La inflamación de las encías, también conocida como inflamación gingival, es un problema que afecta a gran parte de la población, y es por eso que muchos pacientes lo perciben como algo habitual y no le dan la importancia merecida. Que sea un problema común no significa que no debamos prestarle atención, ya que la inflamación de encías puede estar alertándonos de una afección mayor.
Las encías son el soporte fundamental de tus dientes. Mantenerlas saludables es esencial para evitar problemas como la gingivitis y la periodontitis, que pueden llevar a la pérdida de tus dientes.
Debemos estar atentos a cualquier signo de problemas en las encías, como enrojecimiento, hinchazón o sangrado durante el cepillado o al usar el hilo dental. Estos síntomas pueden indicar la presencia de enfermedades periodontales que requieren atención profesional.
En este artículo te explicaré de forma clara por qué se inflaman las encías y qué puedes hacer para tener encías sanas nuevamente.
¿Cómo se si mis encias estan inflamadas?
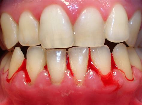
Uno de los sintomas mas notorios cuando tus encias estan inflamadas es su color rojo brillante o morado, cuando lo saludable es que sea de un tono rosa palido, es de un tono rojizo parecido a un frambuesa madura.
El sintoma mas notorio es el sangrado, ya sea al morder alimentos duros que pasen rozando las encias, como puede ser darle un mordisco a una manzana o el mas comun al usar el hilo dental o cepillar los dientes.
Lo mas usual es pensar: me sangran las encias al cepillarme los dientes, puede que lo haya hecho muy fuerte, por cepillarme sangran y me duelen, tal vez es mejor que me deje de cepillar para que no me sangren mas… Pero esta accion solo empeora la situacion, te lleva a entrar en un ciclo vicioso porque al dejar de cepillar tus dientes, mas bacterias se acumulan y la enfermedad empeora.
Las encias deben de ser firmes.
Este es otro de los sintomas mas habituales que van de la mano con las encias inflamadas.
Cuando las encias han estado inflamadas durante mucho tiempo sin ser tratadas es probable que poco a poco vayan retrocediendo dejando ver la raiz del diente, esto entre otras molestias, puede provocar sensibilidad dental.
De color rosa y firmes, así deben lucir unas encías sanas. Por lo que si las tuyas están pálidas o bien rojizas y sientes dolor probablemente tengas la enfermedad de las encías inflamadas.
Si bien se trata de un problema bastante común entre la población ni mucho menos hay que restarle importancia.
La mejor técnica para cepillar los dientes y cómo usar el hilo/seda dental | ¿Cuál hilo es el mejor?
Y es que cuando hablamos de las encías no nos referimos solo a la belleza de tu sonrisa.
En vista de esto, lo mejor que puedes hacer es saber por qué se inflaman las encías, las consecuencias y cuál es el tratamiento profesional que deberías seguir para poner remedio a las encías inflamadas.
Inflamación e infección de encías
Cuando hablamos de problemas en las encías, a menudo se utilizan indistintamente los términos «inflamación» e «infección», pero en realidad no son lo mismo.
La inflamación de encías, conocida médicamente como gingivitis, es una respuesta inicial del cuerpo frente a la irritación provocada, en la mayoría de los casos, por la acumulación de placa bacteriana en los dientes.
La inflamación suele manifestarse con enrojecimiento, hinchazón y sangrado de las encías, especialmente al cepillarse los dientes o al usar hilo dental.
Por otro lado, cuando la inflamación no se corrige, puede evolucionar hacia una infección de encías más seria conocida como periodontitis.
En esta fase, las bacterias ya no solo irritan la superficie de la encía, sino que penetran en los tejidos más profundos, afectando el hueso que sostiene los dientes.
La infección de encías provoca síntomas más graves como dolor, mal aliento persistente, retracción de las encías, movilidad de los dientes e incluso la aparición de pus.
En resumen, la inflamación de encías es una etapa inicial y reversible, mientras que la infección de encías representa una progresión más grave y destructiva del problema.
Por eso, ante los primeros signos de enrojecimiento, sangrado o sensibilidad en las encías, es esencial mejorar la higiene bucodental y acudir al dentista.
¿Por qué se inflaman las encías?
La inflamación de encías, también llamada inflamación gingival, puede obedecer a una gran diversidad de motivos. Independientemente del origen del problema, debe tratarse a tiempo para evitar que surjan complicaciones. Se trata de la primera fase de una enfermedad periodontal.
La formación y acumulación de depósitos de sarro no eliminados durante la higiene bucal diaria es lo que produce el sangrado de encías y su inflamación. Cuando la gingivitis no se trata puede llegar a convertirse en una periodontitis. Entonces la acumulación de bacterias formará bolsas periodontales que derivan en importantes procesos inflamatorios. A veces, este proceso puede producirse de forma silenciosa y parecer poco agresivo hasta que aflora con la pérdida de dientes.
Otra de las causas por las que puedes tener encías inflamadas es debido al empleo de determinados fármacos.
Las encías inflamadas pueden estar relacionadas también con el embarazo, ya que es un proceso hormonal intenso que provoca grandes cambios. Sin embargo, no por habitual, hay que pasarlo por alto. Es más, conviene reforzar la higiene dental para que la hinchazón no pase a ser una gingivitis.
Habitualmente, se relaciona con la falta de vitaminas, concretamente vitamina B y C, que pueden ocasionar un debilitamiento del tejido y en consecuencia dañar las encías y los dientes.
Por último, pueden ser causantes de las encías inflamadas determinados productos de higiene dental.
En cualquier caso, a continuación te daremos, más que unos remedios, unos consejos básicos para evitar la inflamación de encías o tratarla para no agravarla en caso de que sea incipiente.
- Realiza una correcta higiene bucal tras cada comida: es vital realizar un correcto cepillado durante al menos dos minutos empleando una pasta de dientes que contenga flúor.
- Utiliza hilo dental: hacerlo al menos una vez al día.
- Dieta equilibrada: como bien hemos visto la alimentación puede afectar a las encías.
- Vigila los productos de higiene bucal: como ya hemos comentado, las encías inflamadas pueden estar relacionadas con ciertos compuestos de estos productos.
Si finalmente acudes a nuestra consulta, evaluaremos de forma personalizada el estado de tu boca, dientes y encías. Tras el diagnóstico te proporcionaremos un tratamiento contra la inflamación de las encías en caso de que sea necesario para solucionar el problema.
Síntomas de una encía inflamada

- Enrojecimiento y sangrado al cepillarse: Una característica que define las encías inflamadas es el enrojecimiento de las encías, que toman este tono, en lugar del color rosa pálido que tienen en su estado normal. La sensibilidad y la hinchazón en el tejido de las encías puede también causar sangrado con facilidad, tan sólo con el cepillado o el uso de hilo dental
- Dolor o molestia al masticar: Por la sensibilidad en los dientes, provocada por la inflamación, se puede producir dolor o molestias al masticar. También cuando la hinchazón de las encías se debe a una infección, esto produce dolor.
- Mal aliento persistente: La acumulación de bacterias en la boca, que pueden ser causantes de la placa bacteriana o de infecciones en la boca, también son responsables de que la persona pueda sufrir de halitosis o mal aliento
Causas de las encías inflamadas

- Placa bacteriana y sarro: La acumulación de placa dental y sarro, es una de las principales causas de las encías inflamadas. La placa bacteriana es una capa pegajosa que se forma en los dientes y que si no se elimina con cepillado y el uso de hilo dental, se convierte en sarro. Cuando hay mucho sarro, esto hace que las encías se irriten e inflamen.
- Higiene oral deficiente: No tener una rutina de higiene bucal adecuada puede aumentar las probabilidades de que se forme sarro y placa dental y de que reproduzcan bacterias en el interior de la boca, lo cual provoca irritación en las encías.
- Cambios hormonales y su efecto en las encías: En etapas de la vida donde ocurren muchos cambios hormonales, en especial en las mujeres, como durante el embarazo, el postparto, la pubertad y el ciclo menstrual, aumenta el flujo de sangre hacia las encías. Esto puede provocar que se hinchen e irriten con mayor facilidad.
- Fumar y sus consecuencias en las encías: Los efectos de fumar o consumir productos del tabaco aumentan el riesgo de sufrir enfermedades periodontales, ya que reduce la respuesta inmunológica del cuerpo, haciéndolo más susceptible a infecciones. Además, afecta el flujo de la sangre hacia las encías, lo que ralentiza los procesos de cicatrización, recuperación de infecciones o tratamientos orales.
- Uso de prótesis dentales mal ajustadas: El roce constante de una prótesis dental contra las encías, puede causar irritación, enrojecimientos o formación de llagas. Cuando la irritación por la fricción se vuelve muy frecuente se puede convertir en una inflamación crónica.
- Factores genéticos y enfermedades periodontales: Hay personas que son más susceptibles a la formación de bacterias y las inflamaciones, lo que puede aumentar el riesgo de padecer enfermedades periodontales. Por tanto, de sufrir de encías inflamadas.
¿Cómo tratar las encías inflamadas?
El tratamiento más adecuado para las encías inflamadas va a depender de la causa y la gravedad de la condición del paciente. Un dentista o especialista en periodoncia es el especialista que puede realizar una evaluación y así poder determinar cuál es el mejor tratamiento.
- Buena higiene oral diaria: Una rutina de higiene bucal adecuada es esencial para tener una salud dental óptima. Esto significa que para que las encías puedan estar sanas también es indispensable cepillarse al menos dos veces al día, durante dos minutos y complementar con enjuague bucal e hilo dental una vez al día. Al mantener limpias todas las zonas de la boca se puede evitar la reproducción de bacterias que es una de las causas de la encía inflamada.
- Limpieza dental profesional: El odontólogo puede recomendar una limpieza dental profesional si la causa de las encías inflamadas es la acumulación de placa dental y sarro. Este procedimiento logrará eliminar estas condiciones y con ello las encías se irán desinflamando hasta mejorar por completo.
- Enjuagues bucales antimicrobianos: Los enjuagues bucales antisépticos o antimicrobianos son una excelente opción para mantener la boca libre de bacterias. También puedes optar por mezclar una taza de agua tibia con una cucharadita de sal, y con esto hacer gárgaras. La sal funciona como antiséptico, y es un remedio casero sencillo y efectivo, para aliviar la gingivitis.
¿Cuándo acudir al dentista? Señales de alarma que requieren atención profesional
Ante algunos signos de que la condición está empeorando o que, por el contrario, se han tomado medidas como los tratamientos antes mencionados, y no se observa mejoría se recomienda buscar atención de un periodontista de inmediato, si se observa la presencia de algunos o todos los siguientes síntomas.
- Dolor fuerte que resulta insoportable.
- Sangrado abundante.
- Encías retraídas.
- Presencia de secreciones, como pus.
- Fiebre.
- Problemas para tragar.
- Dientes flojos.
Procedimientos dentales
Cuando se trata de pacientes con inflamación de las encías moderada o severa, o que no mejora, puede ser necesario recurrir a distintos tipos de tratamientos. En caso de una inflamación moderada, además de una limpieza dental profesional, el médico puede sugerir alisado radicular, que consiste en el raspado de la raíz del diente para eliminar y evitar que se siga formando placa y sarro, de esta forma se logra mejorar la hinchazón.
En casos más graves, puede ser necesaria una opción quirúrgica. Una gingivectomía es un tipo de cirugía bucal en la que el dentista elimina parte del tejido de las encías, en especial en aquellos pacientes que han desarrollado bolsas periodontales.
Otra cirugía, que puede ser efectiva es el injerto de tejido gingival, este se realiza con el objetivo de cubrir la raíz de un diente que ha quedado expuesta, de esta forma se puede mejorar la condición de pacientes con encías retraídas y evitar el avance de enfermedades de las encías como la periodontitis.
¿Cómo prevenir la inflamación de las encías?
La prevención es fundamental para evitar la inflamación de las encías. Aquí te dejamos algunos consejos prácticos:
- Cepillado adecuado y uso de hilo dental: Tal como lo indicamos, la higiene bucal es esencial para la buena salud bucal y como tratamiento para las encías inflamadas; pero también es una forma de evitar que las encías se inflamen. Cepillarse con la técnica adecuada, el tipo de pasta acorde a las necesidades de la persona y con el tipo de cepillo correcto permiten mantener tus dientes sanos y limpios. Además, utilizar hilo dental y enjuague bucal permite eliminar los residuos de comida y eliminar las bacterias que se acumulan en la boca.
- Dieta rica en vitaminas y minerales: Un déficit de vitaminas y minerales, como la vitamina C y A, hierro, calcio y fósforo, puede provocar que las encías se hinchen; por lo cual, es importante mantener una dieta saludable que aporte las vitaminas y minerales necesarios para mantener las encías sanas. En la dieta diaria se deben incluir alimentos como las frutas y verduras, legumbres, pescados, productos lácteos y cereales integrales si desea estar saludable y que sus encías estén bien cuidadas.
- Evitar el tabaco y el alcohol: Tanto el tabaco como el alcohol son hábitos que afectan la salud general de las personas. Y las encías no son la excepción. Ambos contienen elementos que dañan e irritan el tejido gingival. Por lo cual, se recomienda evitar su consumo para mantener una salud bucal óptima, y encías sanas.
En resumen, las encías inflamadas pueden ser un problema común, conocer las causas y los tratamientos disponibles es clave si crees que estás sufriendo de este problema. Para la prevención es clave una buena higiene bucal y visitas periódicas a tu dentista, esto evitará que pueda convertirse en una afección grave si no es tratada oportunamente.
Si aún no visitas tu odontólogo este año, contáctanos para pedir cita.
Características de unas encías sanas vs. encías inflamadas
Para resumir, aquí hay una tabla comparativa de las características de las encías sanas y las encías inflamadas:
| Característica | Encías Sanas | Encías Inflamadas |
|---|---|---|
| Color | Rosado pálido | Rojo intenso o violáceo |
| Textura | Firme y regular | Hinchada, abultada |
| Sangrado | No presenta sangrado | Sangrado al cepillarse o usar hilo dental |
| Sensibilidad | No duelen | Sensibles o dolorosas al tacto |
| Mal aliento | No presenta | Puede estar presente |
| Retracción | No hay retracción | Puede haber retracción |
Recuerda que la prevención y la atención temprana son clave para mantener tus encías saludables y evitar complicaciones a largo plazo.
tags: #encias #sanas #vs #encias #inflamadas