La imagen de la Familia Real Española es un tema de interés constante, y uno de los aspectos que no pasa desapercibido es su salud dental. En este artículo, exploraremos en detalle la dentadura del Rey Felipe VI, la Reina Letizia, la Princesa Leonor y la Infanta Sofía, analizando posibles tratamientos y recomendaciones de expertos en odontología estética.
Barcelona. Felipe VI no tiene motivos para reír. La Corona vive escondida de los españoles. El CIS hace años que suspende a la monarquía y desde que en el 2015 los ciudadano 'catearon' el rey (4,34 sobre 10) los gobiernos ya no preguntan. La reina Letizia tiene un problema evidente de imagen y el rey emérito coquetea no sólo con señoras sino también con el Código Penal. El cuñado de Felipe está en prisión y la hermana pequeña vive exiliada en Suiza. Algunos sobrinos van por mal camino. Será por el panorama familiar que el rey no ríe en público, sólo sonríe. Es una foto única, inédita y exclusiva. El rey se asegura de no reír abiertamente y se limita a sonrisas educadas.
Lejos de la sonrisa protocolaria y mirada perdida típicas de las visitas reales, el monarca saludó a empresarios del sector y dio la mano a Luca de Meo, presidente de Seat. Felip VI en su salsa, el Ibex 35, y dejándose ir en Catalunya. Feliz hasta el punto de enseñar una incomprensiblemente mal cuidada dentadura.
Parece extraño que cualquier presentador de TV tenga unos dientes más cuidados que el hombre que tiene una única función: representar y ser imagen de España. Será que quiere parecerse a sus súbditos, que tienen miedo o pereza a ir al dentista. No será porque el odontólogo sea caro.
Los Borbones tienen una única función, representar España. La Corona ejerce de símbolo como lo son el himno o la bandera, y por eso se les exige ética y ejemplaridad, dos cualidades que no adornan ni a Juan Carlos ni a sus hijos. La carga de ser un símbolo implica tener buena imagen, no solo ética sino de buena apariencia. Y en eso han tenido suerte.
Felipe también tenía un problema de imagen grave. Los reyes están obligados a sonreír y Felipe tiene una dentadura amarilla y mal alineada, como de fumador. Esta foto de 2019 es única, inédita y exclusiva. El rey se asegura de no reír abiertamente y se limita a sonreír. La foto fue tomada a unos 2,5 metros del jefe del Estado, la distancia más próxima que permite su abundante equipo de seguridad. Revisando las imágenes de aquel día, EN Blau encontró esta perla: una incomprensiblemente mal cuidada dentadura. No consta que el rey sea fumador como su padre, aficionado a los puros.
El monarca ha estado muy risueño. O los chistes eran buenísimos, o el nivel de relajación alcanzado durante la escapada a Catalunya destensó todos sus músculos. También el cerebro y el decoro. No queremos pecar de escatológicos ni de aficionados a las porquerías, pero no podemos dejar de comentar lo que se ve en sus dientes. Hace tiempo que Felipe parece tener mala relación con la salud bucal. Piezas amarillentas, poco alineadas, pobremente cepilladas e impropias de alguien que se dedica, no lo olviden, a su imagen y a las relaciones públicas. Desde 2019 vamos advirtiendo el deterioro dental del rey, y este 2024 la realidad no ha cambiado en absoluto. Con un añadido todavía más asquerosete: una zona negra incrustada en un incisivo. Suciedad.
Los dientes son un quebradero de cabeza en Zarzuela, debe ser que el monarca tiene miedo al dentista o le da pereza ir a la consulta. También, por lo visto, mantenerlos en perfecto estado de revista. Leonor y Sofía han sido agraciadas con esta herencia paterna, y han tenido que tomar medidas drásticas y correctoras durante años. Bracketts, problemas de desarrollo y crecimiento, atenciones constantes... Todo lo que él no se hace, vaya.
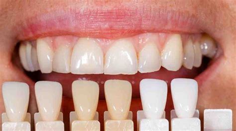
Según la ilustre odontóloga Eugenia Cervantes, Felipe VI tiene una sonrisa que transmite confianza y amabilidad pero le falta más luz y color y por ello a veces parece fría y apagada por culpa de unas piezas dentales de diferente color. Lo más recomendable sería una ortodoncia invisible para corregir esa leve malposición o apiñamiento y un posterior blanqueamiento o carillas de porcelana, ya que se ven algo amarillos.
Rey Felipe VI y la Princesa Leonor 2024 y 2007#royal #princess #realeza #princesaleonor #reyfelipe
La Reina Letizia y su compromiso con la estética dental
La Reina Letizia, por su parte, ha demostrado una gran preocupación por su sonrisa a lo largo de los años. No es ningún secreto que ha recurrido a tratamientos dentales, incluyendo la ortodoncia invisible. En 2010, la imagen de la actual reina luciendo unos curiosos brackets causó un verdadero furor en el sector logrando que la demanda de este tipo de tratamientos se disparara.
Para la doctora Eugenia Cervantes, su sonrisa «proyecta mucha actitud, fuerza y empoderamiento». Sin embargo, no podríamos decir que su sonrisa sea perfecta, aún puede seguir mejorando. A la hora de recomendarle su tratamiento odontológico ideal, lo primero que hay que tener en cuenta es que la Reina ya ha utilizado ortodoncia previamente. «Yo le propondría un diseño de sonrisa para conseguir que la zona posterior sea más amplia», comenta la Dra. Eugenia Cervantes. El resultado es abrir aún más su sonrisa y «una sonrisa más amplia es sinónimo de una sonrisa más juvenil», confirma la experta. Además de trabajar en una mayor apertura de su boca, se puede incidir en el tono de sus piezas dentales. «Aunque observo que tiene los dientes blancos, podría mejorar aún más este aspecto si conseguimos que los bordes incisales sean más translucidos». Con este ligero cambio la Reina ganaría mucha más naturalidad.
Las últimas fotografías de la Reina Letizia revelan que sus dientes están cambiando de posición. Esto podría ser debido a que, tras haberse realizado una ortodoncia con brackets de zafiro en 2010, no ha hecho buen uso de los retenedores y sus dientes se están moviendo, o eso me parece a mí.
La doctora Eugenia Cervantes nos explica cómo darle solución: “Al finalizar tu tratamiento de ortodoncia debes llevar los retenedores de por vida, de lo contrario, se producen recidivas, es decir, que es cuando los dientes que ya están en una posición adecuada se van moviendo hacia la posición inicial. Los dientes tienen memoria y si no llevamos los retenedores, al menos por las noches, se irán moviendo al punto de echar a perder todo lo conseguido con la ortodoncia. En estos casos, el paciente tendrá que llevar nuevamente un tratamiento con brackets o alineadores invisibles para corregir ligeras malposiciones, algo que probablemente tendrá que hacer la Reina Letizia".
Con ortodoncia invisible: “Aunque cualquier sistema de ortodoncia podría dejar los dientes nuevamente en la posición correcta, yo recomiendo un tratamiento más cómodo, estético y práctico en pacientes adultos como la ortodoncia invisible. En cuestión de 3 o 4 meses se puede corregir el problema si el caso es leve. Me gusta mucho este sistema porque nos permite planificar virtualmente con un software avanzado los movimientos de los alineadores y mostrarle al paciente cómo quedará su sonrisa antes de empezar el tratamiento. Después le entregamos los alineadores y le hacemos un seguimiento mes a mes, esto es imprescindible porque han aparecido marcas low cost de ortodoncia invisible que abandonan a sus pacientes a mitad del tratamiento y después tienen consecuencias irreversibles en su salud bucal.
La ortodoncia invisible, como el método revolucionario de Invisalign, es una alternativa discreta a los tradicionales brackets metálicos. A través de alineadores transparentes y removibles, este tratamiento permite corregir problemas de maloclusión dental, sin afectar la estética durante el proceso.
Mariló Montero, reconocida periodista española, decidió optar por el tratamiento de Invisalign para corregir ciertos problemas de alineación en su dentadura. A pesar de ser una figura pública, Mariló pudo llevar a cabo su tratamiento sin que se notara, manteniendo su imagen impecable durante todo el proceso.
Nuria Roca, conocida presentadora de televisión, decidió apostar por Invisalign para corregir ciertos problemas en su dentadura sin comprometer su imagen pública. Este tratamiento le permitió corregir la alineación de sus dientes de manera discreta y eficaz, sin renunciar a la estética.
Incluso en la realeza, se han utilizado los beneficios de Invisalign. El rey Juan Carlos de España decidió someterse a un tratamiento con Invisalign para corregir pequeños problemas de alineación en su dentadura sin que fuera perceptible.
La reina Máxima de Holanda también ha sido una de las personalidades que ha utilizado Invisalign para mejorar su sonrisa. Este tratamiento de ortodoncia invisible le ha permitido corregir problemas dentales sin que se note en su apariencia.

La Princesa Leonor y la Infanta Sofía: Herederas de la sonrisa real
La Princesa de Asturias no solo ha heredado la corona sino también la sonrisa de su padre. Para nuestra experta, de la Familia Real es ella quien tiene la sonrisa que más llama la atención debido a la expresividad y calidez que transmite. Analizando los rasgos, se ven muchas similitudes con el Rey. «La sonrisa de la Princesa de Asturias es muy parecida a la del Rey Felipe VI. Es una sonrisa igual de cálida que la de su padre, con un toque más de expresividad y armonía», expresa la Dra. Eugenia Cervantes. La doctora también encuentra otras similitudes en el rostro entre padre e hija.
Finalmente, llegamos a la pequeña de la familia. La Infanta Sofía, con 14 años, es la menor de las hermanas y por ello, según nuestra experta, cuenta con una sonrisa que «trasmite toda su juventud». Para los expertos de Carlos Saiz Smile, ambas hermanas lucen sonrisas alegres y sanas aunque su alineación no es perfecta.
La presencia de la Princesa Leonor en Asturias, con motivo de la entrega de los Premios que llevan su nombre, ha puesto de manifiesto que la Heredera padece una enfermedad conocida con el nombre de agenesia hereditaria, un trastorno común que consiste en la ausencia o falta de crecimiento de uno o más dientes por la falta de tejido primordial y que se pone de manifiesto cuando sonríe. No es que se te haya caído un diente o muela sino una patología congénita, aunque parece haber un factor hereditario y cierta evolución morfológica en la dentadura. La agenesia puede ocasionar problemas funcionales tales como en la masticación, en la salivación, etc y malas oclusiones, dicen los odontólogos. Según ellos, el tratamiento consiste en abrir esos espacios y ubicar en los mismos unos implantes colocando una raíz artificial y una corona dental, aunque el recurso de los implantes no está recomendado hasta después de los 18 años, los que Leonor cumplirá el 31 de octubre del próximo año. Ahora se encuentra a las puertas de su mayoría de edad.
Tratamientos dentales populares entre los famosos españoles
En el mundo de la fama, los famosos españoles también buscan tener una sonrisa perfecta. A través de tratamientos dentales como carillas, blanqueamientos, ortodoncia invisible e implantes dentales, han logrado transformaciones asombrosas en su aspecto dental. Penélope Cruz, George Clooney, Paula Echevarría, J Balvin, Miley Cyrus, y otros famosos han optado por mejorar su estética dental, mostrando resultados sorprendentes. Además, el método revolucionario de ortodoncia invisible Invisalign ha sido utilizado por figuras como Mariló Montero, David Broncano, Nuria Roca, el rey Juan Carlos y la reina Máxima de Holanda.
Lucir una sonrisa perfecta es el deseo de muchas personas, incluyendo a los famosos. Para lograrlo, existen una variedad de tratamientos dentales disponibles que pueden transformar por completo la apariencia dental.
- Carillas dentales: Son finas láminas de porcelana o composite que se adhieren a la superficie de los dientes para corregir defectos estéticos como el color, la forma o el tamaño.
- Blanqueamiento dental: Es un procedimiento no invasivo que ayuda a eliminar manchas y decoloraciones en los dientes, devolviéndoles su brillo natural.
- Implantes dentales: Son una solución duradera para reemplazar dientes perdidos. Consisten en la colocación de una raíz artificial de titanio en el hueso maxilar, sobre la cual se coloca una corona dental personalizada.

Recomendaciones para mantener una sonrisa impecable
Como famoso, es crucial cuidar de tu salud dental para mantener una sonrisa impecable y radiante. Aquí hay algunas recomendaciones:
- Realiza una buena higiene bucal en casa: Cepilla tus dientes al menos dos veces al día con una pasta dental de calidad, utilizando técnicas adecuadas de cepillado.
- Visita regularmente a tu dentista: Programa citas regulares con tu dentista para realizarte limpiezas profesionales y revisiones dentales completas.
- Evita malos hábitos que puedan dañar tus dientes: Evita morder objetos duros, como lápices o hielo, que puedan causar fisuras o fracturas en tus dientes.
- Adopta una alimentación saludable: Consumir una dieta equilibrada, rica en vitaminas y minerales esenciales para la salud dental, puede contribuir a mantener tus dientes y encías en buen estado.
Análisis del Dr. Gómez Villar sobre el Rey Felipe VI
El Dr. Gómez Villar analiza el cambio físico de su majestad don Felipe de BorbónLos medios internacionales le consideran uno de los hombres más elegantes del mundo Los detalles del posado veraniego de los reyes y las princesas en Mallorca: un vestido de 25 euros y un posible guiño a 'Barbie'Le consideran uno de los hombres más elegantes del mundo y todo el mundo coincide en que cada día está más guapo y que es un hombre muy, muy atractivo, pero… ¿Se ha hecho algún retoque estético el rey Felipe VI? Tras ver su último posado familiar, en el plató del Fresh se abrió un debate en el que muchos consideraban que Felipe VI se había sometido algún que otro retoque facial y que al igual que Brad Pitt, cada día estaba más guapo.
Ante tal sensación, ‘Ya es mediodía’ ha analizado dos imágenes de su majestad y ha pedido opinión a los expertos. El Médico José Ramón Gómez Villar ha analizado la salud física y estética de don Felipe en una imagen del día de su cumpleaños el pasado año 2013 y una actual. El médico considera que el Rey cuenta con una buenísima salud capilar, algo que no es muy habitual con los 46 años que presentaba en ese momento, una figura esbelta, una buenísima calidad de piel y una fisonomía de pómulos que favorece mucho las causas del envejecimiento.
Según el experto, diez años después, los pómulos, característicos de la familia Borbón, permanecen intactos y hacen que el paso del tiempo no pase por él. Su majestad cuenta con cierta caída de pelo y su piel tiene unas ligeras arrugas de expresión, algo que se consigue manteniéndose por dentro y por fuera. Un análisis que demuestra que su majestad el Rey Felipe VI no se ha sometido a ningún retoque estético. Antonio Rossi se ha lanzado a la piscina y le ha dicho que debería arreglarse los dientes en busca de una alineación perfecta.
Resumen de recomendaciones de los expertos
A continuación, se presenta una tabla con un resumen de las recomendaciones de los expertos para la salud dental de la Familia Real:
| Miembro de la Familia Real | Recomendaciones |
|---|---|
| Rey Felipe VI | Ortodoncia invisible para corregir apiñamiento, blanqueamiento dental y carillas de porcelana. |
| Reina Letizia | Diseño de sonrisa para ampliar la zona posterior, mejorar la translucidez de los bordes incisales y carillas de porcelana. |
| Princesa Leonor | Considerar implantes dentales para tratar la agenesia hereditaria después de los 18 años. |
| Infanta Sofía | Mantener una buena higiene bucal y considerar ortodoncia si es necesario. |