Las carillas dentales son una de las soluciones estéticas más populares en odontología. Este tratamiento estético consiste en adherir unas finas láminas a la parte frontal de los dientes, confeccionadas a medida de cada paciente.
Para corregir dientes fracturados, manchados, desalineados, desgastados o con una separación anormal, normalmente recurrimos a las carillas dentales estéticas. A diferencia de las coronas dentales, que cubren toda la estructura del diente, las carillas solamente son colocadas en la cara frontal visible de los dientes.
Es un tratamiento ideal para mejorar el color de los dientes, alinear pequeñas malposiciones, corregir la forma o reponer estéticamente la falta de dientes, desaparecer los espacios negros de las encías y cerrar los espacios entre los dientes. Es la mejor opción para mejorar anomalías o defectos de dientes, ya que se pega directamente sobre él y no produce ningún tipo de daño ni en la encía, ni en el diente.
El tratamiento dental de las carillas nos permite cambiar la sonrisa del paciente en un periodo de tiempo mínimo, sin anestesia, sin desgastar sus dientes y sin provisionales. Son carillas que poseen un mínimo espesor (como una lente de contacto) se adaptan a cada uno de sus dientes dando la forma y color adecuado.
Cada vez se hacen más populares las carillas dentales, pero… ¿realmente conoces en qué consisten? La intención de una carilla dental es mejorar la estructura e imagen externa de los dientes, transformando la apariencia hasta obtener una sonrisa perfecta.
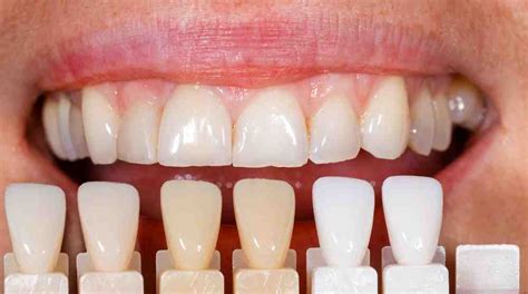
Una carilla es un recubrimiento estético que tiene su propia textura, firmeza y color. Se fabrica tomando de referencia la tonalidad del resto de piezas dentales, por lo que se integra perfectamente en la sonrisa. No es una sustancia o tónico que tiña los dientes, por lo que no afecta a su color.
¿Cuánto tiempo duran las carillas dentales?
¿Duele la colocación de las carillas dentales?
Esta es una de las preocupaciones más comunes en nuestros pacientes. La colocación de las carillas dentales no requiere ningún tipo de anestesia local y es totalmente indolora. Lo único que el paciente puede experimentar es una ligera molestia en la encía, pero es momentánea.
Primero que nada debes tener claro que es un tratamiento indoloro, no hay necesidad de colocar ni anestesia local. Es muy sencillo de realizar y los resultados son inmediatos.
Las carillas dentales no producen ningún dolor, solo puede experimentarse una presión por el movimiento de las herramientas o alguna molestia en las encías, pero desaparece en segundos y no ocasiona verdadero malestar.
Generalmente no es doloroso. Se puede usar anestesia local durante la preparación del diente para mayor comodidad.
Me las ha recomendado mi dentista, aunque me ha derivado a otro para hacerlo, y ahora tengo que ir a una sesión con él. No son dolorosas, pero la manipulación de las encías en todo el proceso de preparación y colocación se hace con anestesia local que te durará un par de horas.
En resumen:
- Generalmente indoloro: No suele requerir anestesia.
- Posible molestia leve: Puede haber una ligera molestia en las encías.
- Anestesia opcional: Se puede usar anestesia local para mayor comodidad.
Tipos de Carillas y su Duración
La duración de las carillas dependerá directamente del material que elijas.
La duración de las carillas depende del material del que estén fabricadas y del uso que les demos. Las carillas de composite pueden durar 5-7 años, mientras que las de porcelana pueden llegar hasta los 15 años de funcionalidad.
Las carillas dentales se terminan desgastando con su uso, por lo que es importante que se cuiden correctamente con una higiene bucodental eficaz y unos hábitos de alimentación sanos.
Las carillas de porcelana suelen tener una duración de entre 10 y 15 años, mientras que las de composite entre 5 y 7 años.
Según el estudio «tasa de supervivencia clínica y fracaso de laboratorio de las carillas dentales» publicado en PubMed, la base de datos que aúna las principales publicaciones biomédicas y de ciencias de la vida en la Biblioteca Nacional de los Institutos Nacionales de Salud de EE.UU, confirmó que la durabilidad puede optimizarse usando un material de calidad como las carillas de porcelana E-max y gracias a una preparación mínimamente invasiva del diente.

Tabla Comparativa de Duración
| Tipo de Carilla | Duración Estimada |
|---|---|
| Composite | 5-7 años |
| Porcelana | 10-15 años |
Consideraciones y Riesgos de las Carillas Dentales
Como cualquier tratamiento, no están exentas de limitaciones. En este artículo no sólo hablaremos de los beneficios y ventajas de realizarse este tratamiento de estética dental, sino que también exploramos con detalle las desventajas e inconvenientes de las carillas dentales, con el objetivo de ayudarte a valorar si es la opción más adecuada para ti.
Aunque existen riesgos asociados con este tratamiento, se pueden evitar siempre y cuando consultes con un especialista cualificado.
Es posible que haya que realizar un tratamiento de ortodoncia previo. Si existe enfermedad de las encías (periodontitis) es necesario controlarla antes de ponerse carillas ya que podría poner en riesgo la correcta adhesión de las carillas e incluso podría agravar la inflamación en las encías. Cuando el esmalte está muy dañado debido a caries, fracturas o erosión, las carillas pueden no tener una buena superficie de adhesión y ser más propensas a romperse o desprenderse.
El Consejo General de Dentistas ha lanzado recientemente un comunicado alertando a los ciudadanos de una peligrosa tendencia que se está extendiendo en las redes sociales. Muchos de estos tratamientos se hacen en apenas unas horas, siendo imposible dedicar el tiempo suficiente a realizar un diagnóstico completo o una planificación personalizada para cada paciente.
“Todo tratamiento conlleva unos riesgos, y si no se evalúa correctamente el estado bucodental de cada persona, pueden surgir inconvenientes a corto y largo plazo, como sensibilidad dental, problemas en las encías e, incluso, la pérdida dental. Viajar a otro país para someterse a un proceso sanitario no es una aventura, es una temeridad”, sentencia el Dr.

Puntos Clave a Considerar
- Irreversibilidad: Para colocar las carillas adecuadamente hay que preparar el diente a través de un contorneado estético que facilite su adhesión. Esto es irreversible y puede debilitar el diente si no se realiza adecuadamente.
- Posible sensibilidad: Como se trabaja directamente sobre el esmalte, puede haber sensibilidad al frío o al calor, especialmente los primeros días.
- Bruxismo: El bruxismo puede dañar o fracturar las carillas. Si tienes hábitos de apretar los dientes también debes eliminarlo, porque pudiesen romperse.
- Salud gingival: Si están bien colocadas, no. Pero si están mal adaptadas, pueden causar inflamación, sangrado o recesión gingival.
- Adhesión: Cuando el esmalte está muy dañado debido a caries, fracturas o erosión, las carillas pueden no tener una buena superficie de adhesión y ser más propensas a romperse o desprenderse.
Cuidados Especiales de las Carillas Dentales
Una rutina de higiene bucal adecuada es indispensable para mantener unas carillas perfectas. No hay que realizar ningún mantenimiento especial.
Recuerda lavarte los dientes con suavidad después de las comidas, ya que el exceso de agresividad en el cepillado puede dañar la carilla. Completa tu rutina de limpieza con seda dental o enjuague bucal para llegar a todos los rincones de tu boca.
Las carillas pueden estropearse con el paso del tiempo. Hay que tener en cuenta que son como nuestros dientes, por lo que no podrán soportar las presiones que un diente natural no sea capaz de resistir. Por tanto, hay ciertos hábitos que conviene evitar como morderse las uñas, cortar celo o someterlas al contacto directo con el hielo.
Si una carilla se rompe o se despega, debes acudir al dentista cuanto antes. Dependiendo del daño, se puede volver a cementar o habrá que fabricar una nueva.
¿Para Quién No Son Recomendables las Carillas Dentales?
Desgraciadamente, las carillas dentales no son un tratamiento para cualquier paciente. Están desaconsejadas en casos de bruxismo, ya que la acción de apretar los dientes puede dañarlas. Además, es posible que las carillas no se adhieran correctamente si el esmalte del paciente no está sano.
En casos de problemas periodontales o movilidad dentaria, será necesario un tratamiento previo al de las carillas dentales.