Tener los dientes torcidos no es solo una cuestión de estética; puede afectar significativamente la salud bucodental y la autoestima. Es importante poner solución lo antes posible, ya que pueden tener consecuencias negativas en la salud bucodental.

Causas de los Dientes Torcidos
Los dientes se pueden torcer por múltiples motivos. Algunos se originan en los primeros años de vida y otros a cualquier edad. Los dientes definitivos pueden salir mal alineados, superpuestos, con rotación, color alterado o forma irregular debido a factores genéticos, falta de espacio, hábitos orales o traumatismos.
Causas en Niños
- Genética: Si tu padre o tu madre tienen los dientes desalineados, debes saber que tú también tienes más probabilidades de padecer el mismo problema. La mayoría de los problemas dentales que provocan la maloclusión han sido transmitidos por los padres. La forma o el tamaño de la mandíbula o maxilar superior pueden ser genéticos.
- Malos hábitos orales: Algunos malos hábitos orales en los primeros meses y años de vida pueden condicionar en gran medida la salud bucal en etapas posteriores. Por ejemplo, la respiración bucal, prolongación en el uso del chupete o chuparse los dedos. Chuparse los dedos: es muy probable que este hábito ocasione la desalineación de los dientes y algunas afecciones que impidan una masticación adecuada de los alimentos. Por ejemplo, la mordida abierta.
- Pérdida prematura de dientes: Cuando un niño pierde una pieza dental antes de tiempo, el resto de ellas suelen desplazarse para ocupar el espacio vacío.
- Traumatismo dental: Es habitual que los niños sufran lesiones practicando deporte. En ocasiones, puede tratarse de un diente torcido o fracturado. Los golpes o accidentes en la zona de la boca durante la infancia pueden provocar desplazamientos dentarios.
- Escasez de nutrientes y consistencia de los alimentos: Para un correcto desarrollo hay que masticar sólido y fibroso para ejercitar la musculatura que lleva a un crecimiento correcto de los huesos.
- Empuje Lingual: Un problema muy frecuente en la infancia es empujar la lengua contra los dientes frontales. Esta costumbre tiene como consecuencia el avance de las piezas dentales.
Causas en Adultos
- Enfermedad de las encías: La enfermedad de las encías, periodontitis, puede llevar a la pérdida de piezas dentales en sus fases más avanzadas.
- Maloclusión dental: La maloclusión dental es un problema muy común hoy en día. Significa que los dientes no encajan al cerrar la boca o al masticar.
- Muela del juicio: Muchas veces, la erupción de las muelas del juicio puede crear una falta de espacio en las arcadas. Cuando estas erupcionan y la arcada es demasiado pequeña como para que quepan estas piezas dentales, se da lo que se conoce como apiñamiento dental, causando dientes torcidos o muy torcidos debido a la falta de espacio.
- No haber utilizado retención: Muchos pacientes consultan con gran preocupación por el motivo de que sus dientes se hayan movido si han llevado ortodoncia con anterioridad. La fase de retención es lo único que puede mantener los resultados obtenidos de por vida.
La gran mayoría de las causas de los dientes torcidos están relacionadas con costumbres que adquirimos durante la infancia. Resulta primordial conocerlas y poner una solución cuanto antes.
¿Puedo MOVER MIS DIENTES con LA LENGUA? ¿ORTODONCIA EN CASA? ¡Es la verdad!
Consecuencias de Tener Dientes Torcidos
Si no arreglamos el problema de los dientes torcidos a una edad temprana, puede desencadenar en diversos inconvenientes para la salud bucodental del paciente:
- Problemas de masticación: La mala alineación provoca tensiones en dentadura y mandíbula.
- Problemas en el habla: Otro aspecto a tener en cuenta es la influencia que tiene la posición de los dientes en la capacidad de hablar. Los pacientes muy jóvenes que están comenzando a desarrollar sus capacidades fonéticas, pueden tener serias complicaciones para aprender a pronunciar algunos fonemas.
- Problemas dentales: Al estar el diente o los dientes torcidos, la placa bacteriana se acumula en zonas de difícil acceso. El apiñamiento de los dientes complica el acceso del cepillo dental a algunas zonas de la boca. De esta manera, puede favorecer la acumulación de placa bacteriana y derivar en mal aliento, caries o enfermedades periodontales.
- Problemas musculares: La mala alineación provoca tensiones en dentadura y mandíbula y con ello, dolores de cabeza o de cuello. Al no encajar correctamente los dientes en la mordida se produce una sobrecarga de fuerza durante la masticación. Por consiguiente, aparecen dolores en el cuello y la cabeza.
- Problemas de autoestima: La autoestima de una persona puede verse afectada. Afecta negativamente a la apariencia de la sonrisa, lo que puede afectar a la autoestima del paciente.
- Desgaste dental: Los dientes torcidos generan una maloclusión y, por tanto, una fricción que poco a poco consume las piezas dentales.
¿Cómo Arreglar los Dientes Torcidos?
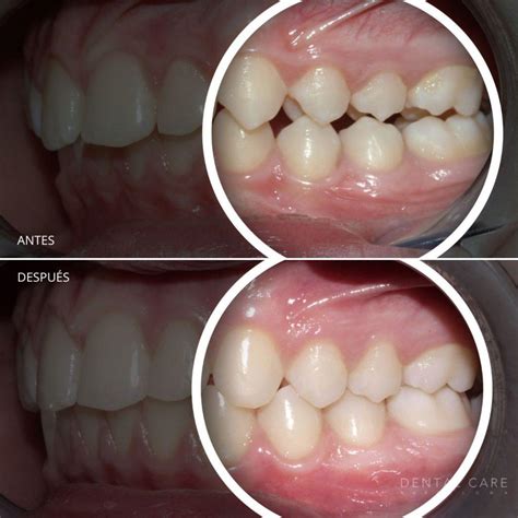
Por fortuna, los dientes torcidos se pueden corregir para evitar trastornos en la salud oral. Arreglar los dientes torcidos va más allá de la estética bucal. También es recomendable que se ponga remedio cuanto antes. Dependiendo del caso de cada paciente se llevará a cabo un tratamiento. La primera opción suele ser el tratamiento con ortodoncia.
A la hora de tratar los dientes torcidos, la ortodoncia es la mejor solución. En Vitaldent cuentas con sistemas de ortopedia, ortodoncia fija convencional, ortodoncia estética o alineadores.

Tipos de Ortodoncia
- Ortodoncia con Brackets: Estos aparatos ejercen una presión constante en cada diente en una dirección predeterminada por el dentista. De esta forma, se logra que se vayan desplazando de manera gradual hasta la posición correcta. En nuestra clínica trabajamos con dos tipos de brackets: metálicos y estéticos. Ambos tienen como objetivo alinear y corregir la posición del diente. Los primeros son más económicos, resistentes y sencillos de limpiar al ser metálicos. Por otro lado, la ortodoncia estética es muy cómoda y menos llamativa.
- Brackets estéticos: Estos brackets están fabricados con materiales con un color similar al diente.
- Ortodoncia lingual: La única de verdad inapreciable ante ojos ajenos, por ir colocados en la cara interna de los dientes.
- Ortodoncia invisible: La ortodoncia invisible corrige la posición de los dientes con unas férulas removibles que se cambian cada dos semanas. Estas férulas o alineadores se retiran solo para comer. Ofrece una serie de ventajas frente a las ortodoncias tradicionales: más discreta que los brackets, al tratarse de unas férulas transparentes; proporciona una mayor sensación de confort, ya que se retira para comer y permite realizar un cepillado de dientes sin dificultades; evita las posibles heridas y molestias que provocan los brackets.
- Ortodoncia interceptiva: Se emplea para detener y corregir lo antes posible los problemas de mordida. Este tipo de aparato dental se puede utilizar desde el inicio de la erupción de las piezas dentales para evitar el desgaste de los dientes, la futura aparición de enfermedades periodontales y los dolores en los huesos faciales. Además, este tipo de ortodoncia también puede implicar la colocación de pistas directas para descruzar dientes o la realización de un tallado si una pieza dental está chocando de manera incorrecta. Si tu hijo sufre de paladar estrecho u ojival, el dentista podría aconsejar el empleo de un expansor palatino (disyuntor).
Otros tratamientos
- Carillas dentales: El tratamiento con carillas dentales solo es viable en casos leves en los que los dientes frontales están ligeramente descolocados. Las carillas estéticas permiten modificar el tamaño, forma o color de las piezas dentales, pero estas deben estar previamente alineadas.
- Cirugía ortognática: Algunas anomalías en el desarrollo maxilofacial pueden precisar una cirugía ortognática para rectificar la relación entre la dentadura y los huesos faciales. Este procedimiento se realiza en la edad adulta.
Después del procedimiento, se recomienda el uso de retenedores removibles.
Recomendaciones Finales
- Es recomendable que entre los seis y siete años los niños acudan al ortodoncista.
- Si hay antecedentes en la familia y te preocupa que tu bebé tenga problemas con su dentición, consulta con un especialista en Odontopediatría al cumplir el primer año.
- Visita a un ortodoncista cuando tu hijo o hija haya cumplido 6 años. Es el momento ideal para comenzar con un tratamiento de ortodoncia interceptiva en caso de que lo necesite.
Si tienes los dientes torcidos o maloclusión dental, no dudes en visitar al odontólogo para prevenir problemas futuros. Ahora ya sabes que el origen del desalineamiento dental puede empezar en la infancia.
| Tratamiento | Descripción | Ventajas | Consideraciones |
|---|---|---|---|
| Ortodoncia con brackets metálicos | Aparatos fijos que ejercen presión para alinear los dientes. | Económicos, resistentes, fáciles de limpiar. | Menos estéticos. |
| Ortodoncia con brackets estéticos | Brackets fabricados con materiales del color del diente. | Más discretos que los metálicos. | Pueden ser más caros y delicados. |
| Ortodoncia lingual | Brackets colocados en la cara interna de los dientes. | Inapreciable a la vista. | Puede ser incómoda al principio. |
| Ortodoncia invisible (alineadores) | Férulas removibles transparentes que se cambian cada dos semanas. | Discreta, cómoda, permite higiene fácil. | Requiere disciplina para su uso. |
| Carillas dentales | Láminas que se adhieren a la superficie del diente para mejorar su apariencia. | Rápido, indoloro. | Solo para casos leves. |
| Cirugía ortognática | Corrección quirúrgica de anomalías en los huesos maxilares. | Solución para casos severos. | Invasiva, requiere tiempo de recuperación. |
tags: #dientes #definitivos #salen #torcidos