Si alguna vez has soñado con lucir una sonrisa de película, armoniosa y radiante, el diseño de sonrisa podría hacer realidad ese sueño. Una sonrisa bien diseñada no solo mejora tu imagen, también fortalece tu seguridad personal y transforma la forma en que te relacionas con el mundo. El diseño de sonrisa es un conjunto de técnicas odontológicas personalizadas cuyo objetivo es crear una sonrisa más estética, armónica y saludable.

Como dentista, a menudo explico a mis pacientes que el diseño de sonrisa combina salud y estética: antes de mejorar la apariencia, me aseguro de que la boca esté sana (trato caries, encías, etc.), y luego empleo tratamientos cosméticos para la transformación estética.
¿Qué Conseguimos con un Diseño de Sonrisa?
Con el diseño de sonrisa podemos corregir o mejorar aspectos como:
- El color de los dientes (dientes amarillos o manchados).
- Su forma y tamaño (dientes desgastados, astillados o desiguales).
- La posición y alineación (dientes torcidos o separados).
- Incluso la forma de las encías al sonreír.
Ejemplo real: Recuerdo a María, una paciente que llegó acomplejada por sus dientes oscurecidos y un incisivo frontal astillado. Tras su diseño de sonrisa -en su caso combinamos blanqueamiento profesional y la colocación de una carilla de porcelana- la transformación fue increíble. Su “antes y después” parecía de revista: los dientes lucían alineados y blancos, y lo mejor fue ver cómo María recuperó la seguridad en sí misma al sonreír. Como dentista, pocas cosas me producen tanta satisfacción como ver ese cambio positivo en un paciente.
¿Cómo se Hace un Diseño de Sonrisa?
Cada diseño de sonrisa es único, pero el proceso general sigue varias etapas cuidadosamente planificadas. Lo primero es conocerte a ti y a tu sonrisa en detalle. En una consulta inicial, te preguntaré qué es lo que te gustaría mejorar de tu sonrisa (tus “dientes ideales”), y realizaré una evaluación exhaustiva de tu salud bucodental. Esto incluye revisar el estado de tus dientes (caries, desgastes, manchas), la alineación y mordida, la salud de tus encías y tu estética facial (forma de labios, encía visible al sonreír, etc.).
Ejemplo: Tomamos fotografías intraorales y extraorales, y a veces moldes o escáner digital 3D de tu boca. Con estas imágenes puedo analizar tu sonrisa y también guardarlas para comparar el antes y después más adelante. Además, si detecto problemas como caries, enfermedad de encías (gingivitis/periodontitis) o piezas dañadas, te explicaré que primero trataremos esos aspectos de salud. Es fundamental tener una boca sana antes de hacer cambios estéticos.
Por ejemplo, realizaremos una limpieza dental profesional para eliminar sarro y manchas, trataremos las caries con empastes, y nos aseguraremos de que tus encías estén sanas. Esto sienta una base sólida para que el diseño de sonrisa sea duradero. Una vez tengo claro el estado inicial y los objetivos, paso a diseñar tu nueva sonrisa sobre el papel (y la pantalla). Aquí es donde entra en juego el diseño de sonrisa digital 😀.

Utilizamos software especializado de Digital Smile Design (DSD) para simular cómo se verán tus dientes tras los tratamientos.
Proceso del Diseño Digital
- Cargamos tus fotos o escaneos en el programa.
- Vamos “retocando” digitalmente la forma, posición y color de tus futuros dientes ideales.
Es como un boceto virtual de tu sonrisa perfecta, teniendo en cuenta la simetría facial, la línea de las encías y tus rasgos.
Ventajas del Diseño Digital
- Tú podrás ver un adelanto del resultado final antes de empezar.
- Te enseño esas imágenes o un montaje antes/después digital, y juntos comentamos si te gusta.
- ¡A muchos pacientes se les ilumina la cara al verse con su nueva sonrisa simulada!
Si algo no te convence (por ejemplo, el tono de blanco deseado o el largo de ciertos dientes), lo ajustamos en esta fase de planificación. Esto da muchísima tranquilidad, porque sabes qué esperar al final del tratamiento.
En esta planificación, defino exactamente qué tratamientos necesitaremos para alcanzar ese resultado. Por ejemplo: “blanqueamiento en todos los dientes superiores, contorneado de encías en caninos, y 4 carillas de porcelana en incisivos”. Cada plan es a medida.

Con el plan en mano (y tu visto bueno tras ver el diseño digital), pasamos a la acción.
Unilaser | Paso a paso Diseño de Sonrisa superior en Resina de Alta Estética
Tratamientos Comunes en un Diseño de Sonrisa
Aquí te presento los principales tipos de tratamientos dentales estéticos que utilizamos en un smile makeover. Te explicaré en qué consiste cada uno, para qué casos es ideal y cómo pueden combinarse entre sí. Al terminar, sabrás cuáles podrían ser las opciones adecuadas para tu sonrisa soñada.
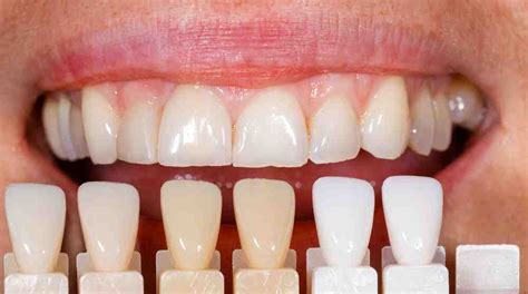
Blanqueamiento Dental Profesional

Para aclarar varios tonos el color de tus dientes naturales, quitando manchas y logrando un tono más blanco y uniforme. Suele ser el primer paso si está indicado, ya que es conservador (no invasivo) y mejora al instante la estética.
Contorneado Estético de Encías (Gingivoplastia)
Si al sonreír se ve demasiada encía o su contorno es irregular, podemos remodelarla con láser o microcirugía.
Ortodoncia u Ortodoncia Invisible
Si tus dientes están desalineados o apiñados, quizá necesitemos alinearlos. Aquí podemos usar ortodoncia tradicional (brackets) o métodos modernos como alineadores transparentes tipo Invisalign o Suresmile(la popular ortodoncia invisible). Aunque la ortodoncia toma varios meses, es la forma más saludable de corregir la posición dental sin tallar piezas.

Nota: Muchas veces realizamos primero la ortodoncia y después otros retoques estéticos.
Carillas Dentales
Son finas láminas de porcelana o composite que se pegan sobre la cara frontal de los dientes para cambiar su forma, tamaño o color al instante. Las carillas son ideales si buscas resultados rápidos y espectaculares en dientes delanteros que están muy desgastados, desiguales o con coloraciones imposibles de blanquear.

Colocar carillas requiere tallar ligeramente el esmalte (en porcelana) o a veces nada (carillas de composite directo) y tomar moldes. En el laboratorio se fabrican a medida y luego las cementamos en tus dientes, dándoles un aspecto totalmente nuevo y natural.
Otros Tratamientos Restauradores
Dependiendo del caso, el diseño de sonrisa puede incluir coronas cerámicas (fundas) en dientes muy dañados, implantes dentales para reemplazar ausencias, o reconstrucciones con resina en dientes astillados.
Prueba y Ajustes (Mock-up)
En muchos casos, antes de colocar definitivamente carillas o hacer cambios permanentes, hacemos una prueba llamada mock-up. Consiste en colocar provisionales o un material sobre tus dientes con la forma del diseño planeado, pero de forma removible. Así pruebas tu nueva sonrisa temporalmente. Te miro sonreír, hablamos de si te sientes cómodo con la forma/tamaño, y podemos ajustar detalles antes de la fase final.
El Gran Momento: Revelación de la Nueva Sonrisa
Tras completar todos los procedimientos del plan, ¡llega el gran momento! Retiramos provisionales (si los hubo) y colocamos las restauraciones definitivas (por ejemplo, pegamos las carillas finales). Al terminar, comparamos tu sonrisa actual con las fotos iniciales. La transformación suele ser impresionante. 🤩Te proporcionaré un espejo para que veas por primera vez tu sonrisa renovada. Este momento es muy emocionante tanto para ti como para mí; ver tu cara de felicidad al sonreír sin complejos es la recompensa más grande.
Antes de darte de alta, revisamos minuciosamente que todo esté perfecto: que tu mordida encaje bien con los nuevos dientes, que no haya molestias, y que la estética cumpla lo prometido. Te explico cómo cuidar tu nueva sonrisa (más adelante detallamos esos cuidados) y programamos revisiones de seguimiento. Normalmente hago un control a la semana o 15 días, para asegurar que te has adaptado bien y todo sigue correcto.
Tipos de Diseño de Sonrisa
Como ves, “¿cómo se hace un diseño de sonrisa?” no tiene una respuesta única: es un proceso multidisciplinar, personalizado y meticuloso. Implica diagnóstico, planificación digital, uno o varios tratamientos dentales combinados y un seguimiento cercano. No hay dos sonrisas iguales, por eso el enfoque puede variar. Podemos agrupar los tipos de diseño de sonrisa según los procedimientos principales que los componen.
Diseño de Sonrisa No Invasivo
Este es el enfoque más conservador. Se aplica cuando la sonrisa solo necesita pequeños ajustes estéticos sin tratamientos agresivos. Por ejemplo: un ligero blanqueamiento para aclarar el tono, pulir el contorno de un diente que tiene un borde irregular (contorneado estético) o hacer una microabrasión del esmalte para eliminar manchitas superficiales. En el diseño de sonrisa no invasivo no se alteran significativamente las piezas dentales, no se tallan los dientes ni se colocan restauraciones extensas.
¿Para quién? Ideal si tus dientes básicamente están sanos y bien alineados, pero quieres mejorar detalles (color algo amarillo, pequeñas imperfecciones). En una o dos sesiones puedes obtener un cambio sutil pero notable hacia una sonrisa más fresca.
Diseño de Sonrisa con Ortodoncia
En casos donde la principal necesidad es alinear correctamente los dientes o corregir la mordida, el diseño de sonrisa se enfocará en la ortodoncia. Aquí el pilar del plan es colocar brackets o alineadores transparentes para mover tus dientes a la posición ideal. Puede durar meses, pero al final tus dientes estarán rectos y encajarán bien.
A veces, solo con la ortodoncia ya se logra la armonía deseada (por ejemplo, en un joven con dientes sanos pero apiñados). Otras veces, la ortodoncia es la fase 1, y tras alinear, añadimos algún tratamiento estético adicional (como blanqueamiento o pequeñas carillas para dar el toque final).
Ventajas: La ortodoncia mejora estética y salud: unos dientes bien alineados se ven mejor y además facilitan la higiene, previniendo caries y problemas de encías. Es importante destacar que hoy en día mucha gente opta por la ortodoncia invisible (alineadores) por comodidad y estética durante el tratamiento.
Ejemplo: Imagínate que tienes los colmillos algo torcidos.
Diseño de Sonrisa con Carillas Estéticas

Este tipo de plan se centra en las carillas estéticas para lograr cambios rápidos y dramáticos en la forma y color de los dientes frontales. Es el típico “smile makeover” que ves en famosos: en pocas semanas pasan de una dentadura envejecida a una sonrisa de cine.
Se utiliza cuando el paciente presenta dientes con problemas estéticos significativos: muy desgastados, con espacios amplios entre ellos, mal formados o con coloraciones difíciles (tetraciclinas, etc.). También cuando se busca un cambio de sonrisa radical en poco tiempo.
¿En qué consiste? Primero solemos hacer un blanqueamiento (si quedan dientes visibles sin carilla, para un tono base homogéneo). Después planificamos cuántos dientes frontales cubrir (a veces 6 superiores, a veces 8, depende de tu sonrisa). Tallamos mínimamente el esmalte en la parte frontal de esos dientes y tomamos moldes. El laboratorio confecciona carillas de porcelana ultrafinas con la forma y color ideal. Mientras, llevas provisionales. Al estar listas, las pegamos una a una. El cambio es inmediato: dientes alineados, blancos y proporcionados al milímetro.
Ventajas: Resultado muy estético en tiempo récord. Las carillas de porcelana además no se manchan con café o tabaco, y duran muchos años (10-15 fácilmente) con buenos cuidados.
Consideraciones: Es un tratamiento invasivo moderado, ya que requiere modificar el esmalte natural (irreversible). Por eso siempre busco un equilibrio: usar carillas solo cuando otras alternativas más conservadoras no logran el mismo efecto.
Nota: Existe la opción de carillas de composite (un material de resina aplicado directamente en clínica) que no requiere tallar o muy poco. Se hacen en una cita, más económicas, pero su estética y duración son inferiores a las de porcelana.
Diseño de Sonrisa Digital (DSD)
Más que un tipo de resultado, aquí hablamos de la técnica de vanguardia que empleamos en prácticamente todos los casos actuales: el diseño de sonrisa digital. Quiero destacarlo porque es una parte fundamental de mi trabajo hoy en día y marca la diferencia.
En este enfoque, utilizamos herramientas digitales (software DSD, fotografías de alta calidad, escáner intraoral, etc.) para diseñar virtualmente la sonrisa antes de tocar un diente. Como te conté, podemos presentarte un antes y después virtual con tus propios dientes, lo cual te permite participar en el diseño dando tu opinión. Además, estas tecnologías nos guían durante el tratamiento real, haciendo todo más preciso.

Por ejemplo, gracias al diseño digital fabricamos guías o plantillas que usamos al tallar los dientes o al hacer la cirugía de encía, asegurando que sigamos exactamente el plan trazado. Menor tiempo total de tratamiento en muchas ocasiones, al evitar improvisaciones y rehacer cosas.
Hoy día un diseño de sonrisa digital es el estándar en nuestra clínica para garantizarte la sonrisa soñada con la máxima seguridad.
Diseño de Sonrisa Integral o Rehabilitación Oral Completa
Hay sonrisas que requieren una transformación integral, combinando varios de los enfoques anteriores y añadiendo posiblemente procedimientos quirúrgicos. Son los casos más complejos, a menudo en personas con problemas dentales severos o múltiples: falta de varias piezas, desgaste extremo por bruxismo, problemas de encías avanzados, etc.
En un diseño de sonrisa integral podemos involucrar a varios especialistas: ortodoncistas, periodoncistas (encías), cirujanos orales, prostodoncistas… Trabajamos en equipo para rehabilitar completamente la boca. Podría implicar extracciones de dientes que no se pueden salvar, colocación de implantes dentales, injertos de encía o hueso, ortodoncia en unas zonas, carillas o coronas en otras, etc. Son tratamientos largos y por fases, pero al final conseguimos no solo una sonrisa bonita, sino recuperar función y salud al 100%.
Ejemplo típico: Paciente de mediana edad con varios dientes perdidos y otros muy desgastados: hacemos primero cirugía e implantes donde faltan dientes, ortodoncia para recolocar lo existente, luego colocamos coronas y carillas sobre implantes y dientes tratados, respectivamente. El resultado: dientes completos, alineados y aspecto juvenil.
Estos casos requieren mucha planificación y paciencia, pero cambian vidas. Siempre recuerdo mencionar al paciente: es un maratón, no un sprint, pero valdrá la pena.
Beneficios de un Diseño de Sonrisa Completo
Como has visto, el “diseño de sonrisa” abarca desde retoques sencillos hasta rehabilitaciones completas. El tipo dependerá de tu diagnóstico inicial. Un buen dentista estético te recomendará la opción más conservadora que logre el resultado que buscas. A veces bastará con un tratamiento, y otras habrá que combinar varios. Realizar un diseño de sonrisa completo tiene numerosos beneficios, tanto estéticos como funcionales y emocionales.

- Sonrisa más estética y armónica: El beneficio más evidente es lucir dientes más blancos, alineados y con forma agradable, lo que embellece todo tu rostro.
- Aumento de la confianza y autoestima: Tras el tratamiento, muchos pacientes me cuentan que ya no les da vergüenza sonreír abiertamente. Recuperan la seguridad en sí mismos al hablar, reír en fotos o eventos sociales.
- Resultados personalizados y naturales: Gracias a la planificación cuidadosa, la nueva sonrisa se adapta a tu cara. No es “una sonrisa estándar” igual para todos, sino que respetamos tu personalidad. El resultado busca ser estético pero natural, evitando ese aspecto artificial que a veces se teme (nada de “dientes chiclet” todos iguales).
- Mejora de la salud bucodental: Un diseño de sonrisa bien hecho también mejora la salud.
| Tratamiento | Descripción | Beneficios |
|---|---|---|
| Blanqueamiento dental | Aclara el tono de los dientes | Mejora la estética, elimina manchas |
| Carillas dentales | Láminas de porcelana o composite para cubrir imperfecciones | Cambio rápido y dramático en forma y color |
| Ortodoncia | Alinea los dientes | Mejora la mordida, facilita la higiene |
| Implantes dentales | Reemplazan dientes perdidos | Restaura la función y estética |