Las caries afectan actualmente al 21% de la población, según datos del Instituto Nacional de Estadística, siendo una de las patologías dentales más comunes. Concretamente, nos vamos a centrar en las caries interproximales, que son aquellas que se encuentran ubicadas entre los dientes. ¿Quieres saber más sobre las caries interproximales, sus causas, síntomas y cómo tratarlas?

¿Qué Son las Caries Dentales?
¿Qué es la caries dental? La caries dental es una de las enfermedades más frecuentes. Todo el mundo que tenga dientes puede tener caries, y esto incluye a los bebés. Las caries son zonas dañadas en la superficie de nuestros dientes. Es una enfermedad progresiva que va destruyendo los tejidos dentales. Es muy común y está presente en casi toda la población adulta en estos momentos y entre un 60-90% de los niños, según la OMS.
Las caries son zonas dañadas en la superficie de los dientes de manera permanente y que se observan en forma de orificios o aberturas. Una caries es una zona dañada del diente, donde la acumulación de placa bacteriana ha provocado una erosión permanente y deberá tratarse para frenar su expansión.
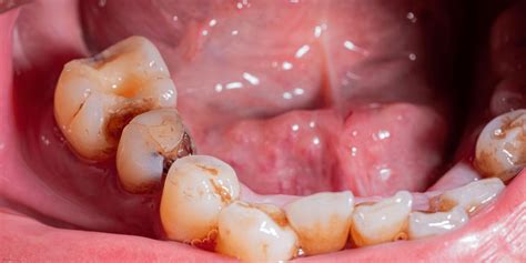
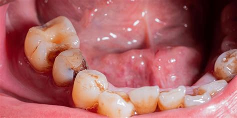
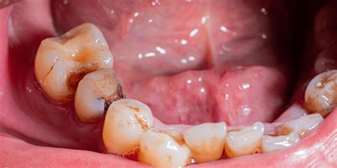
Volviendo al tema que nos ocupa, las caries interproximales, debemos afirmar que entre sus características más significativas resalta su ubicación. Por el lugar donde se originan, las caries interproximales pueden ser menos visibles y difíciles de detectar. La zona que está entre los dientes es más inaccesible y durante el cepillado dental será más difícil de limpiar.

Causas de las Caries Interproximales
Como todos los tipos de caries, su principal causa es la acumulación de bacterias, que se sedimentan en forma de placa dental en el diente. La causa principal de las caries interproximales es la acumulación de bacterias, que da lugar al sarro y a la placa bacteriana. Por lo tanto, es una zona propensa a la acumulación de placa bacteriana y sarro que provoca las caries.
Existen una serie de factores que pueden agravarlas como la ingesta frecuente de alimentos o bebidas azucaradas o una limpieza dental deficiente ya que estos propiciarán la formación de placa dental.
Factores de Riesgo de Desarrollo de Caries Dentales
Si tienes dientes puedes tener caries, pero existen una serie de factores que te dan más papeletas para llevarte esta desagradable noticia. Veámoslos:
- Molares y Premolares: Las caries suelen aparecer en los molares y premolares. Estos dientes son más irregulares, tienen más surcos y hendiduras y también más raíces en las que se pueden acumular restos de comida.
- La adherencia de lo que comemos: Además de que los alimentos tengan azúcar hay otro factor relevante ¿cuánto tiempo se adhiere cada alimento a los dientes? La leche, la miel, el helado, el azúcar, las galletas, las bebidas gaseosas, el pastel, los caramelos duros, las patatas fritas, etc, son algunos ejemplos.
- La frecuencia con la que ingerimos alimentos y su pH: Cuando comemos o bebemos continuamente también le damos a las bacterias una fuente continua de alimento que convertir en placa.
- Falta de flúor: El flúor es un mineral muy beneficioso para la capa externa de los dientes.
- La edad: Aunque las caries están presentes en todas las edades, conforme cumplimos años es posible que los dientes se desgasten y las encías se vayan retrayendo exponiendo la raíz dental, que no tiene un esmalte.
- Dientes torcidos: Cuando existe apiñamiento dental se dificulta el acceso a muchas zonas de nuestra boca para poder limpiarlas en profundidad.
- Boca seca: La saliva presente en nuestra boca tiene una función carioprotectora, es decir, de forma natural la saliva descompone los alimentos y elimina placa de los dientes ayudando a disminuir el ácido.
- Empastes desgastados o dispositivos dentales: Con el paso de los años los empastes dentales pueden comenzar a deteriorarse y no ajustar tan bien como lo hacían al principio.
- pH de la saliva demasiado bajo: Si el pH en la saliva se encuentra por debajo del 5.5 se puede dar una desmineralización de nuestros dientes aumentando el riesgo de caries.
- Estrés: Cuando estamos estresados nuestras defensas bajan y eso es ideal para el desarrollo y proliferación de bacterias o virus en nuestro organismo.
- Ardor de estómago y algunos trastornos de alimentación: En cualquier enfermedad en la que este ácido del estómago vaya a la boca estará debilitando el esmalte dental.
⚠️Esta es la caries más peligrosa ¿Cómo evitarla? | Colaboración Oral B
Síntomas de la Caries Dental
Al inicio, la caries puede presentarse como lo que se conoce como “dientes picados”. Una pequeña marca en el diente que no produce dolor en absoluto, pero que es el aviso y el comienzo de lo que puede ser en el futuro un grave problema de salud. Si no se trata a tiempo la caries terminará afectando capas más profundas del diente provocando dolor intenso, infecciones e incluso la pérdida del diente.
Síntomas de las Caries Interproximales
Muchos pacientes se dan cuenta de que tienen una caries interproximal cuando ya sienten síntomas de dolor y sensibilidad dental, momento en que la caries ya ha erosionado parte de la estructura dental. Son muchos los pacientes los que se dan cuenta de que tienen caries interproximales cuando tienen dolor o sensibilidad dental.
Algunas señales de alerta o síntomas que pueden indicar la presencia de dientes con caries son:
- Dolor o molestias en un diente o muela sin causa aparente.
- Sensibilidad o dolor al tomar alimentos o bebidas calientes y frías o al morder.
- Agujeros, marcas, manchas de cualquier color u hoyos en los dientes.
Al pasar el hilo dental, se engancha y se deshilacha. Una forma de detectar la caries interproximal es cuando, al pasar el hilo dental, notamos que se engancha y provoca dolor. Por último, durante la higiene dental podemos notar que al pasar el hilo dental se engancha, provocando dolor al pasarlo entre dos dientes.
Dolor punzante: a medida que la caries se acerque la pulpa dental, el dolor se irá volviendo más intenso porque las bacterias se aproximan al nervio dental.Muchas personas se dan cuenta de que sufren una caries entre los dientes cuando notan una punzada de dolor o se les inflama la boca. Cuando esto ocurre, suele ser porque la infección ya ha llegado a la pulpa dental. El diente se ha vuelto más sensible al frío, al calor o incluso al azúcar.

En fases iniciales puede que no sientas nada. Las caries incipientes en el lateral son silenciosas. Por eso, si sospechas que tienes una muela picada lateral (por una mancha, o porque tu higiene no ha sido la mejor últimamente), lo más inteligente es acudir al dentista.
Diagnóstico de las Caries Interproximales
¿Cómo detectar una caries interproximal a tiempo? Las caries interproximales son más difíciles de detectar y, al afectar a más de un diente, son especialmente graves. Por esta razón, es muy importante tener un buen hábito de higiene bucodental. La mejor manera de detectar, sin embargo, una caries interdental es mediante una radiografía odontológica.
Para diagnosticar caries interdentales se emplean radiografías y exploraciones orales. La prueba diagnóstica más adecuada para las caries interproximales será una radiografía oral y una exhaustiva exploración dental.
Son muy importantes las revisiones periódicas en el dentista para poder detectar las caries interproximales de forma precoz. Será el especialista quien, mediante una radiografía, pueda hacer un diagnóstico y aplicar el tratamiento para las caries interproximales más adecuado.
Tratamiento de las Caries Interproximales
Es muy importante que el paciente recuerde que las caries no remiten por sí solas y necesitamos tratarlas y controlarlas en manos de especialistas en restauración dental para evitar comprometer la vida de nuestras piezas dentales. Si el daño ya está hecho y no lo podemos prevenir no queda más remedio que abordar la caries cuanto antes para evitar que afecte a capas profundas del diente.
Dependiendo del alcance de la lesión, las caries interproximales pueden eliminarse y reconstruir la pieza con composite, es decir, con un empaste. En un estado inicial, se podrá tratar la caries con un empaste. El dentista elimina la parte dañada del esmalte y coloca en ese espacio un material que lo cubra.
Opciones de Tratamiento
- Remineralización dental: En las caries muy pequeñas o detectadas en etapas iniciales, se puede llevar a cabo un tratamiento de remineralización con flúor. Si la cavidad es pequeña en un estado incipiente que solo afecta al esmalte no se hace el empaste. Si se cuida el esmalte de la zona dañada con una correcta higiene y se aplica un aporte extra de flúor, este esmalte se repara mediante una remineralización fisiológica.
- Extracción de la caries: Cuando la caries es más avanzada, habrá que extirpar la zona del diente afectada y reconstruir la pieza dental con un empaste.
- Obturación y reconstrucción dental: En las primeras fases de la caries donde solo se han visto afectadas capas superficiales limpiaremos la zona afectada y la rellenaremos con un “empaste dental” saneando el diente y evitando el avance de esta.
- Endodoncia: Si la caries ya ha llegado a la pulpa del diente, el abordaje es diferente. Si la caries ha avanzado y ha afectado a la pulpa dental, puede que sea necesaria una endodoncia, es decir, desvitalizar el nervio. El endodoncista deberá vaciar la pulpa del diente y sellar el conducto.
- Extracción: En los casos más graves, cuando la pieza dental está muy dañada o irrecuperable solo quedará la opción de extraer la pieza y sustituirla por un implante dental, que se pondrá teniendo en cuenta la funcionalidad y estética de la pieza que está sustituyendo ya sea para preservarla o mejorarla. A veces, la endodoncia no resulta eficaz y debe llevarse a cabo una extracción. En caso de extracción, se puede sustituir la pieza mediante un implante dental.
En nuestra clínica siempre intentamos que los tratamientos sean lo más preventivos posibles, y siempre que es posible intentamos conservar el diente natural en boca ya que es lo que mejor pronóstico suele tener a largo plazo. ¡Como nuestros dientes no hay nada! Por esta razón siempre insistimos en cuidar nuestra boca, acudir a revisiones y poner el foco en la prevención de enfermedades y no solo en el tratamiento de estas.
Prevención de las Caries Interproximales
La mejor forma de evitarlas siempre será la prevención, mediante una correcta alimentación y sobre todo cuidando los hábitos de higiene dental: el cepillado dental tres veces al día y el uso de hilo dental o de cepillos interdentales una vez al día serán tus grandes aliados para prevenir las caries interproximales.
Además, es necesaria una revisión en el dentista cada 6 meses o un año, así como una limpieza dental anual. Llama a Cubdens y pide una cita para realizarte una revisión.
Consejos de Prevención
Dado que la cavidad oral es una zona que no solemos revisar, normalmente nos damos cuenta de las caries cuando ya ha aparecido el dolor o cuando ya ha dejado de ser un punto o una mancha y se ha convertido en un agujero en nuestro diente que detectamos al pasar la lengua. Por esta razón, es importante visitar al dentista de forma periódica.
Mantén una correcta higiene dental, cepíllate los dientes después de cada comida, usa hilo dental para limpiar los espacios entre los dientes y compra pastas dentales con la suficiente cantidad de flúor (1.500ppm). Si tu riesgo de caries es elevado es posible que tu odontólogo de confianza te recomiende un enjuague bucal con flúor o antibiótico. Realízate limpiezas dentales de forma periódica, según tu propensión a acumular sarro el especialista dental te aconsejará una periodicidad concreta para tu caso. Normalmente con una vez al año es suficiente, pero puede que en tu caso sea recomendable cada 6 o cada 3 meses.
Para prevenir la caries en los espacios interdentales, es importante limpiarlos con regularidad. Con los cepillos interdentales de Curaden, podrá llegar fácilmente incluso a los nichos más finos y estrechos. Encontrará el tamaño adecuado para todos los espacios interdentales.
En el caso de una alta propensión a desarrollar caries, es posible utilizar selladores dentales, que son películas protectoras que se aplican en las superficies de masticación de los dientes posteriores (los más difíciles de limpiar con un cepillo de dientes) para cerrar surcos y fisuras (zonas potenciales de acumulación de placa).