Los dientes apiñados pueden ser un problema común que afecta a muchas personas, pero no tiene por qué ser una preocupación constante. A menudo, el apiñamiento dental se resuelve con el tiempo, aunque es algo muy común ya que casi todo el mundo lo tiene en cierta medida.

¿Qué es el Apiñamiento Dental?
El apiñamiento dental es una situación en la que los dientes están demasiado juntos, o en la que uno o varios dientes están situados demasiado atrás en la mandíbula. Si un diente está demasiado cerca de otro, puede tocarlo y causar daños. El apiñamiento puede producirse a cualquier edad, pero es más probable que se produzca durante la adolescencia y los primeros años de la vida adulta.
Causas del Apiñamiento Dental
- Falta de espacio en la boca.
- Falta de espacio en la mandíbula.
- Falta de erupción normal de los dientes.
- Hueso maxilar pequeño: Una de las principales razones del apiñamiento se encuentra en la desproporción entre los dientes y los huesos maxilares (maxilar superior y mandíbula).
- Dientes grandes o supernumerarios: Unos dientes demasiado grandes para el tamaño de los huesos maxilares también tenderán a apiñarse. Algo similar puede suceder con los dientes supernumerarios (piezas dentales extra que no forman parte del esquema habitual de dentición).
- Hábitos incorrectos durante la infancia: Chuparse el dedo pulgar y usar el biberón o el chupete de manera prolongada y más allá de los tres años puede causar dientes apiñados.
- Paladar ojival (estrecho): Es una maloclusión dental muy asociada al apiñamiento en la arcada superior. Las personas con paladar ojival presentan un maxilar superior poco desarrollado respecto a la mandíbula.
- Ausencia o pérdida temprana de dientes de leche: Entre otras cosas, los dientes temporales sirven para guardar el espacio necesario para que las piezas dentales definitivas puedan erupcionar. Por eso, los niños que presentan la ausencia o la pérdida temprana de un diente tienen más riesgo de padecer apiñamiento.
Consecuencias de Tener Dientes Apiñados
- Dificultad para practicar la higiene dental: Los dientes apiñados son dados a crear rincones y grietas que son difícilmente accesibles para el cepillo y el hilo dental.
- Desgastes excesivos en los dientes: Unos dientes apiñados que no encajan correctamente pueden provocar un desgaste desigual en el esmalte. Esto se debe a que hay unas piezas dentales que reciben más cargas y choques de los que pueden soportar. En consecuencia, los dientes se desgastan y pueden producirse fisuras en su esmalte.
- Estrés adicional en la articulación temporomandibular (ATM): Esta es una de las consecuencias más graves y molestas de los dientes apiñados. La falta de encaje entre los dientes puede causar sobrecarga en la articulación que conecta la mandíbula con el cráneo.
Soluciones para Corregir los Dientes Apiñados
Por desgracia, no hay una solución rápida para los dientes apiñados. Sin embargo, existen varios tratamientos efectivos que pueden ayudar a corregir esta condición y mejorar tu sonrisa.

La solución dependerá del grado de apiñamiento dental que presente el paciente: leve, moderado o severo.
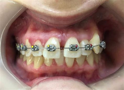
1. Ortodoncia
La ortodoncia es una de las formas más comunes de tratar el apiñamiento de los dientes. Los brackets son una solución probada a largo plazo para tratar los dientes apiñados. En este caso, son esencialmente un retenedor que se usa a tiempo completo durante unos dos años.
Como acabamos de ver, la ortodoncia es uno de los tratamientos más utilizados para corregir el apiñamiento de los dientes. Dentro de los tratamientos de ortodoncia se puede optar tanto por brackets como por alineadores transparentes.

Arreglar los dientes separados sin necesidad de utilizar brackets es posible gracias a los alineadores transparentes, que pueden tratar tu diastema con eficacia y discreción.
2. Férulas de Descarga
Las férulas son aparatos removibles que se utilizan generalmente para tratar el apiñamiento de los dientes posteriores.
3. Extracción
Algunos dientes están tan adelantados en la boca que el tratamiento de ortodoncia no puede devolverlos a su posición correcta.
4. Expansor Maxilar
Es uno de los aparatos más utilizados para corregir los dientes apiñados en la arcada superior. Se coloca, sobre todo, en niños en crecimiento, cuando aún no se ha completado el desarrollo de sus huesos, por lo que resulta posible intervenir en ellos.
5. Cirugía Ortognática
Esta opción de tratamiento se reserva para los casos severos, cuando los dientes apiñados tienen su origen en alteraciones graves en el tamaño y la posición de los huesos maxilares.
Testimonio Yanire | Ortodoncia Invisible para corregir apiñamiento dental 🦷
Como ves, existen distintos tratamientos para solucionar el apiñamiento. Si quieres que sean nuestros ortodoncistas, quienes cuentan con décadas de experiencia en el tratamiento de los dientes apiñados, los que te valoren, llama a nuestras clínicas dentales y solicita tu primera consulta.
¿Qué es el Diastema?
¿Sabías que tener los dientes separados es conocido bajo el término diastema? Si tu respuesta es no y tienes esta condición en tus dientes, además de desear corregirlo para lucir tu mejor sonrisa, sigue leyendo.
Un diastema es el nombre que los odontólogos utilizan cuando existe una separación mayor de lo común entre dos dientes, lo cual suele ocurrir con mayor frecuencia entre los dos dientes delanteros superiores.

Al hablar de dientes separados muchas veces pensamos en un niño sonriendo cuyos incisivos centrales no están del todo juntos. Pero, ¿por qué se producen los diastemas y cuál es el tratamiento para corregirlo?
En la actualidad, y pese al desacuerdo de muchos odontólogos, el diastema se ha convertido en última tendencia especialmente en el mundo de la moda. Sin embargo, este tipo de moda puede entrañar ciertos riegos para la salud dental, como ya hemos explicado.
El diastema es una condición bucodental que se manifiesta como un espacio visible entre dos piezas dentales. Aunque puede aparecer entre cualquier par de dientes, su localización más común es entre los incisivos centrales superiores, lo que popularmente se conoce como “paletas separadas”. Este espacio puede ser más o menos pronunciado, y afecta tanto a adultos como a niños.
Causas del Diastema
Existen numerosas causas que provocan diastemas, tanto en los incisivos centrales superiores como en el resto de piezas dentales.
- Cuando existe una proporción inadecuada entre los dientes y el maxilar o mandíbula.
- Los diastemas también pueden darse si tienes los incisivos laterales, es decir, los dos dientes a cada lado de los incisivos centrales, demasiado pequeños.
- Otra causa es que presentes la patología llamada mesiodens (diente adicional) entre los incisivos centrales.
- Existencia de desproporción en el tamaño de las piezas. Esta condición recibe el nombre de microdoncia y como consecuencia hay determinados dientes que tienen un tamaño menor del habitual.
- Ausencia de un diente. Aunque en estos casos lo normal es presentar un hueco mucho mayor, lo cierto es que los dientes tienen la tendencia a ocupar el espacio que ha dejado una pieza faltante.
- Incorrecta relación en el tamaño de las arcadas. En caso de que el diastema se de entre los incisivos centrales superiores, puede ser que la arcada sea mayor de lo habitual. Al existir mayor espacio pero, sin embargo, el mismo número de dientes, estos tienden a mantenerse separados.
- Existencia de frenillo labial superior.
- Malos hábitos en la infancia. Aunque es una imagen normal la de un bebé chupándose el dedo pulgar o utilizando el chupete, extender esta costumbre muchos años puede causar malformaciones en su dentadura.
Como explicábamos previamente, hay diversos factores que provocan los diastemas.
Además de los factores genéticos, ciertos hábitos infantiles o problemas adquiridos también pueden provocar la separación entre los dientes. Entre los más comunes está el hábito de chuparse el dedo, especialmente si se mantiene más allá de los 3-4 años de edad. Otro hábito frecuente que contribuye al diastema es la interposición lingual o empuje de la lengua contra los dientes anteriores.
Consecuencias del Diastema
Es importante señalar que las separaciones entre los dientes no presentan un problema directo para tu salud bucodental, pero conviene estudiar cada caso. Es posible que tengas diastemas pero presentes buena oclusión.
Desde el punto de vista estético, los diastemas sí pueden ser un problema para quien los padece pues suele ser causante de complejos.
Respecto a la higiene bucal, es muy importante poner énfasis en estos espacios cuando nos estamos cepillando los dientes, para que no se conviertan en el refugio de restos de alimentos. Si esto sucediera, podríamos desarrollar caries y/o problemas periodontales (gingivitis o periodontitis). Además, otra de las consecuencias de acumular alimentos en los huecos interdentales es la halitosis o mal aliento.
El diastema puede provocar un desequilibrio en la mandíbula y en la fuerza ejercida sobre los dientes. Este desequilibrio puede provocar con el paso del tiempo un desgaste:
- Del esmalte
- De las encías
- De la estructura ósea
El diastema también puede causar molestias a la hora de comer y crear caries.
Es necesario mantener una excelente higiene oral y utilizar hilo dental después de cada comida, ya que los restos de alimentos favorecen la aparición de:
- Placa bacteriana y sarro
- Caries
- Mal aliento
Soluciones para Corregir el Diastema
Si muestras una separación en tus dientes, lo mejor es realizar una evaluación para saber cuál es el tratamiento que se puede adecuar mejor a tus necesidades, dependiendo de sus causas, tu edad y el grado de la afección.
El primer paso para corregir el diastema es conocer el origen y la causa que lo ha provocado. Un buen diagnóstico permite aplicar un tratamiento adecuado a cada caso para conseguir el cierre de diastema y obtener los resultados deseados:
1. Ortodoncia
La ortodoncia es una de las soluciones más efectivas para corregir un diastema, ya que este tratamiento ayudará a colocar tus dientes en el sitio correcto.
Por otro lado, puede que no desees realizar un tratamiento de ortodoncia por ser un tratamiento visible y poco estético para algunas personas, por lo que el odontólogo puede indicar una ortodoncia invisible o Invisalign.
La mayoría de los casos de diastema requieren un tratamiento de ortodoncia. Hoy en día existen muchas opciones ortodónticas para tratar el espacio entre los dientes: brackets metálicos, de cerámica, transparentes, aparatos linguales o alineadores invisibles. La duración total del tratamiento de ortodoncia viene determinada por la complejidad del caso de cada paciente.

2. Carillas Dentales
Las carillas dentales están indicadas en los pacientes que desean una solución rápida e inmediata, por lo que si has descartado el uso de ortodoncia por el tiempo que te llevará corregir el problema, esta puede ser una solución ideal cuando existe una desproporción de tamaño entre el hueso maxilar y los dientes.
Las carillas dentales ofrecen una solución eficaz y con resultados muy estéticos. Proporcionan al diente la forma, el color y el tamaño deseados, además de contribuir a que la sonrisa del paciente sea armónica y natural.
Es decir, las carillas dentales son muy prácticas si la dentadura está perfectamente alineada y el paciente solamente necesita que el dentista disimule determinados diastemas. Si al finalizar el tratamiento, el paciente considera que aún debe colocarse carillas para modificar la forma, tamaño o color de alguna pieza dental, podrá pedirlo en su clínica dental.

3. Frenectomía
Otra de las soluciones es que el odontólogo te indique la realización de una frenectomía, la cual consiste en una pequeña cirugía con anestesia local que se indica cuando el frenillo del labio superior es de un tamaño desproporcionado en relación con los incisivos, ocasionando un diastema entre ellos. Tras la cirugía, debes seguir con una ortodoncia que será de gran ayuda para que la corrección tenga éxito.
La frenectomía es una cirugía mínimamente invasiva cuya misión es corregir el crecimiento anómalo del frenillo labial. Esta singularidad provoca un hueco localizado entre las dos paletas y, tal como sucedía con el punto anterior, es necesario combinar dos tratamientos.

4. Coronas Dentales
Se recomiendan en situaciones en las que la ortodoncia no puede tratar el problema. Es el caso de los pacientes con dientes pequeños (espacios generalizados), en los que habrá que colocar coronas en la gran mayoría de los dientes para obtener un resultado estético.
Prevención del Diastema
Los diastemas tienen un factor genético y, en este sentido, evitarlo es una tarea muy complicada. Sin embargo, cuando la separación dental responde a un hábito durante la infancia, sí que es posible prevenirlos. Es normal que un bebé se chupe el dedo, tome biberón o use chupete.
Diastema en Niños
El diastema en bebés es algo muy común y no hay por qué asustarse. Es habitual que los bebés tengan los dientes de leche separados y estos no estén perfectamente alineados. Esta separación en los dientes es normal e incluso, deseable, ya que los dientes de leche son bastante más estrechos que los definitivos.
Además, el diastema puede estar presente en niños en edad de cambio dental. En estos casos, suele desaparecer con la erupción definitiva de los dientes permanentes.
Diastema en Adultos
Una vez que hayan salido los dientes definitivos, el diastema puede ser, como ya hemos visto, localizado o generalizado. Puede ser necesario tratarlo por motivos de salud o por razones puramente estéticas.
Muchos adultos optan por corregir la separación de dientes por razones estéticas, pero también porque sienten incomodidad a la hora de comer, ya que los alimentos se quedan entre los dientes con mayor facilidad. El diastema en adultos favorece la acumulación de placa bacteriana que puede desembocar en caries y otros problemas más graves.
Si posees esta patología, lo primero que debes hacer es realizar una visita a tu odontólogo, quien es el que está capacitado para realizar una valoración precisa del caso. También se puede dar el caso de pacientes a los que el diastema no les supone ningún inconveniente. Si este es tu caso, puedes permanecer con la separación entre ambos dientes y continuar como hasta ahora.
Aunque la formación de un diastema no es un motivo que requiera ser tratado con urgencia, sabemos que la formación de este puede afectar a tu imagen y causar un impacto negativo en tu autoestima. En nuestra clínica te recomendamos que asistas siempre a un especialista cada vez que presentes una molestia bucodental. ¡Contáctanos y solicita tu cita! Todos queremos una sonrisa bonita y agradable.