Las carillas dentales son una solución sencilla para ocultar la decoloración y otras imperfecciones de los dientes, ofreciendo una sonrisa más radiante y atractiva. Son finas carcasas hechas a medida de cada paciente, fabricadas de plástico, resina o porcelana, y se adhieren directamente a los dientes.

¿Qué son las Carillas Dentales?
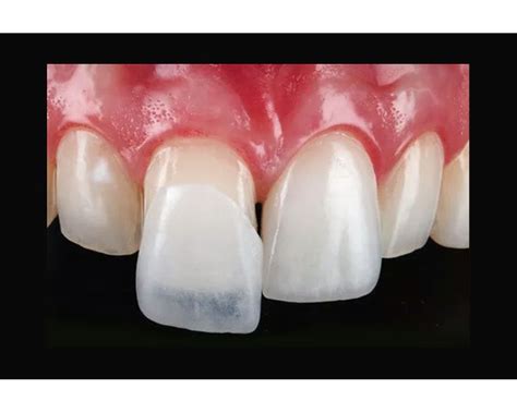
Una carilla dental es una fina capa de porcelana o resina que se adhiere a la parte delantera del diente, cambiando totalmente su forma y coloración. En Dental Care Barcelona, se realizan muchos casos de estética dental mediante el tratamiento de carillas.
Las carillas pueden ocultar muchas imperfecciones de los dientes, y el proceso para conseguirlas es sencillo. Se fabrican a través de unos moldes creados en base a una impresión física de la boca de cada paciente, realizada por el especialista en clínicas dentales. Para crear el molde, se utiliza un material especial que no daña las encías.
Tipos de Carillas Dentales
Existen principalmente dos tipos de carillas dentales, cada una con sus propias características y beneficios:
- Carillas Dentales de Composite: Son más económicas y su instalación es más rápida. Se aplican directamente sobre la superficie del diente para mejorar su forma, color o posición.
- Carillas Dentales de Porcelana: Conocidas por su durabilidad y resistencia a las manchas. La porcelana es un material muy resistente, duradero y estéticamente muy natural.

Procedimiento para la Colocación de Carillas
El procedimiento para la colocación de carillas implica varios pasos clave:
- Evaluación Inicial: Se evalúa el estado del paciente y su problemática para determinar si es apto para el tratamiento de carillas dentales. Los pacientes con caries deben tratarlas antes de colocarse carillas.
- Preparación del Esmalte Dental: Se prepara el esmalte dental realizando el desgaste necesario.
- Toma de Impresiones: Se hacen moldes de los dientes del paciente con alginato, silicona u otros materiales para hacer las carillas en el laboratorio.
- Colocación Provisional: Es posible colocar carillas provisionales, llamadas "mock up", mientras se fabrican las carillas permanentes.
- Cementación de las Carillas: Se realiza una limpieza bucal y se aplican productos que mejoran la adhesión de las carillas al esmalte. Posteriormente, se aplica cemento a las carillas y cuidadosamente se unen a los dientes.
- Pruebas de Oclusión: El paciente debe probar la dureza y la resistencia de las carillas por medio de pruebas de oclusión.
¿Cuándo se Recomiendan las Carillas Dentales?
Las carillas dentales son ideales para corregir diversas imperfecciones estéticas:
- Dientes con manchas y decoloración.
- Dientes con desalineaciones y espaciamientos ligeros.
- Dientes con formas irregulares, como astillas o cortes.
Sin embargo, no todas las bocas son aptas para llevar carillas. Es fundamental que la base dental (esmalte, encías, posición de los dientes, etc.) esté en buen estado, y que no haya enfermedades como caries activas o periodontitis.
Ventajas de las Carillas Dentales
Las carillas dentales ofrecen numerosas ventajas:
- Mejora Estética: Proporcionan un aspecto más uniforme a la sonrisa, camuflando imperfecciones como manchas, coloración amarilla y asimetría entre los dientes.
- Protección Dental: Protegen la superficie frontal del diente natural, evitando lesiones y actuando como una barrera contra la erosión ácida y el desgaste físico.
- Mejora en la Masticación: Al colocarse, las carillas cubren superficies irregulares y se alinean perfectamente, facilitando la masticación.
Problemas Potenciales y Limitaciones
Aunque las carillas dentales son una excelente opción para mejorar la sonrisa, es importante tener en cuenta algunas limitaciones:
- Irreversibilidad: El procedimiento es irreversible, especialmente con las carillas convencionales, donde se debe tallar parte del diente.
- Sensibilidad Dental: El tallado de los dientes puede hacerlos sensibles al dolor y reaccionar a alimentos calientes, fríos, dulces y ácidos.
- Riesgo de Filtración Bacteriana: Si las carillas no se colocan correctamente, las bacterias pueden colonizar entre el diente y la carilla, facilitando la caries.
Cuidados y Mantenimiento de las Carillas
El cuidado de las carillas es crucial para asegurar su durabilidad y apariencia:
- Higiene Dental: Cepillarse los dientes al menos dos veces al día con un cepillo de cerdas suaves y pasta de dientes con flúor. Utilizar hilo dental al menos una vez al día.
- Evitar Alimentos y Hábitos Nocivos: Evitar alimentos pegajosos, bebidas heladas, morderse las uñas, morder lápices y utilizar los dientes para destapar cosas.
- Revisiones Periódicas: Acudir regularmente al dentista para revisiones y limpiezas dentales profesionales.

Alternativas a las Carillas Dentales
Si las carillas no son la opción adecuada, existen alternativas:
- Blanqueamiento Dental: Para quienes desean una sonrisa más blanca sin alterar la estructura del diente.
- Ortodoncia: Para corregir desalineaciones significativas y espacios entre los dientes.
- Coronas: En casos donde el diente está muy dañado y necesita una restauración completa.
Si su diente ya está dañado y puede elegir entre una carilla o una corona, las carillas son la opción más suave. En comparación con una corona convencional, con las carillas el dentista tiene que tallar mucha menos estructura dental. Por tanto, el tratamiento es más cómodo y lleva menos tiempo.
Costos de las Carillas Dentales
El costo de una carilla varía en función del tipo de carilla:
| Tipo de Carilla | Costo Aproximado |
|---|---|
| Carillas Convencionales | Variable |
| Carillas sin Preparación | Variable |
| Carillas de Composite | Variable |
Es importante consultar con un dentista para obtener un presupuesto personalizado y discutir las opciones de financiamiento disponibles.