Escuchar la frase “sacar una muela con quiste” puede generar inquietud. Si te han diagnosticado un quiste dental en una muela, es normal que tengas muchas preguntas y algo de temor. Como odontólogo con varios años de experiencia, quiero acompañarte en este proceso y explicarte en primera persona, de forma cercana pero profesional, todo lo que necesitas saber.
En este artículo, explicaremos en detalle qué son los quistes maxilares o quistes odontogénicos, los tipos, síntomas y tratamientos. En el artículo de hoy vamos a hablar sobre los quistes maxilares, una lesión que conviene detectar en sus estadios iniciales para evitar sus posibles consecuencias.
Un quiste maxilar es una lesión benigna, con forma de bolsa o saco, bien circunscrita y esta recubierta por un epitelio. Un quiste maxilar es una cavidad anómala en el hueso del maxilar (superior o inferior) que está recubierta por una membrana epitelial y puede contener líquido, aire o material semisólido. Es una lesión en forma de bulto, ubicada generalmente en el interior de los huesos maxilares de la boca. Esta lesión o cavidad se llena de líquido o material semi-sólido, caracterizándose por ser semiblando y escamoso al tacto.
Aquí en nuestro blog encontrarás artículos relacionados con salud y estética buco-dental. Nuestros contenidos son redactados por el equipo de profesionales que formamos parte de la clínica.
Los quistes en la mandíbula son anomalías comunes que pueden afectar a personas de todas las edades. Un quiste en la mandíbula es una bolsa llena de líquido, similar a un saco, que se forma dentro del hueso de la mandíbula.
¿Qué es un Quiste Dental?
Primero, déjame explicarte qué es exactamente un quiste dental. Es una cavidad cerrada, similar a una bolsita llena de líquido o material semisólido, que se forma en el hueso maxilar o mandibular alrededor de un diente. La mayoría de los quistes dentales (también llamados quistes odontogénicos) son benignos (no cancerosos) y se desarrollan lentamente, a menudo como resultado de infecciones crónicas de origen dental.
Por lo general, se origina cuando la pulpa o nervio del diente muere a causa de una infección o lesión. El organismo, en un intento de aislar esa infección, forma una membrana a su alrededor creando esta “bolsa” en el hueso. Con el tiempo, esa bolsa puede ir creciendo. Los dentistas llamamos a este tipo más común quiste radicular o quiste periapical, ya que aparece en la punta de la raíz de un diente (generalmente una muela) cuyo nervio ha necrosado (muerto) por caries o golpe.

Representación de un quiste dental.
Tipos de Quistes Dentales
Ahora bien, no todos los quistes dentales son iguales. Existen distintos tipos según su origen y ubicación:
- Quiste radicular o periapical: Es el más común. Se forma en el ápice (extremo) de la raíz de un diente no vital (muerto). Suele deberse a una infección dental crónica, originada por caries que alcanzaron el nervio o por un traumatismo. Básicamente es la evolución de un granuloma o absceso dental que el cuerpo encapsula.
- Quiste dentígero (folicular): Se desarrolla alrededor de la corona de un diente que aún no ha erupcionado (salido), generalmente una muela del juicio retenida o un canino incluido. Es de origen distinto al radicular: aquí el quiste se forma por acumulación de líquido alrededor del diente retenido.
- Quiste periodontal lateral: Se localiza en el lateral de la raíz de un diente con vida (vital) y está asociado a lesiones o quistes en el ligamento periodontal. Puede surgir por problemas periodontales (en las encías y el hueso alrededor del diente).
- Quiste residual: Aparece en un área edéntula (sin diente) donde anteriormente hubo un quiste o infección que no se eliminó completamente al extraer un diente. Es decir, si al sacar una pieza dental infectada no se limpió bien el tejido enfermo, puede quedar un resto quístico que luego crece en el hueso.
Síntomas de un Quiste Maxilar
Una de las grandes particularidades de un quiste oral es que no duele y por eso en muchas ocasiones pasa desapercibido para el paciente.
Los quistes maxilares suelen ser indoloros si son pequeños y pueden pasar desapercibidos. En fases iniciales, un quiste puede pasar completamente desapercibido.
En muchos casos, un quiste dental no produce síntomas al inicio. Puede estar ahí, debajo de la encía, sin que tú lo notes. De hecho, es común descubrirlo de forma accidental en una radiografía de rutina. Por ejemplo, tú acudes al dentista por una limpieza o por una molestia menor, te toman una radiografía y ¡sorpresa! aparece una manchita oscura en el hueso que resulta ser un quiste.
Cuando un quiste es pequeño y no está infectado, típicamente no duele ni inflama. A medida que aumenta de tamaño, puede empezar a causar presión en el hueso y en los dientes vecinos. A veces notarás un bultito indoloro en la encía o una sensación extraña.
Cada caso es distinto, pero incluso sin síntomas evidentes, un quiste no tratado puede seguir creciendo silenciosamente, “comiéndose” el hueso alrededor. Por eso, no debemos ignorarlo aunque no duela.
En otros casos, es el paciente el que refiere una serie de síntomas que el odontólogo relaciona con la presencia de un quiste radicular, que, posteriormente, se confirmará - o no - mediante las pruebas diagnósticas pertinentes (radiografías o TC).
Los síntomas de un quiste en la mandíbula pueden variar dependiendo del tamaño y la ubicación del quiste. Uno de los síntomas más comunes es la presencia de una hinchazón o un bulto en la mandíbula.

Ejemplo de quiste maxilar detectado en una radiografía.
Diagnóstico de un Quiste Dental
Generalmente es necesario realizar una radiografía para diagnosticar esta patología que se manifiesta a través de una zona oscura en el hueso. En la ortopantomografía (radiografía en 2D de toda la boca) el quiste maxilar se observa como una zona oscura y redondeada en forma de bolsa.
El diagnóstico de un quiste radicular se basa en una combinación de exploración clínica y pruebas radiográficas. Durante la revisión, el odontólogo puede detectar signos indirectos como la presencia de una fístula o la inflamación de la zona periapical.
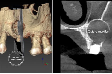
Sin embargo, la confirmación de la presencia de un quiste radicular se obtiene mediante imágenes radiográficas como las radiografías periapicales, las ortopantomografías (visión panorámica de ambos maxilares) o las tomografías computarizada de haz cónico (CBCT).
Ofrece una visión detallada del volumen, relación con estructuras anatómicas y si hay afectación de raíces o del seno maxilar.
Tratamiento de un Quiste Dental
⚠️GRANULOMA DENTAL⚠️ TRATAMIENTO: QUISTE APICAL y QUISTE DENTIGERO,que SON?[FACIL 👌]
Esta es una de las dudas más comunes: si tienes un quiste en la raíz de una muela, ¿significa eso automáticamente que hay que sacar (extraer) esa muela? La respuesta es: NO siempre. Como dentista, mi filosofía es intentar salvar tu diente natural siempre que sea viable. La extracción de la pieza dental es el último recurso cuando no hay más remedio.
El tratamiento de un quiste en la mandíbula dependerá del tamaño, la ubicación y la gravedad del quiste, así como de la salud general del paciente.
El tratamiento depende del tipo, tamaño y localización del quiste, así como del estado general del hueso y los dientes vecinos.
Opciones de Tratamiento
- Tratamiento conservador (sin extraer la muela): Si la muela afectada está en buen estado general (por ejemplo, tiene caries pero la estructura se puede restaurar) y el quiste es de tipo radicular, muchas veces podemos conservar el diente. ¿Cómo? Realizando una endodoncia (tratamiento de conducto o “matar el nervio”) en esa muela para eliminar la infección interna, y a continuación una cirugía apical para quitar el quiste.
- Extracción de la muela y del quiste: Lamentablemente, hay situaciones en las que no queda otra opción que extraer la muela completa junto con el quiste. ¿Cuándo pasa esto? Cuando optamos por la extracción dental, ten en cuenta que también retiraremos completamente el quiste en la misma intervención. Es decir, el cirujano/odontólogo se asegurará de limpiar bien el hueco del hueso donde estaba alojado el quiste, eliminando todo el tejido quístico.
La extracción de un quiste dental se conoce como quistectomia. El procedimiento suele ser sencillo e indoloro bajo anestesia local.
Con quistes radiculares pequeños o asintomáticos, el facultativo puede optar por un tratamiento conservador.
Esto significa eliminar todas las bacterias de la raíz dental, llamado comúnmente “matar el nervio” y/o extirpar la punta de la raíz junto al quiste (cirugía apical). En el caso de quistes pequeños, solo con la endodoncia será suficiente para eliminarlo (tratamiento menos invasivo), en cambio hay otros casos en los que se debe realizar la cirugía apical o ambas intervenciones.
En el caso de quistes extensos, de crecimiento rápido o que producen síntomas al paciente, la técnica que se realiza es la enucleación y consiste en eliminarlo en su totalidad (junto a la bolsa que lo encapsula) para que no vuelva a aparecer.
Enucleación o curetaje quirúrgico: Consiste en la eliminación completa del quiste y el raspado cuidadoso de las paredes óseas para evitar recidivas.
Marsupialización: Se realiza en quistes muy grandes o en zonas donde la enucleación podría debilitar el hueso.
Regeneración ósea guiada: Cuando el quiste ha provocado una pérdida de volumen óseo significativa, se puede realizar un injerto óseo o una técnica de regeneración para recuperar la estructura del hueso.
Posteriormente, el quiste se analiza en el laboratorio.
Procedimiento de Quistectomía
Pasemos ahora a describir cómo se quita un quiste dental. Cuando te enfrentas a la palabra “cirugía”, es normal sentir nervios, pero quiero que sepas exactamente qué haremos y cómo lo haremos, para que tengas tranquilidad.
La quistectomía es una cirugía menor, habitualmente ambulatoria, que puede realizarse bajo anestesia local.
Preparación y anestesia: El procedimiento se realiza usualmente con anestesia local, igual que cuando te empastan una muela. Te aplicaremos anestesia en la encía y zona alrededor del diente afectado, de manera que todo quede dormido y no sientas ningún dolor durante la cirugía. Solo sentirás presión y manipulación, pero no dolor cortante. Si estás muy ansioso/a, podemos además administrar sedación consciente (medicación para relajarte) supervisada por un anestesista, aunque en la mayoría de casos no es necesario.
Acceso al quiste (y extracción de la muela, si corresponde): Una vez anestesiado, el odontólogo o cirujano oral hará una pequeña incisión en la encía sobre la zona del quiste para levantar un colgajo (separar la encía del hueso) y así acceder al hueso donde está la lesión. Si también hay que extraer la muela, este es el momento: se realiza la extracción dental con cuidado, procurando no dañar el tejido alrededor.
A veces, la presencia del quiste hace que esta sea una extracción dental complicada, ya que el quiste puede haber “comido” hueso y la pieza puede estar algo débil; pero paradójicamente, eso también puede facilitar que la muela salga con menor resistencia de hueso alrededor. En todo caso, utilizamos instrumentos adecuados (elevadores, fórceps) para sacar la muela de forma controlada.
Extirpación del quiste: Con la muela fuera (o habiendo accedido por el lateral de la raíz si conservamos el diente), procedemos a retirar el quiste del hueso. Básicamente, usamos instrumentos quirúrgicos delicados como curetas para despegar y sacar la membrana quística y todo su contenido. Imagina sacar cuidadosamente un globo de agua de un agujero sin reventarlo: queremos eliminar todo el saco del quiste completo, sin dejar restos adheridos a las paredes óseas. Esto es importante para que no vuelva a formarse.
Si el quiste es muy grande, a veces lo vaciamos primero (drenamos el líquido) y luego extraemos la membrana colapsada; otras veces se puede extraer entero de una vez. ¿Y si el diente se quedó? En los casos de tratamiento conservador donde dejamos la muela, lo que hacemos es resecar la punta de su raíz junto con el quiste (apicectomía).
Limpieza y (opcional) injerto óseo: Una vez quitado el quiste, nos quedará una cavidad en el hueso. Limpiaremos bien esa cavidad con suero fisiológico, eliminando cualquier resto de tejido enfermo. Si el quiste era pequeño, el propio organismo rellenará ese hueco con hueso nuevo con el tiempo. Si era un quiste muy grande que dejó un defecto óseo considerable, en ocasiones recomendamos colocar un injerto de hueso o material de relleno en la cavidad para ayudar a la regeneración. Este injerto puede ser de hueso artificial o un biomaterial, y actúa como andamio para que tu propio hueso vuelva a formarse.
Por último, recolocamos la encía en su sitio y ponemos puntos de sutura (stitches) para cerrar la incisión. Suelen ser de seda o reabsorbibles, según el caso; si son de seda, te citaré a los ~7 días para retirarlos fácilmente (es rápido e indoloro). ¡Y listo!
La cirugía en sí típicamente dura entre 30 y 60 minutos, dependiendo del tamaño y complejidad del quiste. Tras finalizar, te quedarás un rato en observación con una gasa mordida hasta asegurarnos de que el sangrado está controlado y de que te sientes bien para marcharte a casa.
En términos generales, quitar un quiste dental no es muy diferente a una extracción de muela normal, solo que añadimos el paso de limpiar el quiste. Para ti como paciente, la experiencia bajo anestesia es muy similar: no sentirás dolor, solo un poco de presión o vibración de los instrumentos, y escucharás los sonidos de la intervención.
Quiero que sepas que durante todo el proceso estaré pendiente de tu comodidad. Si en algún momento sientes molestia (lo cual es raro con buena anestesia), administramos más anestésico.

Representación de una cirugía apical para eliminar un quiste dental.
Riesgos y Complicaciones
La cirugía de extracción de un quiste dental es un procedimiento seguro y común, pero como con cualquier intervención quirúrgica, existen algunos riesgos o complicaciones potenciales que debes conocer.
- Infección postoperatoria: Después de quitar un quiste (y más si extrajimos una muela), existe una pequeña posibilidad de que se infecte la herida quirúrgica. Para prevenirlo, suelo recetarte un antibiótico profiláctico y te doy instrucciones de higiene (que detallaremos más adelante). Aun así, si la zona se infectara, lo notarías por aumento del dolor e hinchazón a los pocos días; en ese caso, habría que drenar si se acumula pus y ajustar el antibiótico.
- Sangrado y hemorragia: Es normal que haya un sangrado ligero de la encía las primeras horas tras la cirugía (manchas saliva de rojo). Lo controlamos haciendo que presiones una gasa sobre la zona. Las hemorragias severas son rarísimas. Si tienes algún trastorno de coagulación o tomas medicamentos anticoagulantes, lo tendremos en cuenta de antemano para manejarlo adecuadamente. En casos normales, el sangrado cede pronto y solo verás quizás un leve rezume sanguinolento el primer día. Te explicaremos cómo morder la gasa y qué hacer en casa para evitar sangrar en exceso (por ejemplo, dormir con la cabeza algo elevada, no escupir ni enjuagar fuerte, etc.).
- Lesión nerviosa: Dependiendo de la ubicación del quiste, existe un riesgo teórico de tocar algún nervio. El caso más típico es en quistes grandes de la mandíbula inferior cercanos al nervio dentario inferior (que da sensibilidad al labio y mentón) o en la zona de caninos superiores cerca del nervio nasopalatino. Quiero subrayar que este riesgo es muy bajo. Antes de la cirugía revisamos la radiografía/escáner para ver la posición del quiste respecto a los nervios. En muy pocos casos (quistes muy extensos), podría ocurrir una parestesia temporal (entumecimiento) en el labio o zona afectada si el nervio se irrita durante la operación. Esto generalmente es temporal y revierte en semanas. En mi experiencia, nunca he tenido un paciente con daño nervioso permanente por una quistectomía. Pero siempre es algo que vigilamos con cuidado y te informaremos si tu caso tiene alguna cercanía a nervios.
- Alveolitis seca: Esta es una complicación posible si se extrajo una muela, más que por el quiste en sí. Consiste en que el coágulo que debe formarse en el alveolo (hueco) del diente se pierde o no se forma bien, dejando el hueso expuesto y causando dolor intenso a los pocos días de la extracción. Es más frecuente en extracciones de muelas del juicio inferiores y en pacientes fumadores. Para prevenir alveolitis, insistimos en que sigas las indicaciones de no fumar, no enjuagar fuerte ni succionar por 24-48h. Si aun así ocurriera, tiene tratamiento sencillo en consulta (enjuagues especiales, colocar un apósito medicado) y se resuelve en unos días.
- Recurrencia del quiste: Un objetivo crucial de la cirugía es eliminar todo el quiste para que no vuelva a salir. Si por cualquier razón quedara algún resto de la membrana quística, existe la posibilidad de que el quiste recidive (vuelva a formarse) con el tiempo. Para minimizar esto, yo me tomo el tiempo necesario para curetaje minucioso de la zona. Además, en las revisiones posteriores vigilaremos mediante radiografías que la cavidad esté cicatrizando bien. La gran mayoría de las veces, tras quitar el quiste por completo, no vuelve a aparecer. Pero debo mencionarlo como una posible complicación si la extirpación no fuera completa.
Riesgos de No Tratar un Quiste Dental
Hasta aquí hablamos de los riesgos de la cirugía en sí. ¿Y qué hay de los riesgos de no hacer nada? Es importante señalar que no tratar un quiste dental conlleva riesgos mayores que los de la cirugía.
- Destrucción ósea progresiva: El quiste puede seguir expandiéndose dentro del hueso y “comiéndose” el hueso maxilar/mandibular.
- Daño a dientes vecinos: Al crecer, el quiste puede presionar o reabsorber las raíces de los dientes cercanos. He visto casos donde el diente de al lado se queda sin soporte óseo o desplazado por culpa de un quiste grande.
- Infección aguda (absceso): Un quiste crónico puede en cualquier momento infectarse agudamente y convertirse en un absceso doloroso.
- Complicaciones severas y poco comunes: Quistes muy grandes, si no se tratan, pueden llegar a afectar estructuras importantes (por ejemplo los senos paranasales en el caso de muelas superiores) o derivar en lesiones más complejas. En casos rarísimos, ciertas lesiones quísticas podrían degenerar en un ameloblastoma u otro tipo de tumor benigno agresivo que requiere cirugías más extensas.
En vista de todo esto, queda claro que lo más seguro es tratar el quiste dental oportunamente. Los riesgos de la cirugía son bajos y manejables...
Recuperación Postoperatoria
El postoperatorio de una quistectomía no suele presentar complicaciones, y, si siguen las indicaciones del cirujano, los pacientes no sufren excesivas molestias tras la intervención.
El postoperatorio es una fase clave para una recuperación completa y sin complicaciones.
En algunos casos, tras la extracción del quiste, se puede producir una pérdida de hueso dental o un defecto que conviene restaurar.
Consideraciones Finales
En odontología, algunas afecciones pueden pasar desapercibidas durante meses si no se detectan en una revisión.
Sentir molestias al masticar, notar una leve inflamación en la mandíbula o descubrir una imagen inusual en una radiografía dental rutinaria son situaciones más comunes de lo que parece.
A pesar que su crecimiento sea lento, es muy recomendable para evitar que alcancen un gran tamaño.
Los quistes óseos en la boca suelen ser lesiones benignas, pero su diagnóstico precoz y su tratamiento adecuado son fundamentales para evitar complicaciones a medio o largo plazo.
Si no se retira un quiste dental, pueden ocurrir varios problemas en el área afectada.
Lo importante es evitar que el quiste vuelva a producirse. A continuación hay que recuperar esa o esas piezas dentales, los implantes son la solución más eficaz y cómoda. Gracias a su estructura metálica, permite sustituir la raíz de los dientes y devolver toda la funcionalidad y el aspecto físico de la boca.
Obtenido el diagnóstico y determinada la causa de los quistes por lesiones provocadas por el fracaso de diferentes endodoncias previas, el Dr.
Y si percibes una inflamación persistente o molestias en la zona de un diente previamente tratado o dañado, acude a tu odontólogo.
Los quistes dentales son una condición común que requiere atención y comprensión. Conocer sus tipos, síntomas y tratamientos es esencial para mantener una boca sana.