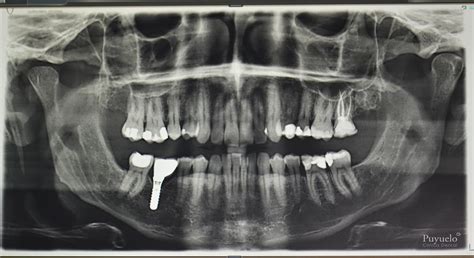
La ortopantomografía, también conocida como radiografía panorámica dental, es una técnica de imagen que captura una visión completa de la boca, incluyendo todos los dientes, la mandíbula y las estructuras circundantes. Es una herramienta esencial para el diagnóstico y la prevención de problemas dentales.

¿Qué es una Radiografía Panorámica?
La radiografía panorámica es una técnica radiológica que muestra las estructuras óseas (los maxilares, la articulación de la mandíbula y los dientes) del rostro del paciente en una sola imagen general. Para ello, se vale de una máquina de rayos X especial, que rota alrededor de la cabeza del paciente.
Importancia en Odontología
Con un mero golpe de vista, un odontólogo experimentado puede detectar problemas que no habría podido identificar con un mero examen visual. Además de para el odontólogo general, la información contenida en una de estas ortopantomografías es muy valiosa para los profesionales de ramas odontológicas como la cirugía oral, la implantología, la ortodoncia o la periodoncia.
¿Cómo se Realiza una Ortopantomografía?
Para realizar una radiografía panorámica, los odontólogos se valen de un aparato de rayos X muy similar a los convencionales. Para realizar una ortopantomografía, el paciente debe colocar su cabeza dentro del ortopantomógrafo y morder un pequeño reborde de plástico mientras la máquina toma las imágenes.
El procedimiento es rápido y no invasivo:
- Te pediremos que te quites cualquier objeto metálico (como joyas, gafas, prótesis dentales removibles) de la cabeza y el cuello, ya que pueden interferir con la calidad de la imagen.
- Te situarás de pie o sentado en el equipo de radiografía ortopantomografía.
- Colocarás la barbilla en un soporte especial y, en algunos casos, te pedirán que muerdas suavemente una pequeña pieza de plástico para estabilizar la cabeza y asegurar la correcta alineación de la boca.
- El aparato girará alrededor de tu cabeza mientras toma la imagen RX panorámica dental. Este proceso dura solo unos pocos segundos y no causa ninguna molestia.
- Inmediatamente después de la toma de la imagen, el dentista revisará la ortopantomografía panorámica dental para asegurarse de que es clara y adecuada para el diagnóstico. Si es necesario, se puede repetir el procedimiento para obtener una imagen óptima.
Por supuesto, las radiografías panorámicas no causan dolor alguno al paciente y utilizan una radiación ionizante mínima.
Para qué sirve una radiografía
Ventajas de la Ortopantomografía
Las ortopantomografías ofrecen múltiples ventajas que mejoran significativamente la calidad del diagnóstico y tratamiento dental:
- Diagnóstico Completo: Proporciona una visión integral de todas las estructuras bucales, incluyendo dientes, mandíbula y estructuras circundantes, lo que permite una evaluación detallada y precisa de la salud dental.
- Detección de Problemas Ocultos: Identifica problemas que no son visibles durante una revisión regular, como caries dentales, dientes infectados o quistes dentales, lo que permite un tratamiento temprano y efectivo.
- Planificación de Tratamientos: Es crucial para planificar tratamientos de ortodoncia, implantes y extracciones.

Tipos de Radiografías Dentales
En la primera visita, normalmente los dentistas realizan una o varias radiografías para diagnosticar posibles problemas. Las radiografías consisten en un tipo de energía lanzada desde el disparador de rayos, que es capaz de atravesar los tejidos, tanto duros como blandos.
Existen dos tipos principales de radiografías dentales:
Radiografía Intraoral
Son las que se toman dentro de la boca. Suelen ser radiografías de pequeño tamaño, que sirven para valorar 1-3 dientes con el máximo detalle y precisión. Son las radiografías que menos radiación necesitan, por lo que pueden realizarse varias para un tratamiento completo. Este tipo de radiografías incluye las Rx de Aleta de mordida (para el diagnóstico de caries entre dientes en la zona de molares y premolares), y las radiografías periapicales (muestran toda la raíz del diente a diagnosticar).
Radiografía Extraoral
Son las que se toman fuera de la boca. Suelen realizarse con máquinas grandes en salas plomadas dentro de la clínica dental. Sirven para valorar de manera global el conjunto de los dientes, hueso y estructuras. Este tipo de Rx incluye las radiografías panorámicas o ortopantomografías o el TAC Dental 3D (para planificación de implantes dentales).
Con la radiografía digital tanto intraoral como extraoral, se recibe mucha menos radiación que con la radiografía convencional o de películas.
Radiación en las Radiografías Dentales
Cuando se realiza una radiografía dental, la radiación pasa a través de los tejidos del paciente, y una pequeña parte es absorbida. Esta radiación se mide en “milisieverts” (mSv) y es conocida como “dosis efectiva”. Esta radiación recibida se compara con la “radiación natural de fondo” que es la cantidad de radiación recibida de fuentes naturales, como la exposición al sol, teléfonos o satélites.
La dosis de radiación es mínima y si se cumplen con las normas de protección, los riesgos son prácticamente nulos. Las mujeres embarazadas o que creen estarlo, deben evitar todo tipo de radiografías porque esta radiación puede afectar al desarrollo del feto.
Tabla Comparativa de Radiación
| Tipo de Radiografía | Dosis Efectiva (mSv) | Comparación con Radiación Natural de Fondo |
|---|---|---|
| Radiografía Intraoral | Baja | Similar a la radiación natural diaria |
| Radiografía Extraoral (Panorámica) | Moderada | Equivalente a unos pocos días de radiación natural |
| TAC Dental 3D | Alta | Equivalente a varios meses de radiación natural |
Vitaldent: Cuidado de tu Salud Dental
En Vitaldent cuidamos de tu salud desde el primer día. Por eso, tu primera visita es gratuita e incluye una atención personalizada y un diagnóstico completo:
- Revisión inicial completa: te realizaremos una radiografía panorámica y una exploración detallada para conocer el estado real de tu boca.
- Diagnóstico personalizado: uno de nuestros odontólogos estudiará tu caso y, si es necesario, llevará a cabo pruebas adicionales con tecnología avanzada, como escáner intraoral o TAC, para obtener un análisis más preciso.
- Plan de tratamiento y presupuesto: te entregaremos una propuesta de tratamiento con opciones de financiación adaptadas a tus necesidades.
Nuestro equipo estará contigo en todo momento para guiarte y resolver todas tus dudas. En Vitaldent tu salud es lo primero.
Beneficios Adicionales en Vitaldent
Con Mi Vitaldent podrás disfrutar de varias prestaciones gratuitas y otros descuentos exclusivos desde el primer momento. Tendrás hasta 25 servicios dentales sin coste alguno: extracciones, fluorizaciones, radiografía panorámica… Y, además, podrás conseguir también un 5% de descuento.
Preguntas Frecuentes sobre Radiografías Dentales
Aquí respondemos algunas preguntas comunes sobre las radiografías dentales:
- ¿La primera visita tiene coste? No, en Vitaldent ofrecemos una primera consulta gratuita a todos nuestros pacientes.
- ¿Cómo pedir una cita? Puedes contactar directamente con tu clínica Vitaldent más cercana a través del buscador en nuestra página web.
- ¿Cuál es el horario de las clínicas Vitaldent? La mayoría de nuestras clínicas dentales ofrecen un horario amplio e ininterrumpido, desde las 09:00 hasta las 21:00 horas. Sin embargo, te recomendamos verificar el horario específico de tu clínica más cercana en nuestro buscador.
- ¿Cuáles son las formas de pago de los tratamientos? En Vitaldent ofrecemos distintas facilidades de pago para adaptarnos a las preferencias y necesidades de cada paciente. Contamos con diferentes planes de pago para que financies tu tratamiento como mejor te venga.
- ¿Puedo continuar mi tratamiento en otro centro si me mudo? Por supuesto. Una de las principales ventajas de ser paciente de Vitaldent es el acceso a nuestra gran red de clínicas, compuesta por más de 400 centros.
tags: #donde #hacen #radiografia #panoramica #dental