La imagen de los famosos siempre está bajo la lupa, y la sonrisa no es una excepción. En el caso de Isabel Pantoja, su dentadura ha sido objeto de comentarios y análisis a lo largo de su carrera. En este artículo, exploraremos los tratamientos dentales a los que se ha sometido, sus rutinas de belleza y cuidado personal, y cómo estos factores contribuyen a su imagen pública.

La Evolución de la Sonrisa de Pantoja
Aunque cuando se casó con Paquirri Isabel tenía una dentadura propia, natural, muy bonita, el paso del tiempo y su trabajo de artista la han impulsado a estrenar boca. Un dentista estético consultado por LOC opina que "no es la primera vez que se los retoca, porque de joven tenía una pequeña malposición que probablemente corrigió con ortodoncia".
Al salir de Alcalá de Guadaíra, la tonadillera pasó por quirófano para arreglarse el pecho y el abdomen. Estas son las intervenciones de cirugía estética a las que se sometió y que trascendieron en la prensa, sin embargo es un hecho que Pantoja se estiró también la cara. Su 'metalifting' está a la vista de todos y por lo visto se lo realizaron en el Hospital Infanta Luisa de Sevilla, cuenta Estrella Digital.
Francamente, este cambio de imagen está bastante bien ejecutado, según varios cirujanos plásticos consultados por este suplemento. Pero lo que resulta más artificial es, sin duda, su nueva sonrisa.
"No parecen carillas de porcelana o de composite, más baratas, sino más bien fundas", sostiene el especialista. "Ella ha pedido que le expandan la sonrisa, que luzca más amplia y uniforme, sin estar recogida en los laterales. Este tipo de dentadura nunca se le hace a una chica joven, sí a alguien más mayor, a ella le pega más. No está mal, aunque se puede lograr un resultado menos artificial"

Tratamientos Dentales y Estéticos
En el recuerdo de todos está aquel paseo de los malogrados Isabel Pantoja y Julián Muñoz ante la prensa sonriendo falsamente y diciendo "Dientes, dientes, que es lo que les jode". Ambos reclusos mostraban entonces altivamente sus carísimas dentaduras en señal de afrenta a los medios. En principio quien tiene acceso a los carísimos tratamientos y arreglos dentales, tendría una dentadura más bonita. Sin embargo no es tan fácil ni tan certero el juicio según la piñata.
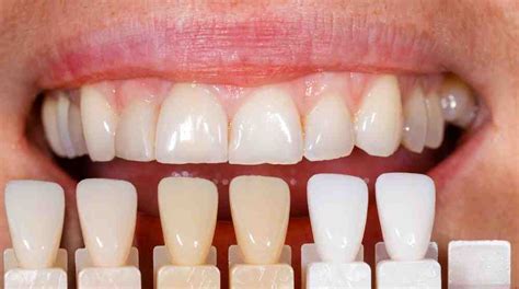
Los tratamientos de estética más demandados por los famosos en las clínicas dentales son, por este orden: "blanqueamientos dentales después de una ortodoncia correcta, el contorneado de dientes, es decir, limarlos para que estén más regulares, poner fundas o carillas, alargamiento o acortamiento de encías, cerrar diastemas, etcétera".
Según el doctor Javier Ortega, director de la clínica dental Zenith Periodontal, «sospecho que se corrigió la forma de los dientes con carillas de composite. Ahora se los ha vuelto a corregir para iluminar y ampliar la sonrisa con coronas cerámicas. Es probable que haya demandado ella ese color tan blanco porque los dentistas no solemos sugerirlo a esa edad. No es natural».
Algunas de las técnicas más comunes incluyen:
- Blanqueamiento dental: Es lo último para corregir la sonrisa gingival.
- Carillas: Ahora son imperceptibles. "El método Wikend no requiere carillas provisionales ni tallado. El resultado es natural y a medida", dice la doctora Elena Criado.
- Alineadores: "Son de plástico y se diseñan con la última tecnología 3D para que se ajusten a la perfección a la boca", afirma el odontólogo Carlos Saiz.
El Blanqueamiento Dental en Detalle
Hablando antes de otro tipo de blanqueamientos, en este caso Pantoja no se habría blanqueado también los dientes, ya que las fundas llevan este color y no se blanquean, sino los dientes más naturales. Tendrá que tener cuidado a partir de ahora la cantante con la ingesta de café y vino y el consumo de tabaco para que no se le oscurezcan.

Rutinas de Belleza y Cuidado Personal
Para Isabel Pantoja, cuenta Valeria, cuidar sus manos y pies es fundamental. Isabel se puede hacer una coleta porque tiene un pelazo, se lava el pelo y se hace una coleta y ya está. El resto puede ir vestida como sea, pero lo que no puede faltar nunca son las manos y los pies. Desde la hidratación de los pies, que le gusta a ella misma hacerse con unos guantes de hidratación que le he dejado yo, y las manos también. Lo que es fundamental son las dos capas de brillo.
Lo básico para ella son sus manos y sus pies. Isabel no sale a la calle sin… Lo básico para ella son sus manos y sus pies.
¿Cuáles son los hits de belleza de la Pantoja? A ella le gusta mantener un aspecto muy natural, muy cómodo… Pero hay que tener en cuenta que detrás de un aspecto natural siempre hay mucho trabajo, un trabajo mucho más difícil porque es más minucioso, pero sí que es verdad que ella necesita estar cómoda. Cuando viaja a Chile no va la manicurista con ella y necesita unas uñas que le duren y que estén perfectas. Por ejemplo las uñas de los pies para los zapatos, piensa en una uña mal limada al ponerse una media o algo… Son cosas, detalles, que tienen que estar muy, muy pulidos.
También le gusta mucho la manicura francesa. Bueno, le encanta. El rojo le gusta, los colores corales también le gustan y los ha usado muchísimo, pero ahora mismo no se lo pone. Lo importante es que justo para su espectáculo tenga el máximo brillo, el máximo esplendor… Una cosa que le gusta mucho y que no me lo pide casi nadie es poner dos capas de brillo. Y los esmaltes son todos de primeras firmas y primerísima calidad, todo cuidado al detalle.
Las uñas tienen un mantenimiento de 20 días aproximadamente, pero hay ocasiones en las que necesita más asiduidad. Por ejemplo, el concierto de Sevilla y el de Murcia los tenía muy seguidos, como una semana de diferencia, y le atendí para los dos.
Siempre tiene que ser en un sitio privado, ya sea en su casa, en el hotel, en Cantora mismo… Siempre en un sitio discreto. Isabel es una mujer que sabe muchísimo de moda y coincide que yo estudié moda también, por lo que siempre hablamos de nuevos diseñadores, de la nueva de Dior por ejemplo, y veo que sabe más de lo que me imagino…

Factores que Influyen en la Percepción de la Sonrisa
En televisión estamos acostumbrados a relucientes y blanqueadas sonrisas. Parece que todos han nacido así. Los resultados, de variable fortuna, consiguen igualar a la figura de celebrity televisiva. Existe una estandarización dental en las pantallas, que ha creado incluso su propia jerarquía clasista.
Porque no sé si ustedes habrán reparado, pero hay algunos que "se han pasado" en esto de arreglarse los dientes, y cual estrella norteamericana, se plantan una dentadura artificial, grande y en exceso refulgente. Gente que no tiene medida estética alguna y confunde trabajar muy holgadamente de cara al público con exhibir una sonrisa carísima. Como si unos dientes artificiales sirvieran para para hacer ostentación del buen momento laboral o económico que se vive.
Hay una especie de "mínimos estéticos" en televisión: No llevar el pelo sucio, granos o heridas a la vista, o falta de piezas dentales. Pero en ningún caso se obliga a ese "look Nochevieja" de gente con pocos recursos que lucen algunos en televisión.
Si la cara es el espejo del alma, la sonrisa es la cara amable de nuestro alma. La Ciencia ha ido evolucionando para solucionar los problemas que van surgiendo y a nivel dental existe un remedio para recuperar la sonrisa, siendo las carillas dentales una buena solución para resolver este problema estético que suele ser un tratamiento satisfactorio e indoloro (no duele).
Con esta incógnita resuelta, ya podríamos reírnos a mandíbula batiente en la forma más apreciada de todas, la llamada ‘sonrisa Duchenne’, espontánea y la que de verdad muestra alegría, pues no puede fingirse. “Una sonrisa falsa solo involucra a los músculos de la boca y los labios, mientras una sincera implica, además, a los músculos de los ojos”, aseguraba el médico francés Guillaume Duchenne, que pasa por ser el mayor especialista.
Y es que, al final, como asegura el doctor Castro, la sonrisa es la carta de presentación de una persona: “Cuando hacemos este gesto estamos comunicando, porque transmitimos de esta forma nuestro estado de ánimo a nuestro interlocutor. Ahora bien, cada sonrisa es diferente, igual que cada boca es diferente”.