El tratamiento de las relaciones clase II ligeras o moderadas se puede llevar a cabo sin la necesidad de extracciones de órganos dentarios siempre y cuando el diagnóstico sea correcto. La distalización de los molares para tratar de conseguir relaciones Clase I molares y caninas disminuyendo la necesidad de realizar exodoncias, es cada día más frecuente, los avances en biomateriales y los cambios conceptuales relacionados a la rigidez de las mecánicas han hecho posible que en los últimos años, muchos autores hayan diseñado técnicas diferentes para tratar de alcanzar estas metas.
Una opción para crear espacio o corregir las relaciones clase II en el arco maxilar es mover en forma distal los molares. El uso de aparatos intraorales se ha desarrollado desde los años 80, como una alternativa a los aparatos extraorales y removibles. El ortodoncista depende del uso de los aparatos tradicionalmente utilizados para la distalización de molares, éste es el motivo por el cual se opta por el uso de aparatos intraorales donde no se depende de la cooperación del paciente.
El objetivo de este trabajo es enfocar al ortodoncista en una opción de tratamiento para las discrepancias clase II molares leves o moderadas en las cuales la extracción de órganos dentarios no es la opción.
Secuencia Colocación Microtornillo Ortodoncia ( 2 minutos)
Indicaciones y Contraindicaciones
La indicación o contraindicación de la distalización de los molares está dada por las características propias del paciente y el grado de intensidad de movimiento que necesitemos realizar, es importante tener en cuenta que por sus características propias, la apertura de la boca se realiza sobre el eje condilar, por lo que en este sentido si precisamos distalizar uno o varios molares debemos tomar en cuenta estos efectos:
- Hace rotar la mandíbula hacia abajo y hacia atrás, en el sentido de las manecillas del reloj.
- Incrementa el ángulo de la convexidad facial.
- Incrementa la altura facial anterior, en especial el tercio inferior.
- Incrementa el ángulo del plano mandibular con respecto a la base del cráneo.
Estos efectos pueden ser sumamente favorables en aquellos pacientes con mordida profunda, pero contraproducente en los pacientes con mordida abierta, por lo que éstos han de ser los factores a tomar en cuenta en la distalización, el biotipo facial y las características cefalométricas del paciente son muy importantes, ya que es más probable que podamos producir una mordida abierta en un paciente dolicofacial con un ángulo goniaco abierto que en un paciente braquifacial con un ángulo goniaco cerrado, el cuidadoso estudio de las características y las tendencias de crecimiento en pacientes jóvenes ha de ser tomada en cuenta al planificar el caso.
Las indicaciones para realizar la distalización unilateral o bilateral de los molares son muy específicas:
- Clase I con apiñamiento ligero y/o protrusión no severa.
- Clase II dentaria, debido a mesialización del molar superior por pérdida de espacio ya sea, por la pérdida prematura del segundo molar temporal o por pérdida de anclaje durante alguna fase del tratamiento.
- Cuando se decide la extracción del segundo molar permanente, ya sea por caries o por otra causa, teniendo apiñamiento anterior y/o caninos ectópicos.
Técnicas de Distalización Molar
Péndulo de Hilgers
En años recientes se ha enfocado el interés en el péndulo de Hilgers y sus variantes. El aparato denominado péndulo fue descrito en 1992 por el Dr. James Hilgers como un aparato tendiente a corregir ciertas maloclusiones con una ayuda mínima del paciente. Desde su introducción, el péndulo ha sufrido numerosos cambios para hacerlo más confortable al paciente, facilitando su colocación y activación, simplificando el diseño, aumentando su estabilidad y aumentando su capacidad de respuesta.
El objetivo de este aparato es llevar en cuerpo los dientes minimizando el riesgo de resorción radicular. El problema fundamental al activar el péndulo es el insertar las barras en las cajas linguales de los molares, los molares se moverán dentro de un radio resultado de la dirección de la fuerza de los resortes de TMA.

Aparato Lizat
Este artículo describe un innovador aparato de tratamiento mediante el cual pueden distalizarse unilateralmente molares en el maxilar inferior. Este aparato consta de dos componentes: un aparato de arco lingual activado asimétricamente, mediante el cual tiene lugar intersegmentalmente la corrección de la malposición dental, así como un Lipbumper que tiene la misión, por una parte, de apoyar los efectos de distalización, y por otra, de mejorar la calidad de la preparación del anclaje.
Mediante una modificación de este aparato Frozat pueden distalizarse molares en el maxilar inferior en caso de migración unilateral. Este denominado aparato Frozat (fixed Crozat) sirve para la expansión transversal y sagital de la arcada dentaria. El aparato Lizat es una combinación de lipbumper y Frozat unilateral.

El aparato de arco lingual se activa en el lado de anclaje en el arco lingual, directamente en la zona de la banda molar, mediante una pinza de Aderer. Esta activación de primer orden en el plano horizontal sirve como activación de distalización. Es preciso incorporar en el arco lingual un doblez adicional como doblez antirrotación en la zona del molar distalizante. Este doblez impide la rotación del molar hacia lingual causada por la primera activación. De este modo se previene un posible contacto de las raíces con el hueso cortical lingual y se posibilita la distalización deseada en el hueso esponjoso.
Mini-Implantes Dentales (TADs)
La introducción de los mini implantes dentales proporcionaron al ortodoncista un anclaje óseo que hasta el momento era muy difícil de conseguir, y que no para de cobrar adeptos en la actualidad. La magnitud de la fuerza que puede soportar un microtornillo varía según los autores; desde fuerzas ligeras de 150g hasta pesadas de 300 g. La fuerza necesaria de retracción se encuentra entre 150-200 g. Otra de sus grandes ventajas es la posibilidad de aplicar la fuerza cerca del centro de resistencia del diente.

Para el distalamiento, los TADs pueden emplearse de manera directa o indirecta, y pueden ser colocados inter-radicular entre primer y segundo molar, o extraradicular como es la zona infracigomática o retromolar.
Distalizador Carrière
En el 2004 Carrière diseñó un sistema de distalamiento capaz de desplazar todo el sector posterosuperior (Distalizer®). Este aparato permite corregir la relación sagital de molares, premolares y caninos en un único tiempo. Esta ventaja permite reducir el tiempo del tratamiento de ortodoncia y la dificultad del mismo.

Caso Clínico: Distalización de Molares Superiores con Péndulo
Paciente masculino de 13 años de edad, el cual acude a consulta al Departamento de Ortodoncia de la DEPeI de la Facultad de Odontología.
Facialmente es un paciente mesofacial, perfil convexo, ligera giba nasal y competencia labial.
Al análisis intraoral presenta clase I molar y clase II canina derecha, clase I molar y clase I canina izquierda en dentición permanente, sobremordida horizontal de 5mm, sobremordida vertical de 4mm y una discrepancia óseo dentaria de -4mm en la arcada inferior y -1mm en la arcada superior, líneas medias superior e inferior no coinciden, apiñamiento ligero la arcada superior e inferior.
Radiográficamente, en la ortopantomografía presenta 28 piezas dentales erupcionadas, 4 piezas dentales retenidas (18, 28, 38 y 48) y una relación coronaraíz de 1 a 3.
Cefalométricamente se diagnostica como clase I, incisivo superior protruido y proinclinado, cóndilo posicionado hacia atrás, mentón poco prominente, crecimiento CCW.
Los objetivos a conseguir con el plan de tratamiento son: conservar el perfil, mantener clase I molar y obtener clase I canina bilateral, corregir sobremordida vertical y horizontal, eliminar giroversiones y centrar línea media.
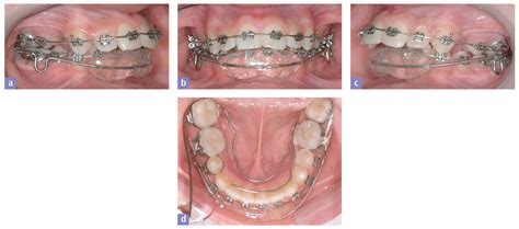
De acuerdo con el diagnóstico obtenido y a los objetivos planeados, el plan de tratamiento a realizar es: distalización de molares superiores con péndulo, colocación de anclaje: botón de nance. Sin extracciones, técnica Edgewise 0.017” × 0.025”.
Fase I: Alineación y nivelación 0.016” ss.
Fase II: Corrección de líneas medias.
Fase III: Reposicionamiento de brackets y terminado.
Retención: Placa Hawley superior e inferior.
Se retira la aparatología con clase I molar y canina, líneas medias centradas.
Al finalizar el caso se colocaron retenedores Hawley superior e inferior, en lo cual se observa la distalización del molar superior en cuerpo, retroinclinación de los incisivos superiores e inferiores y rotación de la mandíbula en sentido de las manecillas del reloj.
Los resultados encontrados en este paciente nos sugieren que el péndulo es efectivo en la distalización de primeros molares superiores con una distancia de 1mm por mes usando una fuerza de 200 a 250 gramos, en este caso se utilizó por cuatro meses para obtener un poco de sobrecorrección de la clase molar. La alineación y nivelación de las arcadas dentarias se obtienen con arcos de NiTi redondos y posteriormente se utilizan arcos redondos de acero inoxidable, el cierre de espacios junto con las líneas medias se lograron con ansas de contracción.
| Medición | Valor |
|---|---|
| Clase | I |
| Incisivo Superior | Protruido y Proinclinado |
| Cóndilo | Posicionado hacia atrás |
| Mentón | Poco prominente |
| Crecimiento | CCW (Contra las manecillas del reloj) |
tags: #distalamiento #molar #en #ortodoncia