Probablemente hayas oído que algunos antibióticos pueden dejar secuelas estéticas en los dientes, pero ¿sabías que uno de los casos más notorios son los dientes grises provocados por la tetraciclina? Si tú o alguien cercano ha experimentado este problema, sabes lo frustrante que puede llegar a ser.
Aquí vamos a explicarte todo lo que necesitas saber, de manera clara, directa y con soluciones que realmente funcionan. La tetraciclina es un antibiótico de amplio espectro que se ha utilizado durante mucho tiempo para tratar diversas infecciones bacterianas.
Las tetraciclinas son un grupo de antibióticos de amplio espectro antibacteriano, que se usaron eficazmente entre los años 60-80 para tratar muchas patologías como infecciones respiratorias, gastrointestinales, urinarias, etc. La tetraciclina es un tipo de antibiótico, es decir, un medicamento que se usa para combatir infecciones causadas por bacterias.
Estos antibióticos tetraciclínicos son muy versátiles y potentes, ya que pueden combatir una amplia gama de bacterias diferentes. La tetraciclina es un antibiótico de amplio espectro que ha sido administrado por los médicos durante muchos años para tratar una larga serie de patologías. En otras palabras, la tetraciclina actúa como un obstáculo en el proceso de fabricación de proteínas de las bacterias.
Lo logra uniéndose a una parte específica de los «ribosomas», que son como las pequeñas fábricas de proteínas dentro de las bacterias, llamadas subunidades 30S.
Pero hace décadas que se descubrió uno de sus más graves efectos secundarios: las manchas y coloración que provoca en los dientes. Sin embargo, las primeras noticias sobre sus efectos adversos llegaron en 1963 de la mano de la FDA (Foods and Drugs Administration).
En España, las tetraciclinas se usaron en todos los grupos de población a lo largo de las décadas de los sesenta y setenta. Todavía sigue siendo muy común ver a personas nacidas en los años 60 y 70 con los dientes con cierto tono grisáceo.
De hecho, si conoces a alguien es muy probable que te haya contado que de pequeño le suministraron un medicamento con tetraciclina que le manchó la sonrisa para siempre. Empezaremos conociendo algunos detalles sobre el fármaco.
La tetraciclina es un inhibidor de síntesis proteico, o lo que es lo mismo, un antibiótico de amplio espectro. Este se emplea para todo tipo de enfermedades microbianas, desde infecciones respiratorias o urinarias hasta acné.
Este fármaco comenzó a emplearse en los años 40. En 1956 surgió la primera hipótesis que lo relacionaba con el oscurecimiento de los dientes en los niños. Y no fue hasta 1963 cuando la FDA (Administración de Medicamentos y Alimentos) advirtió de las posibles consecuencias en los dientes.
Solución Dientes Grises por Tetraciclina u otro Medicamento l Cómo blanquearlos en Adultos
¿Cómo la Tetraciclina Mancha los Dientes?
La tetraciclina mancha los dientes. La tetraciclina es un antibiótico de amplio espectro que se utilizó extensamente entre los años 50 y 90 para tratar diversas infecciones bacterianas.
Aunque eficaz, tiene una consecuencia inesperada: cuando se administra durante el desarrollo dental, puede producir manchas permanentes. Esto sucede, por ejemplo, si la madre tomó el medicamento durante el embarazo o si fue administrado a niños pequeños.
La razón es que la tetraciclina tiene afinidad por el calcio en los dientes en formación. Se integra en su estructura y forma complejos estables que, con el tiempo, se oxidan y adquieren una tonalidad grisácea o marrón. A diferencia de las manchas superficiales provocadas por alimentos o tabaco, estas manchas son internas y, por lo tanto, más difíciles de tratar.
Hoy día la mayoría de los profesionales médicos evitan recetar tetraciclinas a mujeres embarazadas y a niños menores de ocho años precisamente por este efecto adverso. El efecto secundario más notable de la tetraciclina en los dientes es la decoloración. Esto puede manifestarse como manchas amarillas, grises o marrones en los dientes, que pueden variar en intensidad desde leves a severas.
La decoloración de los dientes se debe a la capacidad de la tetraciclina para penetrar y acumularse en los dientes en desarrollo, especialmente en los dientes de leche y en los dientes permanentes que aún no han erupcionado en la boca.
La tetraciclina se une al esmalte y a la dentina de los dientes, que son los tejidos duros que componen la mayor parte de la estructura dental. Una vez que la tetraciclina está presente en estos tejidos, es extremadamente difícil eliminarla.
Según estudios relacionados, la tinción se origina durante el proceso de formación de la dentina. La tetraciclina tiende a unirse con el calcio, por lo que oscurece la composición que conforma los dientes, huesos y articulaciones.
En consecuencia, no se trata de una mancha superficial, sino que es parte del material que conforma la propia pieza dental al formarse. Dicho de otra manera, el diente es grisáceo desde su interior.
Este fenómeno puede afectar, principalmente, a las personas que, con ocho años o menos, consumieron este antibiótico. Sin embargo, también son objeto de estudio todos aquellos que recibieron el medicamento a través de su madre, ya sea en la gestación o durante la lactancia.
El tiempo y el momento determinan el número de piezas implicadas y el nivel de afección. Aumento de la sensibilidad dental: La tetraciclina puede hacer que los dientes sean más sensibles al calor, al frío y a los dulces.
La tetraciclina, cuando se administra durante la etapa de desarrollo de los dientes (embarazo y primera parte de la infancia) causa decoloraciones permanentes en los dientes. Generalmente, estas manchas se presentan en forma de bandas horizontales que pueden ser de diferentes tonalidades (amarillo, gris oscuro o marrón).
El uso de tetraciclina en el embarazo (durante el segundo y tercer trimestre) o en los niños menores de 8 años, puede provocar manchas permanentes en los dientes del niño, tanto en los dientes temporales como en los definitivos. Estas manchas no afectan a la resistencia o dureza del diente, pero sí a su estética.
Advertir que éstas manchas únicamente afectan la dentadura de forma estética sin afectar la estructura de los dientes.

¿Cómo son las manchas por tetraciclina?
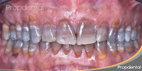
Como son las manchas por tetraciclina: dientes grisáceos en bandas. Las manchas de tetraciclina son discromías o alteraciones del color dentario. Las manchas provocadas por tetraciclina no son simples manchas individuales.
Se distribuyen en patrones de bandas horizontales a lo largo de los dientes, creando un aspecto bastante característico. Estas bandas pueden ser más claras o más oscuras, y su intensidad depende del momento exacto en que se tomó el antibiótico durante el desarrollo dental.
En etapas tempranas, los dientes frontales son los más afectados, mientras que en fases más avanzadas pueden verse comprometidos los molares. La exposición solar también influye, ya que al oxidarse los pigmentos, la tonalidad puede oscurecerse aún más con el tiempo. En algunos casos, el color puede derivar en tonos marrones o incluso negruzcos.
En función de su tonalidad, extensión e intensidad, las manchas en los dientes por tetraciclinas se pueden clasificar en diferentes grados.
Este tipo de manchas se caracterizan por ser leves y de color amarillo o gris claro. En este caso, las manchas dentales por tetraciclinas son más evidentes. En este es el grado más severo de decoloración, por eso, en estos casos, los dientes pueden tener una apariencia prácticamente negra.
Tal como hemos advertido previamente, este tipo de manchas son difíciles de eliminar y es importante tener en cuenta ante qué grado nos encontramos. El grado de afección y, por lo tanto, de nivel y cantidad de manchas en los dientes depende de dos factores: de la cantidad de antibiótico suministrado y de la duración de ese tratamiento.
Como ya hemos mencionado, el grado de tinción de los dientes debido a la tetraciclina depende, especialmente, de la cantidad de medicamento suministrado y de la duración del tratamiento. En el tercer grado, las manchas toman un tono más oscuro de gris o tornan a un tono azulado.
Cuarto grado: son las tinciones más graves, de color más fuerte y que afectan a todo el diente. En función del grado de coloración se establecen cuatro categorías. Desde una leve variación cromática, que por lo general tiende a un color gris, hasta el nivel más extremo y poco común, que produce alteraciones en la textura dental y rallas horizontales que varían en cromatismo.
¿Afecta solo a los dientes visibles?
No. Aunque los dientes visibles son los que más preocupan a nivel estético, cualquier diente en formación durante el periodo de exposición puede presentar pigmentaciones. Los incisivos superiores e inferiores suelen atraer más atención porque son los protagonistas de nuestra sonrisa diaria.
¿La intensidad del color depende de varios factores?
La apariencia de las manchas varía mucho de una persona a otra. Algunos casos muestran solo un leve tono blanquecino opaco, mientras que otros presentan tonalidades intensas, desde gris oscuro hasta marrón intenso.
Factores como la dosis del medicamento, el tipo de tetraciclina, el tiempo de exposición y la fase de desarrollo dental son determinantes en la severidad de la pigmentación. Incluso la genética puede influir ligeramente en cuánto calcio se incorpora a los dientes durante su formación, haciendo que algunas personas sean más susceptibles que otras a desarrollar este tipo de manchas.
¿Es hereditario este tipo de mancha?
No de forma directa. Lo que puede heredarse es la exposición a tratamientos médicos específicos durante el embarazo o en la infancia. Actualmente, por precaución, la tetraciclina ya no se administra a mujeres embarazadas ni a niños menores de ocho años.
Tratamientos para Blanquear Dientes Manchados por Tetraciclina
Si bien la decoloración de los dientes causada por la tetraciclina puede ser una preocupación estética para muchas personas, existen opciones de tratamiento disponibles. Pero se trata de un problema que se puede solucionar.
Como puedes ver, el problema de los dientes afectados por tetraciclina puede llegar a ser muy antiestético, pero no es especialmente grave y, además, se puede solucionar sin mayores problemas. Como ves, resulta posible disimular o blanquear los dientes afectados por las tetraciclinas.
Si tienes dientes manchados por tetraciclinas, ya conoces las causas y cómo corregirlas. Es importante destacar que algunos de estos tratamientos pueden ser costosos y no están cubiertos por todos los seguros dentales.
¿Se pueden blanquear los dientes manchados por tetraciclina? Sí, pero no con métodos caseros o tratamientos de venta libre. Las manchas internas requieren atención especializada y técnicas específicas para lograr mejoras visibles.
Para empezar, hay que tener presente que no siempre se puede conseguir la eliminación total de la tinción por tetraciclinas. Las manchas por tetraciclina en los dientes no siempre se pueden eliminar por completo. La posibilidad de acabar con ellas dependerá de su grado de tinción.
Blanqueamiento dental profesional
Una de las alternativas más efectivas es el blanqueamiento dental profesional. El blanqueamiento tiene como objetivo aclarar el esmalte de los dientes y reduciendo así su tonalidad.
Este tratamiento puede realizarse tanto en clínica como en casa bajo la supervisión de un odontólogo especializado. En la clínica se usan agentes blanqueadores más potentes o combinaciones de láser y gel blanqueador, mientras que en casa se emplean férulas personalizadas con dosis controladas de gel blanqueador.
De esta forma, se conseguirá quitar el tono amarillento o grisáceo de la tinción y llegar a tener una sonrisa más estética. El tratamiento es cómodo e indoloro para el paciente. Los resultados se aprecian nada más comenzar con éste y no tiene efectos secundarios.
El blanqueamiento dental combinado consiste en la aplicación de un gel sobre la superficie del diente. Para aumentar sus efectos, colocamos una lámpara de led de luz fría y resulta un tratamiento dental muy cómodo e indoloro para nuestros pacientes.
Además, es un tratamiento sin efectos secundarios. Normalmente, el blanqueamiento es un tratamiento indicado para las manchas por tetraciclina de primer grado.
En este punto, es necesario aclarar que el único tipo de blanqueamiento dental capaz de conseguir un resultado eficaz, con el debido tiempo de uso, es el blanqueamiento combinado. Es un tratamiento destinado a aclarar el esmalte de los dientes, reduciendo la tonalidad del mismo con el fin de conseguir una sonrisa más estética.
Es un procedimiento sencillo y muy cómodo para el paciente. Consiste en un tratamiento que combina dos partes: una en casa y otra en clínica. La parte ambulatoria consiste en llevar unas férulas hechas a medida de la boca del paciente, dentro de las cuales colocaremos el gel blanqueador.
Para realizarlo, se producen unas férulas dentales a medida de la boca de cada paciente; en ellas se verterá una pequeña cantidad de gel blanqueador y se colocará en la boca, durante el tiempo que indiquemos en consulta. En la clínica, dos semanas después, realizamos una sesión con lámpara de luz fría que potencia la acción del gel blanqueador y asegura que los resultados se mantengan mucho tiempo.
Carillas dentales
En casos severos donde el blanqueamiento no logra una mejora suficiente, existen las carillas dentales de porcelana o composite. Las carillas dentales son unas láminas de cerámica o composite que se colocan sobre la cara del diente.
Las carillas dentales, son finas láminas de materiales cerámicos o de composite que se adhieren a la superficie externa de los dientes. Tan solo necesitamos dos sesiones de clínica para devolverte la sonrisa que deseas gracias a las carillas de porcelana.
Si las manchas por tetraciclinas son muy severas y el paciente quiere obtener un resultado aún más estético, la mejor opción es optar por las microcarillas dentales. Se trata de finas láminas que se adhieren a la superficie de los dientes.
Por ello, es el tratamiento perfecto tras haber llevado a cabo un blanqueamiento dental combinado. Además, dado que las carillas son completamente personalizables, es posible mejorar no solo el color, sino también la forma de las piezas.
Existen diferentes tipos de microcarillas, aunque las más estéticas son las confeccionadas en porcelana. Este material aporta un resultado muy natural e imita muy fielmente el tono de los dientes adyacentes. Las carillas son láminas finas que se adhieren a la superficie del diente y permiten elegir la tonalidad deseada, proporcionando un cambio radical en la sonrisa.
Quedan cimentadas para que no se muevan y consiguen una estética dental óptima, en forma y color. Las carillas se utilizan en casos más severos, cuando el blanqueamiento por sí solo no es capaz de eliminar las manchas.
Dicho esto, existen dos grandes tipos de carillas dentales: porcelana y composite.
Coronas dentales
En casos de decoloración severa o cuando los dientes están mal formados, las coronas dentales pueden ser una opción.

Preguntas Frecuentes
¿El blanqueamiento de dientes grises duele?
El blanqueamiento puede causar sensibilidad temporal, especialmente si los productos son potentes. Sin embargo, los odontólogos emplean geles desensibilizantes y adaptan los protocolos para minimizar las molestias. Es muy raro que la sensibilidad persista más allá de unos días tras finalizar el tratamiento.
¿Cuánto dura el resultado?
Los resultados en casos de manchas por tetraciclina tienden a ser duraderos, aunque no siempre se logra una eliminación completa de la pigmentación. Mucho depende del mantenimiento posterior: evitar café, vino tinto, té oscuro y fumar ayuda enormemente a preservar los resultados durante más tiempo.
Además, algunas clínicas recomiendan sesiones de “refuerzo” cada ciertos años para mantener la sonrisa siempre radiante.
Tips si tienes dientes manchados por tetraciclina
- Usa pastas dentales suaves, que no contengan componentes abrasivos fuertes.
- Consulta siempre con un especialista antes de intentar cualquier método casero de blanqueamiento.
- Recuerda que querer mejorar tu sonrisa no es superficial: tu bienestar emocional lo merece.
- Si optas por carillas, toma en cuenta que son una inversión duradera que puede transformar por completo tu imagen y tu confianza.
Ojo: si estás pensando en soluciones, no te dejes llevar por el primer blanqueamiento que encuentres online. La tetraciclina deja un tipo de mancha muy particular que necesita un enfoque experto y personalizado.