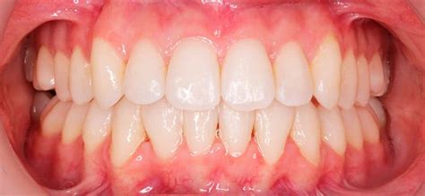
La inflamación de encías (encías hinchadas, rojas y sensibles) suele deberse a la placa bacteriana. Entender por qué ocurre y cómo tratarla es fundamental para mantener una buena salud bucal.

Causas de la Inflamación de Encías
La principal causa de las encías inflamadas es la acumulación de placa bacteriana debida a una higiene oral deficiente. Sin embargo, existen varios factores y condiciones que pueden provocar o empeorar la inflamación gingival.
1. Placa Bacteriana y Gingivitis (Higiene Deficiente)
La boca está llena de bacterias que forman una película pegajosa llamada placa dental sobre los dientes. Si no la eliminas correctamente con el cepillado y el hilo dental, la placa se acumula especialmente en el borde de las encías. Estas bacterias liberan toxinas que irritan e inflaman las encías, provocando gingivitis. La gingivitis es la etapa inicial de la enfermedad de las encías: causa enrojecimiento, hinchazón y sangrado leve. Es muy común y reversible con una buena limpieza; pero si la placa persiste, puede endurecerse formando sarro y llevar a etapas más graves.
2. Sarro y Periodontitis Avanzada
Cuando la placa no se retira a tiempo, se calcifica formando sarro (cálculo dental), un depósito duro adherido al diente que no se puede quitar con el cepillo normal. El sarro acumulado debajo de la línea de la encía mantiene la encía constantemente inflamada. Si no se trata la gingivitis inicial, puede progresar a periodontitis, que es una infección más profunda de las encías. En la periodontitis, las bacterias avanzan debajo de la encía destruyendo el tejido de soporte del diente (ligamento y hueso). Esto agrava la inflamación y provoca síntomas más severos: encías muy hinchadas que pueden supurar pus, retracción (la encía se va “encogiendo” y dejando el diente más expuesto), movilidad dental e incluso riesgo de pérdida del diente.
3. Cambios Hormonales
Las fluctuaciones hormonales pueden volver tus encías más sensibles. Por ejemplo, durante la pubertad aumentan ciertas hormonas que pueden intensificar la respuesta inflamatoria de las encías ante la placa. En mujeres adultas, muchos notan que justo antes de la menstruación las encías se vuelven más rojas o sangran con facilidad (gingivitis menstrual). Y especialmente durante el embarazo ocurren cambios hormonales drásticos: el aumento de progesterona y estrógenos incrementa el flujo de sangre en las encías y puede debilitarlas frente a las bacterias. De hecho, es frecuente la gingivitis del embarazo: encías muy inflamadas, rojas y que sangran en el segundo o tercer trimestre. Los cambios hormonales del embarazo también pueden disminuir la capacidad del cuerpo para combatir la placa bacteriana, aumentando la probabilidad de inflamación.
4. Deficiencias Nutricionales
Una dieta pobre en ciertos nutrientes debilita la salud de las encías. En particular, la falta de vitamina C es conocida por causar encías inflamadas y sangrantes (esto es básicamente lo que ocurre en el escorbuto, una enfermedad por déficit de vitamina C). Este nutriente es clave para la reparación de los tejidos y la salud del colágeno en las encías. La carencia de vitaminas del grupo B o de hierro también puede manifestarse con encías más enrojecidas e inflamadas de lo normal. Por eso, si tus encías están sensibles e hinchadas y además llevas una alimentación deficiente en frutas, verduras u otros alimentos frescos, es posible que la causa sea nutricional.
5. Medicamentos o Enfermedades Sistémicas
Algunos fármacos pueden tener efectos secundarios sobre las encías. Por ejemplo, ciertos medicamentos para la epilepsia (como la fenitoína), inmunosupresores o incluso bloqueadores de los canales de calcio (para la hipertensión) pueden causar crecimiento excesivo de las encías (hiperplasia gingival) e inflamación. Otros, como los antidepresivos o antihistamínicos, reducen la salivación causando boca seca, lo cual facilita la acumulación de placa y la irritación. Además, padecer enfermedades sistémicas como diabetes mal controlada o trastornos inmunológicos puede aumentar la propensión a infecciones en las encías y dificultar su curación.
6. Tabaco y Otros Irritantes Químicos
El fumar cigarrillos (o consumir tabaco en cualquier forma) es uno de los peores enemigos de las encías. El tabaco no solo introduce toxinas en la boca que irritan el tejido gingival, sino que además reduce la vascularización de las encías y “enmascara” la inflamación (las encías de fumadores avanzados pueden no sangrar mucho, dando falsa impresión de estar sanas mientras la enfermedad periodontal progresa por debajo). Los fumadores tienen mayor riesgo de gingivitis y, sobre todo, de periodontitis severa. Asimismo, el consumo habitual de alcohol fuerte puede irritar crónicamente las encías y favorecer su inflamación. Incluso algunos enjuagues bucales con alto contenido de alcohol pueden causar sensación de encías ardoridas o inflamadas en personas sensibles.

7. Prótesis Dentales o Aparatos Mal Ajustados
Si utilizas una prótesis dental removible (como una dentadura postiza parcial o completa) que no ajusta bien, es muy probable que esté provocando roces constantes en la encía. Esa irritación mecánica repetida genera inflamación y enrojecimiento en el área de contacto. Del mismo modo, aparatos de ortodoncia fija (brackets) pueden contribuir a encías inflamadas, bien sea porque dificultan la higiene permitiendo mayor acumulación de placa alrededor, o porque alguna banda/el alambre pueda estar lesionando ligeramente la encía próxima. Los retenedores u otros dispositivos ortodónticos removibles también, si no se limpian y desinfectan adecuadamente, pueden alojar bacterias que irriten las encías. Por ello, es importante que cualquier aparato o prótesis esté bien adaptado por el dentista y realizar controles periódicos de ajuste.
8. Otras Causas Menos Frecuentes
Existen condiciones más inusuales que pueden cursar con encías hinchadas. Por ejemplo, infecciones virales como el herpes simple pueden causar gingivoestomatitis herpética aguda, donde las encías se inflaman mucho y duelen. Las infecciones por hongos, como la candidiasis oral, a veces provocan encías enrojecidas y áreas de irritación. Reacciones alérgicas a alimentos o a materiales dentales (como ciertos metales de coronas) podrían manifestarse con inflamación localizada. Traumatismos o heridas en la encía (por cepillado muy brusco, por ejemplo) generan inflamación reactiva mientras cicatriza. Incluso enfermedades autoinmunes como el líquen plano oral pueden dar encías inflamadas y dolorosas.
Además de las causas directas, existen ciertos factores que aumentan tu riesgo de sufrir encías inflamadas o agravan una inflamación existente.
- Tabaquismo: Disminuye la respuesta inmune de las encías y su flujo sanguíneo.
- Diabetes mal controlada: Debilita la capacidad del organismo para combatir infecciones.
- Cambios hormonales en la mujer: Pueden volver las encías más vulnerables.
- Sistema inmune comprometido: Afecta la salud de tus encías.
- Estrés crónico: Puede disminuir la respuesta inmunitaria y aumentar la inflamación sistémica.
- Historia familiar (genética): Predisposición a la enfermedad periodontal.
- Mala posición dental o apiñamiento: Crean áreas de difícil acceso al cepillar.
- Uso de aparatos dentales: Demanda extrema rigurosidad en la higiene.
- Dieta rica en azúcares/refrescos: Promueven el crecimiento bacteriano.
¿Cómo Saber si Tienes las Encías Inflamadas?
Es posible que te preguntes cómo saber si realmente tienes las encías inflamadas o cuáles signos acompañan a esta condición.
- Enrojecimiento y cambio de color: Las encías sanas suelen ser rosadas pálidas. Si están inflamadas, toman un tono rojo intenso o incluso violáceo.
- Hinchazón o abultamiento: Al inflamarse, el tejido gingival se ve engrosado, abultado o sobresaliendo más de lo normal. Las papilas (triangulitos de encía entre diente y diente) se ven agrandadas.
- Sensibilidad y dolor de encías: Las encías inflamadas a menudo están sensibles al tacto - por ejemplo, molestia al cepillarte o morder alimentos duros. Pueden doler de forma sorda o pulsátil, especialmente si la inflamación es por infección aguda.
- Sangrado gingival: Es uno de los síntomas más comunes. Puedes notarlo al escupir la pasta dentífrica con hilos de sangre, o al pasar el hilo dental. En encías inflamadas incluso morder una manzana o pan duro puede provocar sangrado.
- Encías retraídas: Cuando la inflamación es crónica (como en periodontitis), la encía puede ir retrocediendo y dejando expuesta una porción mayor del diente. Notarás los dientes “más largos” o pequeños espacios negros entre dientes donde antes había encía.
- Mal aliento persistente: El halitosis o mal sabor de boca es frecuente cuando hay inflamación e infección en las encías. Las bacterias implicadas liberan compuestos sulfúricos de olor desagradable.
- Supuración (pus) en la encía: En casos de infección periodontal avanzada o absceso dental, la encía inflamada puede llegar a formar un flemón o bolsita de pus. Verás un punto blanco-amarillento en la encía muy roja, acompañado de dolor punzante.
- Movilidad en los dientes: En etapas avanzadas de periodontitis, al haberse dañado el hueso de soporte, los dientes pueden aflojarse.
Importante: En ocasiones la inflamación de encías puede pasar desapercibida en cuanto a dolor - por ejemplo, en una gingivitis inicial puede que solo veas un poco de sangre al cepillar pero no sientas dolor. No esperes a tener dolor para actuar.
Diagnóstico y Tratamiento Profesional
Siempre que notes tus encías inflamadas de forma persistente, lo recomendable es consultar al dentista para un diagnóstico preciso. En la consulta, el odontólogo o periodoncista examinará tus encías con detalle: observará su color, forma, si sangran al sondearlas suavemente y medirá las bolsas periodontales (espacios entre diente y encía). También revisará tu historia clínica (en busca de factores como cambios hormonales, enfermedades sistémicas, medicamentos actuales) y puede realizar radiografías dentales para ver el estado del hueso alrededor de tus dientes.
¿Qué puede hacer el dentista en la consulta? Además de diagnosticar, el odontólogo podrá realizar un tratamiento inmediato según el caso: por ejemplo, una limpieza dental profesional para eliminar la placa y el sarro acumulado (aliviando la causa de la inflamación), drenar un absceso si lo hubiera, o recetar un enjuague especial o antibiótico si hay infección.
En resumen, no esperes a que el problema empeore. Si tus encías “se quejan” a través de inflamación o sangrado, sobre todo de forma continua, toma eso como una señal de ¡acude al dentista! antes de que pueda progresar a daños mayores.
Tratamientos y Cuidados Caseros
El tratamiento de las encías inflamadas dependerá de la causa y la gravedad del problema. En términos generales, existen dos ámbitos de actuación: los tratamientos profesionales que se realizan en la clínica dental y los cuidados o remedios caseros que puedes hacer en casa para mejorar la condición de tus encías. Lo ideal es combinar ambos: primero resolver la causa principal en el consultorio y, paralelamente, mantener buenos cuidados diarios.
En términos generales, el tratamiento se centra en:
- Mejorar la higiene oral: Cepillado adecuado y uso de hilo dental.
- Limpieza profesional: Para eliminar placa y sarro.
- Enjuagues bucales: Antisépticos para reducir la inflamación.
- Tratamiento de infecciones: Antibióticos si es necesario.
Inflamación de Encías en Implantes Dentales
La colocación de implantes dentales es un procedimiento común para reemplazar dientes perdidos. Uno de los problemas más frecuentes que pueden surgir es la inflamación de las encías alrededor del implante. Esta inflamación puede ser un signo de condiciones como mucositis o periimplantitis.

Mucositis periimplantaria: Es un proceso inflamatorio que se genera alrededor de los tejidos blandos que rodean al implante, se denomina en la odontología como la gingivitis de los implantes y, si no se trata, puede llegar a provocar la pérdida del hueso y el fracaso del implante.
Periimplantitis: Cuando la mucositis no se cuida, esta se convierte en una periimplantitis, que se forma debido a la acumulación de placa bacteriana y la inestabilidad del hueso; allí se afectan los tejidos blancos y duros.
El diagnóstico temprano de la periimplantitis es crucial para el éxito del tratamiento. La evaluación clínica es el primer paso en el diagnóstico de la inflamación periimplantaria. Las radiografías son una herramienta fundamental en el diagnóstico de infecciones en los tejidos periimplantarios.
El tratamiento de la periimplantitis es un proceso que requiere atención especializada. Las terapias antibióticas son fundamentales en el tratamiento de la periimplantitis, especialmente cuando se evidencian signos de infección. Cuando la periimplantitis avanza y las terapias antibióticas no son suficientes, puede ser necesaria una intervención quirúrgica.
La inflamación gingival es una complicación común que puede surgir tras la colocación de un implante dental. Mantener una buena salud bucodental es fundamental para prevenir esta situación.
Para conservar la salud de las encías y prevenir la inflamación, se debe adoptar una rutina de cuidados que incluya hábitos saludables. La higiene oral es esencial para mantener los tejidos que rodean el implante en buen estado. Las visitas periódicas al dentista son cruciales para mantener la salud general de la boca y los implantes.
Es importante visitar al dentista en ciertas circunstancias. Las revisiones periódicas son igualmente fundamentales para asegurarse de que todos los aspectos del implante están en buen estado. Una rápida actuación frente a estos síntomas permite un tratamiento más efectivo y puede prevenir complicaciones adicionales que pongan en riesgo la salud bucodental.
Problemas Comunes con Coronas Dentales
Aunque están fabricadas con materiales resistentes y duraderos, las coronas se rompen de vez en cuando. Los pequeños desconchones y grietas pueden repararse, pero pueden empezar a aparecer problemas a través de estos.
- Corona Dental Suelta: Si la corona aún está en buen estado, su dentista la cementará rápidamente.
- Mala Colocación de la Corona: Puede afectar a la mordida.
- Sensibilidad: A alimentos y bebidas fríos y calientes al comer.
- Coronas Dañadas: Aumenta la probabilidad de que aumente la caries.
- Caries: Una higiene bucal deficiente puede provocar caries debajo de una corona.
- Problemas con la Mordida: Una corona mal ajustada puede afectar a la mordida.
- Compresión de los nervios: Puede provocar daños e irritación.
- Encías grisáceas: Se trata de la raíz metálica o más oscura de la corona que sobresale a través de la encía.
- Reacciones Alérgicas: Las coronas metálicas pueden provocar reacciones alérgicas en algunas personas.
- Problemas Estéticos: Es necesario colocar una que coincida con el color de sus dientes.
- Desgaste Dental Excesivo: Las coronas dentales potentes corren el riesgo de desgastar los dientes cercanos.
- Irritación de las Encías: Un tejido gingival adyacente irritado por una corona dental puede inflamarse y presentar una desagradable y dolorosa recesión gingival.
Para evitar estos problemas, es crucial mantener una buena higiene dental, usar hilo dental con frecuencia y cepillarse los dientes dos veces al día. Las revisiones dentales periódicas permiten al dentista examinar la corona y detectar cualquier signo temprano de caries o daños.
Tabla Resumen: Causas, Síntomas y Tratamientos
| Causa | Síntomas | Tratamiento |
|---|---|---|
| Placa Bacteriana | Enrojecimiento, hinchazón, sangrado | Higiene oral, limpieza profesional |
| Cambios Hormonales | Sensibilidad, inflamación | Higiene oral, control hormonal |
| Deficiencias Nutricionales | Encías sangrantes, inflamadas | Dieta equilibrada, suplementos |
| Tabaco | Inflamación, sangrado | Cesar el consumo de tabaco |
| Prótesis Mal Ajustadas | Irritación, inflamación | Ajuste o reemplazo de la prótesis |