Las encías son el soporte básico de nuestros dientes, aguantando la carga de la mordida y protegiendo la raíz de las piezas. Aunque nos resulta muy fácil fijarnos en nuestros dientes, que estén blancos y sanos, no nos fijamos tanto en las encías, en el color que tienen y en su mantenimiento.
Revisar tu boca periódicamente, en casa o en la consulta del dentista, puede ayudar a detectar pronto cualquier problema y prevenir molestias mayores. Si notas que tienes las encías rojas e inflamadas, aunque aún no duelan ni sangren, puede que sea el momento de prestar más atención a tu salud bucal y pedir cita con un profesional.

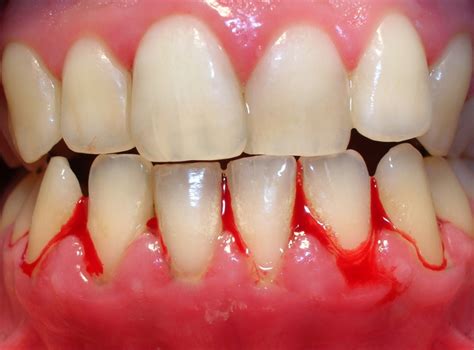
Causas de las Encías Rojas e Inflamadas
Una de las principales causas de encías rojas e inflamadas es la acumulación de placa, es decir bacterias, en los dientes. En estos casos podemos hablar de caries, gingivitis y otros trastornos periodontales.
Puede deberse a una limpieza bucal deficiente, puede que haya factores genéticos o puede ser por un golpe fuerte en la boca. Las razones son muy diversas, pero generalmente se previenen limpiándonos los dientes tres veces al día, usando hilo dental y enjuagándonos con flúor.
- Higiene bucal deficiente: Acumulación de placa bacteriana.
- Factores genéticos: Predisposición hereditaria a problemas en las encías.
- Traumatismos: Golpes fuertes en la boca.
👉 PERIODONTITIS o PIORREA: Tratamiento eficaz para CURAR tus ENCÍAS 👄
Síntomas de la Gingivitis
Posiblemente tengas sensación de picor, encías rojas, hinchadas, sensibles, te sangran tras cepillarte los dientes, e incluso tienes mal aliento. Estos son algunos síntomas de la gingivitis.
El primer signo suele ser el sangrado de las encías: Cuando te cepillas los dientes, la pasta que escupes no es blanca, sino de color rojizo. Morder una manzana deja un regusto metálico y marcas rojas. Y cuando te limpias entre los dientes, te sale sangre aunque no hayas apretado fuerte con el cepillo interdental ni te hayas resbalado con la seda dental. Si luego observas la zona sangrante, verás que las encías están rojas e inflamadas.

Tratamientos y Remedios Caseros
Como ya hemos mencionado, las encías rojas e inflamadas pueden ser un síntoma temprano, o pueden ser un problema individual. Es importante que, aunque sientas molestias, no descuides tu salud bucal.
Independientemente de las soluciones que busques en casa, si el problema persiste más de un par de días necesitarás acudir al dentista. Es posible que la solución consista sólo en medicamentos antiinflamatorios.
Medidas a tomar en casa:
- Cepillarte los dientes suavemente después de cada comida.
- Usa hilo dental para quitarte los restos de comida entre los dientes.
- Prueba enjuagarte la boca con un poco de agua salada. Pon agua en un vaso, echa un poquito de sal y remueve.
Tratamientos profesionales:
- Higiene bucal minuciosa: La medida más importante es una higiene bucal especialmente minuciosa.
- Limpieza dental profesional: Programa citas regulares para una limpieza dental profesional.
- Raspado y alisado radicular: En casos más graves, puede ser necesario un tratamiento llamado raspado y alisado radicular. En el caso de que aún se detecten cálculos profundos, puede ser necesario recurrir a una fase quirúrgica, que implica el levantamiento de la encía para limpiar la raíz.
Otros remedios caseros:
- Enjuagues bucales con agua tibia y sal: Uno de los más conocidos y efectivos es realizar enjuagues bucales con agua tibia y sal.
- Limón: La utilización del limón.
- Té: El té también nos va a ayudar para las encías inflamadas, ya que tiene una solución antiséptica natural que es capaz de desinfectar y mejorar la curación.
- Alimentación equilibrada: En algunos casos por ciertas deficiencias de nutricionales puede parecer inflamación de las encías, por tanto, una dieta equilibrada puede solucionar el problema.
Duración de la Inflamación de las Encías
Con una higiene bucal completa, la gingivitis aguda se cura en pocos días. La gingivitis aguda no suele causar dolor y desaparece por sí sola en una o dos semanas si durante este tiempo se presta especial atención a un cuidado dental minucioso. Si no ha desaparecido, los médicos hablan de gingivitis crónica, que también puede causar dolor.
Prevención de la Inflamación de las Encías
La amarga verdad es que la causa más grave, con diferencia, es un cepillado dental inadecuado. Nuestra cavidad bucal es un auténtico biotopo para innumerables bacterias que se alimentan de restos de comida. Cuantos más restos de comida dejemos en la boca, más rápido se propagarán las bacterias.
Consejos para una correcta higiene bucal:
- Cepíllate los dientes como de costumbre dos veces al día durante unos tres minutos, idealmente después del desayuno y justo antes de acostarte.
- Si sus encías ya están inflamadas e irritadas, debería utilizar un cepillo especialmente suave. Así evitarás lesiones adicionales en las encías, recesión gingival y dolor al cepillarte los dientes.
- Evite los dentífricos con agentes blanqueadores agresivos, abrasivos para el esmalte e ingredientes como el SLS (laurilsulfato sódico).
- Utiliza cepillos interdentales para limpiar los espacios interdentales.
Recuerda que siempre es preferible prevenir los problemas de encías, así que aprende a reconocer las señales de alarma y visita a tu dentista.
Dolor de Dientes y Encías
El dolor de dientes y encías es una de la principales razones por las que los pacientes van a visitar a su dentista. Conocer a qué se debe el dolor de dientes y encías es fundamental para poder proporcionar el mejor tratamiento dental.
Causas del dolor de dientes:
- Sensibilidad dental: Se produce al comer o beber alimentos calientes, fríos, ácidos o dulces.
- Infección periapical
- Dolor pulpar: Si hay una manifestación de dolor agudo o crónico, si es continuo o constante, al tomar líquidos fríos, calientes, dolores que se aumentan al acostarse.
Para tratar el dolor de dientes, visita a nuestros dentistas especialistas en la clínica dental.
Conclusión
Por tanto, hemos visto que el problema de las encías inflamadas es una patología bastante frecuente y que puede ser debida a muchos factores, algunos leves y otras más graves. Los problemas en la boca como las encías rojas e inflamadas pueden ser muy molestos y hacer un poco más difíciles las tareas diarias, así como agravarse y resultar en la caída de dientes.