¿Has notado tus dientes de arriba hacia afuera y te preguntas por qué ocurre esto o qué puedes hacer para corregirlo? Cuando hablamos de dientes de arriba hacia afuera nos referimos a que los dientes superiores presentan una inclinación hacia delante, proyectándose más allá de la línea natural de la boca. Si notas que tus dientes superiores están hacia afuera y esto afecta a tu sonrisa o comodidad, no esperes a que la situación empeore.
En conclusión, los dientes de arriba hacia afuera son un problema común que puede corregirse con éxito gracias a la ortodoncia. El tratamiento para corregirlos varía en función de la edad del paciente y la gravedad del caso.
Problemas Dentales De Conejos | Maloclusión Dental En Conejos
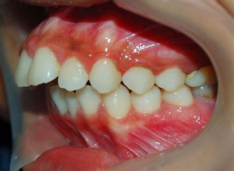
¿Qué es la protrusión dental?
La protrusión dental también es llamada sonrisa de dientes de conejo. Es una afección muy común en niños, que consiste en que los incisivos superiores quedan muy por delante de los inferiores. Estos pueden ser más grandes que los demás dientes y a su vez estar apiñados.
Las personas que lo padecen en muchos casos tienen dificultades para cerrar por completo los labios, ya que los dientes tienen una gran inclinación hacia adelante o afuera. Esto, a su vez, genera como consecuencia que los dientes superiores no encajen correctamente con los inferiores.
También puede ocurrir que no solo los dientes superiores estén adelantados, sino también la mandíbula superior de la inferior.

Causas de la protrusión dental
Existen varias razones por las cuales una persona puede tener los dientes salidos o la sonrisa de conejo. A continuación, mencionamos las más frecuentes:
- Causas genéticas: Una de las razones por las que un adulto padece protrusión dental es la maloclusión del maxilar II. Este es un factor genético que provoca los dientes salidos. El maxilar superior está más adelantado que el inferior, haciendo que los dientes no encajen. En algunas personas, los incisivos superiores pueden llegar a sobresalir hasta un centímetro de los inferiores. Otra posibilidad es que la mandíbula esté retraída. Si este es el caso, puede causar que el maxilar esté adelantado. La deglución atípica, o la colocación inadecuada de la lengua en el momento de tragar, es otro factor genético que en algunas personas provoca protrusión dental. En este caso, la lengua presiona los dientes superiores y por ese motivo se terminan desplazando hacia delante.
- Hábitos que pueden causar protrusión dental: El segundo motivo más común de los dientes salidos es por chuparse el dedo, el cual suele ocurrir en niños y niñas. Al “hacer la pipa”, se hace presión con el dedo hacia la parte interior de los dientes superiores, empujándolos hacia afuera. Otro hábito que puede provocar esta patología es morderse las uñas. Al realizar esto, se ejerce una fuerza que, con el tiempo, puede acabar provocando los dientes salidos. La succión labial es el hábito de morderse los labios con los dientes, normalmente superiores. Por ese motivo, se terminan empujando hacia afuera y en algunos casos, la persona termina con los dientes salidos.
- Succión del dedo: Cuando los niños se chupan el dedo o hacen la acción de succionar con la boca constantemente, es posible que desarrolle algún problema de alineamiento dental como la protrusión.
- Por empujar los incisivos con la lengua: Muchas personas tienen el mal hábito de empujar los incisivos hacia afuera con la lengua. Esto hace que los dientes se desplacen y tomen una posición inadecuada.
- Succión labial: Se interpone el labio inferior por la parte posterior de los incisivos superiores. Como si te estuvieras mordiendo los labios.
- Factores genéticos: Muchas veces los hijos, al igual que los padres, presentan maloclusión tipo II o protrusión dental. Es una afección que se puede heredar.
Consecuencias que genera la protrusión dental
Tener los dientes de maxilar superior salidos y sufrir de maloclusión tipo II, puede generar múltiples problemas como:
- Afecta de la autoestima: debido a su apariencia afecta la confianza en sí mismo.
- Aparición de caries: Las personas con protrusión dental en ocasiones respiran por la boca, lo que aumenta la proliferación de bacterias y reseca el interior de la boca. Además, pueden sufrir de apiñamiento, lo que dificulta la higiene dental.
- Problemas al masticar: la incomodidad al masticar se produce debido a que los dientes superiores e inferiores no encajan correctamente.
- Desarrollo de enfermedades periodontales: como lo mencionamos realizar respiración bucal y no poder cerrar la boca completamente aumenta la sequedad en la boca y, por lo tanto, existe una mayor cantidad de bacterias que pueden generar enfermedades en las encías.
- Mayor posibilidad de sufrir traumatismos dentales: muchas veces los que padecen de protrusión dental no pueden cerrar la boca por completo; por lo que, los incisivos superiores están más expuestos en caso de que recibas un golpe en la boca.
- Alteración en la forma de la cara o boca: Tener los dientes inclinados hacia afuera da una apariencia poco estética, haciendo que la zona del labio superior se vea proyectada hacia adelante y la del mentón muy retraída.
- Aparición de caries
- Golpes o fracturas por culpa de los dientes salidos
- Problemas al masticar y malestar al comer
- Inflamación de las encías
- Problemas respiratorios
- Alteración de la forma de la cara
Diagnóstico de la protrusión dental
Si notas que tienes los dientes salidos puede ser una señal de protrusión dental. No obstante, quien está capacitado para dar un diagnóstico certero es el dentista.
- Evaluación clínica: Acudir a las consultas regulares es la manera en la que se obtendrá un diagnóstico. El dentista hará una evaluación física para determinar con exactitud el problema; es decir, si son los dientes que no han salido en la posición correcta o si hay alguna malformación en los huesos. La valoración temprana permitirá aplicar el tratamiento adecuado a tiempo. Antes de los 12 años, los huesos están en desarrollo, por lo que se puede intervenir la mandíbula para corregir la protrusión dental. En consecuencia, se evita tener que someterse a un tratamiento más invasivo en el futuro.
- Estudios de imagen: En ciertas ocasiones, un simple examen visual no proporciona suficiente información para diagnosticar el origen de una protrusión dental. De manera que el dentista puede requerir estudios de imagenología para obtener una visión detallada de la estructura ósea y dental. A partir de estos estudios se puede ver con mayor claridad si hay anomalías en el desarrollo de los maxilares. También revelan si hay dientes impactados y apiñamiento dental. Con esta información, se formula el tratamiento adecuado para corregir la protrusión.

Opciones de tratamiento para la protrusión dental
La protrusión dental es una afección que se corrige mediante tratamiento de ortodoncia, cirugía ortognática, o una combinación de ambos, de preferencia a una edad temprana.
- Tratamientos ortodónticos: La ortodoncia permite tratar la inclinación hacia adelante que poseen los dientes en estos casos. Los dispositivos más utilizados para corregir la posición de los dientes de un paciente con protrusión son:
- Brackets metálicos: es el tratamiento de ortodoncia tradicional para mejorar la posición de los dientes.
- Brackets estéticos: están hechos de materiales como cerámica, porcelana, por lo que son menos visibles que los metálicos y también más cómodos.
- Alineadores invisibles o invisaling: es una alternativa moderna, mucho más discreta que los brackets.
- Tratamientos ortopédicos en niños: Cuando un niño presenta protrusión dental, lo ideal es corregirla cuando están en el pico de crecimiento. Esto es aproximadamente a los 12 años de edad y se hace mediante ortodoncia interceptiva, como los expansores palatinos. Esto con el fin de evitar problemas mayores cuando sea adolescente o adulto. Esto porque los dientes de los niños se mueven con mayor facilidad que lo de los adultos. Por eso su corrección dura poco tiempo. Si el paciente padece de protrusión dental debido a malos hábitos como chuparse el dedo o empujar los dientes con la lengua, debe tratarse mediante logopedia. El especialista se encargará de tratar, prevenir y detectar trastornos que afectan la comunicación y deglución.
- Cirugía ortognática en casos severos: Si la protrusión dental se origina en la posición inadecuada de los huesos de la mandíbula y se trata de un paciente adulto, entonces se debe recurrir a la cirugía ortognática. Por lo general, esta se combina con ortodoncia.
Tratamientos para el prognatismo mandibular
El tratamiento del prognatismo mandibular depende de la gravedad de cada caso, de la edad del paciente y de las necesidades del paciente. Las soluciones pueden variar desde tratamientos ortodóncicos hasta procedimientos quirúrgicos, o incluso una combinación de ambos.
- Tratamientos ortodóncicos: Los tratamientos de ortodoncia o ortodóncicos son la opción más común y menos invasiva para corregir el prognatismo mandibular, especialmente en pacientes jóvenes cuyo desarrollo óseo aún está en curso. Estos tratamientos ayudan a alinear los dientes y corregir la posición de la mandíbula.
- Brackets tradicionales o alineadores invisibles (Invisalign): Los brackets tradicionales, hechos de metal o cerámica, son “aparatos” fijos que aplican presión constante sobre los dientes para moverlos gradualmente a su posición correcta. Por otro lado, los alineadores invisibles como Invisalign son una alternativa estética y cómoda para corregir la alineación de los dientes. Estos alineadores son removibles y casi imperceptibles, lo que los convierte en una opción popular entre los pacientes adultos.
- Expansión maxilar: En algunos casos, el prognatismo mandibular se debe a una discrepancia entre el tamaño de la mandíbula superior y la inferior. La expansión maxilar es un tratamiento ortodóncico que utiliza un dispositivo para ensanchar el maxilar superior, mejorando la alineación de ambas mandíbulas.
- Cirugía ortognática: En casos de prognatismo mandibular más grave o en aquellos casos donde los tratamientos ortodóncicos no son suficientes para corregir el caso, la cirugía ortognática puede ser necesaria. La cirugía ortognática es un procedimiento que implica la corrección quirúrgica de los huesos de la mandíbula. Durante la cirugía, el cirujano realiza cortes en la mandíbula para moverla hacia adelante o hacia atrás, dependiendo del caso.

¿En cuánto tiempo se corrige la protrusión dental?
El tiempo del tratamiento de protrusión dental depende de muchos factores, como la gravedad y complejidad del caso, el tipo de aparato de ortodoncia que usen y el cumplimiento de las citas de control y de ajuste del aparato.
El tiempo de duración promedio para corregir la protrusión dental es entre 7 y 12 meses. Pero si es un caso complejo, corregir el problema puede tardar hasta 24 meses y requerir cirugía.
Es importante mencionar que para mantener los dientes en su posición después de un tratamiento de ortodoncia debes usar retenedores bucales por lo menos durante 6 meses.
Diagnosticar la protrusión dental a una edad temprana y tratarla evitará que el paciente tengas problemas más graves a medida que crezca. Por eso es importante que asistas al dentista con regularidad y lleves a tus hijos a sus revisiones periódicas mientras están en proceso de mudanza de los dientes.

Prevención de la protrusión Dental
- Intervención temprana en hábitos infantiles: Es posible prevenir la protrusión dental si se abordan desde temprano los hábitos dañinos. Por ejemplo, eliminar el chupete antes de los tres años de edad. Si el hábito persiste, es necesario buscar estrategias para ayudar al niño a dejarlo. Lo mismo aplica para los pequeños que se chupan el pulgar. Asimismo, si el niño empuja los dientes con la lengua, puede ser necesaria la intervención de un profesional para que deje de hacerlo. Se puede recurrir a un terapeuta del habla o un ortodoncista para corregirlo. En caso de que el niño respire por la boca, hay que identificar y tratar la causa subyacente.
- Evaluaciones dentales regulares: Es importante visitar al dentista con regularidad. De esta manera se pueden aplicar los tratamientos a tiempo para guiar el crecimiento de la mandíbula y los dientes.
tags: #dientes #inferiores #hacia #afuera