Cuando hablamos de inflamación de encías nos referimos a aquellas encías que están más inflamadas o hinchadas de lo habitual. A simple vista, son los propios pacientes quienes aprecian este problema al ver como sus encías cambian de grosor e incluso de color.

Tener las encías inflamadas es un problema muy común en la ciudadanía española. De hecho, la Sociedad Española de Periodoncia y Osteointegración (SEPA) declaró en un informe que tan solo el 14.8% de los adultos entre 35 y 44 años tiene las encías sanas. El 59,8% padece gingivitis y el 25,4% sufre periodontitis o piorrea. Por tanto, es fundamental determinar las causas de la inflamación de encías para establecer el tratamiento más adecuado y poder curarlas.
¿Por qué es importante cuidar las encías?
La importancia de cuidar las encías reside en que son una parte vulnerable de la boca, por lo tanto, para evitar enfermedades periodontales y conseguir tener una buena salud bucodental, deben estar sanas.
Unas encías saludables deben de mostrar un tono rosado y estar perfectamente pegadas a los dientes.
Sabemos que tenemos nuestras encías inflamadas cuando están más hinchadas de lo normal. La inflamación de las encías se puede distinguir a simple vista y suele ir acompañada de un enrojecimiento e irritación.
Desde LISTERINE® queremos que mantengas una boca sana en todo momento, por eso queremos darte toda la información necesaria para que conozcas el estado en que se encuentran tus encías y puedas protegerlas de la inflamación.
Causas de las encías inflamadas
Son muchos los motivos que pueden propiciar las encías inflamadas. A veces no es más que un síntoma leve, que desparece en pocos días. Pero, es posible que la causa sea una infección bucodental. En este caso hay que prestar atención al problema y ponerle remedio cuanto antes.
La inflamación de encías puede deberse a factores muy diversos que van desde una irritación temporal causada por un alimento o un medicamento que estemos usando a una enfermedad periodontal compleja.
La inflamación de las encías responde a numerosos motivos. En ocasiones se trata simplemente de un problema pasajero, que no resulta en absoluto complejo.
La inflamación de encías puede deberse a múltiples factores, pero algunas de las causas más frecuentes son las siguientes:
- Gingivitis: La gingivitis se produce por depósitos de sarro que no se eliminan en la higiene diaria. Se suele manifestar con sangre durante el cepillado de los dientes. Esta es la primera fase de la periodontitis.
- Periodontitis: Surge si la gingivitis no se trata. Esta enfermedad destruye progresivamente encías, huesos y tejidos de la boca.
- Brackets o dentaduras: Estos aparatos pueden dificultar la higiene dental y por lo tanto podrían irritar las encías.
- Déficit nutricional: La falta de vitamina C o hierro también pueden ser un factor para provocar inflamación de encías.
- Medicamentos: El uso de determinados medicamentos puede provocar encías inflamadas como efecto secundario.
- El uso de dentaduras postizas mal ajustadas.
👉 PERIODONTITIS o PIORREA: Tratamiento eficaz para CURAR tus ENCÍAS 👄
Gingivitis
Hablamos de gingivitis cuando existe una enfermedad periodontal que está iniciando. Se produce a consecuencia de una infección bacteriana. Si no eliminas las bacterias mediante la higiene bucodental, estas se convertirán en sarro.

La gingivitis se produce por la formación de depósitos de sarro que no son eliminados durante la higiene diaria. Se manifiesta con sangre durante el cepillado. Otros síntomas que nos pueden poner sobre la pista serían el sangrado espontáneo, la inflamación o la coloración morada.
Es la primera fase de una enfermedad periodontal y, sin un tratamiento adecuado, deriva en periodontitis.
Periodontitis
Si no has tratado con rapidez la gingivitis, la patología evolucionará de manera natural hacia una periodontitis. En este punto, la infección ya ha comenzado a provocar serios daños y es irreversible. Esto significa que no podremos eliminarla solo con la higiene bucodental en casa o la profilaxis oral en la clínica.
Como hemos comentado antes, si la gingivitis se transforma en periodontitis significará que se formarán bolsas periodontales entre la encía y el diente. Estas bolsas, con el paso del tiempo, tendrán más capacidad para poder acumular más bacterias. Los tejidos periodontales sufren un proceso de deterior y destrucción a consecuencia de las bacterias.
Por ello, es importante que realicemos un sondaje periodontal, que nos permita advertir se existen bolsas periodontales, su tamaño y su profundidad. Tras el completo estudio periodontal previo, uno de los tratamientos más conservadores para evitar la pérdida de dientes es la realización del conocido como curetaje dental. En algunos casos, no obstante, es importante diseñar una cirugía periodontal.
Otras causas
Además de las dos que ya te hemos mencionado, son muchas las infecciones que pueden formarse en la boca. Es posible que la inflamación de encías sea consecuencia directa de algún tipo de carencia a nivel nutricional.
La ortodoncia, sobre todo cuando se tarta de una ortodoncia con brackets, también podría ser la causante de las encías inflamadas. Esto ocurre porque los brackets suelen complicar la limpieza de los dientes. Además, en nuestra clínica dental en Madrid te ofrecemos otras soluciones ortodónticas, como Invisalign, que es mucho más discreta y te asegura una higiene oral estupenda.
Si su encía presenta inflamación alrededor de un único diente, puede ser porque no se haya cepillado o no haya utilizado el hilo dental correctamente, por lo que quizás haya descuidado una zona en la que se han acumulado residuos de alimentos que pueden causar caries e inflamación. Con el paso del tiempo, esta higiene bucodental inadecuada también puede provocar la enfermedad periodontal.
Otra culpable habitual de la inflamación de la encía alrededor de un diente es la enfermedad periodontal, una afección prevalente por la que debe permanecer alerta cada vez que se cepille. En sus fases más tempranas, los síntomas son la inflamación y el enrojecimiento de las encías, que pueden sangrar aunque no presenten dolor.
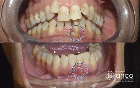
Un absceso dental es una causa muy común de la inflamación local de la encía e indica que tiene una infección en el diente o a su alrededor. A menudo, puede producirse por una caries que no se ha tratado y que ha dado paso a la proliferación de las bacterias a través del diente, provocando así una infección. Tenga en cuenta que puede causarle irritación y al final, si no se trata, puede costarle el diente.
Entre los indicios del absceso dental se incluyen: dolor punzante, encías rojas o inflamadas, hinchazón de la mandíbula o el rostro, sensibilidad o dolor en el diente, fiebre e incluso la presencia de sabor salado en la boca.
Como ya hemos mencionado, las encías rojas e inflamadas pueden ser un síntoma temprano, o pueden ser un problema individual. Las razones son muy diversas, pero generalmente se previenen limpiándonos los dientes tres veces al día, usando hilo dental y enjuagándonos con flúor.
¿Por qué sangran las encías?
Con la edad el sangrado durante el cepillado se vuelve más frecuente. Es importante no restarle importancia a esta situación y consultar con un dentista. Es un síntoma -posiblemente acompañado de otras señales de alarma que solemos pasar por alto, como las encías hinchadas, enrojecidas o irritadas-, de la gingivitis, la fase inicial de la enfermedad periodontal.
Millones de adultos sufren alguna clase de enfermedad periodontal, aunque solo una parte muy pequeña se da cuenta, puesto que el dolor de encías no es un síntoma inicial. Lo positivo es que la fase inicial es prevenible si mejoras el cuidado bucal diario , sigues nuestros consejos y visitas con frecuencia al dentista para que este elimine la placa y el sarro mediante una limpieza.
Pero si no se trata , la sangre en el lavabo puede derivar en una enfermedad periodontal grave ( periodontitis ) que ataca a las encías, erosiona la mandíbula y es el principal motivo de la caída de los dientes . Si ves gotas de sangre, no esperes más para comenzar a mejorar tu rutina de cepillado, hilo dental y enjuague.
¿Por qué retroceden las encías?
Las encías retraídas son uno de los síntomas más evidentes de la enfermedad periodontal y se caracterizan por el hecho de que tus encías y el hueso se alejan del diente y dejan al descubierto una parte mayor de la parte inferior de este, dando lugar a una manifiesta recesión.
Este síntoma, también denominado retracción de las encías , deja la raíz del diente expuesta a las bacterias nocivas y la boca vulnerable a una inmensa variedad de problemas de salud. Si va acompañado de enrojecimiento e inflamación de las encías y estas sangran con el cepillado, es muy probable que se trate de la enfermedad periodontal en su fase inicial.
Es importante actuar con tiempo, ya que, si no las consecuencias pueden ser graves e irreversibles , como la pérdida de la dentina (tejido óseo, denso y duro que conforma la mayor parte del diente por debajo del esmalte y que mantiene el diente firmemente sujeto) y las raíces expuestas pueden ablandarse, doler o infectarse.

Remedios caseros para las encías inflamadas
Desde Listerine te proporcionamos una serie de consejos para evitar la inflamación de encías:
- Bebe agua: El agua puede eliminar los depósitos de alimentos y bacterias.
- Evita el consumo de alcohol y tabaco: El consumo de este tipo de sustancias puede dar lugar a encías irritadas.
- Utiliza hilo dental: Usar hilo dental por lo menos una vez al día para mantener una higiene bucal adecuada. Este alcanza sitios donde el cepillo no puede llegar.
- Cepíllate los dientes después de cada comida: Es importante lavarse los dientes al menos durante dos minutos.
- Alimentación equilibrada: Comer frutas y verduras, así como reducir la ingesta de alimentos y bebidas azucarados puede reducir el riesgo de tener encías inflamadas.
- Uso de colutorio: El colutorio y los enjuagues bucales después del cepillado ayudan a completar tu limpieza bucodental y a prevenir posibles enfermedades de encías.
Puedes llevar a cabo una serie de consejos para evitar que puedas desarrollar inflamación de encías en un futuro.
- Cepíllate los dientes después de cada comida: es importante hacerlo durante dos minutos con pasta dental con flúor.
- Utiliza hilo dental: en general, se recomienda su uso una vez al día.
Cepillarte los dientes suavemente después de cada comida. Es importante que, aunque sientas molestias, no descuides tu salud bucal. Usa hilo dental para quitarte los restos de comida entre los dientes. Prueba enjuagarte la boca con un poco de agua salada. Pon agua en un vaso, echa un poquito de sal y remueve.
¿Qué hacer si tienes las encías inflamadas?
Si tienes las encías inflamadas debes de visitar al dentista cuanto antes.
No basta con cepillarse los dientes dos veces al día, el uso de hilo dental para la limpieza interdental y de un enjuague bucal eficaz es igual de importante. Además, asegúrese de que sus utensilios y su técnica de higiene bucodental son los adecuados. Por ejemplo, si tiene un espacio ancho entre dos dientes, un cepillo interdental puede ayudarle a limpiar la zona intermedia.
No obstante, ante cualquier problema en tu salud bucal debes acudir lo más pronto posible a tu dentista. Las encías inflamadas nos pueden estar avisando de que existe algún tipo de infección en la boca que se debe de eliminar con celeridad. Además, este problema suele ir acompañado de un enrojecimiento y un posible sangrado de las encías. Por lo tanto, es un síntoma claro de enfermedad periodontal.
Disfrutar de una boca sana y una sonrisa bonita dependerá de cuánto cuidado le dedique a sus dientes y sus encías.
Tratar la inflamación de encías requiere de una revisión bucodental previa y exhaustiva. En función de la causa que esté provocando esta hinchazón, el abordaje terapéutico podría ser de un tipo u otro. Acudir a la clínica dental es una prioridad en estos casos.
Ante la presencia de cualquiera de estos síntomas es recomendable que visites al dentista. El periodoncista te ayudará a eliminar la infección con seguridad.
Independientemente de las soluciones que busques en casa, si el problema persiste más de un par de días necesitarás acudir al dentista. Es posible que la solución consista sólo en medicamentos antiinflamatorios.
Posibles soluciones
Ahora bien, hay varias posibles soluciones al retroceso de encías como los injertos, que se llevan a cabo en casos donde el paciente necesita reparar daños y/o desea recuperar el buen aspecto de esa zona por una razón estética. Puede realizarse con fragmentos de la propia encía del paciente o con biomateriales sintéticos, que se integran perfectamente en su boca.
La finalidad de este artículo es fomentar la comprensión y el conocimiento de temas generales de salud oral. Su propósito no es sustituir la opinión, el diagnóstico o el tratamiento profesionales.
Tabla comparativa de causas y soluciones
| Causa | Síntomas | Soluciones |
|---|---|---|
| Gingivitis | Sangrado al cepillarse, inflamación | Higiene bucal, limpieza dental |
| Periodontitis | Retracción de encías, movilidad dental | Curetaje, cirugía periodontal |
| Absceso dental | Dolor punzante, hinchazón | Tratamiento antibiótico, drenaje |
| Déficit nutricional | Encías inflamadas y sangrantes | Dieta equilibrada, suplementos vitamínicos |
tags: #encias #inflamadas #porque #pasa