La transparencia dental puede ser un problema estético que afecta la apariencia de los dientes, generando incomodidad y preocupación en muchas personas. Es relativamente común, pero no es lo ideal. Este fenómeno ocurre cuando la capa protectora del esmalte dental es demasiado delgada, lo que permite que las capas subyacentes se vean a través de la superficie del diente. Entender las causas de los dientes transparentes es el primer paso para prevenir o tratar este problema de forma eficaz.

¿Por qué se vuelven transparentes los dientes?
Los dientes pueden volverse transparentes por diversas razones, generalmente debido a la pérdida de esmalte dental, que es la capa externa protectora de los dientes. Es relativamente común que, una vez pasas de los 30 años, o incluso antes, comiences a ver cómo tus dientes delanteros transparentan un poco, adquieren un tono grisáceo y se ven algo feos. A continuación, exploramos algunas de las causas más comunes:
- Desgaste del esmalte dental: El esmalte dental es la capa externa dura y protectora de los dientes. Con los años, el esmalte se va desgastando de forma natural.
- Esmalte delgado: Algunas personas nacen con esmalte dental más delgado, lo que puede hacer que los dientes sean más translúcidos. Algunas personas nacen con esmalte más delgado debido a condiciones genéticas o problemas durante la formación dental en la infancia (por ejemplo, deficiencias nutricionales o fiebre alta durante el desarrollo de los dientes).
- Erosión ácida: El esmalte dental puede erosionarse debido a los ácidos de tus alimentos y bebidas favoritas o por exposición a los ácidos estomacales, por ejemplo, en caso de reflujo gastroesofágico, náuseas matutinas o bulimia. La erosión ácida es otra posible causa de la translucidez.
- Bruxismo: El bruxismo, o rechinar de dientes, puede causar un desgaste significativo del esmalte. El rechinamiento de los dientes, puede afectar a la desaparición del esmalte. Se trata de un hábito involuntario que ocurre durante la noche y con el paso del tiempo, la fricción entre las piezas dentales puede provocar un aumento de sensibilidad dental, el desarrollo de fisuras en los dientes y dolores en la cabeza y en el cuello.
- Mala higiene oral: Un exceso de cepillado o el uso de una pasta de dientes poco adecuada, puede derivar en dientes transparentes. Algunos dentífricos y colutorios tienen ingredientes abrasivos, como el alcohol, que desgastan el esmalte y provocan erosión dental. Del mismo modo, cepillarse de forma agresiva, usar un cepillo de cerdas duras o aplicar demasiada presión al limpiar los dientes acelera el adelgazamiento del esmalte.
- Enfermedades gastrointestinales: El reflujo gastroesofágico puede provocar la erosión dental. Esto se debe a la exposición continua al ácido gástrico en aquellas personas que son propensas a vomitar o sufren frecuentemente enfermedades gastrointestinales. Es muy importante que tengan cuidado, ya que el riesgo de sufrir dientes transparentes es mayor.
- Afecciones genéticas: Las dolencias como la enfermedad celíaca pueden ocasionar un desarrollo deficiente del esmalte, que confiere a sus dientes un aspecto translúcido y causa decoloración en forma de tiras u hoyuelos. La hipoplasia del esmalte -efecto secundario de algunas enfermedades genéticas y factores ambientales, según Scielo España- también puede atacar la superficie dental.
- Malos hábitos alimenticios: Consumo excesivo de alimentos y bebidas con alto contenido en azúcar o demasiado ácidos.
Consecuencias de los dientes transparentes
La aparición de dientes transparentes puede acarrear diversas complicaciones que afectan tanto la salud dental como la estética:
- Sensibilidad dental: La falta de esmalte provoca que la dentina quede expuesta, lo que puede resultar en un aumento de la sensibilidad dental. Esta sensibilidad se manifiesta a través de molestias cuando se consumen alimentos o bebidas frías, calientes o dulces.
- Riesgo de caries: La erosión del esmalte no solo afecta la apariencia de los dientes, sino que también incrementa el riesgo de desarrollar caries.
- Impacto estético: La estética dental juega un papel crucial en la confianza personal. La transparencia de los dientes puede dar lugar a una apariencia de desaliño y envejecimiento prematuro. Esto puede afectar seriamente la autopercepción y las interacciones sociales.
Soluciones y tratamientos para dientes transparentes
Afortunadamente, existen diversos tratamientos disponibles para mejorar la apariencia de los dientes traslúcidos y restaurar su belleza natural. El tratamiento de los dientes transparentes es esencial para restaurar la salud dental y mejorar la estética. Existen varias opciones de tratamiento para restaurar el aspecto y la salud de los dientes que han perdido su esmalte.

Opciones de tratamiento
- Blanqueamiento dental: El blanqueamiento dental es un tratamiento popular para mejorar la apariencia de los dientes traslúcidos y puede ayudar a devolver uniformidad al color del diente. Un blanqueamiento profesional puede ayudar a devolver uniformidad al color del diente.
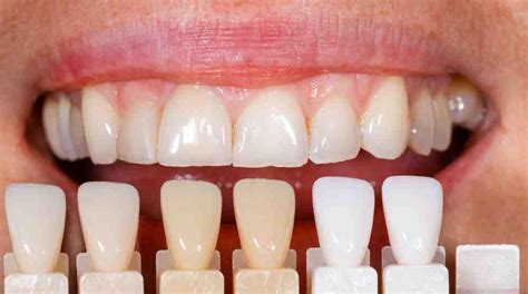
- Carillas dentales: Una de las soluciones más populares en la odontología estética para los dientes transparentes son las Carillas dentales. Las carillas son finas capas de material dental que se colocan sobre los dientes para mejorar su apariencia, cubriendo las áreas translúcidas y restaurando el brillo natural. Estas finas piezas de porcelana se fijan con carácter permanente a la cara frontal del diente. Las carillas dentales son láminas finas que se colocan sobre la superficie dental, mejorando tanto la apariencia como la protección del diente.
- Adhesión dental (Bonding): La adhesión es un tratamiento cosmético rápido y mínimamente invasivo que le permite restaurar el aspecto de los dientes en una sola cita. Si su dentista opta por este método, aplicará una resina compuesta sobre los dientes y la moldeará para que se ajuste a la forma de la boca. Una vez ultimado el aspecto de la resina, se endurece y pule. El bonding es un procedimiento en el cual se aplica una resina compuesta del color del diente sobre la superficie dental para mejorar su apariencia.
- Coronas dentales: Las coronas dentales son capas externas que se colocan sobre los dientes para mejorar su apariencia y fortalecer la estructura dental.
- Tratamientos de relleno dental: Los tratamientos de relleno dental pueden ser útiles para los pacientes con dientes traslúcidos debido a la erosión del esmalte dental.
- Terapia de luz LED: La terapia de luz LED puede ser una opción para mejorar la apariencia de los dientes traslúcidos.
- Fundas dentales: Cuando el desgaste es notable y compromete la estética, las carillas o las fundas dentales ofrecen una solución duradera. Hay varias formas de solucionar este problema, como las fundas de metal-porcelana, o de materiales más estéticos y conservadores, como puede ser el disilicato de litio.
- Bloqueantes: En los últimos años, está siendo más común el uso de bloqueantes, ya sea domiciliares o en consulta. Se ha notado un aumento del problema del borde incisal transparente debido precisamente a su uso. El agente bloqueante que se usa para blanquear los dientes que se utiliza en clínica no tiene un efecto nocivo sobre el esmalte, pero no se puede utilizar más veces de las que está aconsejado.
El odontólogo, según el grado de abrasión de los dientes, elige la terapia más recomendable en cada caso.
Medidas preventivas
La prevención es clave para evitar el desgaste del esmalte dental y la aparición de dientes transparentes. Aquí hay algunas recomendaciones:
- Higiene bucal adecuada: Modificar ciertos hábitos alimenticios (como reducir el consumo de bebidas ácidas o azucaradas) y mantener una higiene dental adecuada ayuda a frenar el desgaste.
- Evitar alimentos y bebidas ácidas: Evita bebidas ácidas como refrescos, zumos cítricos y alimentos con vinagre. El dentista explicará cuáles son los alimentos y bebidas que es mejor evitar en caso de tener el esmalte demasiado fino o problemas de erosión dental.
- Control del bruxismo: Así mismo, es muy importante intentar disminuir el nivel de estrés de los pacientes que sufran bruxismo.
- Cuidado en caso de reflujo gastroesofágico: Los pacientes con reflujo gastroesofágico tendrán que controlar también esta patología para salvaguardar la salud de sus dientes.
- Uso adecuado de productos de higiene bucal: Para proteger los dientes mientras tanto, enjuáguese la boca con agua si se produce un episodio de vómito o reflujo ácido. Además, debe esperar 30 minutos después de esta exposición al ácido para cepillarse los dientes, ya que hacerlo demasiado pronto podría dañar el esmalte.

Recuerda que la atención profesional es esencial para abordar adecuadamente cualquier problema dental. Si has notado dientes transparentes o signos de desgaste dental, es importante que tomes acción rápidamente. Visitar una clínica dental permite obtener un diagnóstico claro sobre el estado de los dientes. Los odontólogos están equipados para identificar la causa de la transparencia dental, que puede variar significativamente entre pacientes. Esto incluye la evaluación del esmalte, la sensibilidad dentaria y otros factores relevantes que influyen en la salud bucal.
Si estás buscando una solución efectiva para restaurar tus dientes, las carillas dentales en Córdoba pueden ser la opción ideal para ti. En Ivory Dental, contamos con un equipo de profesionales especializados en identificar las causas y ofrecerte soluciones personalizadas, como carillas dentales, que restauran la estética y funcionalidad de tus dientes. No dejes que el desgaste dental afecte tu salud ni tu sonrisa. Visítanos y empieza tu tratamiento con nosotros para recuperar la salud de tu boca y mejorar tu autoestima.
Si observando tus dientes, alguna parte se está volviendo traslúcida, puede ser un ejemplo de mala salud bucodental. Aunque no existan otros síntomas, el hecho de que puedan presentarse ciertas zonas transparentes en tus dientes, es un síntoma de que se están desgastando demasiado rápido.
La mejor manera de blanquear los dientes
tags: #dientes #transparentes #remedios #caseros