Un puente dental fijo es una prótesis diseñada para restaurar tanto la función como la estética dental. Actualmente, los puentes dentales fijos sobre implantes son una opción común para pacientes con múltiples ausencias dentales que buscan recuperar su función masticatoria y estética.
En este artículo, exploraremos en detalle el puente Maryland, un tipo de prótesis fija que se utiliza para reemplazar un solo diente perdido, enfocándonos en sus ventajas y desventajas, especialmente en la región anterior de la boca.

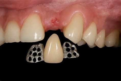
¿Qué es un Puente Dental Maryland?
Aunque no es tan conocido por su nombre, el puente Maryland es uno de los tipos de puentes que más se colocan en las clínicas dentales. Esto se debe a que ofrece muchas ventajas y está indicado en situaciones muy concretas. Se trata de una prótesis fija que se utiliza para sustituir un único diente que se ha perdido. Al igual que otros puentes, se apoya en los dientes vecinos, pero se diferencia en su método de fijación: para colocar un puente Maryland no es necesario tallar los dientes adyacentes.
En esencia, el puente Maryland es una prótesis parcial fija que no se coloca sobre los dientes sanos de soporte. La principal ventaja de este tratamiento odontológico, que se realiza desde los años 80, es que es poco invasivo. Por lo tanto, tampoco requiere el tallado previo de ningún diente. La mayoría de las veces, el procedimiento se hace sin anestesia. Por último, el traumatismo que implica esta opción para los dientes de apoyo no es significativo.
Este tipo de sujeción ofrece al puente Maryland una estabilidad limitada, por lo que normalmente se usa para reemplazar dientes anteriores (frontales) debido a que tienen un menor peso en la masticación. Los estudios demuestran que, en general, el grado de satisfacción de los pacientes es alto.
Un puente Maryland suele ser una solución provisional para los pacientes que acaban de someterse a una cirugía implantológica. Después de la intervención, los tejidos de la boca necesitan unas semanas hasta que cicatrice la encía y los tejidos óseos. Aunque varía en función de cada paciente, este periodo de recuperación puede alargarse unos tres meses, como promedio. Durante este tiempo, un puente Maryland les permite recuperar la estética y la funcionalidad de su diente perdido (de forma provisional), sin afectar al proceso de cicatrización.
Tipos de Puentes Dentales
Existen diferentes tipos de puentes dentales, cada uno con sus propias características y aplicaciones:
* Puente dental tradicional: Consiste en una o más prótesis dentales que se sujetan mediante coronas dentales a los dientes adyacentes a la pieza perdida. Este tipo de puente es el más popular y se puede colocar siempre que haya dientes naturales sanos en ambos lados del espacio que ha dejado la pieza perdida.* Puente dental voladizo: Los puentes voladizos son muy similares a los tradicionales, pero el bloque de prótesis dental se sostiene mediante una corona dental sobre un solo diente.* Puente fijo sobre implantes: Los puentes fijos sobre implantes son la opción idónea cuando faltan varias piezas dentales. En vez de sujetarse sobre dientes sanos, se atornillan a los implantes dentales.
En función del material con el que han sido fabricados, podemos distinguir varios tipos de puentes Maryland:
* Puente Maryland de metal porcelana: Generalmente, este es el tipo de puente menos estético.* Puente Maryland de porcelana: Este tipo de puente Maryland está confeccionado, únicamente, con porcelana. Por ello, su estructura es mucho más estética.* Puente Maryland de zirconio: El zirconio es, actualmente, uno de los mejores materiales para restaurar los dientes, ya que aúna estética y resistencia.Ventajas del Puente Maryland
El puente Maryland ofrece varias ventajas significativas:
* Procedimiento mínimamente invasivo: Precisamente, la ausencia de tallado hace que el tratamiento sea menos invasivo. Por ello, uno de los grandes beneficios del puente Maryland es que resulta reversible.* Rapidez: La ausencia de tallado también hace que el tratamiento sea más rápido, ya que no hace falta preparar los dientes antes de colocar el puente Maryland. Adicionalmente, este tipo de prótesis resulta muy práctica para los pacientes que se han sometido a una cirugía de implantes dentales, ya que se puede colocar inmediatamente.* Solución conservadora: Son la alternativa más conservadora.* Mejora de aspecto estético: Una de las ventajas que más buscan los pacientes es la de recuperar el aspecto estético de su sonrisa, que se puede conseguir con la colocación de un puente.* Más baratos que un implante.* Permiten una buena higiene.Desventajas del Puente Maryland
A pesar de sus ventajas, el puente Maryland también presenta algunas desventajas importantes:
* Riesgo de caída: La principal desventaja del puente Maryland es el alto riesgo de que las aletas se despeguen, lo que obliga al paciente a acudir a la clínica dental para que el odontólogo vuelva a cementar la prótesis. Esto, en función del estilo de vida de cada persona (falta de tiempo, viajes…) puede llegar a ser muy molesto. Que a veces los sustituyan, no quiere decir que sean igual de eficaces que los implantes dentales. Los puentes Maryland se desajustan con mucha facilidad y requieren que el paciente vuelva al dentista con frecuencia para que vuelva a cementárselo.* Indicaciones limitadas: Debido a lo anterior, los puentes Maryland no son adecuados para todos los pacientes. Por ejemplo, están contraindicados en personas que ejerzan una excesiva fuerza con los dientes anteriores, como ocurre con aquellas que padecen bruxismo.* Falta de higiene: La propia estructura del puente puede hacer que en ella se acumulen restos de comida y que sea más complejo eliminar dichos residuos con el cepillado.* Necesidad de dientes adyacentes sanos: Dado que el puente Maryland debe apoyarse en las piezas dentales vecinas, es fundamental que estas se encuentren en un buen estado de salud para poder soportar la carga del puente.* Cuando el puente utiliza componentes metálicos, estos pueden verse a través de los dientes anteriores.Como ves, los puentes Maryland presentan una serie de desventajas, las cuales justifican que estén concebidos como una solución temporal a la ausencia de dientes.
Indicaciones del Puente Maryland Anterior
Como ya hemos avanzado, los puentes Maryland se utilizan con mayor frecuencia en los dientes frontales ausentes, como los incisivos (centrales y laterales). Esto se debe a que en la parte anterior de la boca las fuerzas masticatorias son generalmente más bajas que en la zona posterior (la de los molares).
Por lo general, el puente Maryland es una solución temporal a la falta de dientes. En la mayoría de los casos, se utiliza en los pacientes a los que hemos colocado implantes dentales. Por ello, son una solución temporal durante el periodo de curación que comienza tras la cirugía.
Materiales Utilizados
Los materiales dentales han evolucionado mucho en las últimas décadas para ofrecer opciones duraderas y de calidad. Por un lado, la fibra de vidrio conforma la base de la estructura, mientras que el composite la recubre. Esta combinación de materiales mejora la resistencia y reduce el riesgo de desgaste de los dientes sanos.
Higiene y Cuidado del Puente Maryland
La limpieza del puente es un requisito imprescindible para cuidar la prótesis y prevenir la aparición de placa bacteriana y caries. Para ello, se recomienda:
* Hilo dental: Es la herramienta más adecuada para mantener una limpieza exhaustiva de la dentadura con puente. Permite llegar a los espacios entre los dientes donde se acumulan los restos de comida y las bacterias.* Cepillos interdentales: Son pequeños y flexibles, pero los hay de diferentes tamaños. Los filamentos en forma cilíndrica logran limpiar los huecos interdentales.* Irrigador dental: Este dispositivo emite un chorro de agua para llevar a cabo una limpieza más profunda de dientes y encías.* Colutorio: Es muy recomendable la utilización de un enjuague después de lavarte los dientes.
Al igual que con los dientes naturales, los pacientes portadores de prótesis fijas necesitan un cuidado e higiene rutinaria para mantenerlos en un estado saludable. Cobra más importancia si cabe la higiene en las zonas donde existen puentes, ya que es más fácil que los restos de comida y placa se acumulen.
Para poder higienizar los puentes correctamente existen diversos utensilios como el superfloss, el irrigador o los cepillos interproximales, que se introducen en el espacio que existe entre el póntico y la encía para limpiar los restos que puedan quedar atrapados. Además es recomendable evitar morder cosas duras con las prótesis fijas ya que pueden descementarse o incluso fracturarse.
Implantes vs. Puentes Dentales
Aunque el puente es una alternativa perfectamente funcional para sustituir dientes faltantes, no es inocua, por lo que es fundamental analizar cada caso de manera individual y realizar un correcto diagnóstico para elegir el tratamiento más adecuado.
Lo primero que hay que aclarar es que no todos los pacientes son aptos para llevar implantes, por lo que, en estos casos, el puente dental sería la única alternativa para restaurar dientes de forma fija. Por otro lado, para la colocación del puente dental no es necesario realizar ninguna cirugía, algo por lo que sí que hay que pasar en caso de la colocación de implantes.
Pese a que el puente dental tiene algunos aspectos positivos, no hay que olvidar que para ponerlos es necesario tallar los dientes adyacentes aún cuando estos estén sanos. De igual manera, a diferencia de lo que sí que ocurre con el implante, con el puente no hay estímulo en el hueso dental, por lo que este puede comenzar a reabsorberse con el tiempo afectando a la estética y función.
El objetivo de ambos es recuperar la estética y sustituir los dientes faltantes.
Ante la ausencia de un diente, recomendaremos mucho antes colocar un implante que un puente anclado a dos dientes sanos, ya que deberíamos prepararlos para la colocación del puente, debilitándolos y yendo en contra de nuestro principio de mínima invasión y conservación dental.
Una vez colocamos los implantes, si se siguen unos buenos mantenimientos, evitaremos el proceso de reabsorción (pérdida) ósea, ya que el hueso ya tiene donde sujetarse.
En la actualidad, solemos proponer los puentes dentales fijos sobre implantes a aquellos pacientes que sufren varias ausencias dentales y que quieren recuperar su función.
Duración de un Puente Dental
¿Cuánto tiempo puede durar un puente dental? Lo normal es que dure entre 10 y 15 años llevando una muy buena higiene y siguiendo los consejos del odontólogo.
Mal Olor en Puentes Dentales
¿Cómo eliminar el mal olor de los puentes dentales? Deberás lavarte bien los dientes después de cada comida, utilizar el hilo dental y hacer uso de un enjuague bucal si así te lo recomienda el odontólogo.
En resumen, el puente Maryland es una opción valiosa para reemplazar dientes anteriores perdidos, especialmente como solución temporal después de la colocación de implantes. Sin embargo, es crucial considerar sus desventajas y limitaciones antes de tomar una decisión.