¿Estás insatisfecho con la apariencia de tus dientes grandes y buscas una solución efectiva? Una sonrisa atractiva y armoniosa es un aspecto importante para muchas personas, ya que puede influir en la autoestima y la confianza en uno mismo.

Una sonrisa armoniosa puede mejorar tu autoestima.
¿Qué es la Macrodoncia?
La macrodoncia, o dientes grandes, es una condición dental en la que los dientes son significativamente más grandes que el promedio en proporción al resto de la cara y los dientes vecinos. La macrodoncia puede ser el resultado de varios factores, incluyendo:
- Factores genéticos: La genética juega un papel importante en el tamaño y la forma de los dientes. Algunas personas heredan simplemente dientes más grandes que otras.
- Problemas de desarrollo: La macrodoncia también puede ser el resultado de un crecimiento excesivo de los dientes durante el desarrollo.
- Hábitos adquiridos: En algunos casos, los hábitos adquiridos, como la respiración crónica por la boca, la succión prolongada del pulgar o el uso de chupetes más allá de la edad adecuada, pueden contribuir al desarrollo de dientes grandes.

Ejemplo de macrodoncia.
Opciones de Tratamiento para Dientes Grandes
Existen diversas opciones de tratamiento para abordar el problema de los dientes grandes y mejorar la estética de la sonrisa. A continuación, exploraremos algunas de las opciones más comunes:
1. Ortodoncia
La ortodoncia es a menudo la primera línea de tratamiento recomendada para aquellos con dientes grandes. Los aparatos de ortodoncia, como los brackets tradicionales o las alineadores transparentes, trabajan para mover gradualmente los dientes a sus posiciones correctas. La ortodoncia también puede mejorar la oclusión dental, es decir, la forma en que los dientes superiores e inferiores encajan entre sí.

La ortodoncia puede corregir la posición de los dientes.
2. Contorneado Dental
El contorneado dental es un tratamiento que permite eliminar pequeñas cantidades de esmalte para modificar ligeramente la forma, la longitud y la superficie de los dientes. Su objetivo es mejorar la armonía, simetría y proporción de la sonrisa corrigiendo defectos leves como puntas irregulares, bordes astillados o diferencias mínimas de longitud entre piezas dentales. Al actuar únicamente sobre el esmalte -la capa más externa del diente-, no afecta al tejido interno ni requiere anestesia. No obstante, la técnica debe realizarse con sumo cuidado y precisión, para no eliminar más esmalte del necesario.
El contorneado dental estético es un procedimiento indicado principalmente para los dientes anteriores (incisivos y caninos), ya que son los más visibles al sonreír. El contorneado dental se realiza comúnmente en combinación con el blanqueamiento dental para mejorar aún más la estética de la sonrisa. Es un procedimiento relativamente simple que puede realizarse en una sola cita dental y proporciona resultados inmediatos.

El contorneado dental mejora la forma de los dientes.
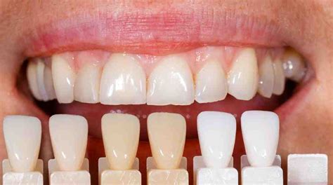
3. Carillas Dentales
Las carillas dentales son una opción popular y efectiva para aquellos que buscan una transformación más dramática en su sonrisa. Para aquellos con dientes grandes, las carillas pueden utilizarse para reducir la apariencia del tamaño dental al recubrir el diente con una cubierta más delgada y de tamaño más adecuado.

Las carillas pueden transformar tu sonrisa.
4. Stripping dental en ortodoncia
Como expertos en ortodoncia en Barcelona es habitual encontrarnos con casos en los que es necesario reducir el ancho de algunas piezas dentales para solucionar problemas de espacio. Para ello existe la técnica que se conoce por stripping dental en ortodoncia y que consiste, simplificadamente hablando, en limar los dientes para igualarlos. El stripping dental es una técnica utilizada en ortodoncia que se basa en la reducción interproximal del esmalte de los dientes. El stripping dental, comúnmente limar los dientes, tiene varias indicaciones en la ortodoncia. La más común, como ya hemos comentado, es la de conseguir algunos milímetros en casos en los que no es posible alinear todos los dientes correctamente por falta de espacio. También está indicado para mejorar la forma de algunos dientes. Por ejemplo, premolares muy redondos o incisivos muy triangulares que crean espacios negros entre el punto de contacto y la papila dental. En esos casos, al aplanar la anatomía del incisivo y hacerlo más rectangular, conseguimos que el punto de contacto se sitúe más a gingival de forma que la papila pueda rellenar el espacio negro. Otro ejemplo de uso del stripping en ortodoncia es la armonización de los tamaños de los dientes. Para que los dientes encajen correctamente entre ellos, el tamaño de los dientes superiores debe de estar en proporción con los inferiores.
Métodos para realizar el Stripping Dental
Es el método más sencillo que existe. Se trata de unas tiras de limado las cuales se manipulan manualmente. Se utilizan en casos en los que solamente necesitamos romper el punto de contacto entre los dientes sin necesidad de conseguir mucha reducción. El mecanismo de acción es el mismo que el de las tiras, pero en este caso, las limas están activadas mecánicamente con un contra-ángulo, lo que hace que la técnica sea más delicada. Son el método con el que más espacio se puede conseguir. Ante casos con falta de espacio, el ortodoncista deberá valorar cuál es el mejor procedimiento para la ganancia de espacio. Ante una importante falta de espacio, seguramente no será suficiente con limar los dientes. Por tanto, no se puede considerar el stripping como mejor o peor método para la ganancia de espacio.
El procedimiento de limar dientes para igualarlos es totalmente indoloro y no requiere de anestesia previa para llevarlo a cabo. La cantidad de material dentario que se reduce no suele superar los 0,5mm entre diente y diente, lo que hace que se limite solamente a esmalte. No obstante, la sensación mientras se está llevando a cabo puede ser algo incómoda. Tras la reducción, se aplicará un barniz de flúor que ayuda a la remineralización del esmalte.
Innovaciones en implantes dentales 3
Consideraciones Adicionales
- Consulta con un profesional calificado: Busca la opinión de un dentista experimentado y calificado que tenga una comprensión profunda de la macrodoncia y las opciones de tratamiento disponibles.
- Comprende tus opciones: Infórmate bien sobre las diferentes opciones de tratamiento disponibles, incluidos los beneficios, riesgos y resultados que puedes esperar de cada una.
- Considera una combinación de tratamientos: En algunos casos, una combinación de tratamientos puede proporcionar los mejores resultados.
- Mantén expectativas realistas: Recuerda que cada caso es único y los resultados pueden variar.
- Considera el impacto en tu estilo de vida: Algunos tratamientos, como la ortodoncia, pueden requerir ajustes en tu estilo de vida y dieta durante un período de tiempo.

Tabla comparativa de opciones de tratamiento.
Recuerda, tanto reducir el tamaño de los dientes grandes como agrandar el tamaño de dientes pequeños no solo puede mejorar tu apariencia física, sino que también puede tener un impacto positivo en tu confianza y autoestima.