El sarro, también conocido como cálculo dental, es un problema bucodental muy frecuente que consiste en la calcificación de la placa bacteriana o placa dental.

Como hemos comentado, el sarro se forma cuando la placa bacteriana se mezcla con saliva y restos de comida y se endurece. Esto puede ser el resultado de una mala higiene bucodental, pero no siempre es el caso. Otro factor que influye es el pH de la saliva, que varía según la persona. Por ejemplo, los pH que tienen un nivel de acidez alto debilitan más el esmalte dental, lo que nos hace más vulnerables a las caries.
Los hábitos alimentarios también influyen en la aparición de sarro. Una dieta alta en azúcares y carbohidratos procesados alimenta las bacterias que forman la placa. Además, la ingesta de cítricos, el vinagre o el café son los causantes de estas manchas ya que suelen tener colorantes que afectan a los dientes alterando la flora bacteriana y favoreciendo la aparición de placas de sarro y manchas.
¿Cómo se forma el sarro?
La placa es una película pegajosa compuesta por restos de comida, bacterias y saliva. Cuando no se elimina adecuadamente mediante el cepillado y el uso de hilo dental, la placa se mineraliza debido a los minerales presentes en la saliva, formando sarro.
Factores que contribuyen a la acumulación de sarro:
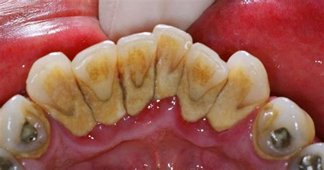
- Proximidad a las glándulas salivales: Los dientes inferiores, especialmente los incisivos y caninos, están muy cerca de las glándulas salivales submandibulares y sublinguales.
- Gravedad y flujo salival: La saliva tiende a acumularse en la parte inferior de la boca debido a la fuerza de la gravedad.
- Higiene dental inadecuada: Aunque el sarro puede formarse incluso con una buena higiene, una limpieza deficiente o irregular aumenta significativamente el riesgo.
- Factores genéticos y de salud: Algunas personas tienen una predisposición genética a producir más sarro debido a la composición de su saliva.
Nº1 REMEDIO CASERO para ELIMINAR la PLACA, el SARRO y PREVENIR la CARIES
Impacto del Sarro en la Salud Dental
El sarro no es solo un problema estético; también tiene un impacto significativo en la salud de tus dientes y encías. El sarro que se acumula en la línea de las encías puede causar gingivitis, una forma leve de enfermedad de las encías.
¿Por qué se acumula el sarro en los dientes inferiores?
La acumulación de sarro en los dientes inferiores no es una coincidencia.
¿Qué es el sarro negro y por qué aparece?
El sarro negro en los dientes es un problema dental común que puede afectar la salud bucal y la apariencia de la sonrisa.
Cuando la placa no se elimina adecuadamente mediante el cepillado y el uso del hilo dental, se mineraliza y se convierte en sarro.
Causas del sarro negro:
- Mala higiene dental: La falta de cepillado y uso del hilo dental permite que la placa se acumule y se endurezca, formando sarro.
- Tabaco: Fumar o masticar tabaco es una de las principales causas del sarro negro.
¿Cómo eliminar el sarro?
A diferencia de la placa bacteriana que se puede eliminar en casa, el sarro dental no puede eliminarse con un cepillado de dientes. Si el sarro ya se ha endurecido, es necesario que acudamos al dentista para que lo elimine mediante una limpieza bucal. Si el sarro ha profundizado ocasionando la pérdida de encía la limpieza será más profunda, con necesidad de anestesia local. Para eliminar el sarro en los dientes, utilizamos un tratamiento profesional llamado tartrectomía o raspado radicular.
Tratamientos profesionales para eliminar el sarro negro:
- Limpieza dental profesional: La forma más efectiva de eliminar el sarro negro es mediante una limpieza dental profesional realizada por un dentista o higienista dental.
- Raspado y alisado radicular: En casos de sarro subgingival (debajo de la línea de las encías), se puede requerir un raspado y alisado radicular.
¿Cómo prevenir la acumulación de sarro?
La prevención del sarro requiere constancia y una buena higiene bucal. La principal forma de evitar el sarro es manteniendo una higiene bucodental correcta. Para ello, lo ideal es cepillarse los dientes después de cada comida, con un mínimo de dos veces al día. Pero debe hacerse de forma correcta y concienzudamente, sin olvidarnos del hilo dental o cepillos interproximales.
Para ello, solemos aconsejar dividir la boca en cuatro sectores: dos arriba y dos abajo. También es importante limpiar la lengua, pues en ella se acumula gran cantidad de bacterias. Para limpiarla, hay que cepillarla varias veces desde la parte más interna hasta la punta.
Medidas preventivas:
- Cepillado correcto: Cepíllate los dientes al menos dos veces al día con un cepillo de cerdas suaves y una pasta dental con flúor.
- Usa hilo dental o cepillos interdentales para eliminar restos entre los dientes, donde no llega el cepillo.
- Utilizar dentífricos y colutorios con flúor, ya que ayuda a evitar que la placa dental se endurezca y se transforme en sarro.
- Dieta balanceada: Limita el consumo de alimentos y bebidas azucaradas y pigmentadas.
- Visitas regulares al dentista: Programa limpiezas dentales profesionales y exámenes al menos dos veces al año.
¿Cómo evitar y combatir las manchas dentales?
Existen pastas dentífricas como Yotuel All In One Wintergreen o Yotuel Farma B5, que previene la aparición de estas manchas y además, consiguen realzar el blanco de los dientes afectados por el consumo de este tipo de colorantes que contienen algunos alimentos o bebidas (arándanos, remolacha o curry son algunos alimentos que también pueden provocar manchas en los dientes).
Comúnmente las manchas dentales son de carácter extrínseco o intrínseco.
Tipos de manchas dentales:
- Manchas dentales extrínsecas: Son manchas que se encuentran en la superficie dental y suelen aparecer por la acumulación de alguna sustancias concretas. Al ser manchas que se localizan en la superficie del diente, son fáciles de eliminar. Normalmente, con una higiene bucal diaria, las manchas desaparecen de manera progresiva en poco tiempo. Este tipo de manchas suelen ser marrones o blancas y su tamaño pueden ser variables.
- Manchas dentales intrínsecas: Este tipo de manchas son más complejas ya que aparecen en el esmalte dental o incluso, se forma en la capa de marfil que tenemos en los dientes. Estas manchas aparecen como consecuencia de algún problema en la estructura dental por la ingesta de determinados medicamentos, por enfermedades concretas…
Estadísticas sobre el sarro dental
El sarro en los dientes es algo muy común en las personas de todas las edades. Según la encuesta de Salud Oral en España (2020), más del 30% de los adolescentes lo padecen, en torno a un 67% de los adultos también y más de 70% de los mayores de 65 años sufren esta patología.
| Grupo de Edad | Porcentaje de Afectados |
|---|---|
| Adolescentes | Más del 30% |
| Adultos | Aproximadamente 67% |
| Mayores de 65 años | Más del 70% |