Es fundamental distinguir entre dos conceptos similares en el ámbito de la cirugía plástica periodontal: el injerto gingival libre y el injerto de tejido conectivo. Ambas técnicas tienen como objetivo mejorar la salud y la estética de las encías, pero se aplican en situaciones diferentes.
¡NO te hagas INJERTO DE ENCÍA este 2025! sin ver este video.
¿Qué es un Injerto Gingival?
Un injerto gingival es un tejido queratinizado que se extrae de su sitio original para ser injertado en una zona diferente. Se realiza tomando tejido blando del propio paciente y colocándolo en la zona del diente o implante que ha quedado descubierta por la recesión de la encía.

Injerto Gingival Libre (IGL)
El injerto gingival libre es un procedimiento indicado para tratar áreas pequeñas en la arcada inferior, especialmente cuando las encías de los dientes adyacentes tienen un color rosáceo claro. Este injerto consiste en un fragmento de epitelio-conectivo obtenido del paladar.
Las diferencias principales entre el injerto gingival libre e injerto de tejido conectivo residen en que el recubrimiento mediante el injerto gingival libre ha demostrado buenos resultados, pero sin embargo la coloración blanquecina de epitelio hace que no sea una buena opción desde el punto estético.

Caso Clínico: Injerto Epitelial Libre
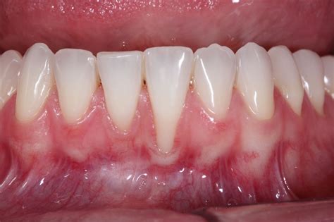
En casos de recesiones clase III de Miller, donde hay ausencia de encía queratinizada, se puede emplear un injerto epitelial libre. Antes de la cirugía, es crucial retirar cualquier composite radicular para asegurar la unión biológica del tejido injertado sobre la superficie radicular.
El procedimiento implica diseñar y realizar un colgajo a espesor parcial en la zona receptora y recortar el epitelio sobrante de la base. Luego, se mide y se obtiene el injerto libre del paladar con epitelio. Con técnicas de sutura adecuadas, se posiciona el injerto con puntos simples de fijación en los laterales y se contiene con un punto dentoanclado paralelo, fijándolo a la base del periostio por fuera del injerto.
Es importante asegurar la fijación del injerto con un punto de contención horizontal, que va totalmente por fuera del injerto en los extremos distales de éste. Tras la primera semana, el aspecto de un IGL puede ser inflamado y rojizo, pero debe estar rodeado de tejido blanquecino (fibrina), indicando una correcta unión entre la zona donante y receptora.

Consideraciones Postoperatorias
Es crucial diferenciar entre un aspecto "feo" pero sano y uno patológico. Un injerto cicatrizando mal tendrá un aspecto excesivamente morado y contendrá líquido de supuración.
El objetivo principal de un IGL es proporcionar la encía queratinizada perdida tanto en dientes como implantes, protegiendo contra bacterias y factores mecánicos, evitando dolor, sangrado e inflamación.
Injerto de Tejido Conectivo
La técnica del injerto de tejido conectivo mejora la salud del paciente afectado. Es muy predecible a lo largo del tiempo y ofrece un mayor grado de recubrimiento radicular en comparación con otras técnicas. Los principales indicadores para esta técnica son similares a los del injerto gingival libre.
Como resultado, esta técnica quirúrgica mejora considerablemente la estética bucodental del paciente, aumentando su autoestima. Además, puede eliminar la sensibilidad y el malestar en la zona tratada, mejorando la higiene bucal al facilitar el control de la pieza dental reparada.

¿Cuándo Necesitas Cirugía en la Línea Mucogingival?
La estética es una de las principales razones para buscar la opinión de un profesional. Las patologías mucogingivales, como la inflamación de la encía que cubre parte del diente o la retracción que expone la raíz dental, son preocupaciones comunes.
La pérdida de tejido deja gradualmente el diente al descubierto, lo que puede afectar al hueso que soporta las piezas dentales. Por lo tanto, para aumentar el éxito en la supervivencia del injerto sobre la raíz, es necesario que al menos cubra 3 mm del lecho perióstico mesial, distal y apical de la dehiscencia ósea.
Cirugía Mucogingival
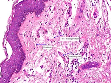
La cirugía mucogingival es un procedimiento quirúrgico periodontal diseñado para corregir defectos en la morfología, posición y tamaño de la encía, y para eliminar frenillos o inserciones aberrantes. Estos injertos libres de tejido conectivo se recubren total o parcialmente mediante encía o mucosa, y su supervivencia depende directamente de la vascularización recibida.
Estos injertos libres de tejido conectivo se recubren total o parcialmente mediante encía o mucosa y su supervivencia está directamente relacionada con la vascularización recibida, que en este caso será doble (lecho receptor y colgajo de espesor parcial).
Injerto Gingival Pediculado
En cambio, un injerto gingival pediculado consiste en extraer un trozo de encía al que se le llama pedículo y que procede del mismo diente que se va a reparar. En vez de cortarlo en su totalidad se hace sólo parcialmente, de modo que luego se pueda rodear el diente y coserlo para que mantenga su posición.
Tabla Comparativa: Injerto Gingival Libre vs. Injerto de Tejido Conectivo
| Característica | Injerto Gingival Libre | Injerto de Tejido Conectivo |
|---|---|---|
| Objetivo Principal | Aumentar la encía queratinizada | Recubrimiento radicular y mejora estética |
| Estética | Menos estético (coloración blanquecina) | Más estético (color natural) |
| Procedimiento | Fragmento de epitelio-conectivo del paladar | Tejido conectivo subepitelial del paladar |
| Indicación | Áreas pequeñas en la arcada inferior | Recesiones gingivales más extensas |
| Resultados | Buenos resultados funcionales | Mayor grado de recubrimiento radicular |
Conclusión
Tanto el injerto gingival libre como el injerto de tejido conectivo son técnicas valiosas en la cirugía periodontal. La elección entre una u otra dependerá de las necesidades específicas del paciente y de los objetivos del tratamiento. Es crucial consultar con un especialista para determinar la opción más adecuada.