Todos conocemos esa horrible sensación de mirarte al espejo y, al mirar tus dientes, descubrir una mancha en uno de ellos. En las portadas de las revistas, en la televisión y en las redes sociales, las personas atractivas nos iluminan con sonrisas blancas. Pero cuando nos miramos al espejo y vemos unos dientes amarillos en lugar de un conjunto impecable, es frustrante. ¿Por qué salen manchas en los dientes? Normalmente, las manchas que más comunes son de color amarillo.
En casi todas las culturas, una sonrisa blanca y radiante se considera el ideal de belleza, junto con unos dientes rectos y bien formados. Las personas con dientes amarillos suelen sentirse incómodas y, como consecuencia, su autoestima se resiente. Sin embargo, esto no sólo tiene un efecto negativo en la autopercepción. Tanto en el amor como en la vida profesional, las personas con dientes blancos tienen más éxito. Este es el resultado de varios estudios realizados en Alemania, Inglaterra y Estados Unidos. Especialmente las mujeres menores de 30 años conceden gran importancia a los dientes blancos a la hora de elegir pareja.
Mientras que los dientes amarillos se perciben como descuidados y poco atractivos, los dientes blancos son sinónimo de autodisciplina y conciencia de la salud. Afortunadamente, los dientes amarillos no tienen por qué ser una afección permanente. Aunque la decoloración puede parecer descuidada a otras personas, no tiene por qué deberse necesariamente a una mala higiene dental y bucal.
¿Cómo eliminar manchas en los dientes sin desgastarlos, en una sola cita y sin carillas?
Causas de las manchas amarillas en los dientes
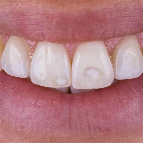
En términos técnicos, se distingue entre decoloración intrínseca y extrínseca de los dientes amarillos. La decoloración intrínseca se produce en el interior del diente, a menudo en la infancia durante el desarrollo o más tarde debido a lesiones o desgaste. La decoloración extrínseca se produce cuando las partículas de color se depositan en el esmalte. Ambos tipos de decoloración pueden tener causas diferentes.
El color natural de los dientes difiere de una persona a otra. Hay de todo, desde el blanco nacarado al marfil, pasando por el gris mate y el marrón rojizo. No sólo depende del tono básico del hueso del diente, sino también del grosor del esmalte que lo rodea. Cuanto más gruesa es la capa de esmalte, más blancos parecen los dientes. Por eso, algunas personas tienen de forma natural los dientes más blancos que otras. El tono hereditario también puede aparecer de forma diferente, claro u oscuro, en la luz refractada.
Normalmente el color amarillento se debe a un deterioro del esmalte. Además, suele provocar un aumento notable de la sensibilidad de nuestros dientes al frío, el calor y los dulces.

Tipos de manchas en los dientes.
¿Son sanos los dientes amarillos?
Los dientes amarillos no son malos. De hecho, los dientes reales casi nunca son realmente blancos, sino más bien de color marfil. Por eso a menudo percibimos los dientes muy blanqueados como poco naturales. Los dientes amarillos pueden ser incluso más sanos que los blancos. Por supuesto, esto no es cierto si la causa del amarilleamiento es el tabaquismo o una mala higiene dental, sino si sus dientes simplemente tienen un tono naturalmente más amarillento.
El esmalte dental es la sustancia blanca y dura que constituye la superficie del diente. Debajo se encuentra la dentina, cuyo color varía de una persona a otra, desde el amarillo intenso al marrón rojizo. Es bastante normal que nuestros dientes se vuelvan más amarillentos a lo largo de la vida porque la capa de esmalte se vuelve lenta pero gradualmente más fina al masticar.
Es bastante obvio que cepillarse los dientes con poca frecuencia puede ser una de las causas de la decoloración amarilla. Si te cepillas los dientes con muy poca frecuencia, desarrollarás placa y sarro. Especialmente si tienes los dientes amarillos en las encías o espacios amarillos entre los dientes, esto puede ser el resultado de una mala higiene dental. Esto no sólo resulta antiestético, sino que también puede provocar enfermedades dentales graves, como caries o enfermedad periodontal.
Un cuidado dental demasiado ambicioso también puede provocar dientes amarillos. Si ejerces demasiada presión, utilizas un cepillo de dientes demasiado duro y una pasta dentífrica de grano grueso, desgastarás el esmalte.
Fumar no sólo es malo para la salud en general, sino que también deja manchas amarillas en los dientes. Esto se debe principalmente a sustancias tóxicas como el alquitrán, que se depositan en la cavidad bucal cuando se quema el tabaco y forman un velo sobre los dientes. Los cigarrillos electrónicos no contienen estas sustancias, pero la nicotina también tiene un efecto manchante. Pero es aún mejor dejar de fumar del todo.
La decoloración amarilla también puede producirse si ingiere con frecuencia alimentos con un fuerte efecto colorante. Las partículas de color se depositan en la superficie del diente e incluso penetran en el esmalte con el tiempo. Si toma café o té con frecuencia, masticar chicle entre comidas puede ayudarle a prevenir la decoloración.
Algunas personas rechinan los dientes inconscientemente cuando están estresadas, sobre todo mientras duermen.
Los colutorios antibacterianos con clorhexidina, como Chlorhexamed, tienen un efecto secundario desagradable: una coloración amarillenta de los dientes. Sin embargo, en algunas situaciones -por ejemplo, antes o después de una intervención quirúrgica dental o en caso de inflamación de la boca- es necesario utilizar un colutorio de este tipo. Si se cepilla los dientes muy a fondo, puede limpiar directamente los dientes amarillos. Con los enjuagues bucales Perio plus de Curaprox la decoloración es muy limitada. Dado que Citrox® potencia el efecto de la clorhexidina, los enjuagues bucales sólo requieren una cantidad menor del agente colorante.
El flúor es una sustancia muy eficaz para proteger contra la caries, pero es posible excederse. Si los padres son demasiado buenos con sus hijos y les dan pastillas de flúor además de pasta de dientes fluorada, y esto se combina con sal fluorada o agua del grifo con flúor, puede producirse fluorosis. Esto ocurre cuando el cuerpo absorbe demasiado flúor y reacciona con manchas blancas o amarillas, sobre todo en los incisivos y caninos.
Los dientes amarillos también pueden estar causados por enfermedades. Los medicamentos también pueden amarillear los dientes. Si se toman antibióticos que contienen tetraciclina durante el desarrollo de los dientes, pueden causar una coloración marrón-amarilla irreversible. Por ello, las mujeres no deben tomar este tipo de antibióticos durante el embarazo. Otras clases de antibióticos también pueden causar dientes amarillos y otras decoloraciones: la fenoximetilpenicilina vuelve los dientes de color amarillo-marrón, mientras que la amoxicilina puede decolorar los dientes de color gris. El cotrimoxazol, la eritromicina, el metronidazol y el cefaclor también pueden decolorar los dientes. Sin embargo, esta decoloración no suele ser permanente.
Hay una serie de medicamentos que resecan la boca y proporcionan un caldo de cultivo ideal para las bacterias. Algunos tratamientos dentales también pueden ser la causa de la decoloración. Cuando los jóvenes llevan ortodoncia, es especialmente importante una higiene bucal minuciosa. De lo contrario, la placa se acumula rápidamente alrededor de los brackets, que además pueden adquirir un color amarillento.
Los dientes amarillos no suelen ser un signo de carencia de vitaminas.
Tratamientos para eliminar las manchas amarillas
Probablemente se pregunte: ¿Cómo se blanquean los dientes amarillos? En realidad, hay varias formas de volver a tener los dientes amarillos. En esta sección respondemos a todas las preguntas candentes que tienes en la punta de la lengua: ¿Cuáles son los remedios caseros? ¿Qué es lo que realmente ayuda?

Blanqueamiento dental.
Remedios caseros: ¿Funcionan?
En Internet circula mucha información sobre cómo blanquear los dientes de forma natural. Sin embargo, se recomienda precaución. El bicarbonato sódico es un remedio casero clásico cuando se trata de productos de cuidado de bricolaje y a menudo se promociona como un remedio adecuado para los dientes amarillos. De hecho, el bicarbonato provoca una reacción química en la boca que disuelve la decoloración y blanquea los dientes. Sin embargo, el ácido también ataca el esmalte dental y vuelve áspera la superficie de los dientes. Esto facilita la adhesión de la placa y, a la larga, los dientes amarillos empeoran.
Sin duda, los cristales de sal pueden eliminar las manchas gruesas de los dientes, pero al igual que el bicarbonato de sodio, atacan el esmalte dental. Las manchas no se eliminan por reacción química, sino por frotamiento mecánico. Las bacterias y otros gérmenes pueden adherirse mejor a la superficie rugosa del diente. El ácido del zumo de limón también afecta al esmalte dental, eliminando minerales importantes. El diente no sólo se vuelve más susceptible, sino también más transparente.
El carbón activado tiene la capacidad de aglutinar sustancias nocivas y hacerlas inofensivas. Este principio se utiliza en naturopatía, por ejemplo, para las afecciones digestivas en forma de comprimidos de carbón activado. Las sustancias tóxicas se adhieren a la superficie del carbón activado y son eliminadas del organismo. Lo importante aquí: Si desea utilizar carbón activado en polvo como remedio casero, sólo debe mezclarlo con agua y luego aplicar la pasta sobre los dientes, dejar que actúe y enjuagar con agua. Sin embargo, no debe cepillarse los dientes con la mezcla, porque incluso el carbón activado en esta forma gruesa puede triturar el esmalte.
Dentífricos blanqueadores
Seguro que alguna vez te has preguntado qué dentífrico es el mejor para combatir los dientes amarillos y si es posible cepillarse los dientes de blanco. Después de todo, hay montones de dentífricos disponibles en supermercados, farmacias y en Internet, y todos prometen una sonrisa blanca y brillante. Entonces, ¿es posible cepillarse los dientes amarillos? La respuesta es: sí, pero no en todos los casos. Y también hay grandes diferencias en el efecto a largo plazo entre los distintos dentífricos.
Está científicamente demostrado que el dentífrico blanqueador puede blanquear los dientes. Sin embargo, la pregunta importante es: ¿cómo lo consigue y es el efecto permanentemente saludable para los dientes? Muchos dentífricos convencionales con efecto blanqueador se basan en ingredientes agresivos que desgastan el esmalte dental para eliminar la decoloración. De forma similar a una exfoliación de la piel, las impurezas y la decoloración se eliminan mecánicamente, junto con el esmalte dental. Sin embargo, hay una diferencia importante: a diferencia de la piel, el esmalte dental no vuelve a crecer. Las encías también se retraen cuando se frotan con agentes agresivos durante un largo periodo de tiempo, y tampoco vuelven a crecer. Por lo tanto, es importante que elijas un dentífrico blanqueador que blanquee tus dientes con suavidad y no ataque el esmalte.
Existe una medida que indica exactamente cuánto erosiona el esmalte el dentífrico: la abrasión dentinaria relativa (ADR). Cuanto mayor sea este valor, más ataca el dentífrico al esmalte. Los dentífricos blanqueadores pueden alcanzar un valor superior a 200.
La hidroxiapatita cierra las grietas e irregularidades del esmalte dental y garantiza así que las partículas de color no puedan adherirse. Al alisar la superficie dental, los dientes también parecen más blancos. El carbón activado de la pasta de dientes adhiere a sí mismo partículas de color, bacterias y toxinas, de modo que basta con escupirlas. Las partículas se adhieren al carbón activado porque tiene una superficie especialmente grande: ¡un gramo de carbón activado tiene la misma superficie que un campo de fútbol! Pero ¡cuidado! Si eliges un dentífrico con carbón activado, también debes prestar atención al valor RDA. Incluso el carbón activado puede rayar el esmalte dental si no es lo suficientemente fino.
Tratamientos profesionales
Los dientes amarillos suelen ser inofensivos. Sin embargo, a los afectados les resultan muy molestos. Si la decoloración amarilla le molesta mucho o ha aparecido en poco tiempo, debe someterse a una revisión dental. Si sus dientes están amarillos debido a la acumulación de placa y sarro, o si desea eliminar la decoloración causada por otros factores externos (como el café o el té), una limpieza dental profesional puede hacer que su sonrisa sea mucho más blanca. El dentista limpia suavemente la superficie de los dientes con un chorro de polvo que no daña el esmalte.
Si la decoloración está dentro del esmalte o en zonas más profundas de los dientes, la limpieza dental profesional no es suficiente. Si aún así quiere aclarar los dientes amarillos, el dentista puede realizar el llamado blanqueamiento y blanquear sus dientes. Aquí hay dos posibilidades: El propio dentista puede realizar el blanqueamiento en la consulta. Aplica a los dientes un gel blanqueador con peróxido de hidrógeno o peróxido de carbamida y lo activa con una luz ultravioleta. Sin embargo, tenga en cuenta que el blanqueamiento no está exento de consecuencias. Debilita el esmalte y lo hace más fino. Las personas que por naturaleza tienen un esmalte más fino son sensibles al frío, al calor y a la presión después del blanqueamiento.
Si quieres blanquearte los dientes con un blanqueador, es mejor que te lo haga un dentista. Los productos de droguería no se pueden personalizar porque la cubeta es de talla única. Esto puede hacer que el resultado no sea uniforme. También existe el riesgo de una aplicación incorrecta: Algunas personas dejan el gel blanqueador demasiado tiempo o lo utilizan con demasiada frecuencia. Esto puede causar daños permanentes: El esmalte se vuelve muy fino y demasiado sensible.
Si ni la limpieza dental ni el blanqueamiento ofrecen resultados satisfactorios, también tiene la opción de cubrir sus dientes amarillos con una corona o carillas o lumineers. Sin embargo, este método sólo se recomienda en casos extremos porque entraña numerosos riesgos para su salud dental. Por un lado, hay que fresar el diente por completo, lo cual es extremadamente doloroso y no se puede deshacer. En segundo lugar, las bacterias pueden quedar atrapadas entre el diente y las carillas.
Tabla resumen de tratamientos
| Tratamiento | Descripción | Ventajas | Desventajas |
|---|---|---|---|
| Limpieza Dental Profesional | Eliminación de placa y sarro superficial. | No daña el esmalte, mejora la higiene oral. | No elimina manchas profundas. |
| Blanqueamiento Dental | Uso de geles blanqueadores con peróxido. | Aclara el color del diente de manera uniforme. | Puede sensibilizar los dientes, debilita el esmalte. |
| Carillas Dentales | Láminas de porcelana o composite que cubren el diente. | Soluciona cualquier tipo de mancha, mejora la estética. | Requiere tallado del diente, riesgo de filtración bacteriana. |