¿Estás cansado de lidiar con ese molesto sarro dental que arruina tu sonrisa? ¡No te preocupes más! En este artículo, desvelaremos los secretos para eliminar el sarro de tus dientes y lucir una sonrisa deslumbrante. El sarro dental es un enemigo invisible que puede afectar nuestra salud bucal de manera silenciosa.

¿Qué es el Sarro Dental?
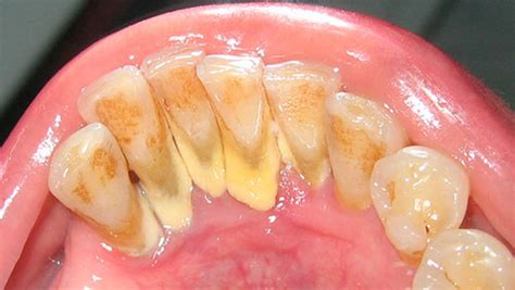
El sarro se forma cuando la placa bacteriana se endurece y adhiere a nuestros dientes, creando una superficie rugosa y amarillenta. A medida que este depósito mineralizado se acumula, no solo daña la apariencia estética de nuestra sonrisa, sino que también puede ser perjudicial para nuestra salud oral en general.
Placa Dental vs. Sarro Dental
La diferencia entre el sarro dental y la placa dental radica en su naturaleza y formación en la boca:
- Placa Dental: La placa dental es una película invisible y pegajosa compuesta principalmente de bacterias, restos de alimentos y saliva. Se forma constantemente en la superficie de los dientes y las encías. Si no se elimina adecuadamente mediante una higiene oral adecuada, la placa puede endurecerse y convertirse en sarro con el tiempo. La placa es más fácil de eliminar y prevenir mediante un cepillado y uso de hilo dental regulares.
- Sarro Dental: El sarro dental, como hemos comentado anteriormente, es el resultado del endurecimiento de la placa dental que no se ha eliminado a tiempo. Cuando la placa no se retira, los minerales presentes en la saliva se depositan en ella, causando su calcificación y convirtiéndola en sarro. A diferencia de la placa, el sarro es una sustancia dura y resistente que se adhiere firmemente a los dientes y es difícil de eliminar con la higiene oral diaria.
Consecuencias de la Acumulación de Sarro
La acumulación de sarro en los dientes puede tener importantes consecuencias en la salud bucal. El sarro es una capa endurecida y amarillenta que se forma sobre el esmalte dental debido a la acumulación de placa bacteriana. A medida que esta capa se va engrosando, puede provocar problemas como la inflamación de las encías, conocida como gingivitis.
Enfermedad Periodontal
Cuando el sarro no se trata adecuadamente, puede contribuir al desarrollo de problemas más graves como la enfermedad periodontal. Esta condición inflamatoria afecta las encías y los tejidos circundantes, provocando síntomas desagradables como sangrado gingival, mal aliento persistente e incluso pérdida de dientes.
La gingivitis es solo el comienzo, ya que si no se trata adecuadamente, puede evolucionar hacia una enfermedad periodontal más grave. Esta enfermedad afecta tanto a las encías como al tejido óseo que sostiene los dientes, lo cual puede llevar a la pérdida del soporte dental e incluso a la caída de los mismos.

¿Cómo prevenir la PERIODONTITIS o enfermedad de las encías?
Complicaciones Sistémicas
Además de estos problemas dentales directos, el sarro también puede contribuir a complicaciones sistémicas en todo el cuerpo. Se ha demostrado que existe una relación entre la enfermedad periodontal y otras condiciones médicas graves como enfermedades cardíacas, diabetes y partos prematuros.
Impacto en la Estética Dental y Autoconfianza
Además de su impacto en la salud bucal, el sarro también tiene efectos negativos en la estética dental y la autoconfianza. El aspecto amarillento y descuidado causado por esta acumulación antiestética puede hacer que nos sintamos inseguros al sonreír o hablar en público.
No solo eso, sino que también debemos considerar cómo el sarro afecta nuestra estética dental y autoconfianza. La presencia visible del sarro amarillo oscuro o marrón en nuestros dientes no solo hace lucir nuestra sonrisa opaca y descuidada, sino que también nos hace sentir inseguros acerca de nuestra apariencia personal.
Una sonrisa deslumbrante es una de las mejores cartas de presentación que podemos ofrecer. Sin embargo, el sarro en los dientes puede afectar negativamente tanto a la estética dental como a nuestra autoconfianza. El sarro es fácilmente visible en los dientes, ya que se acumula como una capa amarillenta o marrón alrededor de ellos. Esto no solo hace que nuestros dientes luzcan sucios y descuidados, sino que también puede dar lugar a mal aliento persistente.
Además de su impacto visual y olfativo, el sarro también puede causar manchas permanentes en los dientes. Estas manchas pueden ser difíciles de eliminar incluso con cepillado regular y uso de hilo dental. La presencia constante del sarro también puede llevar a problemas más graves, como la enfermedad periodontal. Esta enfermedad afecta las encías y los tejidos que sostienen los dientes, pudiendo resultar en pérdida ósea e incluso caída prematura de los mismos.
Cuando nuestros dientes no lucen limpios y saludables debido al sarro acumulado, es natural sentirse inseguro acerca de nuestra apariencia oral. Esta falta de confianza puede afectarnos socialmente e incluso profesionalmente.
¿Por Qué Programar Limpiezas Dentales Regulares?
Es por eso que es fundamental programar limpiezas dentales regulares con un profesional. Programar limpiezas dentales regulares con un profesional no solo nos ayuda a mantener una sonrisa hermosa y sana, sino que también contribuye a nuestra salud general. Aunque cepillarse los dientes después de cada comida y usar hilo dental diariamente son hábitos fundamentales, no siempre son suficientes para eliminar completamente el sarro dental.
Aunque cepillarse los dientes después de cada comida y usar hilo dental diariamente son hábitos fundamentales, no siempre son suficientes para eliminar completamente el sarro dental. El sarro se forma cuando la placa bacteriana acumulada en nuestros dientes se endurece a lo largo del tiempo. Al someternos a limpiezas dentales periódicas, los odontólogos utilizan herramientas especiales para raspar suavemente el sarro acumulado en nuestras encías y dientes. Este proceso elimina las manchas superficiales y previene problemas más graves como la enfermedad periodontal.
Además, durante estas visitas regulares, los profesionales pueden detectar cualquier problema oral temprano antes de que empeore. Esto incluye caries ocultas, infecciones o incluso signos tempranos de cáncer oral. Al abordar estos problemas rápidamente, podemos evitar complicaciones futuras y ahorrar dinero a largo plazo.
Hábitos Diarios para Prevenir el Sarro
Además de visitar al dentista regularmente, existen hábitos diarios que podemos adoptar para prevenir la formación excesiva de sarro en casa. Mantener una buena higiene bucal es clave para prevenir la formación de sarro en los dientes. Afortunadamente, existen hábitos diarios simples que puedes incorporar a tu rutina de cuidado oral para mantener tus dientes limpios y libres de sarro.

Consejos Prácticos
- Cepillado Dental: En primer lugar, cepillarse los dientes al menos dos veces al día es fundamental. Utiliza un cepillo de cerdas suaves y asegúrate de llegar a todas las áreas, incluidas las superficies internas y externas de los dientes, así como la lengua. No olvides usar pasta dental con flúor para fortalecer el esmalte dental.
- Uso de Hilo Dental: Además del cepillado regular, también es importante utilizar hilo dental todos los días. El hilo dental puede eliminar la placa bacteriana y los restos de comida que se encuentran entre los dientes y a lo largo de la línea de las encías, donde el cepillo no puede llegar fácilmente.
- Enjuague Bucal Antimicrobiano: Otra medida preventiva eficaz contra el sarro es utilizar enjuague bucal antimicrobiano después del cepillado y uso del hilo dental. Estos enjuagues pueden ayudar a matar las bacterias causantes del sarro y mantener tu boca fresca durante todo el día.
- Raspador Lingual: No te olvides tampoco del raspador lingual. Este dispositivo simple pero efectivo ayuda a eliminar las bacterias acumuladas en la lengua, reduciendo así el riesgo de formación del sarro.
- Evitar Alimentos Azucarados: Finalmente, evita alimentos azucarados y bebidas carbonatadas o ácidas que puedan contribuir al desarrollo del sarro.
Alimentación y Sarro Dental
Nuestra alimentación juega un papel fundamental en nuestra salud bucal. Algunos alimentos y bebidas pueden favorecer la acumulación de sarro en los dientes, lo cual puede llevar a problemas dentales más graves si no se controla adecuadamente. Es importante conocer cuáles son estos alimentos para poder tomar medidas preventivas.
En primer lugar, los alimentos ricos en azúcares y carbohidratos refinados son especialmente perjudiciales para nuestros dientes. Estos incluyen dulces, galletas, pasteles e incluso algunos tipos de pan. El exceso de consumo de estos productos puede proporcionar una fuente de alimento para las bacterias presentes en nuestra boca, lo que a su vez aumenta el riesgo de formación de sarro.
Además, las bebidas carbonatadas y los refrescos también pueden contribuir al desarrollo del sarro dental. Estas bebidas contienen altos niveles de ácido fosfórico y cítrico que erosionan el esmalte dental con el tiempo. Esto debilita nuestras defensas naturales contra la placa bacteriana y facilita la aparición del temido sarro.
Para minimizar el impacto negativo de estos alimentos y bebidas en nuestros dientes, es recomendable limitar su consumo o tomar algunas precauciones adicionales.
El Sarro en Cifras
El sarro en los dientes es algo muy común en las personas de todas las edades. Según la encuesta de Salud Oral en España (2020), más del 30% de los adolescentes lo padecen, en torno a un 67% de los adultos también y más de 70% de los mayores de 65 años sufren esta patología.
| Grupo de Edad | Porcentaje de Afectados por Sarro |
|---|---|
| Adolescentes | Más del 30% |
| Adultos | Aproximadamente el 67% |
| Mayores de 65 años | Más del 70% |
Conclusión
Mantener una sonrisa deslumbrante y una salud bucal óptima requiere de cuidado constante y atención adecuada. El sarro dental es un enemigo invisible que puede causar estragos en nuestra boca si no se controla adecuadamente. Es fundamental programar limpiezas dentales regulares con un profesional para eliminar el sarro de los dientes y prevenir complicaciones futuras. Estos expertos tienen las herramientas necesarias para eliminar eficazmente el sarro y mantener tus dientes sanos y hermosos.
Además, adoptar hábitos diarios de higiene oral sólidos es crucial para prevenir la formación de sarro en casa. Cepillarse los dientes al menos dos veces al día, usar hilo dental regularmente y utilizar enjuague bucal son pasos fundamentales para mantener alejada esta amenaza invisible.
También debemos tener cuidado con los alimentos y bebidas que consumimos, ya que algunos pueden contribuir al desarrollo del sarro.