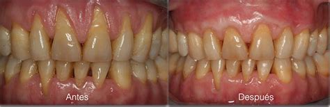
La retracción de encías, también conocida como recesión gingival, es una condición que se desarrolla progresivamente desde la niñez y puede alcanzar su punto máximo después de los 40 años, incluso exponiendo las raíces de los dientes. Afortunadamente, existen remedios caseros que pueden ayudarte a prevenir y tratar este problema. Este artículo te guiará a través de las causas, síntomas y soluciones naturales para mantener tus encías y dientes saludables.

¿Cuál es la Causa de la Retracción de las Encías?
Las encías juegan un papel crucial en el mantenimiento de las piezas dentales en su lugar, asegurando su estabilidad y evitando movimientos. Además, protegen la parte inferior de los dientes de restos de alimentos y bacterias. Sin embargo, varios factores pueden contribuir a la retracción de las encías:
- Mala higiene dental: La acumulación de placa bacteriana y sarro puede separar las encías de los dientes.
- Cepillado agresivo: Un cepillado demasiado fuerte puede dañar las encías y provocar recesión.
- Tabaquismo: El tabaco afecta negativamente la salud de los dientes y las encías.
- Carencia de vitamina C: La falta de esta vitamina puede debilitar las encías.
- Daños en el esmalte: El esmalte dañado puede hacer que las encías sean más susceptibles a la retracción.
- Tratamientos de ortodoncia: En algunos casos, los tratamientos de ortodoncia pueden contribuir a la recesión gingival.
Es importante recordar que la retracción de encías a menudo no causa dolor, por lo que puede pasar desapercibida hasta que afecta la estética o causa otros problemas como sensibilidad dental o movilidad.
Síntomas de la Retracción de Encías
Las encías retraídas pueden afectar tanto tu salud dental como tu apariencia. Aprender a identificar las señales te permitirá buscar tratamiento a tiempo:
- Dientes que parecen más largos: Notarás una mayor longitud de las piezas dentales en comparación con antes.
- Color diferente en la línea de las encías: Puedes observar tonos distintos entre la raíz expuesta y la corona del diente.
- Inflamación de las encías: Encías hinchadas y enrojecidas, especialmente en los márgenes.
- Sangrado de las encías: Sangrado durante el cepillado o al morder alimentos duros.
- Excesiva sensibilidad a los alimentos: Dolor intenso al consumir alimentos o bebidas frías, calientes, ácidas o dulces.
- Movilidad dental: Sensación de que algún diente se mueve ligeramente.

Remedios Caseros para la Retracción de Encías
Existen varios remedios caseros que pueden ayudarte a tratar la retracción de encías y aliviar los síntomas. Estos remedios naturales pueden ser una excelente adición a tu rutina de cuidado bucal:
- Milenrama: Masticar hojas de milenrama o aplicar una pasta hecha con ellas puede reducir la inflamación gracias a sus propiedades antiinflamatorias y analgésicas. También puedes hacer gárgaras con una infusión de milenrama.
- Té verde: Beber dos infusiones de té verde al día puede ayudar a reducir la inflamación y mejorar la fijación dental debido a sus propiedades antiinflamatorias y antioxidantes.
- Salvia: Masticar hojas de salvia o hacer gárgaras con su infusión puede combatir abscesos dentales y encías hinchadas gracias a sus propiedades antiinflamatorias.
- Aloe Vera: Aplicar gel de aloe vera directamente en las encías después del cepillado puede reducir la inflamación y prevenir la retracción.
- Aceite de coco: Masajear las encías con una mezcla de aceite de coco y sal marina puede reducir la inflamación gracias a las propiedades antiinflamatorias y antimicrobianas del aceite de coco.
- Aceite de limón: Masajear las encías con aceite de limón o hacer gárgaras con agua tibia y unas gotas de aceite de limón puede ayudar a eliminar el mal aliento y tratar la retracción de encías.
- Suplemento de vitamina C: Consumir frutas y verduras ricas en vitamina C, como kiwis, tomates, cítricos, brócoli y pimientos, puede fortalecer las encías.
Estos remedios caseros pueden ser efectivos para controlar y aliviar los problemas derivados de la retracción de encías. Sin embargo, es fundamental mantener una buena higiene dental y visitar a tu dentista de confianza para revisiones periódicas.
Tratamiento del Sangrado de Encías
El sangrado de encías puede ser un síntoma de gingivitis o periodontitis. Aquí te damos algunos consejos para tratar este problema:
- Mantén una higiene dental buena y constante.
- Visita a tu dentista para una limpieza profesional dos veces al año.
- Realiza enjuagues bucales de agua tibia con sal para aliviar la inflamación.
- Utiliza un cepillo de dientes suave y evita cepillarte con demasiada fuerza.
- Consume una dieta rica en vitaminas C y K.
Si el sangrado persiste, consulta a tu dentista para una evaluación y tratamiento adecuados.
¿Cómo Quitar el Dolor de Muelas al Instante?
Remedios caseros para el dolor de muela | Colgate®
El dolor de muelas puede ser extremadamente incómodo, pero existen remedios caseros que pueden proporcionar alivio temporal mientras esperas tu cita con el dentista:
- Enjuague con agua salada: Mezcla media cucharadita de sal en un vaso de agua tibia y enjuaga tu boca durante 30 segundos.
- Compresas frías: Aplica una compresa fría en la mejilla del lado afectado durante 15-20 minutos.
- Clavo de olor: Coloca un clavo de olor entero cerca del diente dolorido y muérdelo suavemente para liberar el aceite esencial.
- Ajo: Tritura un diente de ajo para formar una pasta y aplícalo directamente en el área afectada.
- Bolsitas de té: Enfría una bolsita de té (preferiblemente de menta o té negro) y colócala sobre el diente dolorido.
- Aceite de coco: Aplica aceite de coco en el área afectada o enjuaga tu boca con él durante unos minutos.
- Gárgaras con agua oxigenada: Mezcla una parte de agua oxigenada (3%) con una parte de agua y realiza gárgaras durante 30 segundos.
- Vinagre de manzana: Mezcla una cucharadita de vinagre de manzana en un vaso de agua tibia y enjuaga tu boca durante unos segundos.
- Tila: Prepara una infusión de tila y enjuaga tu boca con ella.
Recuerda que estos remedios son solo soluciones temporales y es fundamental consultar a un dentista para tratar la causa subyacente del dolor de muelas.
Tratamiento de Infecciones Bucales
Las infecciones bucales, como aftas, candidiasis y abscesos dentales, requieren un enfoque integral que combine remedios caseros y atención profesional.
Aftas Bucales (Llagas)
- Enjuague de agua con sal: Limpia la herida y reduce la inflamación.
- Bicarbonato de sodio en la llaga: Neutraliza el ambiente ácido y combate microorganismos.
- Té de manzanilla con miel: Calma el dolor y ayuda a cicatrizar.
- Gel de aloe vera: Reduce la irritación y acelera la recuperación de los tejidos.
- Aceite de clavo: Adormece la zona y calma el dolor.
Candidiasis Oral (Hongos en la Boca)
- Yogur natural con probióticos: Restablece el equilibrio en la flora bucal.
- Enjuagues de agua salada o bicarbonato: Dificultan el crecimiento del hongo.
- Enjuague de aceite de árbol de té: Combate directamente al Candida y ayuda a desinflamar.
- Gel de aloe vera: Propiedades antifúngicas, antiinflamatorias y cicatrizantes.
- Ajo crudo: Propiedades antifúngicas.
- Vinagre de manzana diluido: Inhibe el crecimiento del hongo y mejora la respuesta inmune.

Infecciones en las Encías (Gingivitis)
- Mejora tu higiene bucal: Cepíllate suavemente y usa hilo dental.
- Enjuague de agua tibia con sal: Reduce las bacterias y calma la irritación.
- Gel o enjuague de aloe vera: Alivia el enrojecimiento y promueve la cicatrización.
- Pasta de cúrcuma: Reduce la placa bacteriana y la inflamación.
- Clavo de olor para el dolor: Analgésico local.
- Aceite de coco (oil pulling): Reduce bacterias bucales.
Absceso Dental (Flemón)
- Higiene extrema en la zona: Limpia suavemente el área afectada.
- Enjuagues de agua con sal frecuentes: Ayuda a que el absceso drene más rápidamente.
- Compresas frías externas: Reduce la inflamación y adormece el dolor.
- Clavo de olor para el dolor de muela: Alivia el dolor gracias a su efecto anestésico.
- Bolsita de té en la encía: Reduce la inflamación y facilita el drenaje del absceso.
- Drenaje casero suave (si hay pus): Masajea suavemente para empujar la pus hacia afuera.
Recuerda que un absceso dental requiere atención profesional inmediata. Los remedios caseros son solo medidas de primeros auxilios mientras esperas tu cita con el dentista.
Consejos Adicionales para el Cuidado Bucal
- Mantén una buena higiene bucal: Cepíllate los dientes al menos dos veces al día y usa hilo dental diariamente.
- Visita a tu dentista regularmente: Realiza revisiones y limpiezas profesionales al menos una vez al año.
- Evita el tabaco y el alcohol: Estas sustancias pueden irritar las encías y empeorar los problemas dentales.
- Cuida tu alimentación: Evita alimentos azucarados y ácidos, y consume una dieta rica en vitaminas y minerales.
- Utiliza productos adecuados: Elige un cepillo de dientes suave y una pasta dental con flúor, y considera usar un enjuague bucal antibacteriano.
Tabla Resumen de Remedios Caseros
| Remedio Casero | Propiedades | Uso |
|---|---|---|
| Milenrama | Antiinflamatoria, analgésica | Masticar hojas, infusión para gárgaras |
| Té verde | Antiinflamatoria, antioxidante | Infusiones diarias |
| Salvia | Antiinflamatoria | Masticar hojas, infusión para gárgaras |
| Aloe Vera | Antiinflamatoria, cicatrizante | Gel directamente en las encías |
| Aceite de coco | Antiinflamatoria, antimicrobiana | Masaje en las encías |
| Aceite de limón | Antiséptica, antimicrobiana | Masaje en las encías, gárgaras |
| Agua con sal | Antiséptica, antiinflamatoria | Enjuagues bucales |
Con estos consejos y recomendaciones, puedes estar seguro de que estás cuidando tus dientes y encías de manera adecuada. No dudes en contactar a un profesional dental para resolver cualquier duda y asegurar una salud bucal óptima.