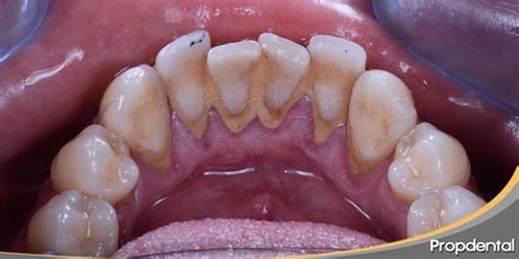
Mantener una rigurosa rutina de higiene bucodental a diario es fundamental para prevenir la acumulación de sarro dental en encías y dientes, uno de los problemas orales más comunes. Estos restos acumulados se endurecen con el tiempo sobre la superficie de los dientes denotando una completa falta de higiene o una limpieza bucodental insuficiente.

¿Qué es el sarro dental y por qué se forma?
El sarro está compuesto por los restos microbianos, la acumulación de residuos de alimentos y de saliva. La mala higiene bucodental es la principal causa de su aparición. Es común que dicha calcificación del biofilm dental se acumule en el borde de las encías o en los espacios interdentales donde no llegamos con el cepillado.
El biofilm dental y los restos de alimentos se deben eliminar a diario evitando que lleguen a endurecerse. Estos restos pueden presentar una coloración que va desde un tono blanquecino, amarillento, hasta un color marrón en los casos más severos. En algunos casos, el sarro puede volverse negro debido a ciertos factores, como tener una alta concentración de hierro en la saliva. Cuanto más tiempo dejes que el sarro dental permanezca en tu boca, más bacterias se acumularán a su alrededor.
Consecuencias del sarro dental
- Problema estético: La primera consecuencia negativa que tiene el sarro en los dientes es un problema estético.
- Adhesión del biofilm dental: El sarro también favorece la adhesión del biofilm dental.
- Infección de los tejidos gingivales: La acción de las bacterias que se acumulan en el sarro conlleva la infección de los tejidos gingivales.
- Caries dental: El sarro supragingival que se acumula en la superficie de los dientes y encías es el principal responsable de la caries dental.
- Halitosis: La formación del sarro en los dientes está relacionada con problemas de halitosis o mal aliento.
- Otros problemas: Encías inflamadas, dolor de muelas, flemón y manchas blancas en los dientes.
¿Cómo saber si tienes sarro dental?
Para saber si tienes sarro dental, lo primero que puedes hacer es mirarte en el espejo. También puedes palpar alrededor de los dientes con la lengua. La forma más efectiva de detectar si tienes sarro dental es acudir a tu dentista para que te haga un examen profesional.
¿Cómo eliminar el sarro dental?
Si has detectado sarro en tu boca solo un dentista o higienista dental podrá eliminarlo por completo con una limpieza dental profesional. Una vez que se ha endurecido el sarro, la única forma de eliminarlo es a través de un higienista o dentista cualificado. A través de una limpieza dental profesional es posible desprender los cálculos y depósitos de sarro sobre el diente.
Para eliminar estos depósitos de sarro sobre los dientes, los odontólogos e higienistas siempre han utilizado unos instrumentos denominados curetas que les ayudan a eliminar físicamente esos depósitos. Cuando el sarro se encuentra por debajo de la línea de las encías, la forma más habitual de eliminarlo es a través de un proceso manual. Para eliminar el sarro que ha crecido más profundamente debajo de los tejidos blandos que sostienen los dientes, es necesario un tratamiento distinto, que recibe el nombre de raspado y alisado radicular, o curetaje, que sí necesita anestesia local.
¿Acumulas mucho sarro dental? Evítalo así. Te lo explico rápido y fácil.
Tipos de limpieza dental profesional
Existen varios tipos de limpieza dental profesional. Dependiendo del estado de tus dientes y encías se aplica uno u otro:
- Limpieza de rutina: Es la limpieza dental profesional menos agresiva. Se aplica cuando tu boca se encuentra en un buen estado de salud. El dentista solo se concentra en eliminar placa bacteriana y pulir los dientes.
- Limpieza profunda: Es un tipo de limpieza más agresiva que realizan cuando el paciente presenta periodontitis. Se elimina el sarro y placa bacteriana acumulada en las bolsas de las encías. Por lo general emplean curetas manuales y luego el aparato de ultrasonido y el cepillo para limpiar y pulir. En pacientes con periodontitis, lo ideal es combinar la limpieza ultrasónica con el raspado manual para obtener efectos óptimos.
- Cirugía periodontal: Este tipo de limpieza se aplica cuando el paciente presenta una periodontitis grave. En estos casos, la limpieza anterior no es suficiente y será necesario levantar la encía para eliminar el sarro que está más profundo.
En una clínica dental se aplica cualquiera de estos tres métodos, según las necesidades de cada paciente. Luego de evaluar los resultados, se determinará si es necesario un nuevo procedimiento. Ninguno de estos tratamientos debe producir dolor, aunque hay casos en los que el dentista usará anestesia local. Después de la limpieza puedes volver a tus rutinas diarias.
Limpieza dental con ultrasonido
Como Clínica Dental te contamos cómo es la limpieza dental con ultrasonido y las ventajas que esta le ofrece a tus dientes. La limpieza dental profesional con ultrasonido tiene como objetivo principal eliminar toda la placa bacteriana y cálculo dental acumulado en cada una de las piezas y debajo de las encías.

Para lograrlo emplea una máquina de profilaxis especializada. Ese instrumento cuenta con una punta metálica ligeramente curvada. Mediante vibraciones por ultrasonido desprende fácilmente el cálculo y placa dental acumulada. Cuando se enciende la máquina la punta vibra y echa agua a presión. Esta se pasa por las zonas de los dientes en donde se acumula mayor cantidad de placa. Las ondas ultrasónicas facilitan la eliminación de los depósitos de sarro de los dientes. Además, producen ondas de choque que ayudan a interrumpir los procesos celulares de las bacterias.
Es un procedimiento mucho más rápido que las limpiezas con curetas manuales. Además, el paciente no sentirá dolor, sino una ligera molestia. Para culminar el dentista pasa un cepillo eléctrico con pasta dental sobre las piezas y la legua. Y le pide al paciente que se enjuague con un enjuague bucal con flúor. Esto ayuda a eliminar los restos de placa y a dejar los dientes más blancos.
Ventajas de la limpieza dental con ultrasonido
- Es muy eficaz para eliminar sarro, cálculos y placa bacteriana.
- Permite eliminar hasta la placa que se encuentra en lo más profundo de las bolsas de las encías.
- Es un procedimiento mucho más rápido y menos doloroso que la limpieza manual.
- Ayuda a eliminar y atenuar manchas de los dientes.
- Es un método eficiente para mantener tu boca saludable.
Desventajas de la limpieza dental con ultrasonido
- Debido a la vibración del instrumento al dentista se le dificulta en un inicio determinar si ha eliminado toda la placa.
- No se recomienda a personas con sensibilidad en los dientes.
- En caso de que poseas restauraciones o implantes dentales el dentista debe realizar una evaluación de las piezas.
- No se recomienda la aplicación de limpiezas dentales con ultrasonido a pacientes con marcapasos.
- Tampoco deben llevarse a cabo en niño menores de 6 años.
¿Puedo usar un limpiador dental ultrasónico en casa?
Las limpiezas que se realizan con un limpiador ultrasónico las debe hacer un profesional. Es decir, un dentista o un higienista dental. Por tanto, no deberías emplear este instrumento en casa. Si bien hay comercios que venden limpiadores ultrasónicos al público, esto va en contra de la ley porque son de uso profesional.
¿Cómo prevenir la aparición del sarro?
No es posible eliminar en casa el sarro, pero si prevenirlo. Con la finalidad de no tener que recurrir a tratamientos invasivos para la eliminación del sarro de los dientes, la mejor recomendación es prevenir su formación.
Consejos para prevenir la formación de sarro
- Cepillado adecuado: El cepillado juega un papel vital en el mantenimiento de una buena salud bucal y en la lucha contra el acúmulo de placa. Los dientes deben cepillarse durante dos minutos completos, tres veces al día, lo que puede parecer mucho tiempo, pero es esencial cuando se trata de proteger los dientes y evitar que aparezca sarro. Además, hay que asegurarse de no cepillarse los dientes con demasiada fuerza.
- Uso de hilo dental: Si no eliminas la placa de tus dientes con hilo dental y cepillado, aumentas el riesgo de padecer una caries y formación de sarro.
- Visitas regulares al dentista: Y no te olvides de visitar con regularidad a tu dentista para que puedan detectarse problemas antes de que sean graves.
- Alimentación saludable: Y no olvides que tu alimentación también es fundamental para prevenir la aparición del sarro. Come muchas manzanas y zanahorias, y evita, en la medida de lo posible, el pan de molde.
- Productos específicos: El zinc es un elemento que se añade a los dentífricos y colutorios para facilitar el control de la placa dental y prevenir la formación del cálculo. El pirofosfato es un elemento que juega un papel importante en la inhibición de la formación de cálculos. Esta molécula evita que se produzca la precipitación de iones minerales presentes en la saliva en la placa dental.

Remedios caseros para prevenir el sarro (¡con precaución!)
Además de estos consejos útiles para prevenir la aparición del sarro, hay también muchas otros remedios que puedes probar para eliminar el sarro dental. Para hacer esta pasta, sólo tienes que mezclar una cucharadita de bicarbonato de sodio con agua caliente hasta formar una pasta espesa. Si la pasta de bicarbonato de sodio no es suficiente, entonces puedes probar a utilizar vinagre de sidra de manzana. Sólo tienes que mezclar partes iguales de vinagre de sidra de manzana y agua en una taza, y luego utilizarlo como enjuague bucal durante dos minutos cada día, más o menos. También puedes probar el oil pulling con aceite de coco.
¡Importante! La mayoría de estos remedios caseros tienen en común una cosa: aplicarlos puede implicar un severo daño en el esmalte dental. Además, ninguna de estas recomendaciones para eliminar el sarro será efectiva sin una higiene dental completa de forma regular.
Mantén tu salud bucal en manos de profesionales
El sarro dental es un problema común que se puede prevenir manteniendo una buena higiene bucodental y realizando visitas regulares al dentista. El sarro sólo se puede eliminar con una limpieza profesional realizada en una clínica dental.
El Dr. Javier Ortiz de Urbina Hidalgo es un especialista en Odontología e Implantología. Colegiado nº 28007842 . Practica la Odontología desde 2005. Experta en tratamientos ortodónticos.
tags: #eliminador #de #calculos #dentales