Los dientes supernumerarios, también conocidos como hiperdoncia, son una anomalía dental caracterizada por la presencia de más dientes de lo habitual en la boca. Esta condición puede afectar tanto a niños como a adultos y puede tener diversas implicaciones para la salud dental.
En este artículo, exploraremos las causas, síntomas, consecuencias y tratamientos de los dientes supernumerarios para que puedas entender mejor esta condición y cómo puede ser abordada. En Lakudent, comprendemos la importancia de informar a nuestros pacientes sobre diversas condiciones dentales, incluyendo los dientes supernumerarios o hiperdoncia.

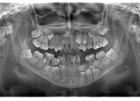
Radiografía mostrando la presencia de dientes supernumerarios impactados.
¿Qué es la Hiperdoncia?
La hiperdoncia es una alteración en los dientes que se caracteriza por la aparición de dientes adicionales, conocidos como dientes supernumerarios. En condiciones normales, los seres humanos tenemos 32 dientes, incluyendo los 4 terceros molares o muelas del juicio. Sin embargo, hay personas que pueden tener una dentadura con más piezas del número estándar establecido.
No es una anomalía frecuente, ya que el porcentaje de población que lo padece oscila entre el 2 y el 3%.Los dientes supernumerarios pueden aparecer de forma aislada o en grupos, y se desarrollan de manera similar a los dientes normales. En algunos casos, los dientes supernumerarios no son visibles a simple vista, ya que pueden permanecer impactados (es decir, debajo de la encía sin aparecer fuera) o desarrollarse en zonas difíciles de observar.
La hiperdoncia puede manifestarse de diferentes maneras, desde una pequeña alteración estética hasta complicaciones más graves que pueden llegar a afectar a la alineación de los dientes y la mordida en sí.
Causas de los Dientes Supernumerarios
DIENTES SUPERNUMERARIOS extra - Dientes de más en la boca
La hiperdoncia puede tener diversas causas, que van desde factores genéticos hasta influencias ambientales. Aunque los dientes supernumerarios se forman por una hiperactividad de las células embrionarias que forman los dientes, se desconoce la razón de esta actividad celular.
- Herencia Genética: Una de las principales causas de la hiperdoncia es la herencia genética. En muchos casos, la presencia de dientes supernumerarios puede ser hereditaria, lo que significa que si un miembro de la familia ha tenido hiperdoncia, es mucho más probable que otros miembros de la misma familia también la presenten. El mecanismo genético exacto aún no se conoce, pero lo que sí se sabe es que las anomalías en la formación de los dientes pueden ser hereditarias.
- Síndromes y Condiciones Médicas: Además de los factores genéticos familiares, la hiperdoncia también se ha llegado a asociar con ciertas enfermedades genéticas o síndromes. Algunos de estos síndromes provocan alteraciones en el desarrollo de los dientes, incluyendo anomalías en el número de dientes. Entre ellos se incluyen:
- Síndrome de Gardner: Este es un trastorno hereditario raro que afecta varios sistemas del cuerpo, incluidos los dientes.
- Síndrome de Cleidocranial: Este síndrome se caracteriza por anomalías en el desarrollo de los huesos y dientes.
- Alteraciones durante el embarazo: Pueden existir algunas causas que facilitan que el desarrollo de los dientes no sea el adecuado durante el embarazo.

Algunos síndromes genéticos pueden estar asociados a la aparición de dientes supernumerarios.
Impacto en la Salud Bucodental
La hiperdoncia, que se caracteriza por la presencia de dientes supernumerarios, puede afectar de manera significativa la salud bucodental. En conclusión, la hiperdoncia suele afectar tanto la estética como la funcionalidad de la boca, generando complicaciones como maloclusiones, apiñamiento dental y dificultades en la higiene bucodental.
- Apiñamiento Dental: Una de las consecuencias más comunes de la hiperdoncia es el apiñamiento dental. Los dientes supernumerarios ocupan espacio adicional en la boca, lo cual impide que los dientes existentes o “normales” se alineen de manera correcta. El apiñamiento también puede dificultar la capacidad de los dientes para cumplir su función (como morder y triturar los alimentos de manera correcta).
- Problemas de Oclusión o Masticación: La presencia de dientes adicionales puede, también, llegar a alterar la mordida o oclusiones de la mandíbula, lo cual afecta la manera en que los dientes superiores e inferiores encajan entre sí. El mal crecimiento de los dientes provoca problemas de oclusión. Los dientes están diseñados para encajar como una caja de zapatos y así repartir de forma correcta las fuerzas de masticación entre ellos. Además, una mordida incorrecta puede dificultar la masticación, ya que los dientes pueden no funcionar correctamente al triturar los alimentos.
- Mayor Riesgo de Caries y Enfermedades Periodontales: Otro efecto negativo importante que puede provocar la hiperdoncia es el mayor riesgo de caries y enfermedades periodontales. Los dientes supernumerarios, especialmente aquellos que están impactados o mal alineados, pueden crear zonas de difícil acceso para la higiene bucal, acumulándose la placa bacteriana. Estas enfermedades son muy importantes y hay que considerarlas seriamente ya que pueden llevar a la pérdida de dientes si no se tratan adecuadamente.
- Implicaciones Estéticas: La hiperdoncia también tiene implicaciones estéticas importantes. Los dientes adicionales pueden interferir con la apariencia general de la sonrisa, generando una alineación irregular o una apariencia desproporcionada.
- En caso de que los dientes supernumerarios afecten a un niño que se encuentra inmerso en el proceso de recambio dentario, la presencia de los mismos puede retrasar la erupción de las piezas definitivas.
Diagnóstico de la Hiperdoncia
El diagnóstico de la hiperdoncia es fundamental para poder abordar correctamente esta condición y prevenir posibles complicaciones. La hiperdoncia suele ser asintomática, de forma que la detectará el odontólogo mediante las radiografías de seguimiento en consulta. Los especialistas en Odontología podemos distinguir los casos de hiperdoncia en una primera exploración, en función de la ubicación y la forma de los dientes numerarios.
El diagnóstico de la hiperdoncia generalmente comienza con una exploración clínica exhaustiva realizada por uno de nuestros dentistas. Durante este examen, se realiza un examen de la boca del paciente en busca de signos visibles de dientes adicionales. Por esto, se recurre a radiografías dentales para obtener una visión más detallada de la dentición del paciente. Las radiografías permiten observar no sólo los dientes visibles, sino también aquellos dientes que están por debajo de la superficie, como los dientes impactados o los que aún no han erupcionado.

Radiografía panorámica utilizada para el diagnóstico de hiperdoncia.
Aunque la hiperdoncia puede ser detectada a través de una exploración clínica básica y radiografías, es esencial que el diagnóstico y tratamiento sean gestionados por un dentista especializado. Un dentista especializado en ortodoncia o cirugía maxilofacial será capaz de evaluar adecuadamente la situación y determinar el tratamiento más adecuado para cada caso.
Tratamientos para los Dientes Supernumerarios
El tratamiento de la hiperdoncia depende de varios factores, como la cantidad y la ubicación de los dientes supernumerarios, el impacto que estos tienen en la alineación dental y la salud bucodental en general. Para acceder a un buen diagnóstico es importante acudir a una clínica dental con un equipo multidisciplinar de primer nivel que determine el mejor plan de tratamiento y el momento óptimo para intervenir. Planes de tratamiento personalizados: La hiperdoncia puede requerir diferentes enfoques de tratamiento dependiendo de la cantidad y la ubicación de los dientes adicionales.
El tratamiento más común para los dientes supernumerarios será su extracción para favorecer el desarrollo de las piezas numerarias. De este modo, tras la realización de las citadas exodoncias, suele ser necesario abordar tratamientos de ortodoncia para corregir los distintos problemas de oclusión y conseguir, de este modo, una sonrisa óptima.
Opciones de Tratamiento:
- Extracción de Dientes Supernumerarios: La extracción de dientes supernumerarios es el tratamiento más común cuando los dientes adicionales causan problemas de alineación, maloclusiones o dificultan la higiene bucal.
- Extracción Quirúrgica: Si el diente adicional está impactado o no ha erupcionado, la extracción puede requerir un procedimiento quirúrgico más complejo.
- Tratamiento de Ortodoncia: Después de la extracción de los dientes supernumerarios, muchos pacientes necesitan de un tratamiento de ortodoncia para corregir la alineación de los dientes restantes.
- Brackets Tradicionales: Son el tipo más común de ortodoncia, consisten en pequeños dispositivos adheridos a los dientes y conectados por un alambre.
- Alineadores invisibles (Invisalign): Para pacientes que prefieren una opción estética y discreta, los alineadores invisibles son una excelente alternativa.
- Aparatos Linguales: Los brackets linguales se colocan en la cara interna de los dientes, lo que los hace invisibles desde el exterior.
El tratamiento de ortodoncia puede durar varios meses o incluso años, dependiendo de la gravedad del apiñamiento y la edad del paciente.
Aunque no se puede prevenir la aparición de dientes supernumerarios, sí es posible detectarlos y tratarlos de manera temprana. Si sospechas que tú o un ser querido podrían tener hiperdoncia severa, no dudes en acudir a tu dentista o ortodoncista de confianza para obtener un diagnóstico y tratamiento adecuados.