¿Estás insatisfecho con la apariencia de tus dientes grandes y buscas una solución efectiva? Una sonrisa atractiva y armoniosa es un aspecto importante para muchas personas, ya que puede influir en la autoestima y la confianza en uno mismo. Afortunadamente, hoy en día existen diversas soluciones para corregir tanto el tamaño como la alineación de los dientes.

¿Qué es la Macrodoncia?
La macrodoncia, o dientes grandes, es una condición dental en la que los dientes son significativamente más grandes que el promedio en proporción al resto de la cara y los dientes vecinos. La macrodoncia puede ser el resultado de varios factores, incluyendo genética, problemas de desarrollo o incluso hábitos adquiridos.
- Factores genéticos: La genética juega un papel importante en el tamaño y la forma de los dientes. Algunas personas heredan simplemente dientes más grandes que otras.
- Problemas de desarrollo: La macrodoncia también puede ser el resultado de un crecimiento excesivo de los dientes durante el desarrollo.
- Hábitos adquiridos: En algunos casos, los hábitos adquiridos, como la respiración crónica por la boca, la succión prolongada del pulgar o el uso de chupetes más allá de la edad adecuada, pueden contribuir al desarrollo de dientes grandes.
Opciones de Tratamiento para Dientes Grandes
Existen varias opciones de tratamiento para abordar el problema de los dientes grandes, cada una con sus propias ventajas y consideraciones:
1. Ortodoncia
La ortodoncia es a menudo la primera línea de tratamiento recomendada para aquellos con dientes grandes. Los aparatos de ortodoncia, como los brackets tradicionales o las alineadores transparentes, trabajan para mover gradualmente los dientes a sus posiciones correctas. La ortodoncia también puede mejorar la oclusión dental, es decir, la forma en que los dientes superiores e inferiores encajan entre sí.

ALINEADORES INVISIBLES 🦷| ¿Valen la Pena?👎👍
2. Contorneado Dental Estético
El contorneado dental, también conocido como ajuste oclusal, es un procedimiento conservador que puede ayudar a reducir ligeramente el tamaño de los dientes grandes y mejorar su forma. El contorneado dental estético es un procedimiento indicado principalmente para los dientes anteriores (incisivos y caninos), ya que son los más visibles al sonreír. Al actuar únicamente sobre el esmalte -la capa más externa del diente-, no afecta al tejido interno ni requiere anestesia. No obstante, la técnica debe realizarse con sumo cuidado y precisión, para no eliminar más esmalte del necesario. El contorneado dental se realiza comúnmente en combinación con el blanqueamiento dental para mejorar aún más la estética de la sonrisa. Es un procedimiento relativamente simple que puede realizarse en una sola cita dental y proporciona resultados inmediatos.

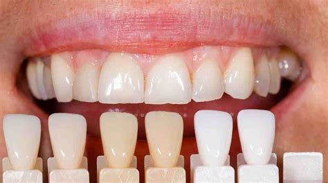
3. Carillas Dentales
Las carillas dentales son una opción popular y efectiva para aquellos que buscan una transformación más dramática en su sonrisa. Para aquellos con dientes grandes, las carillas pueden utilizarse para reducir la apariencia del tamaño dental al recubrir el diente con una cubierta más delgada y de tamaño más adecuado.

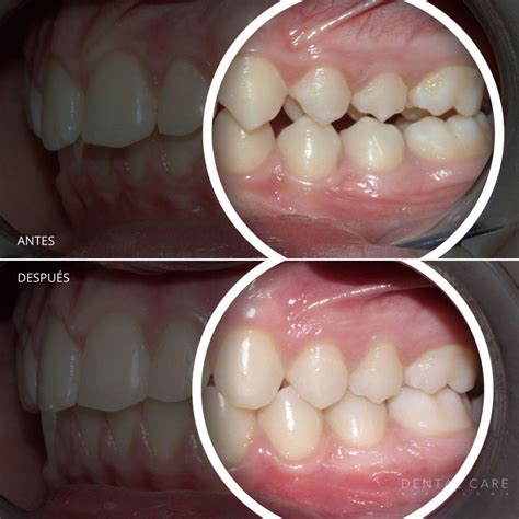
El Apiñamiento Dental
El apiñamiento dental, también conocido como "dientes montados”, es uno de los problemas más frecuentes de la posición y alineación de los dientes y el motivo principal por el que la gente acude a la consulta del ortodoncista.
¿Qué es el apiñamiento dental?
El apiñamiento de dientes es una malposición debida a la falta de espacio en la encía para contener todas las piezas. Esto hace que los dientes estén montados. Es común en los niños a partir de los 6 años, cuando los dientes de leche comienzan a caer para dejar espacio a los definitivos. Sin embargo, también es frecuente ver a adultos con los dientes apiñados.
Causas del apiñamiento dental:
- Mandíbula demasiado pequeña
- Dientes demasiado grandes
- Paladar ojival o estrecho
- Dientes supernumerarios
- Hábitos linguales
- Pérdida o ausencia de dientes
Tipos de apiñamiento dental según su causa:
- Primario: Tiene un factor genético y puede ser hereditario.
- Secundario: Causado por malos hábitos orales, como chuparse el dedo o el uso prolongado del chupete.
- Terciario: Provocado por la erupción de las muelas del juicio sin espacio suficiente.
Grados de apiñamiento dental:
- Leve: Falta menos de 3 milímetros de espacio por arcada.
- Moderado: La falta de espacio por arcada está entre 3 y 5 mm.
- Severo: El espacio que falta es superior a 6 mm.
Riesgos de no tratar los dientes apiñados:
- Mala higiene dental
- Inflamación de las encías y otras enfermedades periodontales
- Desgaste del esmalte y los dientes
- Problemas de oclusión
Tratamientos para el Apiñamiento Dental
Existen diferentes tratamientos para corregir el apiñamiento dental, dependiendo del grado de severidad y la edad del paciente:
Corrección en casos de apiñamiento dental leve:
Si el apiñamiento es leve, se pueden utilizar carillas de cerámica o composite para corregir el solapamiento en un tiempo récord.
Corrección en casos de apiñamiento moderado o severo:
En los casos más complejos, solo la ortodoncia puede solucionar el apiñamiento. Esto puede ir acompañado de diversas técnicas para obtener resultados satisfactorios.

Tratamientos de ortodoncia disponibles:
- Brackets metálicos
- Brackets estéticos (zafiro o cerámica)
- Brackets autoligables
- Aparato lingual
- Alineadores invisibles
Tratamientos para el apiñamiento dental según la edad del paciente:
- Niños: Ortodoncia interceptiva para tratar la falta de espacio desde temprana edad.
- Adolescentes y adultos: Ortodoncia correctiva con brackets o alineadores invisibles.
Ortodoncia y Dientes Proyectados Hacia Afuera
Es posible que después de un tratamiento de ortodoncia, los dientes se proyecten hacia afuera. Esto puede deberse a varias razones:
- Falta de retención adecuada
- Tratamiento sin extracciones (falta de espacio)
- Crecimiento de la mandíbula o cambios esqueléticos
- Muelas del juicio erupcionando
- Hábitos y fuerza muscular
- Problemas periodontales
Soluciones para dientes proyectados hacia afuera después de la ortodoncia:
- Uso disciplinado del retenedor
- Ortodoncia de «retoque» (alineadores transparentes o brackets segmentarios)
- Extracciones tardías
- Otros aparatos auxiliares (mini-tornillos)
Consejos Adicionales
Aquí hay algunos consejos adicionales a tener en cuenta al considerar el tratamiento para dientes grandes o apiñados:
- Consulta con un profesional calificado: Busca la opinión de un dentista experimentado y calificado que tenga una comprensión profunda de la macrodoncia y las opciones de tratamiento disponibles.
- Comprende tus opciones: Infórmate bien sobre las diferentes opciones de tratamiento disponibles, incluidos los beneficios, riesgos y resultados que puedes esperar de cada una.
- Considera una combinación de tratamientos: En algunos casos, una combinación de tratamientos puede proporcionar los mejores resultados.
- Mantén expectativas realistas: Recuerda que cada caso es único y los resultados pueden variar.
- Considera el impacto en tu estilo de vida: Algunos tratamientos, como la ortodoncia, pueden requerir ajustes en tu estilo de vida y dieta durante un período de tiempo.
Recuerda, tanto reducir el tamaño de los dientes grandes como agrandar el tamaño de dientes pequeños no solo puede mejorar tu apariencia física, sino que también puede tener un impacto positivo en tu confianza y autoestima.
| Tratamiento | Descripción | Ventajas | Desventajas |
|---|---|---|---|
| Ortodoncia (Brackets) | Aparatos fijos que mueven gradualmente los dientes. | Eficaz para corregir la alineación y la oclusión. | Puede ser visible y requiere ajustes periódicos. |
| Ortodoncia (Alineadores Transparentes) | Alineadores removibles que mueven los dientes de forma discreta. | Estético, cómodo y removible. | Puede ser más costoso y requiere disciplina en el uso. |
| Contorneado Dental | Remoción de pequeñas cantidades de esmalte para mejorar la forma y longitud. | Rápido, indoloro y mejora la estética de la sonrisa. | Limitado a correcciones menores. |
| Carillas Dentales | Cubiertas delgadas que se adhieren a la superficie frontal de los dientes. | Transformación dramática de la sonrisa, mejora el tamaño y la forma. | Requiere cierto desgaste del diente y puede ser costoso. |