Nuestra salud bucodental y el estómago tienen una conexión directa. A menudo, el estado de tus dientes y encías afecta al resto de tu organismo, influyendo en la aparición de otras problemáticas. Además, es muy importante tener en cuenta que disfrutar de una buena salud oral también es positivo para tu salud general.

Relación entre Problemas Digestivos y Salud Bucal
¿Cuál es la relación entre los problemas digestivos y la salud bucal? Diversos estudios han vinculado los problemas de salud oral a enfermedades del sistema digestivo -como por ejemplo, la enfermedad de Crohn-. Cuando las bacterias que alberga el estómago y que forman la microbiota sufren alteraciones, derivan en afecciones como la mencionada enfermedad de Crohn o la colitis ulcerosa.
Otra de las maneras cómo se vinculan problemas digestivos y salud bucodental es a través de una mala masticación. Muchas veces el experimentar molestias estomacales se debe a un problema puntual, como haber ingerido un alimento en mal estado. En caso de no saber qué provoca los síntomas, lo más aconsejable es recurrir a la medicina general.
Reflujo Gastroesofágico y su Impacto en la Salud Dental
El reflujo gastroesofágico o reflujo ácido ocurre cuando el esfínter esofágico inferior (válvula que controla el paso de contenido del esófago hacia el estómago) se altera y/o se relaja de forma inadecuada, haciendo que el contenido del estómago (contenedor de pH ácido) vuelva a pasar al esófago. Este contenido ácido irrita la mucosa esofágica. Su principal síntoma es una molesta sensación de ardor.
Cuando el contenido regresa del estómago al esófago, aparecerá un aumento de acidez en nuestra boca. La acidez erosionará el esmalte de la pieza dental y con el tiempo irá exponiendo la dentina. Un pH ácido favorece la desmineralización del esmalte, la capa más externa de los dientes.

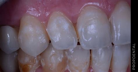
Consecuencias del Reflujo Ácido en los Dientes
- Caries: La desmineralización del esmalte dental, formará una mancha blanca en la superficie del diente. Con el tiempo, la exposición al acido oscurecerá su color a marrón o negro. Al llegar a la dentina se producirán cavidades (agujeros).
- Estética dental: La desmineralización afecta directamente los incisivos y caninos.
- Sensibilidad dental: El esmalte dental actúa como aislante térmico de la dentina. La dentina es un tejido poroso que posee una comunicación directa a la pulpa dental.
En ocasiones el efecto degradante que el reflujo gástrico genera el esmalte hace que los dientes se vayan amarilleando. Esto se produce porque la dentina (la estructura dental que recubre el esmalte) tiene color amarillo. Otro efecto negativo del reflujo en tus dientes es la aparición de sensibilidad dental. Estas personas es difícil que pueden comer alimentos fríos o calientes por que les provoca molestias importantes. Esto se prodice porque el esmalte dental actúa de cierta manera como un aislante térmico de la dentina.
Otras afecciones en la boca son las apariciones de úlceras en la mucosa oral de repetición que generan dolor y/o escozor y disminución del flujo salival que provoca la sensación de boca seca. Para prevenir este tipo de lesiones lo primero es controlar el reflujo reduciendo los factores de riesgo como la dieta picante, tabaco, obesidad, etc. También se recomienda no tumbarse o dormir inmediatamente después de las comidas y dormir con el tronco ligeramente elevado o apoyado sobre el lado izquierdo.
Helicobacter Pylori y su Relación con la Salud Bucal
Helicobacter pylori (H. pylori) es una bacteria gramnegativa que puede colonizar la mucosa del estómago y provocar afecciones gástricas como la úlcera péptica, la gastritis crónica o incluso ciertos tipos de cáncer. Se estima que la infección por H. pylori afecta a más de la mitad de la población mundial, aunque la prevalencia es mayor en países en vías de desarrollo.
La mayoría de las personas infectadas por H. pylori no presentan manifestaciones clínicas. Cuando aparecen signos o síntomas, suelen estar relacionados con la gastritis o la úlcera péptica e incluyen dolor o ardor de estómago, náuseas, vómitos, eructos frecuentes, indigestión, pérdida del apetito y pérdida de peso no intencionada.
Generalmente, H. pylori se transmite por contacto directo con saliva, vómitos o heces de personas infectadas, o bien a través aguas contaminadas.
¿Puede influir la periodontitis en la infección gástrica por Helicobacter pylori?
Aparte de su localización gástrica, H. pylori puede encontrarse en la cavidad bucal. Algunos autores han descrito que la cavidad bucal podría actuar como un posible reservorio de este microorganismo y constituir una fuente de reinfección a nivel gástrico.
Otros estudios han hallado una potencial correlación entre la periodontitis y la presencia de H. pylori en la cavidad bucal, siendo este último un posible factor de periodontitis. Sin embargo, no está del todo claro si la presencia de periodontitis puede favorecer la infección gástrica por H. pylori.
Un estudio mostró que los individuos con periodontitis tienen una mayor probabilidad de desarrollar infección gástrica por H. pylori que los individuos sin periodontitis. Los autores del trabajo recomendaban que los profesionales sanitarios insistieran en la higiene bucal regular además de llevar a cabo nuevos tratamientos para los pacientes con periodontitis, especialmente en aquellos con mayor riesgo de infección por H. pylori.
En relación con la higiene bucal y el tratamiento de los pacientes con periodontitis, cabe destacar que los enjuagues con clorhexidina y cloruro de cetilpiridinio son una excelente medida adyuvante en el tratamiento y mantenimiento de las enfermedades periodontales.
Dolor Estomacal: Causas Comunes
El dolor en la boca del estómago, lo que denominamos una epigastralgia, es un tipo de dolor abdominal muy habitual que puede desencadenarse por distintas causas. La mayoría de ellas son banales y de origen digestivo, pero en ocasiones pueden ser un dolor debido a enfermedades potencialmente graves o cuyo origen no es digestivo.
El dolor estomacal se caracteriza por aparecer en el centro de la parte alta del abdomen, por debajo de las costillas y puede quedarse localizado ahí o bien irradiarse hacia los costados del abdomen, la espalda o ascender hacia la cavidad torácica. En función de las características de dolor, la ubicación y los síntomas acompañantes se puede orientar la causa del dolor y el posible tratamiento.
Causas del Dolor Estomacal
El dolor estomacal puede ser causado por:
- Inflamación de una víscera abdominal
- Inflamación peritoneal
- Origen extra abdominal
- Origen psicógeno
Dolor por Inflamación de una Vícera Abdominal
- Gastroenteritis aguda: Se puede acompañar de náuseas, vómitos y diarreas, así como de fiebre. El tratamiento es hidratación y dieta astringente.
- Gastritis: Se caracteriza por ser urente, como una quemazón, suele aparecer después de la ingesta y se alivia al comer o con la toma de antiácidos.
- Cólico biliar: Es un dolor que aparece en la parte derecha alta del abdomen pero que puede aparecer también como dolor en la boca del estómago y que se puede irradia hacia la espalda.
- Pancreatitis aguda: Se caracteriza por un dolor epigástrico que se irradia tanto hacia la parte alta izquierda del abdomen y hacia la espalda y mejora al sentarse inclinado hacia delante.
- Apendicitis: Se caracteriza por un dolor que se puede iniciar a nivel de la boca del estómago y se acompaña de náuseas, vómitos, fiebre y malestar general.
Dolor por Inflamación Peritoneal
- Úlcera gastroduodenal perforada: Se caracteriza por un dolor de inicio brusco, muy intenso, con abdomen duro y con antecedente de úlcera gastroduodenal.
- Rotura de aneurisma de aorta: Puede presentarse como un dolor estomacal intenso, de inicio brusco, que se irradie a la espalda que mejora al sentarse y empeora al estar tumbado.
Dolor de Origen Extra Abdominal
- Esofagitis: Se puede presentar como un dolor estomacal o bien en la zona esternal, en el centro del pecho, que se suele referir como un ardor o una quemazón.
- Espasmo esofágico: Consiste en contracciones espontáneas y repetidas del esófago que están causadas por la deglución.
- Cardiopatía isquémica: Especialmente si afecta a la cara inferior del corazón, puede presentarse como un dolor no en el centro del pecho sino en la boca del estómago.
- Pericarditis: Puede aparecer también como un dolor irradiado hacia la boca del estómago y calma, como la pancreatitis, al sentarse inclinado hacia delante.
Dolor de Origen Psicógeno
Es muy frecuente que aparezca en estados de nervios, ansiedad o alteraciones del estado de ánimo. La patología psiquiátrica se manifiesta a nivel orgánico con mucha frecuencia como síntomas digestivos.

Halitosis: ¿Problema Estomacal o Bucal?
Es más habitual de lo que parece: alguien se lava los dientes y, a los pocos minutos, se da cuenta de que sigue teniendo mal aliento. Aunque la más habitual está relacionada con la mala higiene bucal, también puede tener otros orígenes, como algún problema del sistema digestivo.
El estómago está directamente conectado con el esófago que, a su vez, está unido a la cavidad bucal. Si surge algún problema o mal funcionamiento a lo largo del trayecto del tubo digestivo, puede traducirse en mal aliento. La bacteria ‘Helicobacter pylori’ suele ser la causante de la infección gástrica que provoca, entre otros, la halitosis.
El mal aliento originado en el estómago tiene un tratamiento seguro y eficaz. Existen tests que determinan la presencia de la bacteria ‘Helicobacter pylori’ en el organismo. Si la halitosis es de origen gástrico, al eliminar esta bacteria se dejará de tener mal aliento. Esto confirma la relación entre la infección y la halitosis. El tratamiento puede incluir el uso de antibióticos y otros medicamentos.
Aproximadamente el 90% del mal aliento es de origen bucal. El resto, ese 10%, es el que tiene un origen extraoral, es decir, proviene de un lugar que no es la boca, como el estómago, el aparato respiratorio u otras causas. El odontólogo se encargará de detectar si la halitosis es de origen oral o extraoral. En caso de ser extraoral (se produce fuera de la boca), derivará al paciente al médico correspondiente.
Es habitual que los pacientes con sospecha de mal aliento de origen estomacal soliciten una endoscopia digestiva para explorar el esófago y el estómago. Sin embargo, este no debería ser el estándar. Normalmente, la primera prueba que se realiza es un test del aliento (cromatografía de gases), para detectar la presencia bacteriana. Posteriormente, la endoscopia sí que puede ser útil cuando existe sintomatología digestiva para el diagnóstico de patología asociada.
Limpia tu lengua y usa para completar la higiene, un enjuague bucal. Recuerda que hay pastas dentífricas y enjuagues específicos para ayudar a tener un aliento fresco. Intenta que tu alimentación sea equilibrada.
Caries Dental y Problemas Estomacales: Una Relación Indirecta
La relación entre la caries dental y los problemas estomacales no es directa, pero pueden estar relacionados indirectamente a través de ciertos factores y hábitos.
- Dieta: una dieta rica en azúcares y carbohidratos puede aumentar el riesgo de caries dental y también puede contribuir a problemas estomacales como la indigestión y el reflujo ácido.
- Higiene oral deficiente: la falta de una adecuada higiene oral puede permitir que las bacterias se acumulen en la boca, formando placa dental, que puede contribuir tanto a la formación de caries como a problemas estomacales.
- Medicamentos: algunos medicamentos utilizados para tratar problemas estomacales, como los antiácidos, pueden disminuir la producción de saliva, lo que puede aumentar el riesgo de caries dental.
- Estrés: tanto el estrés crónico como los problemas estomacales, la gastritis y el síndrome del intestino irritable, pueden tener un impacto en la salud bucal.
Mantener una Buena Higiene Oral
Mantener una buena higiene oral es la mejor manera de prevenir patologías bucodentales que puedan derivar en problemas bucodentales.
Cuando comemos, los alimentos convertidos en el bolo alimenticio pasan desde nuestra boca hasta el estómago a través del esófago. Cuando este esfinter o anillo muscular no realiza correctamente su función los contenidos del estómago pueden volver al esófago acompañados de los ácidos gástricos encargados de la digestión. En estos casos, además de tratar las posibles causas del reflujo gástrico (hernia de hiato, obesidad, embarazo, esclerodermia, tabaquismo, etc.), un paciente con acidez tendrá que cuidar especialmente su higiene bucodental y tratar de mantener el pH adecuado en su cavidad oral.
Un especialista digestivo será el encargado en diagnosticar y aplicar el tratamiento adecuado. Evitar recostarse luego de las comidas. Posiciones corporales: Evitar recostarse luego de las comidas.
Prestar atención al estado de tus dientes y encías es fundamental por muchos motivos. La boca aloja una gran cantidad de bacterias.