La estética dental ha adquirido gran relevancia en los últimos años, posicionándose como una de las especialidades más solicitadas en el ámbito de la salud bucodental. Una sonrisa estética no solo contribuye a una mejor apariencia, sino también a un mayor bienestar emocional y social. En Granada, diversas clínicas ofrecen tratamientos especializados para mejorar la apariencia de tus dientes y lograr la sonrisa que siempre has deseado.

¿Qué es la Estética Dental?
La estética dental se enfoca en mejorar la apariencia de los dientes y la sonrisa en general. Abarca desde correcciones menores hasta procedimientos más complejos. El éxito de un tratamiento de estética dental en Granada comienza con un diagnóstico preciso y detallado. Se realiza una revisión completa de la cavidad oral, evaluando el estado de los dientes, encías y articulaciones.
Tratamientos de Estética Dental en Granada
En Granada, los especialistas en estética dental ofrecen tratamientos personalizados y tecnología de vanguardia para que consigas la sonrisa que siempre has deseado. A continuación, se describen algunos de los tratamientos más comunes:
Carillas Dentales
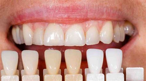
Se utilizan para corregir problemas de forma, tamaño, color y posición de los dientes. Pueden ser de porcelana o composite y se adhieren a la superficie dental para ofrecer un resultado estético inmediato. Este tratamiento es ideal para quienes desean modificar su sonrisa de forma rápida y con resultados duraderos. Las carillas dentales son unas finas láminas de cerámica, realizadas a medida, que se sitúan sobre los dientes para corregir imperfecciones en la sonrisa: mejoran la alineación de los dientes, la forma, el color o el brillo. El rey de la estética. Estas finas láminas de composite o porcelana, se colocan en la cara visible del diente para conseguir una sonrisa perfecta y mejorar el aspecto del diente.

Blanqueamiento Dental
Tratamiento no invasivo que aclara el tono de los dientes, eliminando manchas provocadas por alimentos, bebidas, tabaco y el paso del tiempo. Podrás aclarar el tono de tus dientes o eliminar manchas con resultados muy naturales. El blanqueamiento dental permite conseguir un tono más blanco en los dientes.
Diseño de Sonrisas
Un proceso innovador que permite planificar digitalmente cómo será tu nueva sonrisa. Se utiliza tecnología de última generación para crear un modelo virtual y mostrarte los resultados antes de iniciar cualquier procedimiento. Este método ofrece la posibilidad de ver diferentes opciones y elegir la que más te guste. Nuestro diseño de sonrisa mejora la armonía entre dientes, encías y labios, transformando el aspecto de tus dientes para una apariencia más armónica. En la clínica dental se emplea la última tecnología, pudiendo realizar un Diseño Digital de Sonrisa asistido por ordenador, que permita visualizar el resultado antes incluso de proceder a realizar cualquiera de los tratamientos de estética dental.

Diseña tu #sonrisa con #odontología digital avanzada
Ortodoncia
Puedes acceder a diferentes tratamientos de ortodoncia en función de tus necesidades, con el fin de alinear tus dientes correctamente. La ortodoncia es la solución perfecta si quieres alinear tu sonrisa. ¿Estás buscando un tratamiento de Ortodoncia que sea estética, con brackets de zafiro o cerámica en Granada o bien con modernas técnicas de Ortodoncia Invisible o Lingual? En Travesí Ortodoncia tenemos amplia formación especializada en tratamientos y brackets estéticos en Granada.
Consigue un acabado excelente a nivel estético que pase totalmente desapercibido con los brackets fabricados en zafiro o cerámica avanzada. Además, el tratamiento de Ortodoncia con brackets de zafiro o cerámica presenta actualmente pocas diferencias en cuanto al coste en comparación a la Ortodoncia con brackets metálicos.
El precio de la ortodoncia con Brackets de cerámica convencional es menor que la de zafiro, debido a que estos Brackets sí pueden ponerse amarillentos en determinadas condiciones de luminosidad o con el paso de los meses. Ofrecen una mejor estética en casos de Esmalte no demasiado oscuro debido a su menor translucidez o transparencia.
Rellenos Faciales
Además de mejorar la sonrisa, muchos pacientes desean equilibrar la apariencia facial. Los rellenos faciales son una opción ideal para dar volumen y mejorar la armonía del rostro, realzando los resultados de otros tratamientos dentales. En la clínica dental ofrecen tratamientos estéticos para mejorar el aspecto de los labios. Gracias al ácido hialurónico, es posible conseguir un remodelado labial: aumentar el volumen, conseguir labios más hidratados o corregir asimetrías y pequeñas imperfecciones.
Otros Tratamientos
- Gingivectomía: Este tratamiento consiste en reducir la cantidad de encía para que ésta tenga un tamaño armónico y proporcionado.
- Reconstrucciones dentales: Golpes, caídas, caries o fracturas pueden provocar la pérdida total o parcial de piezas dentales.
- Limpieza dental profesional: Eliminaremos el sarro y las manchas superficiales, dejando tu sonrisa más saludable y bonita.
Precios de los Tratamientos de Estética Dental
El precio de un tratamiento de estética dental depende de varios factores, como el tipo de procedimiento, el material empleado y la complejidad del caso. En un tratamiento de estética dental, el precio puede variar en función de diferentes factores. El primero de ellos es el tipo de tratamiento elegido, pues cada uno tendrá unas características propias. A continuación, se presenta una tabla con precios aproximados:
| Tratamiento | Descripción | Precio Aproximado |
|---|---|---|
| Carillas dentales | Varía según el material (porcelana o composite) | Variable |
| Blanqueamiento dental | Aclara el tono de los dientes | Variable |
| Rellenos faciales | Depende de la cantidad de sustancia utilizada y las áreas a tratar | Variable |
| Ortodoncia con brackets de zafiro | Alineación dental estética | Variable |
| Ortodoncia con brackets de cerámica | Alineación dental estética (puede presentar alteraciones de color) | Variable |
Es importante tener en cuenta que estos precios son orientativos y pueden variar según la clínica y las necesidades específicas de cada paciente.
¿Por Qué Elegir un Especialista en Estética Dental en Granada?
En Granada, puedes encontrar clínicas especializadas que ofrecen:
- Diagnóstico preciso y detallado: Utilizando tecnología avanzada y la experiencia de especialistas.
- Diseño digital de la sonrisa: Visualizando el resultado antes de comenzar el tratamiento.
- Tratamientos personalizados: Adaptados a tus necesidades y rasgos faciales.
- Financiación a medida: Para que el precio no sea un obstáculo.
Si estás buscando mejorar la apariencia de tus dientes, corregir pequeñas imperfecciones o simplemente necesitas asesoramiento profesional, no dudes en visitar a un especialista en estética dental en Granada. ¡Tu sonrisa es nuestra mejor carta de presentación!