disilicato de litio destaca especialmente en estética y durabilidad, aunque con un coste más elevado.
- Las de porcelana también ofrecen buenos resultados estéticos, pero requieren más desgaste del diente.
Disilicato de Litio vs. Zirconio: ¿Cuál Elegir?
La elección del material adecuado para restauraciones dentales es fundamental para lograr resultados exitosos en términos de funcionalidad y estética. En este sentido, dos opciones populares son el zirconio y el disilicato de litio. Ambos materiales tienen características únicas que los hacen apropiados para diferentes casos clínicos. Sin embargo, comprender las diferencias entre ellos y conocer sus ventajas y desventajas puede ser un desafío para muchos profesionales de la salud dental.

Comprender las diferencias entre zirconio y disilicato de litio es fundamental para elegir el material adecuado en cada caso clínico. El zirconio es un material altamente resistente y duradero, ideal para restauraciones dentales posteriores, pero puede resultar poco estético debido a su opacidad. Por otro lado, el disilicato de litio es un material más translúcido y estético, recomendado para restauraciones anteriores, pero menos resistente que el zirconio.
Además, el proceso de fresado del zirconio es más complejo y requiere más tiempo y recursos que el del disilicato de litio. Es importante que los profesionales de la odontología comprendan estas diferencias y las comuniquen claramente a sus pacientes para tomar decisiones informadas sobre el tipo de restauración dental que mejor se adapte a sus necesidades estéticas y funcionales.
Ventajas y Desventajas del Zirconio
El zirconio es un material cerámico que se ha vuelto popular en la odontología debido a su alta resistencia y durabilidad. Entre las ventajas del uso de zirconio en restauraciones dentales se encuentra su capacidad para soportar grandes cargas oclusales, lo que lo hace ideal para pacientes con bruxismo. Además, el zirconio tiene una apariencia similar al diente natural, lo que permite obtener restauraciones estéticamente atractivas y duraderas.
Sin embargo, el zirconio también tiene algunas desventajas. Una de ellas es que es más difícil de trabajar que otros materiales como el disilicato de litio. Esto puede dificultar la obtención de una adaptación perfecta en la restauración dental. Además, el zirconio es un material más opaco que el disilicato de litio, lo que puede afectar la translucidez de la restauración y su apariencia final. Es importante considerar tanto las ventajas como las desventajas del uso de zirconio en restauraciones dentales antes de tomar una decisión sobre qué material utilizar en cada caso clínico.
¿Por Qué Elegir Disilicato de Litio para Restauraciones Estéticas?
El disilicato de litio se ha convertido en uno de los materiales más populares para las restauraciones estéticas dentales debido a sus excelentes propiedades ópticas y mecánicas. Este material es altamente resistente a la fractura, lo que lo hace ideal para restauraciones de larga duración. Además, el disilicato de litio ofrece una apariencia natural y translúcida que se asemeja al esmalte dental real, lo que lo convierte en una excelente opción para restauraciones estéticas.
Otro beneficio del disilicato de litio es su capacidad para unirse químicamente al diente, lo que aumenta la fuerza de adhesión y ayuda a prevenir la caries dental. En comparación con otros materiales como el zirconio, el disilicato de litio requiere menos desgaste dental y conserva más estructura dental sana. En resumen, el disilicato de litio es una excelente opción para restauraciones estéticas debido a su durabilidad, apariencia natural y capacidad de unión química al diente.
La Importancia de la Elección del Material
La elección del material es un aspecto crucial en las restauraciones dentales, ya que el material seleccionado puede afectar la durabilidad, estética y funcionalidad de la restauración. Es importante tener en cuenta las propiedades mecánicas y ópticas de cada material para determinar cuál es el más adecuado para cada caso clínico. Por ejemplo, el zirconio es un material altamente resistente y duradero, pero su opacidad puede no ser adecuada para restauraciones estéticas en áreas visibles. Por otro lado, el disilicato de litio ofrece una estética superior, pero su resistencia puede no ser suficiente para restauraciones de mayor carga oclusal.
La elección del material también debe considerar las preferencias del paciente y el presupuesto disponible. En resumen, la elección del material adecuado es fundamental para lograr resultados satisfactorios en restauraciones dentales.
¿Cómo Elegir el Material Adecuado?
Elegir el material adecuado para cada caso clínico es crucial para lograr restauraciones dentales exitosas. Es importante considerar factores como la ubicación de la restauración, la magnitud de la restauración, las fuerzas oclusales a las que se someterá la restauración y las preferencias del paciente. Además, el tipo de material seleccionado debe tener en cuenta las propiedades físicas y estéticas necesarias para el caso específico.
Por ejemplo, si se trata de una restauración posterior que está sujeta a altas fuerzas oclusales, el zirconio puede ser una buena opción debido a su alta resistencia. Sin embargo, si se trata de una restauración anterior que requiere un alto nivel de estética, el disilicato de litio puede ser la mejor opción debido a su translucidez y capacidad para imitar el aspecto natural del diente.
En última instancia, la elección del material debe basarse en un análisis cuidadoso de cada caso individual y en la comunicación efectiva entre el dentista y el paciente.

En la odontología moderna, la elección del material adecuado para las restauraciones dentales es crucial para obtener resultados estéticos y funcionales óptimos. Como hemos visto, tanto el zirconio como el disilicato de litio tienen ventajas y desventajas que deben ser consideradas antes de tomar una decisión. Sin embargo, la elección del material no es la única variable a considerar en un caso clínico, ya que también influyen factores como el diagnóstico, la planificación y la técnica utilizada.
Por lo tanto, es importante que los odontólogos se mantengan actualizados sobre los avances en materiales dentales y técnicas de restauración, para poder ofrecer a sus pacientes opciones de tratamiento personalizadas y efectivas. Una reflexión interesante sería analizar cómo la elección del material puede influir en la calidad de vida de los pacientes a largo plazo y cómo se pueden mejorar los resultados a través de una planificación cuidadosa y una atención integral.
tags: #dientes #de #disilicato #de #litio