El disyuntor dental es un dispositivo utilizado en ortodoncia para corregir problemas en la estructura ósea del paladar. Su principal función es expandir la arcada superior cuando existe una mordida cruzada o un maxilar estrecho. Este aparato, también conocido como disyuntor de paladar o expansor maxilar, es un aparato fijo que se coloca en la parte superior de la boca y se fija en los molares, nuestros dientes más grandes.
Cada vez es más frecuente la colocación de aparatos para expandir el paladar. El disyuntor se activa mediante un tornillo central que los ortodoncistas ajustan periódicamente. El uso de disyuntores dentales permite a los dentistas corregir maloclusiones en etapas tempranas, cuando son más fáciles de tratar. Uno de los efectos de un paladar estrecho es la disminución del flujo de aire, lo cual afecta la respiración del paciente. En estos casos, el disyuntor ayuda a ensanchar el maxilar superior, lo que produce que también se ensanche la parte inferior de las fosas nasales.

¿Cuándo es Necesario un Disyuntor Dental?
El disyuntor dental se utiliza principalmente en niños y adolescentes, ya que sus huesos aún están en crecimiento y es más fácil moldear la estructura del paladar. Algunas de las indicaciones más comunes para el uso de un disyuntor dental son:
- Paladar estrecho u ojival: Malformación de la cavidad oral superior.
- Apiñamiento dental: Afecta a la erupción normal de las piezas dentales, ya que no cuentan con el espacio suficiente.
- Mordida cruzada: Tipo de maloclusión que suele ser consecuencia de tener un paladar estrecho.
- Problemas respiratorios: Suelen ser una de las complicaciones derivadas de tener un paladar estrecho.
La edad idónea para realizar este tipo de tratamiento es a partir de los 6 años, ya que a edades tempranas el hueso se puede hacer más amplio sin necesidad de realizar un tratamiento quirúrgico, Esto es gracias a la sutura palatina media. Esta sutura se encuentra abierta a estas edades, y se empieza a cerrar a los 12 años aproximadamente. Cuando antes se realice el tratamiento, mejor pronóstico tiene, y menor riesgo de desarrollar asimetrías esqueléticas (desviación mandibular).
Tipos de Disyuntores Dentales
Existen diferentes tipos de disyuntores dentales, cada uno diseñado para abordar necesidades específicas. A continuación, se describen algunos de los más comunes:
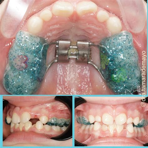
1. Disyuntores Cementados en los Dientes
Estos disyuntores son los que conocemos convencionalmente. Se utilizan en niños desde los 6 años hasta los 12 aproximadamente.
Tipos de Disyuntores Cementados
- Disyuntor de Mc.Namara: Consta de dos férulas que se cementan sobre los molares de cada lado, y ambas férulas van unidas por una estructura metálica que se hace cerca del paladar y, en la cual se incorpora un tornillo que se va activando para ir abriendo el paladar. Este tipo de disyuntor se utiliza en niños muy pequeños (dentición temporal), y con tendencia a mordida abierta (patrón dolicofacial).
- Disyuntor de bandas: Este tipo de disyuntor se utiliza en niños en una edad un poco más avanzada (aproximadamente de 9-12 años) que se encuentran en dentición mixta. El patrón de crecimiento indicado suele ser mesofacial o braquifacial.
2. Disyuntores Cementados sobre el Hueso (MARPE o MSEII)
Este tipo de disyuntor se utiliza en pacientes que ya han sobrepasado el límite de edad para cementar un disyuntor convencional. El rango de edad para poner este tipo de disyuntor en desde los 13 años hasta los 20-25 aproximadamente.
La principal diferencia entre los convencionales y este tipo de aparato es que el MARPE o MSE II se cementa al hueso mediante la colocación de 4 microtornillos. Los microtornillos o miniimplantes son unos dispositivos que se atornillan al hueso del paladar permitiendo que la sutura palatina pueda abrirse. Lo cierto es que cuanto más edad tenga el paciente, menos probable es que se abra, y que la única solución para abrirla sea realizar una cirugía maxilofacial o SARPE.
Este tipo de disyuntor se coloca con un poquito de anestesia local en el paladar y se fabrica digitalmente previamente a su colocación.
Otros Tipos de Disyuntores
- Disyuntor de Hass: Dispositivo compuesto por dos bandas de metal que el dentista ajusta y sostiene de los molares.
- Disyuntor Híbrido con Mini-Implantes: Combina un tornillo expansor con mini-implantes anclados directamente al hueso del paladar. Este diseño reduce la presión en los dientes y asegura una expansión más estable y efectiva, especialmente en adolescentes y adultos.
- Disyuntor Quirúrgico Asistido (SARPE): Tratamiento combinado de ortodoncia y cirugía, utilizado para ampliar el paladar en adultos donde el hueso ya no es flexible. Tras una intervención quirúrgica para separar las suturas del maxilar, se activa un disyuntor fijo, como el Hyrax, para lograr una expansión rápida y efectiva.
- Quad Helix: Aparato ortodóntico fijo hecho de alambre en forma de cuatro hélices, diseñado para expandir el paladar de forma gradual y suave.
🔷️EXPANSOR DENTAL🔷️ - Disyuntor palatino ortodoncia
Disyuntor Removible vs. Fijo
Existen dos tipos principales de disyuntores: removibles y fijos. Los removibles permiten una mejor limpieza del aparato y resultan más cómodos; sin embargo, pueden resultar menos efectivos y es más probable que se dañen o se pierdan. Las principales diferencias entre ambos tipos son el coste y la duración del tratamiento. Los removibles son de metal y son más asequibles que los fijos. Los aparatos de ortodoncia removibles se fabrican en un laboratorio y requieren menos tiempo en el sillón que los aparatos fijos. El anclaje del aparato suele provenir de una placa acrílica.

Alternativas Removibles: Ortodoncia Moderna
Gracias a las innovaciones tecnológicas en el área de la medicina dental, han aumentado las opciones para la alineación de los dientes. Ahora no es necesario adaptar aparatos dentales tradicionales que van fijados a los dientes y causan un excesivo dolor. En la actualidad, es posible escoger entre distintos tipos de ortodoncia que son removibles, lo que permite más comodidad y un mayor nivel de higiene bucal. En este sentido, se pueden mencionar dos tipos principales de ortodoncia removible, los aparatos funcionales y los alineadores invisibles:
Aparatos Funcionales
Son dispositivos removibles que se utilizan para corregir problemas de maloclusión mediante la aplicación de fuerzas biomecánicas para modificar la posición de los dientes, la mandíbula o ambas. Funcionan principalmente por la acción de tornillos, resortes y planos inclinados que generan fuerzas sobre los dientes y los tejidos óseos, estimulando el crecimiento y remodelando los huesos maxilares. Algunos de los más importantes pueden ser:
- Placa de Hawley: Es también conocida como retenedor de Hawley, y se trata de un aparato de ortodoncia removible que se utiliza principalmente para mantener los dientes en la posición correcta después de un tratamiento de ortodoncia con brackets. De hecho, es el aparato removible más común y se caracteriza por su eficacia, comodidad y versatilidad.Usualmente, se utiliza para corregir problemas como apiñamiento dental, mordida abierta o mordida cruzada. Además, es importante mencionar que la placa de Hawley es una base de acrílico con alambres metálicos que se ajustan a los dientes y aplican presión para moverlos.
- Bionator: El bionator o aparato de Balters, es un aparato de ortodoncia removible que busca corregir problemas de maloclusión esquelética de Clase II, es decir, aquellas que se originan por un desequilibrio en el crecimiento de los huesos maxilares. Funciona de una manera particular, pues su intención es expandir el paladar y adelantar la mandíbula.
- Disyuntor palatino: A diferencia de otras opciones, el disyuntor palatino es un aparato de ortodoncia removible que se caracteriza por crear espacio en la arcada dental superior, y no de unir los dientes. Es verdaderamente útil cuando no hay suficiente espacio para que los dientes permanentes erupcionen correctamente. Este tipo de ortodoncia funciona mediante la separación gradual de los huesos maxilares del paladar. Y esto se logra a través de su componente principal, que es el tornillo central.
Alineadores Invisibles
Si se trata de tratamientos de ortodoncia removibles, los alineadores invisibles son ideales para cualquier persona. Están hechos a medida para mover gradualmente los dientes a la posición deseada, pues se fabrican con tecnología de impresión 3D a partir de un molde digital de la boca del paciente.
- Invisalign: Es probablemente la alternativa más cómoda y estéticamente agradable de todas. El invisalign es un sistema de ortodoncia invisible y removible que se usa para mejorar la sonrisa de los pacientes, sin que se note el tratamiento bucal. Consta de tres etapas, como la mayoría de los procesos de ortodoncia. Va desde la evaluación y el diagnóstico, la creación de los alineadores y su uso.
Cuidados y Mantenimiento del Disyuntor Dental
El tratamiento de disyunción suele durar un año aproximadamente. En este periodo deberás tener unos cuidados específicos para que tu tratamiento funcione correctamente y no se retrase:
Medidas de Higiene
La limpieza del disyuntor debe ser muy minuciosa para evitar que se genere una gingivitis o inflamación de la encía por el acúmulo de placa bacteriana. Para ello debe realizarse bajo la supervisión de los padres o tutores del menor asegurando así una correcta limpieza de dientes, encías y aparato. Los utensilios para realizar una correcta higiene son: cepillo manual u eléctrico, irrigador bucodental, pasta fluorada adaptada a la edad del paciente y colutorio dental de uso diario.
Es necesario llevar a cabo una buena higiene bucal cuando se usa el disyuntor dental. Por eso, es importante cepillarse los dientes, al menos, tres veces al día y usar un enjuague bucal, prestando especial atención a la zona del paladar.
Medidas de Alimentación
Para evitar la rotura o descementado del aparato, debes evitar comer alimentos duros como pan (excepto mollete o pan de molde), caramelos, chocolate, frutos secos, palomitas, aceitunas con hueso…etc. También deberás evitar comer embutidos con mucho tocino, ya que podrían enrrollarse en el aparato pudiendo atragantarte. Los chicles y caramelos masticables tipo «Sugus» están prohibidos.
Para los pacientes con disyuntores dentales, lo más recomendable es evitar los alimentos pegajosos como chicles o gominolas que puedan adherirse al aparato. Evitar los movimientos de palanca: comer bocadillos o manzanas a mordiscos también puede romper el aparato.
Efectos Secundarios y Qué Esperar
De manera habitual notarás un espacio entre los dos incisivos centrales superiores, pudiendo llegar a ser del tamaño de un diente (10mm) si el espacio es muy grande. Esto es un signo favorable de que la disyunción está realizándose correctamente.
Puede notarse una ligera presión o dolor leve en la zona del entrecejo, pómulos, dientes, nariz… ya que la acción del disyuntor es a nivel de todo el maxilar superior. Puedes emplear el uso de analgésicos como Paracetamol (consulta a tu ortodoncista en caso de alergia).
Es normal experimentar un aumento en la producción de saliva. Se normalizará en pocos días. El niño debe aprender a tragar saliva.
Los primeros días puede sentirse raro, y le puede costar tragar. Deberás de comenzar con alimentos fáciles de digerir (purés, tortilla…) y, más adelante, incorporar alimentos más complejos (carne, bocadillos..).
Proceso de Instalación y Activación
Para comenzar con el proceso de colocación de un disyuntor, el ortodoncista debe realizar una revisión completa de la boca, que se complementa con imágenes del interior y exterior de la cavidad bucal.
- Instalación del disyuntor: El dispositivo se fija a los dientes superiores (normalmente los molares) mediante bandas metálicas o soportes adhesivos.
- Instrucciones iniciales: El ortodoncista enseña al paciente o a sus padres cómo activar el tornillo del aparato usando una llave especial.
- Proceso: El paciente activa el tornillo del disyuntor siguiendo las instrucciones del ortodoncista.
- Signos visibles: Es común que aparezca un espacio entre los dientes frontales superiores (diastema).
- Retirada del aparato: Una vez que el hueso se ha consolidado completamente, el ortodoncista retira el disyuntor.
Visitar al ortodoncista de forma regular es la forma de asegurarse de que el tratamiento tenga éxito.
Coste del Tratamiento
Por lo general, el precio de un disyuntor de paladar parte de unos 600 euros. El precio de un disyuntor de paladar varía según diversos factores, como el tipo de aparato, la complejidad del caso, las consultas y seguimientos. Así, el profesional determinará qué tipo de disyuntor palatino es más adecuado en función de su edad, su desarrollo óseo y la fase de recambio dentario en la que se encuentre.
Tabla Resumen de Tipos de Disyuntores
| Tipo de Disyuntor | Edad Recomendada | Características | Ventajas |
|---|---|---|---|
| McNamara | 6-12 años (dentición temporal) | Férulas cementadas a molares, estructura metálica con tornillo | Ideal para niños pequeños con mordida abierta |
| Bandas | 9-12 años (dentición mixta) | Bandas cementadas a molares | Adecuado para niños en fase de dentición mixta |
| MARPE/MSEII | 13-25 años | Cementado al hueso con microtornillos | Efectivo en pacientes mayores, evita cirugía |
| Hass | Variable | Bandas de metal ajustadas a los molares | Expansión directa y efectiva |
| Híbrido con Mini-Implantes | Adolescentes y Adultos | Tornillo expansor con mini-implantes | Menos presión en dientes, expansión estable |
| SARPE | Adultos | Combinación de cirugía y disyuntor fijo | Expansión efectiva en adultos con hueso no flexible |
| Quad Helix | Variable | Alambre con cuatro hélices | Expansión gradual y suave |