Las carillas dentales son una solución estética que sirve para mejorar la apariencia de los dientes. Son uno de los tratamientos dentales estéticos más demandados actualmente, tanto por su sencillez como por su precio. Si estás considerando este tratamiento, es fundamental que conozcas todos los detalles: desde los precios actuales hasta los factores que influyen en el coste, pasando por los diferentes tipos de carillas disponibles y qué esperar del procedimiento.

¿Qué son las carillas dentales?
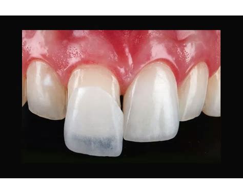
Las carillas dentales son unas finas láminas que se adhieren a la superficie frontal (visible) de los dientes con el objetivo de mejorar su apariencia. Las carillas dentales son unas láminas muy finas -generalmente inferiores a un milímetro de espesor- que se fijan sobre la parte visible de uno o varios dientes. Pueden estar hechas de diferentes materiales, pero suelen ser de porcelana o composite. Su principal objetivo es mejorar el aspecto de los dientes, ya sea para modificar su tamaño, color, forma o posición. Por tanto, tienen una finalidad puramente estética.
¿Para qué sirven las carillas dentales?
Las carillas dentales sirven para corregir pequeños defectos que afectan al color, el tamaño, la forma o la posición de los dientes. Entre las imperfecciones que pueden solucionar podemos destacar las siguientes:
- Dientes amarillos o con manchas
- Desgastes en el esmalte
- Diastemas (espacios entre los dientes)
- Leves malposiciones dentales
- Fisuras o fracturas
En cualquiera de los casos anteriores es necesario que el odontólogo realice una valoración del paciente para determinar si las alteraciones de sus dientes pueden ser corregidas con carillas.
Prueba Pre - Colocacion carillas lumineers
¿Cuándo es recomendable ponerse carillas en los dientes?
A continuación, te detallamos los casos concretos en los que puede resultar recomendable ponerse carillas para mejorar la apariencia de la sonrisa:
- Dientes amarillos o con manchas: las carillas se pueden utilizar en pacientes que presentan dientes amarillos, decolorados o con manchas.
- Resistencia al blanqueamiento dental: las carillas son un excelente complemento al blanqueamiento.
- Dientes desalineados: las carillas también pueden ofrecer un buen resultado estético a los pacientes que tienen ligeras malposiciones dentales, ya que en ocasiones permiten disimularlas.
- Dientes con formas o tamaños irregulares: las carillas se utilizan para corregir pequeños defectos que afectan a la forma de los dientes.
- Diastemas: las carillas también están recomendadas para disimular los diastemas o espacios entre los dientes.
- Dientes desgastados: las carillas se pueden colocar en dientes que presentan desgastes en el esmalte.
- Dientes fisurados o fracturados: las carillas también pueden estar indicadas en determinados casos de fisuras o fracturas leves en los dientes.
Tipos de carillas dentales
Existen diferentes tipos de carillas dentales en función del material y la técnica empleados en su confección. Cada una de ellas tiene sus ventajas, y la elección dependerá del caso concreto y las necesidades del paciente.

- Carillas de composite: Las carillas de composite, o de resina sintética, son una opción más económica que las de porcelana. Están confeccionadas con composite, un tipo de resina que cuenta con tres cualidades: se adhiere al diente, es moldeable y permite imitar una infinidad de tonos. Las principales ventajas de las carillas de composite son su proceso de colocación sencillo, que no requieren tallar los dientes y su precio. El composite se aplica directamente sobre el diente, normalmente en una única sesión. Son más económicas que las carillas de porcelana o disilicato de litio, pero también suelen durar menos tiempo.
- Carillas de porcelana: Las carillas de porcelana son conocidas por su durabilidad y apariencia natural. Las carillas Emax están hechas de disilicato de litio, un material altamente estético y duradero. Las carillas de porcelana no se manchan ni se tiñen. Las carillas de porcelana representan el estándar de oro en odontología estética.
- Carillas de zirconio: El zirconio representa la tecnología más avanzada en carillas dentales. Las carillas de zirconio son las más resistentes a fracturas, seguidas por las de porcelana.
- Carillas mínimamente invasivas: Estas carillas están fabricadas con disilicato de litio, un material que se caracteriza por su alta calidad, resistencia y naturalidad. El principal beneficio de las carillas de mínima invasión es que su proceso de planificación, diseño y fabricación es guiado y 100% digital. Este protocolo disminuye el tiempo total de tratamiento, reduce el margen de error humano y permite que el tallado del esmalte sea mínimo (similar al grosor de un cabello).
Precios de las carillas dentales
¿Quieres saber cuánto cuestan las carillas dentales? El precio de las carillas puede variar en función del material, la cantidad de dientes tratados y la complejidad del caso. No obstante, es importante tener en cuenta que los precios pueden variar dependiendo de diversos factores. En la Clínica Dental Dobleese, los precios de las carillas dentales varían según el tipo de material y la complejidad del tratamiento.
Ejemplos de precios:
- 6 carillas: Pago único 1.107€
- 8 carillas: Pago único 1.396€
- 10 carillas: Pago único 1.671€
Es importante destacar que estos precios son aproximados y que el coste final dependerá de cada caso particular y del número de dientes a tratar. En nuestra clínica de Barcelona, contamos con una amplia experiencia en la colocación de carillas estéticas y ofrecemos dos tipos de carillas dentales a precios accesibles.
Como habrás podido comprobar, en el precio de las carillas dentales influyen varios factores. Algunos laboratorios siempre tienen costos más elevados, porque los resultados más naturales, las carillas más duraderas y las que consiguen los resultados más bonitos son realizadas en laboratorios donde los técnicos son artistas que consiguen imitar con mucha exactitud el aspecto de los dientes naturales.
En la Clínica Dental Dobleese, entendemos que el costo de las carillas dentales puede ser significativo. Por ello, ofrecemos opciones de financiación del tratamiento dental para facilitar su acceso. Además, contamos con planes de financiación para facilitar el acceso a los tratamientos.
Ventajas de las carillas dentales
Las principales ventajas de las carillas dentales son las siguientes:
- Versatilidad: Las carillas son muy versátiles ya que permiten corregir múltiples problemas que afectan al aspecto estético de los dientes.
- Mejora de la estética: Al corregir los pequeños defectos de los dientes, las carillas dentales aportan a la sonrisa un aspecto más saludable, juvenil, cuidado y armónico.
- Mínimamente invasivas: Este es uno de los grandes beneficios que ofrecen algunas carillas actuales. Por ejemplo, las de composite no necesitan tallado.
- Mantenimiento sencillo: En términos generales, podemos decir que las carillas dentales no requieren cuidados difíciles o especiales.
Procedimiento para colocar las carillas dentales
Dado que existen distintos tipos de carillas dentales, cada una de ellas sigue un protocolo de colocación específico. Sin embargo, todas comparten los principales pasos del proceso.
- Estudio bucodental completo: consta de una exploración oral y la realización de radiografías y fotografías.
- Preparación de los dientes: con algunas carillas hay que realizar una mínima reducción del esmalte dental.
- Toma de impresiones: tras preparar los dientes, en el caso de que haya que hacerlo, se toman medidas de los mismos para confeccionar las carillas de manera personalizada.
- Fabricación de las carillas: la confección puede realizarse directamente en la clínica dental (en el caso de las de composite) o encargarse al laboratorio (en el caso de las de disilicato de litio).
- Colocación de las carillas: en función del proceso de confección, la técnica de colocación también varía.
¿En qué casos no están recomendadas las carillas dentales?
A pesar de que las carillas están recomendadas en una gran cantidad de situaciones, lo cierto es que también presentan alguna contraindicación. Las más relevantes son las siguientes:
- Mordida borde a borde: En este tipo de mordida, los dientes superiores chocan directamente contra los inferiores cuando la persona cierra la boca. La mordida borde a borde, por tanto, provoca que las carillas se rompan y se caigan.
- Bruxismo que no recibe tratamiento: Algo parecido sucede con el hábito de apretar y/o rechinar los dientes.
Duración de las carillas dentales
La duración de las carillas dentales está determinada por diversos factores, como los cuidados que siga el paciente en cuanto a higiene oral, alimentación, tabaco, hábitos, revisiones con el dentista, etc. Adicionalmente, la durabilidad del tratamiento también depende del material con el que están fabricadas las carillas y de la técnica de colocación (directa o indirecta). Por ello, no resulta posible determinar de antemano cuánto tiempo duran las carillas dentales. Lo que sí podemos decirte es que, con unos cuidados y unos mantenimientos adecuados, son un tratamiento pensado para durar a largo plazo.
Consideraciones Finales
Después de comprender toda la información sobre precios, tipos de carillas, procesos y consideraciones, es fundamental elegir la clínica dental adecuada para tu tratamiento. En Ferrus & Bratos, cada tratamiento se personaliza para adaptarse a tu sonrisa y expectativas. La salud bucal es esencial para tener una vida plena y saludable. Una sonrisa radiante no solo mejora nuestra autoestima y confianza, sino que también es una señal de buena salud. ¡No esperes más para lucir la sonrisa que siempre has querido!