¿Estás insatisfecho con la apariencia de tus dientes grandes y buscas una solución efectiva? Una sonrisa atractiva y armoniosa es un aspecto importante para muchas personas, ya que puede influir en la autoestima y la confianza en uno mismo. La macrodoncia, o dientes grandes, es una condición dental en la que los dientes son significativamente más grandes que el promedio en proporción al resto de la cara y los dientes vecinos. Es importante conocer otro tipo de situaciones que, a priori, pueden confundirse con la microdoncia y la macrodoncia.
Así, es relativamente frecuente pensar que un niño padece de macrodoncia cuando, en realidad, se encuentra en la fase de la dentición mixta. Los dientes temporales tienen un tamaño menor en comparación con los definitivos, por lo que a simple vista se apreciará una diferencia de tamaño. Si crees que puedes tener una de estas anomalías en el tamaño de tus dientes, no lo dejes pasar más tiempo y ponte en manos de un especialista.

Causas de la Macrodoncia
La macrodoncia puede ser el resultado de varios factores, incluyendo genética, problemas de desarrollo o incluso hábitos adquiridos.
- Factores genéticos: La genética juega un papel importante en el tamaño y la forma de los dientes. Algunas personas heredan simplemente dientes más grandes que otras.
- Problemas de desarrollo: La macrodoncia también puede ser el resultado de un crecimiento excesivo de los dientes durante el desarrollo.
- Hábitos adquiridos: En algunos casos, los hábitos adquiridos, como la respiración crónica por la boca, la succión prolongada del pulgar o el uso de chupetes más allá de la edad adecuada, pueden contribuir al desarrollo de dientes grandes.
Opciones de Tratamiento para Dientes Grandes
Hay varias alternativas a las que se puede recurrir en este tipo de situaciones, todas ellas bastante efectivas. Existen varias alternativas a las que se puede recurrir, pero cuál de todas escoger dependerá única y exclusivamente de cada paciente y su situación.
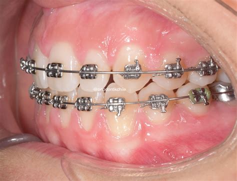
1. Ortodoncia
La ortodoncia es a menudo la primera línea de tratamiento recomendada para aquellos con dientes grandes. Los aparatos de ortodoncia, como los brackets tradicionales o las alineadores transparentes, trabajan para mover gradualmente los dientes a sus posiciones correctas. La ortodoncia también puede mejorar la oclusión dental, es decir, la forma en que los dientes superiores e inferiores encajan entre sí. Generalmente la ortodoncia suele ser el procedimiento ideal para solucionar este problema.
Si bien la ortodoncia permite la ejecución y modificación de diferentes aspectos de los dientes, el tamaño no es uno de ellos. Como bien se ha comentado con anterioridad, no se experimentan cambios de tamaño en los dientes cuando el paciente se somete a una ortodoncia. Estas técnicas ayudan a que los dientes con un tamaño mayor de lo que se considera usual puedan disimularse, ya que en ocasiones el paciente da la impresión de tener las piezas más grandes, y esto simplemente es un efecto que se produce a raíz de una mala colocación de estas.

Avance vídeo completo "Tratamiento de Ortodoncia" - PerioPixel
2. Contorneado Dental
El contorneado dental, también conocido como ajuste oclusal, es un procedimiento conservador que puede ayudar a reducir ligeramente el tamaño de los dientes grandes y mejorar su forma. El contorneado dental se realiza comúnmente en combinación con el blanqueamiento dental para mejorar aún más la estética de la sonrisa. Es un procedimiento relativamente simple que puede realizarse en una sola cita dental y proporciona resultados inmediatos.
3. Carillas Dentales
Las carillas dentales son una opción popular y efectiva para aquellos que buscan una transformación más dramática en su sonrisa. Para aquellos con dientes grandes, las carillas pueden utilizarse para reducir la apariencia del tamaño dental al recubrir el diente con una cubierta más delgada y de tamaño más adecuado. Reconstrucción de los dientes con composites directos, o bien carillas de composite o porcelana. Las carillas son pequeñas láminas de porcelana o resina que se adhieren a los dientes para mejorar su aspecto. Esta solución de estética dental es muy sencilla y disimula con eficacia el hueco que provoca el diastema.

4. Coronas dentales
Primero se deberá proceder con un sellado de los dientes para poder proceder a colocar la corona. Estas restauraciones dentales cubren completamente el diente natural, proporcionando longitud y fortaleza.
5. Stripping
También denominado tallado selectivo.
Consideraciones Adicionales
Antes de tomar una decisión sobre el tratamiento, ten en cuenta lo siguiente:
- Consulta con un profesional calificado: Busca la opinión de un dentista experimentado y calificado que tenga una comprensión profunda de la macrodoncia y las opciones de tratamiento disponibles.
- Comprende tus opciones: Infórmate bien sobre las diferentes opciones de tratamiento disponibles, incluidos los beneficios, riesgos y resultados que puedes esperar de cada una.
- Considera una combinación de tratamientos: En algunos casos, una combinación de tratamientos puede proporcionar los mejores resultados.
- Mantén expectativas realistas: Recuerda que cada caso es único y los resultados pueden variar.
- Considera el impacto en tu estilo de vida: Algunos tratamientos, como la ortodoncia, pueden requerir ajustes en tu estilo de vida y dieta durante un período de tiempo.
El Impacto de la Estética Dental
Recuerda, tanto reducir el tamaño de los dientes grandes como agrandar el tamaño de dientes pequeños no solo puede mejorar tu apariencia física, sino que también puede tener un impacto positivo en tu confianza y autoestima. Esto se debe a que, como hemos adelantado, hay ciertos parámetros en cuanto a cómo debe ser una sonrisa armónica, pero cada persona tiene sus propias características.
Microdoncia
Así como existen pacientes con piezas muy grandes, esto también se puede dar a la inversa. A esta alteración donde los dientes son de un tamaño más reducido que el habitual se le denomina microdoncia. En algunas ocasiones, incluso aunque la raíz presente dimensiones normales, las coronas son mucho más pequeñas.
Tipos de Microdoncia:
- Generalizada: No es muy común, y se presenta en pacientes que tienen todos los dientes pequeños.
- Parcial: Es cuando solamente un diente es más pequeño que los demás, y generalmente se da acompañado de una alteración en la forma de la propia pieza.
Macrodoncia y salud bucodental
Cuando una persona sufre macrodoncia, es más propensa a tener malposiciones dentales o incluso apiñamiento. La estética dental es fundamental no solo para mejorar la apariencia física de los pacientes, sino también para asegurar una buena salud bucodental. Problemas comunes, como los diastemas, pueden tener un impacto significativo en la funcionalidad de la mordida y en la higiene dental, además de afectar la autoestima.
Diastema dental
Se llama diastema dental al espacio que aparece entre dos dientes. Los diastemas son normales en la dentición infantil. Los dientes de leche van dejando los espacios necesarios para que, cuando erupcionen los dientes definitivos, estos encuentren suficiente espacio para ocupar su sitio de forma correcta.
El odontólogo o el ortodoncista puede detectar y diagnosticar con facilidad un diastema a través de una revisión convencional periódica. Las causas que originan su aparición son muchas y muy variadas.
- Falta de una pieza dental.
- Maxilar grande.
- Dientes más pequeños de lo habitual.
- Frenillo labial superior más grueso.
- Mala posición de las piezas dentales.
- Malos hábitos durante la infancia. Existen algunos gestos durante la infancia que, si bien pueden parecer inofensivos, en algunos casos pueden llevar a la aparición de un diastema.
Hay una serie de tratamientos que puedes seguir para solucionar el diastema dental.
- Ortodoncia. Suele ser la opción más popular. Se puede utilizar ortodoncia fija, como los brackets, u ortodoncia invisible, como los alineadores.
- Frenectomía. Cuando el diastema ha sido provocado por un tamaño excesivo del frenillo, es necesario realizar esta sencilla intervención quirúrgica para reducir su grosor y mejorar su flexibilidad. De esta forma, se elimina la causa y se previene que el diastema vuelva a aparecer.
Dientes cortos
Los dientes cortos pueden ser causados por diversos factores, como el bruxismo (rechinar de dientes), el desgaste natural debido al envejecimiento o el cepillado demasiado vigoroso. Además de afectar la apariencia de tu sonrisa, los dientes cortos pueden tener consecuencias funcionales, como dificultar la masticación adecuada y aumentar la sensibilidad dental. Otro de los tratamientos estéticos para alargar los dientes en Granada y nivelar la sonrisa es el contorneado de dientes. Los bordes incisales se alinean y se crea la armonía perfecta en la sonrisa. Gracias al contorneado de dientes se pueden realizar diferentes modificaciones en la longitud y forma de los dientes y se suelen realizar en los incisivos y caninos superiores.
Uno de los enfoques más populares es el uso de carillas dentales. Otra opción efectiva es el alargamiento coronario, un procedimiento quirúrgico que implica la eliminación cuidadosa del tejido gingival y/o óseo para exponer más del diente natural. Este enfoque puede ser especialmente beneficioso para aquellos cuyos dientes parecen cortos debido a un exceso de tejido de encía. Para alargar dientes con brackets es necesario que el tratamiento de ortodoncia esté diseñado para corregir maloclusiones y problemas estructurales de la boca. Uno de los tratamientos más comunes para este problema es la gingivectomía. Con este proceso, se puede devolver al tamaño original del diente.
Retracción de encías
La retracción de encías compromete la salud y la estética de tus dientes. La retracción de encías es una alteración relativamente frecuente que se produce en los dientes. Consiste en un desplazamiento de la encía en dirección opuesta a la corona del diente, haciendo que quede expuesta la superficie de la raíz de los dientes. Estéticamente compromete tu sonrisa porque hace que el diente parezca muy largo y unos dientes demasiado largos resultan poco atractivos. Este problema puede producirse a cualquier edad, puede localizarse puntualmente en un sólo diente, unos pocos, o de forma generalizada en todos los dientes de la boca.
Causas:
- -Cepillado agresivo: Mucha gente piensa erróneamente que cepillándose "a lo bestia" van a conseguir tener los diente ultralimpios. Efectivamente van a tener los dientes muy limpios pero favorecen también "a lo bestia" que se retraigan las encías. En estos casos la retracción se localiza principalmente en la zona de colmillos o caninos y premolares superiores. También es frecuente que se localice en los dientes donde uno empiece a limpiarse habitualmente los dientes.
- -Inflamación de encías: Las encías se inflaman por la acumulación de sarro. Cuando esta inflamación es prolongada en el tiempo se produce una destrucción del hueso que sustenta los dientes. La encía siempre sigue al hueso en su desplazamiento produciéndose así la retracción de la encía.
- -Piercings: El piercing es un trauma similar al del cepillado agresivo. El problema es que es mucho más intenso y localizado.
- -Bruxismo: El bruximo es el hábito de rechinar y/o apretar los dientes.
Consecuencias:
- -Sensibilidad dental: La superficie de la raíz es más sensible a los cambios de temperatura que la corona dental.
- -Caries: La superficie de la raíz de los dientes es más propensa a sufrir caries porque es más rugosa y porosa y las bacterias que forman la caries se asientan con más facilidad.
- -Estética de la sonrisa comprometida: Como hemos comentado al principio, la retracción de encías hace que el diente parezca más largo y por tanto menos atractivo.
Los tratamiento son muy limitados y lo más importante es diagnosticar bien la causa y eliminarla. En el caso del cepillado agresivo hay que enseñar al paciente a cepillarse adecuadamente. Lo correcto es masajear suavemente las encías y siempre en dirección de la encía a la corona del diente. En caso de piercing, eliminarlo, Si el causante es el sarro que inflama las encía hay que hacer una limpieza y/o curetajes o raspajes y alisados radiculares en función de gravedad de la inflamación. Para corregir la propia recesión se realizan técnicas de injerto de encía. Su uso es limitado. Es difícil conseguir corregir una retracción gingival por completo y en casos en los que no hay suficiente soporte óseo es imposible.