Muchos pacientes acuden a la consulta dental al verse los dientes manchados, es algo que estéticamente afecta mucho a la sonrisa. Las manchas en los dientes se conocen con el nombre de tinciones dentarias y pueden presentarse en mayor o menor intensidad. Es por ello que hoy en este post queremos aclarar todas tus dudas sobre ¿Por qué se me tiñen los dientes? Las manchas negras en los dientes son imperfecciones de color oscuro que producen un efecto antiestético. Las manchas negras en los dientes no dejan de ser una señal de alerta.
Las tinciones se deben a muchas causas, desde determinadas bacterias, a medicamentos o traumatismos. Asimismo, las tinciones de los dientes se clasifican en extrínsecas (aquellas que se producen sobre la superficie externa de los dientes) o intrínsecas (cuando se producen en la propia estructura interna del diente).
Dependiendo de su origen, el dentista podrá determinar el plan de tratamiento más adecuado.
CUIDADO, EL HIERRO MANCHA LOS DIENTES DE TU HIJO - Jairo Gomez Tu Pediatra
¿Qué son las manchas cromógenas dentales?
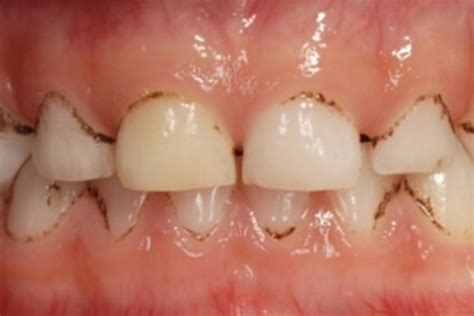
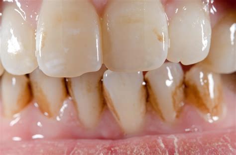
En la búsqueda de una sonrisa perfecta, es común que muchos pacientes se preocupen por la aparición de manchas en los dientes. Una de las causas menos conocidas de estas manchas son las manchas cromógenas dentales. Las manchas o tinciones cromógenas son manchas exógenas de color negro o marrón que aparecen en forma de puntos o líneas paralelas que se distribuyen a lo largo del borde marginal de los dientes. Estas manchas son persistentes y no se pueden eliminar con el cepillado diario, pudiendo aparecer a cualquier edad, pero son más frecuentes en niños.
Clínicamente, la mancha negra dental o cromógena se presenta como pequeñas manchas exógenas de color marrón o negro que se distribuyen en forma de puntos o líneas paralelas al margen gingival y que se adhieren firmemente al esmalte en el tercio cervical de la corona dental.
Estas antiestéticas manchas aparecen en los dientes con un color marrón oscuro, normalmente podemos verlas formando puntos o líneas y se sitúan normalmente en el borde del diente al margen gingival y se adhieren firmemente al esmalte.

Causas de las manchas cromógenas
Las manchas cromógenas son causadas por la presencia de bacterias cromógenas en la cavidad bucal. Estas bacterias producen pigmentos que se adhieren al esmalte dental, generando las manchas características.
Se baraja la existencia de una microbiota especial, compuesta por bacterias cromógenas, con predominio de Actinomyces spp. Esta microbiota interactúa con una composición característica de la saliva con alto contenido de calcio, cobre, sodio, fosfatos y proteínas, así como un menor contenido en glucosa.
Aunque su etiopatogenia no está definida con precisión por la literatura científica, se conoce que existe un desequilibrio en la composición y/o estructura del microbioma oral de estos pacientes.
En estos pacientes se puede observar que la composición de su saliva tiene mayor prevalencia de fosfatos, calcio, sodio, cobre, glucosa y existe una disminución de las proteínas de la saliva.
Al contrario de lo que se pueda pensar estas manchas no están directamente relacionadas con la falta de higiene bucal. Esta decoloración en los dientes lo vemos más frecuentemente a una temprana edad, aunque también tenemos casos en adultos.
Hay muchas teorías del por qué surgen estas manchas en los dientes y la más plausible es que se relaciona con la alimentación. La saliva produce unos microorganismos, estos, al tomar contacto con el hierro consumido, son los causantes de que aparezcan las manchas en los dientes.
Algunos autores relacionan esta situación con la dieta y la presencia de hierro en el agua y también a una mayor capacidad de amortiguación de dicha saliva.
Se tiende a pensar que estas manchas son caries, ya que el color se asemejan, pero son fácilmente de diferenciar en el aspecto y sobre todo la localización.
En los pacientes con manchas negras, la frecuencia de Streptococcus mutans es menor que en los que no las presentan.
La etiología de la tinción es desconocida. Se postula que podría deberse a la presencia de bacterias cromógenas en la saliva, como el Actinobacillus actinomycetemcomitans o algunas especies de Actinomices. Otra hipótesis se basa en una composición de la saliva distinta en los individuos con tinción cromógena dental que favorecería la aparición de las manchas.
Al contrario de lo que se pueda pensar estas manchas no están directamente relacionadas con la falta de higiene bucal. Esta decoloración en los dientes lo vemos más frecuentemente a una temprana edad, aunque también tenemos casos en adultos.
Hay muchas teorías del por qué surgen estas manchas en los dientes y la más plausible es que se relaciona con la alimentación. La saliva produce unos microorganismos, estos, al tomar contacto con el hierro consumido, son los causantes de que aparezcan las manchas en los dientes.
Diagnóstico de las Manchas Cromógenas
El diagnóstico es clínico y habitualmente no precisa la realización de pruebas complementarias. Consiste en pigmentaciones dentales exógenas y oscuras que se adhieren al esmalte.
El diagnóstico diferencial debe de hacerse fundamentalmente con las caries, de las que se diferencian en el aspecto, localización y la presencia/ausencia de signos de descalcificación.
Tabla comparativa: Manchas Cromógenas vs. Caries
| Característica | Manchas Cromógenas | Caries |
|---|---|---|
| Apariencia | Puntos o líneas paralelas al margen gingival | Mancha opaca, posible cavidad |
| Localización | Borde marginal de los dientes | Cualquier superficie, especialmente fisuras y uniones |
| Descalcificación | Ausente | Presente |
Tratamientos para Eliminar las Manchas Cromógenas
Actualmente no existe un tratamiento que elimine las tinciones a largo plazo. Debemos realizar limpiezas profesionales periódicas para mantener una cavidad oral libre de manchas.
La única forma de eliminar las manchas por bacterias cromógenas es realizar limpiezas profesionales periódicas en el dentista, pero estas manchas suelen reaparecer con mucha frecuencia.
El tratamiento se basa en limpiezas mecánicas profesionales periódicamente, ya que tiene una alta tasa de recidiva.
En Elysium te ofrecemos todos los tratamientos para combatir las manchas cromógenas, mejorando el aspecto de tus dientes.
Procedimientos Comunes
- Limpieza dental profesional: Es el primer paso para eliminar las manchas cromógenas. Durante esta limpieza, nuestros higienistas dentales utilizan herramientas especializadas para eliminar la placa y el sarro acumulados, así como las manchas superficiales.
- Pulido dental: Después de la limpieza dental, un pulido dental puede ayudar a eliminar las manchas que no se pudieron quitar durante la limpieza inicial. Este procedimiento utiliza una pasta especial que elimina las manchas y pule la superficie del esmalte, dejándolos más lisos y brillantes.
- Blanqueamiento dental: Si las manchas cromógenas han afectado gravemente la estética de tus dientes, un tratamiento de blanqueamiento dental puede ser la solución ideal. En Pentadental, ofrecemos blanqueamiento dental profesional, que puede aclarar los dientes varios tonos en una sola sesión.
Prevención de las Manchas Cromógenas
La prevención es la mejor herramienta para mantener una sonrisa libre de manchas cromógenas. Hasta el momento no existe ninguna medida preventiva para la aparición de estas manchas.
Por ahora no contamos con nada para prevenir este tipo de decoloración.
Consejos para la Prevención
- Acude a limpiezas dentales regulares: Las limpiezas profesionales son esenciales para eliminar la placa y el sarro que no puedes quitar en casa.
- Buena higiene bucal: La mejor manera de prevenir las manchas cromógenas es cepillar los dientes por lo menos dos veces al día y usar hilo dental diariamente.
- Evitar ciertos alimentos y bebidas: Reducir la ingesta de alimentos y bebidas que causan manchas cromógenas puede ayudar a prevenirlas.

Importancia de la Salud Bucal
Aunque las manchas cromógenas no representan un riesgo directo para la salud bucal, pueden ser indicativas de una higiene oral deficiente, lo que sí podría llevar a problemas más graves como la caries dental y la enfermedad periodontal.
Salvo por cuestiones estéticas, su presencia no afecta en gran medida a la salud bucal y, según algunos estudios, las pigmentaciones cromógenas se podrían asociar a personas con poca incidencia de caries.
Consideraciones Adicionales
En primer lugar, es necesario explicar y tranquilizar a la familia y al paciente si fuera preciso. No se conoce ningún fármaco que evite o elimine este cuadro.
Recuerda, si has notado manchas oscuras en tus dientes, no dudes en contactarnos. La mancha negra dental o cromógena es un cuadro benigno y con buen pronóstico. Clínicamente se presenta como pequeñas manchas exógenas de color marrón o negro que se distribuyen en forma de puntos o líneas paralelas al margen gingival y que se adhieren firmemente al esmalte en el tercio cervical de la corona dental. Pueden aparecer a cualquier edad, tanto en dentición decidua como permanente, aunque parece ser más prevalente en la infancia y esta prevalencia desciende en la pubertad y la edad adulta.