La salud dental en los más pequeños es una preocupación constante para padres y cuidadores. Desde los primeros destellos de la sonrisa de un niño hasta los años de crecimiento y exploración, los dientes desempeñan un papel fundamental en su salud y bienestar. Los dientes sucios en los niños pueden tener una serie de consecuencias significativas que afectan tanto a su salud bucal como a su bienestar general.

Importancia de la Salud Bucal en Niños
La salud bucal de los niños no es solo una cuestión de dientes y encías; tiene un impacto significativo en su salud general y bienestar. Cuando los niños tienen una higiene bucal deficiente, están en riesgo de desarrollar una serie de enfermedades bucales comunes que pueden afectar su salud y bienestar.
Enfermedades Bucales Comunes en Niños
- Caries dentales: Las caries son una de las afecciones más comunes y se producen cuando las bacterias en la boca producen ácidos que corroen el esmalte dental.
- Gingivitis: La gingivitis es una inflamación de las encías que suele ser causada por la acumulación de placa dental.
Causas de los Dientes Sucios en Niños
Los dientes del bebé, aunque temporales, pueden mancharse debido a varias razones, y la prevención desempeña un papel fundamental en el mantenimiento de su salud dental. Las manchas en los dientes de leche pueden deberse a causas internas o externas. El odontopediatra es el profesional que debe valorar el origen de las coloraciones y su tratamiento.
Acumulación de Placa Dental
Una de las principales razones detrás de las manchas en los dientes de los bebés es la acumulación de placa dental. La placa es una capa pegajosa de bacterias que se forma en los dientes cuando los restos de alimentos y azúcares no se eliminan adecuadamente.
Consumo de Alimentos y Bebidas Azucarados
Además, el consumo excesivo de alimentos y bebidas azucarados o ácidos puede contribuir a la aparición de manchas en los dientes del bebé. La presencia prolongada de carbohidratos en la boca son la principal causa de caries en bebés y niños de corta edad.
¿Cómo lavarle los dientes a los niños 👦🏻👧🏼? | Canción infantil técnica de cepillado dental
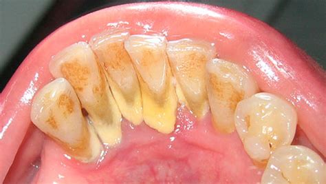
Sarro Dental
El sarro, también conocido como cálculo dental o tártaro, puede producir uno de los problemas bucodentales más frecuentes, a pesar de que muchas personas no le dan demasiada importancia. Consiste básicamente en la calcificación de la placa bacteriana, o placa dental. Como hemos comentado, el sarro se forma cuando la placa bacteriana se mezcla con saliva y restos de comida y se endurece. Esto puede ser el resultado de una mala higiene bucodental, pero no siempre es el caso. Otro factor que influye es el pH de la saliva, que varía según la persona. Por ejemplo, los pH que tienen un nivel de acidez alto debilitan más el esmalte dental, lo que nos hace más vulnerables a las caries.

Dientes Negros en Niños
Los dientes negros en los niños son una preocupación muy frecuente entre la mayoría de padres y madres. Cuando pasa, puede ser algo impactante y generar cierta inquietud, ya que los dientes de los pequeños normalmente representan salud y bienestar. Los dientes negros en niños pueden ser el resultado de causas distintas y cada una de las cuales requiere una evaluación cuidadosa para determinar el tratamiento adecuado.
- Caries dental: La caries es una de las principales causas de los dientes negros en niños.
- Traumatismos: Los golpes o impactos en los dientes pueden dañar la pulpa dental, lo cual puede resultar en una coloración negra o grisácea.
- Medicamentos: Algunos medicamentos administrados durante la infancia pueden causar cambios en el color de los dientes.
- Mala higiene oral: Una higiene oral deficiente puede dar lugar a la acumulación de placa bacteriana y a la formación de caries.
Es importante destacar que identificar la causa de los dientes negros en niños es clave para poder realizar el tratamiento adecuado.
Prevención de los Dientes Sucios en Niños
Para prevenir la acumulación de placa y mantener los dientes limpios en niños, es importante enfocarse en una dieta equilibrada y hábitos alimenticios adecuados. Como hemos explicado anteriormente, la prevención es fundamental en la salud bucal de los niños y puede ayudar a evitar la aparición de dientes negros.

Higiene Bucal Adecuada
- Limpieza adecuada: Comience a limpiar los dientes de su bebé tan pronto como aparezcan, utilizando un cepillo de dientes suave y agua.
- Rutina de limpieza: Es fundamental enseñar a los niños desde temprana edad la importancia de cepillarse los dientes al menos dos veces al día con pasta dental fluorada.
- Cuidado temprano: Comienza a cuidar la boca de tu bebé incluso antes de que aparezcan los dientes. Después de cada comida, puedes limpiar sus encías suavemente con una gasa limpia y húmeda.
- Uso de pasta dental: Cuando comiences a usar pasta dental, elige una formulación específica para bebés y aplica solo una pequeña cantidad del tamaño de un grano de arroz en el cepillo.
- Supervisión del cepillado: Los niños no deben cepillarse solos, siempre han de ser supervisados por los padres y repasar los padres el cepillado. No los podemos responsabilizar a ellos de una mala higiene.
Dieta y Hábitos Alimenticios
- Limita los alimentos azucarados: Evita que tu bebé se duerma con un biberón que contenga leche o jugo, ya que esto puede exponer sus dientes a azúcares durante mucho tiempo. Limita los alimentos y bebidas azucarados en la dieta de tu bebé.
- Evita los alimentos azucarados: El consumo excesivo de alimentos y bebidas azucaradas aumenta el riesgo de caries dental, lo que puede conducir a la aparición de dientes negros.
- Hábitos de comida regulares: Evita picar constantemente entre comidas.
- Frutas y verduras frescas: Fomenta el consumo de frutas y verduras crujientes, como manzanas, zanahorias y apio.
- Productos lácteos bajos en grasa: Leche, yogur y queso son ricos en calcio y fosfato, que fortalecen el esmalte dental.
- Agua: El agua es la mejor bebida para mantener una boca sana. Ayuda a eliminar los restos de alimentos y neutraliza los ácidos que causan caries.
- Proteínas magras: Las carnes magras, el pescado y los huevos son buenas fuentes de proteínas y nutrientes esenciales para el desarrollo dental.
- Chicles sin azúcar: Los chicles sin azúcar que contienen xilitol pueden ayudar a estimular la producción de saliva y reducir las bacterias en la boca.
Visitas Regulares al Dentista
El chequeo dental regular en niños es de suma importancia para garantizar una óptima salud bucal y prevenir problemas dentales a largo plazo. Las visitas periódicas al dentista son esenciales para detectar y tratar problemas dentales en etapas tempranas.
- Chequeos regulares: Programa visitas regulares al dentista para evaluaciones y limpiezas profesionales.
- Detección temprana: Estas visitas permiten identificar problemas en sus etapas iniciales, prevenir caries, educar sobre higiene bucal, monitorear el desarrollo dental y prevenir problemas a largo plazo.
Opciones de Tratamiento para Dientes Negros en Niños
Cuando se trata de los dientes negros en niños, es clave contar con opciones de tratamiento efectivas y adaptadas a las necesidades específicas de nuestros hijos.
- Eliminación de caries: Si la causa de los dientes negros es la presencia de caries, el primer paso será realizar la eliminación de la caries dental. Este proceso implica la remoción del tejido afectado y la posterior restauración del diente con un material dental adecuado.
- Blanqueamiento dental: El blanqueamiento dental es una opción a considerar si la decoloración de los dientes se debe a factores extrínsecos, como manchas superficiales o acumulación de placa. Sin embargo, es importante tener en cuenta que el blanqueamiento dental no es recomendado en niños muy pequeños, ya que sus dientes aún están en desarrollo.
- Restauraciones estéticas: Cuando los dientes negros presentan daños estructurales o decoloración intrínseca persistente, las restauraciones estéticas pueden ser una opción adecuada. Las restauraciones pueden incluir carillas dentales, coronas o reconstrucciones dentales que mejoran tanto la apariencia como la función dental.
Tabla de Alimentos Recomendados y No Recomendados para la Salud Dental Infantil
| Alimentos Recomendados | Alimentos No Recomendados |
|---|---|
| Frutas y verduras frescas (manzanas, zanahorias, apio) | Alimentos y bebidas azucaradas (caramelos, galletas, refrescos) |
| Productos lácteos bajos en grasa (leche, yogur, queso) | Chupetes con azúcar |
| Agua | Zumos de fruta con azúcar añadido |
| Carnes magras, pescado, huevos | Bollería |
| Chicles sin azúcar (con xilitol) |