En el trabajo clínico profesional de ortodoncia, es fundamental dominar las técnicas de doblado de alambre para la confección de diversos aparatos y retenedores. A continuación, se describen algunos de los ejercicios y plantillas utilizados en el doblado de alambre ortodóncico.

Arco de Hawley Circunferencial de Segundo a Segundo Molar
Este retenedor se elabora con alambre calibre 0.026. Para su elaboración, siga estos pasos:
- Se corta un tramo del alambre de aproximadamente 15 cm.
- Se toma un trozo de alambre de aproximadamente 6cm.
- Se elige y elabora el sistema de retención.
Gancho Mesio-Distal
A este gancho también se le llama gancho de bola. Realice los siguientes pasos:
- Se adapta el alambre a la mucosa.
- Ajuste el alambre exactamente al gancho mesio-distal del molar.
- Adapte el alambre en íntimo contacto en la mucosa palatina.
- Fije los ganchos, arco y elemento activo con cera pegajosa.
Este gancho debe ocupar el espacio interproximal y su fijación se realiza en la base acrílica.

Arco Lingual
Para la elaboración del arco lingual, siga estos pasos:
- Se corta un tramo del alambre de aproximadamente 15 cm.
- Se adapta el alambre a la mucosa.
- Se elige y elabora el sistema de retención.
El vástago del alambre debe apoyarse en la superficie oclusal, con los extremos del alambre hacia el lado oclusal y en forma circular o zigzag que servirá de retención al acrílico.
Es importante considerar que cualquier doblez debe realizarse siempre que el alambre esté paralelo al piso. Realice todos los dobleces en un mismo plano, mientras se realizan los dobleces con los dedos, utilizando el pulgar como apoyo.

Consideraciones adicionales para el trabajo con alambre:
- Al doblar el alambre, asegúrese de que quede disponible un cabo largo o cola para la manipulación.
- El alambre debe quedar cubierto el tercio cervical de los dientes.
- Cubre con cera la parte activa para que quede libre de acrílico.
- Evite el sobrecalentamiento que puede quemar el acrílico.
Es fundamental retirar los excedentes de blanco de España antes de dar por terminado el trabajo.
Mordida Posterior
El aparato debe estar pasivo en el modelo y activo en boca. Para corregir la mordida posterior, se puede utilizar una placa de Hawley para hacer expansión.
Se adapta nuevamente el alambre, semejando un zigzag.

ORTOCERVERA / Ortodoncia: Construcción de Omega
Disyuntor
El disyuntor se utiliza en dentición decidua y mixta para aumentar el nivel óseo. El disyuntor consta de dos bandas y un arco de alambres soldado a ellos.
Para su elaboración, siga estos pasos:
- Trazar una línea vertical en la parte media de la banda.
- Reubicar las bandas en el modelo.
- Introducir las aletas del tubo a la cara palatina de la banda.
- Doblar las aletas en dirección gingival y paralelos a la superficie del paladar.
- Agregar este doblez para la estabilidad del aparato.
Botón de Nance
El Botón de Nance se utiliza para mantener el espacio (pasivo) o para vestibulizar piezas anteriores (activo).
Para su elaboración, siga estos pasos:
- Utilizar alambre de calibre 0.032 o 0.036 de aproximadamente 12 cm.
- Lo contorneamos formando un arco que deberá quedar a 4 mm del tercio cervical de los dientes anteriores.
- El arco deberá quedar a una distancia horizontal de 4 mm de los incisivos inferiores y en relación vertical de 2 a 3 mm.
- Realizar los omegas para conservar estos 4 mm.

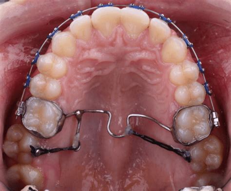
Arco Transpalatino
El arco transpalatino se utiliza para corregir la pérdida prematura de piezas deciduas.
Para su elaboración, siga estos pasos:
- Adaptar el alambre a la forma del proceso tanto por vestibular como por lingual.
- La extensión debe ser aproximadamente de 4 mm de cada lado.

Glosario de Términos
- APARATO ORTODÓNTICO: Dispositivo utilizado para corregir la posición de los dientes.
- APARATO ORTOPÉDICIO: Dispositivo utilizado para modificar el crecimiento óseo.
- BANDA (ORTODÓNTICA): Anillo metálico cementado a un diente.
- BRAKET: Accesorio pegado a un diente que sirve para sujetar el alambre.
- DOLICOCEFÁLICO: Tipo de cráneo alargado.
- GANCHOS: Elementos de retención en aparatos removibles.
- HEADFILM: Radiografía cefalométrica.
- LOOP ABIERTO: Asa en un alambre que puede abrirse.
- LOOP CERRADO: Asa en un alambre que no se abre.
- LOOP OMEGA: Asa en forma de omega.
- MALOCLUSIÓN: Desviación de la oclusión normal.
- MALPOSICIÓN: Posición incorrecta de un diente.
- SOBREMORDIDA: Solapamiento vertical de los dientes.
- ORTO: Prefijo que significa "recto" o "normal".
Referencias Bibliográficas
- Ortodoncia, Teoría y Técnica; BEGG, A. KESLING, J, Ed.
- Ortodoncia; Ed. Manual Moderno.
- “Aparatología Ortodóntica Removible”. BEDRICH; Ed.
- Ortodoncia. Principios Fundamentales y Práctica; MAYORAL, J.
- Manual de Ortodoncia; MOYERS, R.E; Ed.
- Movimientos Dentales con Aparatos Removibles; MUIR, J.V.
tags: #ejercicios #plantillas #para #doblar #alambre #ortodoncia