Existen muchos materiales y elementos que son excelentes para conseguir una sonrisa bonita y saludable. Desde Clínica Dental Urbina queremos que conozcas todo sobre la resina dental, ya que es una opción muy utilizada en múltiples tratamientos. Es una alternativa económica, práctica y muy versátil.

¿Qué es la Resina Dental?
La resina dental, también conocida como resina dental compuesta o composite, es un material polimérico que se emplea principalmente para restaurar y reparar la estructura de dientes dañados, así como para su remodelación. Son materiales moldeables que se endurecen para adaptarse a las necesidades del paciente. Los dentistas la emplean en caso de daños generados por caries dentales, fracturas, lesiones o grietas.
Pero también cuando la forma o dimensiones del diente deben modificarse para que este sea mucho más estético y funcional. Es decir, la resina compuesta se usa en tratamientos estéticos como material de relleno u obturación.
Componentes de las Resinas Dentales
Las resinas dentales constan de un componente orgánico polimérico llamado matriz orgánica, y un componente inorgánico. Este último actúa como mineral de relleno y puede ser cuarzo, zirconita o algún silicato de aluminio. En algunos casos también es necesaria la presencia de un agente de unión para que ambos componentes se acoplen de forma eficiente.
Está formada por diferentes materiales sintéticos mezclados de forma heterogénea. Tiene componentes de cohesión y de refuerzo. Los primeros se encargan de envolver los de fuerza para que mantengan su posición y rigidez, mientras que los segundos le proporcionan al compuesto la rigidez y resistencia necesaria para cumplir sus funciones.
Usos de la Resina Dental
Seguro te has preguntado ¿qué utilidad tienen las resinas dentales? Este material puede ser usado con múltiples finalidades en diferentes tratamientos odontológicos. Algunos de sus usos más populares son:
- Restauraciones estéticas: La resina es uno de los materiales más usados para solucionar problemas estéticos en las piezas dentales.
- Reconstrucción de dientes dañados: La resina es el material de obturación más usado para rellenar cavidades creadas por caries.
- Cierre de espacios y pequeñas correcciones: La resina se emplea para disminuir el espacio entre dos piezas (diastemas).
- Aplicaciones en odontología infantil: La resina de composite también se usa en la odontología infantil para restaurar la sonrisa de los niños sin que afecte la estética.

Tipos de Resina Dental
Existen varios tipos de resina dental. Entre los más populares se encuentran:
- De microrelleno: Se emplea para rellenar cavidades en diferentes localizaciones generadas por caries.
- Híbrida: Posee una alta resistencia al estrés. Se emplea en su mayoría para restaurar piezas dentales posteriores y en ocasiones para reconstruir algunas piezas.
- De nanorelleno: Contiene partículas de un tamaño menor a 0.01µm, es decir, más pequeñas que las de la resina de microrelleno.
- Híbrida moderna: Posee excelentes propiedades mecánicas, como un alta resistencia al desgaste.
- De macrorelleno: También son conocidas como resinas convencionales. El material posee partículas de un tamaño entre entre 10 y 50 µm.
Dependiendo del tratamiento que el dentista vaya a aplicar. Debe seleccionar debes escoger la que más le convenga.
Ventajas y Desventajas de la Resina Dental
Los profesionales en odontología emplean resina compuesta en muchos de sus tratamientos. Esto se debe a que posee múltiples beneficios. Entre ellos destacan:
- Respeta la estética dental: El composite posee un color y textura muy similar al de las piezas dentales naturales.
- Buena capacidad de adhesión: Debido a las características de sus componentes la resina se adhiere mejor a los dientes que otros materiales.
- No desprende componentes dañinos: Por el contrario la resina es biocompatible con el organismo.
- Es fácil de usar: La resina resulta un compuesto muy práctico y fácil de usar para los dentistas.
- Tiene buena resistencia: La resina compuesta es un material con una gran resistencia al desgaste, las fracturas y la tensión.
- Es apropiado para todo tipo de personas: La resina es un tratamiento de odontología para niños, jóvenes y adultos.
Es necesario tomar en cuenta una serie de factores como la humedad del área o de la pieza dental para que el material se adhiera correctamente. Además, el esmalte o dentina deben acondicionarse antes de la aplicación de la resina. En muy raras ocasiones, los rellenos o reconstrucciones con resina pueden ocasionar sensibilidad, pero existe una pequeña probabilidad deque ocurra.
También hay que considerar que el composite puede agrietarse o dañarse con el tiempo, particularmente si usas mucha fuerza para masticar algo duro o rechinas los dientes. Entonces, necesitarías otro procedimiento para acomodar la parte dañada o reemplazar la resina. Por otro lado, el consumo de bebidas oscuras como cola, vino tinto o té, así como fumar, puede causar que los rellenos de composite cambien su coloración.
En comparación con otros métodos de restauración dental, como las amalgamas, el composite es menos duradero y más costoso. Asimismo, pueden tardar más tiempo colocándolo, ya que requiere ponerlo por capas.
Mantenimiento de Carillas de Resina l ¿Cada cuánto tiempo?
Procedimiento para la Colocación de la Resina Dental
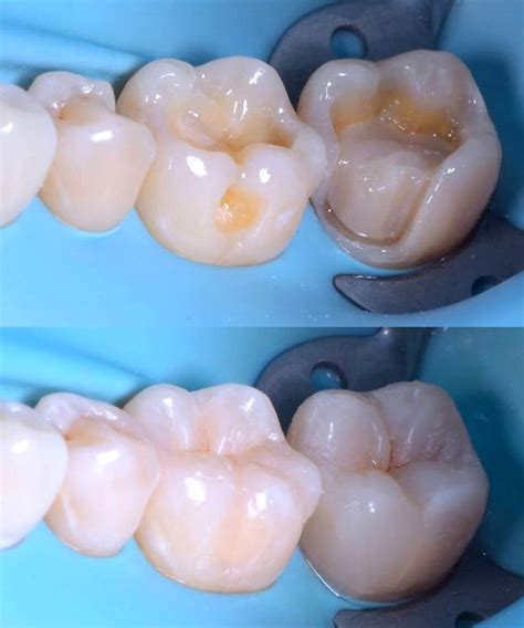
Para tratar una caries con resina se debe limpiar la zona y eliminar las bacterias. Luego se aplica el relleno. Al hacer esto la caries se inactiva, pero si en el futuro se rompe el empaste las bacterias se pueden volver a filtrar. De ahí que sea tan importante darles el cuidado apropiado.
La resina se coloca por medio de un proceso de adhesión que sigue estos pasos básicos:
- Una vez que el dentista haya examinado su cavidad oral este seleccionará el tipo de resina que más le convenga. Luego escogerá el color que considere más parecido a la tonalidad de sus dientes.
- Antes de colocar la resina compuesta debe preparar el diente colocándole un líquido acondicionante. Este ayuda a que el material pueda adherirse mejor.
- El dentista procede a colocar la resina dental y empieza a moldearla. Esta debe ser de un color similar a la de la pieza. Luego distribuye el material de forma pareja.
- Y le de la forma deseada aplica luz ultravioleta para endurecerlo.
- Se pulen los pedazos sobrantes y se pule la superficie hasta que obtenga un brillo muy similar al de la superficie de tus dientes.
- El denstista revisará tu mordida para asegurarse que estés cómodo con la restauración.
El proceso de colocación de la resina no provoca ningún dolor. Sin embargo, en los casos en los que el tratamiento llega a la dentina, se aplica anestesia local. Es posible que después de hacer el tratamiento haya algo de sensibilidad dental, sobre todo si se ha tratado una caries muy grande. En estos casos el dolor debe remitir en poco tiempo y, si no lo hace, consulta con tu dentista.

¿Qué es el Acrílico Dental?
Es posible que estés familiarizado con el término de resina acrílica por varios motivos. El tipo de resina acrílica con el que está más familiarizado es el epoxi. También se conocen como uretanos y poliuretanos. Se utilizan habitualmente en pinturas, esculturas y otros productos. Las ventajas de la resina acrílica son muchas. Su versatilidad y asequibilidad han llevado a su uso generalizado en la industria de la pintura y los revestimientos. Además, las resinas acrílicas tienen buenas propiedades de retención del color y el brillo y son fáciles de trabajar. En general, son uno de los tipos de materiales más populares.
Debido a la polivalencia que demuestran estas resinas son ideales para trabajarlas en el sector dental. En el arte de la restauración dental se utilizan mucho las resinas acrílicas. La principal diferencia está en la adición del monómero líquido. El primer componente de esta composición es el acriloil morfolino. El polvo de polímero se añade al monómero líquido. A continuación, se añade la resina de cumarona. La cantidad de cumarona está entre el 0,1 y el 2,0% del total de la resina. Si no se dispone de acetato de polivinilo, se sustituye por acriloil morfolina.
Durante el proceso de polimerización, las resinas acrílicas se mezclan en una proporción de peso de 2/1. La resina acrílica dental es un material comúnmente utilizado en muchos procedimientos dentales. Aunque primero se utilizaron como coronas temporales, las resinas acrílicas también se han utilizado con éxito en una variedad de otros usos dentales. Estos materiales también son fuertes y duraderos, y se adhieren a los dientes para proporcionar una unión segura.
Las resinas acrílicas termoactivadas tienen excelentes propiedades mecánicas y térmicas y son ideales para la fabricación de prótesis internas. También pueden utilizarse en la fabricación de aparatos de ortodoncia y para reparar prótesis. Son una gran alternativa al metal y al marfil y son mucho más duraderas.
Usos del Acrílico Dental
Antes de todo sería bueno recordar las diferentes prótesis dentales asi como los conceptos de resina y cerámica y aclarar que las prótesis dentales provisionales siempre son hechas de resina, sea esta acrílica o compuesta. Si usted elige la resina para su prótesis definitiva sepa que esta tendrá una alta durabilidad, una buena estética, cumplirá con sus funciones masticatorias y lleva un coste aceptable.
En el artículo de hoy te contamos de qué están compuestas estas piezas dentales acrílicas, sus características técnicas, ventajas y cómo puedes elegir la pigmentación adecuada de manera correcta...
Los dientes acrílicos están fabricados con polimetacrilato de metilo, pigmentos, dimetacrilato de etilenglicol, flueorescencia y metacrilato de metilo. Además, tienen propiedades que posibilitan al odontólogo un variado campo de trabajo que puede ir desde la fabricación de dientes artificiales hasta la construcción de coronas provisorias.
Primero deben tomarse las dimensiones de los dientes naturales y la medida del hueco en la boca. ¿Y el tono? Existen guías de color para elegir el adecuado. Normalmente, los dientes acrílicos están compuestos de 4 capas, las cuales corresponden al número de revestimientos de color y del esmalte que tenga cada uno.
Estos dientes están diseñados sin prominencias cúspides en las superficies masticatorias. Su diseño permite restablecer y satisfacer las necesidades de funcionalidad en los procesos masticatorios y de fonación. Estos dientes artificiales son muy parecidos a la forma anatómica de los dientes naturales no desgastados.
Los dientes acrílicos son una solución muy efectiva, ya que cumple tres funciones fundamentales: un buen soporte, una gran estabilidad y una alta retención. Otra de las principales ventajas que nos aporta este tipo es que su precio es muy bajo y se puede utilizar temporalmente. Además permite la colocación de piezas dentales parciales en distintos momentos. Además, tiene una gran variedad de colores para que se adapten de la mejor forma posible a los dientes de los pacientes.
Debe tener en cuenta la capa gingival que va en el interior del diente y que simula la dentina, el color de piel, de labios, etc. Es imprescindible que tengas en cuenta que los dientes llegan a la clínica dental con una cera roja en las que van adheridos.
Resina vs Acrílico: Diferencias Clave
Resina y acrílico son nombres de materiales que se encuentran a menudo en joyería. Técnicamente, el acrílico, cuyo nombre científico es polimetacrilato de metilo (PMMA), es una resina termoplástica. En cambio, la resina epoxi de dos componentes que se utiliza en bricolaje para hacer colgantes y accesorios con moldes es una resina termoendurecible.
También existen colgantes y cuentas de resina termoendurecible de producción industrial.¿Cuáles son las diferencias entre la resina termoplástica y la resina termoendurecible?
Tabla Comparativa: Resina Termoplástica (Acrílica) vs Resina Termoendurecible
| Características | Resina Termoplástica (Acrílica) | Resina Termoendurecible |
|---|---|---|
| Material | Estas resinas no necesitan endurecedor para solidificarse. Inicialmente se presentan en forma sólida (gránulos o polvo), después se calientan para fundirse, se moldean y se enfrían para volver a su forma sólida. | Se componen de dos elementos (la resina y el endurecedor) que reaccionan químicamente entre sí. Este proceso es irreversible y transforma la resina líquida en una estructura sólida y rígida. |
| Textura | Generalmente son más flexibles y pueden reblandecerse a altas temperaturas, por lo que son menos rígidos que los termoestables. | Son muy rígidos, resistentes a las altas temperaturas y más estables en el tiempo. |
| Resistencia al impacto | Sí, pero es más sensible a los arañazos que la resina. | Sí, la resina es más resistente a los impactos que el acrílico. |
| Resistencia a los rayos UV | Depende de los aditivos utilizados. | Depende de los aditivos utilizados. |
| Proceso de fabricación | Por moldeo por inyección o mecanizado | Por moldeo por inyección o colada al vacío |
| Peso | Ligero | Ligero |
| Componentes y acabados de joyería | Eslabones grandes. Pétalos de flores. Perlas. Pendientes. Colgantes. Cabujones. Cadenas. Cierres de langosta Entrepiezas ovaladas. Camafeos. | Perlas, cabujones, pendientes, colgantes, pulseras, entrepiezas semicirculares, colgantes para perros, anillos. |
En la joyería, se Engaste para hacer Cuentas, colgantes, cabujones, pulseras, anillos, etc. Los componentes de joyería se fabrican por moldeo, inyección o colada al vacío. Los componentes de resina son ligeros y tienen un acabado liso y brillante. Están disponibles en varios colores, diferentes formas y una amplia gama de colores.
La resina es un material fuerte y duro, pero también tiene cierto grado de flexibilidad, por lo que es muy resistente a las grietas y a la flexión.Es resistente a las grietas y los impactos.

Prótesis Dentales: Acrílico vs Otros Materiales
Las prótesis dentales juegan un papel crucial en la rehabilitación oral, permitiendo a los pacientes recuperar la función masticatoria, la estética y la fonación adecuadas. En la elección entre prótesis removibles esqueléticas y prótesis acrílicas, es esencial considerar varios factores clave que impactan la funcionalidad y satisfacción del paciente.
Materiales Comunes para Prótesis Dentales
- Resina Acrílica: Este material es ligero y económico, lo que lo hace una opción muy popular entre los pacientes.
- Metal (Cromo-Cobalto o Titanio): Los metales como el cromo-cobalto o el titanio se utilizan en la estructura interna de algunas prótesis, como las parciales removibles o las prótesis dentales fijas.
- Porcelana: La porcelana es ampliamente conocida por su estética natural y su capacidad para imitar la apariencia de los dientes naturales.
- Metal-Porcelana (Fusión de porcelana con metal): Es una opción muy común en la odontología.
- Zirconio: El zirconio es una opción premium, conocida por su durabilidad, resistencia y excelente estética.
Prótesis de Cromo vs Acrílico
- Prótesis de cromo: Están fabricadas con una base metálica (generalmente de cromo-cobalto), lo que les otorga mayor resistencia, menor volumen y una mejor adaptación.
- Prótesis acrílicas: Se elaboran en resina acrílica, lo que las hace más ligeras y económicas.
En resumen, la prótesis de cromo es más duradera y cómoda, mientras que la de acrílico es más asequible y fácil de ajustar.
Factores a Considerar al Elegir el Material de tu Prótesis Dental
- Estética: Si te preocupa la apariencia de tu prótesis, materiales como la porcelana o el zirconio son los más recomendados debido a su similitud con los dientes naturales.
- Durabilidad: Si lo que buscas es resistencia y longevidad, los materiales metálicos y el zirconio son las mejores opciones.
- Coste: El presupuesto también juega un papel importante.
- Funcionalidad: Dependiendo de si necesitas una prótesis removible o fija, los materiales pueden variar.
Acrílico Dental vs Acrílico para Uñas
En el artículo Historia de las uñas esculpidas ya contamos que el acrílico para uñas lo descubrió un dentista. Con lo que el acrílico dental se utilizaba hace muchos años para hacer las uñas esculpidas. Sin embargo, al ser muy rígido y provocar daños en las uñas naturales es por lo que han surgido los geles y acrílicos de uñas, que al ser más flexibles logran aminorar el daño y tienen un aspecto más bonito y natural.
Actualmente, los acrílicos de nueva generación han mejorado de tal manera que la flexibilidad y el aspecto es igual de natural que el gel y hace que la uña no sufra ningún daño. Hay quienes todavía sostienen que el gel es mejor, porque daña menos la uña, esta información es errónea, pues la composición química del gel es casi idéntica al acrílico y si el técnico hace bien las uñas, no habrá daño en ningún caso.
Volviendo al tema que nos ocupa, debes saber que el monómero dental junto con el acrílico generalmente se usa para reparaciones o prótesis dentales, su ingrediente, el metil metacrilato, es altamente inflamable y volátil. En grandes concentraciones es altamente tóxico, no tiene la misma consistencia que el acrílico para uñas y no se autonivela ni se humedece por completo.