Los dientes que salen fuera de lugar, también conocidos como dientes mal alineados o apiñados, son una preocupación común en la ortodoncia. En este artículo, te explicaremos las causas detrás de los dientes fuera de lugar y los tratamientos disponibles para corregir este problema.

Causas de los Dientes Fuera de Lugar
Los dientes fuera de lugar pueden ser causados por una variedad de factores. Comprender estas causas es crucial para abordar el problema de manera efectiva.
- Genética: Uno de los factores más comunes es la genética. Si hay antecedentes familiares de maloclusión, es más probable que los niños también desarrollen esta condición.
- Hábitos Perjudiciales: El hábito de chuparse el dedo o usar chupetes más allá de la edad recomendada también puede contribuir a que los dientes salgan fuera de lugar. Estos hábitos ejercen presión sobre los dientes y la mandíbula, afectando su desarrollo normal.
- Pérdida de Dientes: La pérdida de dientes debido a lesiones, caries dental o enfermedad periodontal puede provocar un desplazamiento de los dientes restantes, lo que resulta en una mala alineación.
- Hiperdoncia Severa: La hiperdoncia severa es una condición en la que una persona tiene más dientes de los que debería tener, lo cual provoca que los dientes salgan fuera de lugar. Estos dientes adicionales, también conocidos como supernumerarios, pueden causar problemas en la alineación de los dientes y afectar la mordida.
- Diente Ectópico: Un diente heterotópico o ectópico salen fuera de su lugar porque el sitio está bloqueado por un diente de leche. Esto puede deberse a diferentes factores como la genética, crecimiento del maxilar, tamaño de los arcos dentales, la dieta, tamaño grande de los dientes definitivos o extracciones tempranas.
- Factores Ambientales: Son aquellos factores o fuerzas externas que pueden alterar el equilibrio de la estructura craneofacial y dental durante el desarrollo del paciente. Esto depende en gran parte de la duración, frecuencia e intensidad con la que se produzcan estas fuerzas ambientales.
Brackets vs Invisibles | La verdad
Dientes Definitivos Mal Posicionados
Muchos pacientes no le dan importancia a la posición de los dientes de leche, ya que terminarán cayéndose y darán paso a los dientes permanentes y definitivos. Sin embargo, algunos problemas prolongados durante el recambio dental (como los hábitos orales parafuncionales, la caries o las fracturas dentales) pueden alterar la erupción y posición de los dientes definitivos.
- Arco dental estrecho: Lo que significa menos espacio para la erupción de los dientes permanentes.
Las visitas periódicas a la consulta del dentista, desde la infancia, y siguiendo las recomendaciones de los expertos ayudarán a evitar los dientes (inferiores y superiores) torcidos en el futuro. La mordida correcta y los dientes rectos no solo son estéticos, sino también importantes para la salud de los dientes. El tratamiento de ortodoncia da resultados sorprendentes en cualquier tipo de maloclusión. Actualmente, el nivel de tecnología y medicina permite la corrección efectiva incluso de defectos muy grandes.

Soluciones y Tratamientos para Dientes Fuera de Lugar
Afortunadamente, existen diversas opciones de tratamiento para corregir los dientes fuera de lugar y mejorar la alineación dental. La elección del tratamiento dependerá de la gravedad del caso y las necesidades del paciente.
Opciones de Tratamiento Ortodóncico
- Brackets y Alambres Tradicionales: Los brackets metálicos y los alambres son una opción ortodóncica clásica para enderezar los dientes. Son efectivos para corregir una amplia gama de problemas de alineación.
- Ortodoncia Invisible: La ortodoncia invisible es una alternativa moderna a los brackets y alambres tradicionales. Utiliza alineadores transparentes personalizados que son prácticamente invisibles cuando se usan. La ortodoncia invisible es una excelente opción para adultos y adolescentes que desean enderezar sus dientes sin los inconvenientes estéticos de los brackets y alambres tradicionales.
- Expansión de Paladar: Este tratamiento es útil cuando la falta de espacio en la boca es la causa principal de los dientes fuera de lugar. Un expansor de paladar ensancha el arco dental superior, creando más espacio para que los dientes se alineen correctamente.
- Extracciones Dentales: En casos graves de apiñamiento dental, puede ser necesario extraer uno o más dientes para crear espacio para los demás. Esta opción se considera cuando no hay suficiente espacio en la boca para alinear todos los dientes de manera adecuada.
- Ortopedia Maxilofacial: En casos en los que el problema está relacionado con la posición de la mandíbula, se puede recurrir a la ortopedia maxilofacial. Este tratamiento puede incluir el uso de aparatos ortopédicos o cirugía para corregir la posición de la mandíbula y mejorar la alineación dental.
¿Qué hacer si los dientes se proyectan hacia afuera tras la ortodoncia?
Si los dientes se proyectan hacia afuera tras la ortodoncia, puede deberse a una falta de retención, crecimiento óseo o un mal ajuste inicial. La solución puede incluir nuevos alineadores, ortodoncia correctiva o tratamientos de estética dental como carillas. Es fundamental acudir al ortodoncista lo antes posible para evitar que el problema se agrave.
Varios pacientes experimentan malposición dental tras la ortodoncia, donde los dientes frontales superiores o inferiores se ven proyectados hacia adelante («proinclinados» en términos técnicos, coloquialmente «dientes salidos» o «volados»).
Las causas principales son:
- Falta de retención adecuada: Al terminar tu tratamiento, el ortodoncista debió darte retenedores (removibles o fijos) para mantener los dientes en su nuevo lugar. Si no usas el retenedor disciplinadamente o lo dejas muy pronto, tus dientes intentarán moverse de nuevo a su posición original.
- Tratamiento sin extracciones (falta de espacio): En casos de apiñamiento severo, a veces para alinear los dientes sin extraer piezas se recurre a expandir el arco o inclinar los dientes hacia adelante para ganar espacio. El resultado puede ser unos incisivos más hacia afuera de lo ideal. Si tus dientes eran muy grandes o estaban muy montados antes del tratamiento y no te sacaron ninguna pieza, es posible que ahora estén demasiado proyectados hacia adelante.
- Crecimiento de la mandíbula o cambios esqueletales: Si terminaste tu ortodoncia en la adolescencia, debes saber que los huesos de la cara siguen cambiando. Un crecimiento mandibular tardío (la mandíbula inferior creciendo hacia adelante en la edad adulta joven) puede alterar la mordida y hacer que los dientes superiores parezcan más hacia afuera en relación con los inferiores.
- Muelas del juicio erupcionando: La aparición de los terceros molares (las muelas del juicio) entre los 17 y 25 años a veces coincide justo con el final de un tratamiento de brackets. Si no hay suficiente espacio para ellas, pueden ejercer presión en la dentadura y provocar apiñamiento o que los incisivos se vean hacia adelante.
- Hábitos y fuerza muscular: Acciones cotidianas pueden influir mínimamente en la posición dental. Por ejemplo, empujar los dientes con la lengua (un hábito conocido como tongue thrust) puede hacer que los dientes frontales se inclinen hacia afuera con el tiempo. De igual forma, morder objetos duros, masticar de un solo lado o incluso los movimientos de la musculatura al hablar o toser generan micro-presiones continuas.
- Problemas periodontales: Una enfermedad de las encías (gingivitis, periodontitis) debilita el soporte de los dientes. Si el hueso y las encías están dañados, los dientes pueden aflojarse levemente y moverse. Unos dientes anteriormente rectos podrían torcerse o inclinarse hacia afuera si las encías no están saludables.
Tratamientos para corregir la posición de los dientes
- Uso disciplinado del retenedor: Si dejaste de usar tu retenedor o lo estuviste usando menos de lo indicado, ¡aún estás a tiempo de retomarlo! Muchas veces, volver a usar el retenedor constantemente (de día y noche al inicio) puede recolocar pequeños desplazamientos recientes. Notarás que el aparato está más apretado: es señal de que estaba haciendo falta. Úsalo según las indicaciones de tu ortodoncista: normalmente tras una recaída leve se recomienda usarlo tiempo completo (24/7, quitándolo solo para comer y aseo) hasta que los dientes vuelvan a la alineación lograda. Luego se sigue con uso nocturno indefinido. Ojo: esto funciona si la recidiva es leve y reciente.
- Ortodoncia de «retoque»: Cuando la desalineación posterior al tratamiento es más pronunciada, es posible que se requiera algún tipo de tratamiento ortodóncico adicional. No necesariamente implica ponerte brackets completos de nuevo durante dos años (así que calma).
- Alineadores transparentes: Tratamientos con aligners (como Invisalign u otras marcas) pueden corregir movimientos menores o moderados de los dientes. Son casi invisibles, removibles para comer y suelen ser rápidos en casos focalizados.
- Brackets segmentarios: Si prefieres la vía tradicional o el caso lo amerita, se pueden colocar brackets solo en algunos dientes o segmentos durante un período corto. Por ejemplo, unos pocos brackets en los dientes frontales superiores con un par de alambres y ligas podrían bastar para retrocederlos a su posición ideal.
- Extracciones tardías: En casos donde claramente faltó espacio (como mencionamos antes), quizá deban considerarse extracciones de premolares ahora para lograr acomodar bien los dientes sin que queden hacia afuera. Sé que suena drástico, pero a veces es la mejor solución para un resultado estable y armónico. Esta decisión la tomará el ortodoncista contigo, tras estudiar modelos y radiografías.
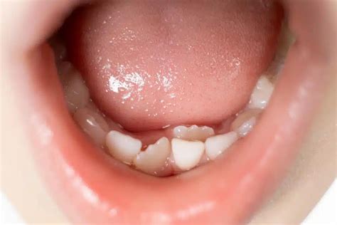
Diente Ectópico: Causas y Tratamientos
En el ámbito dental, uno de los problemas más frecuentes a los que se enfrentan odontólogos y ortodoncistas es el del diente ectópico. Un diente ectópico es aquel que sale fuera del sitio donde debe erupcionar, pero está cerca. Los dientes ectópicos pueden manifestarse de diversas formas: Paladar, encía, o incluso un diente encima de otro. Esta condición puede causar que los dientes se vean apiñados.

Diente Definitivo No Sale: Causas y Soluciones
Una de las razones más frecuentes por las que un diente definitivo no sale es una alteración en la reabsorción de la raíz del diente de leche. Cuando esto ocurre el diente de leche no se cae a tiempo y el permanente al no tener sitio para salir sale en un lugar alejado del ideal o se queda retenido dentro del hueso.
Algunos niños pueden experimentar alteraciones en la secuencia de erupción dental. Puede haber demoras en la secuencia normal de erupción de los dientes o cambios en la secuencia, lo que lleva a que un diente definitivo no salga en el momento esperado.
Las soluciones dependen del caso individual, y pueden incluir:
- Observación y seguimiento.
- Extracción del diente de leche.
- Tratamiento ortodóncico.
- Cirugía oral de exposición del diente permanente incluido y tracción del mismo.
Prevención y Mantenimiento
Después de corregir los dientes fuera de lugar, es fundamental seguir ciertos consejos para mantener una sonrisa saludable y prevenir la recurrencia del problema:
- Usa tus retenedores el tiempo que sea necesario: Tu ortodoncista te dará un plazo estimado, pero la realidad es que los retenedores son de por vida. No hace falta usarlos 24/7 para siempre, pero sí ponértelos para dormir muchos años (idealmente, indefinidamente). Así tus dientes no tendrán oportunidad de moverse.
- Acude a tus revisiones dentales periódicas:Tras la ortodoncia, programa visitas de control: primero más seguidas (al mes, a los tres meses) y luego al menos cada 6-12 meses. El especialista puede detectar a tiempo si algún diente está queriendo moverse y corregirlo con un ajuste leve.
- Cuida tus encías y tu salud general: Ya lo mencionamos, pero lo repito porque es vital: unas encías sanas mantienen a los dientes firmes y estables. Sigue buenos hábitos de higiene, alimentación equilibrada y trata a tiempo cualquier problema de encías o caries.
- Evita los malos hábitos orales: Si tienes tendencia a empujar con la lengua, intenta ser consciente y corregir ese hábito (a veces ayuda la terapia miofuncional con un especialista). No uses tus dientes para abrir objetos, morder bolígrafos u otros usos indebidos.
- Consulta por las muelas del juicio: Si aún no te han salido las muelas del juicio, pregunta a tu dentista si deberías sacarlas preventivamente. Una radiografía panorámica revelará si están en mala posición. Muelas del juicio retenidas o en mala posición pueden, con el tiempo, empujar a sus vecinos y generar apiñamiento.
- Mantén una buena higiene y salud bucal: Mientras estás corrigiendo el problema (y de aquí en adelante), cuida tus dientes y encías como tesoro. Unos hábitos de higiene excelentes ayudarán a que nada más se interponga en tu camino hacia la sonrisa perfecta. Cepilla tus dientes después de cada comida, usa el hilo dental regularmente y visita periódicamente a tu dentista para limpiezas profesionales.
Con información, constancia y la ayuda de tu ortodoncista, podrás lograr que tu sonrisa luzca exactamente como deseas.