Las encías son el tejido mucoso que rodea la cavidad oral y abarca todos los dientes. Normalmente, las encías tienen un tono rosado pálido, pero en algunos casos pueden volverse más oscuras, adquiriendo un color marrón o negro. Las encías negras u oscuras pueden generar preocupación, pero es fundamental entender que tienen diversas causas y soluciones.

¿Por qué se oscurecen las encías?
Existen varias razones por las cuales las encías pueden volverse oscuras. Diagnosticar qué provoca el oscurecimiento y cómo ha sucedido, determinará el tratamiento adecuado, si es que fuese necesario. A continuación, exploramos las causas más comunes:
1. Melanosis Gingival
La melanosis gingival es una alteración provocada por una acumulación excesiva de melanina en las encías. La melanina es el pigmento responsable del color de la piel, el cabello y las encías. Un aumento en la producción de melanina puede causar que las encías se vuelvan más oscuras. Al igual que la coloración de la piel, la pigmentación de las encías puede ser influenciada por factores genéticos. La melanosis gingival de origen genético no compromete la salud de la boca, ya que solo implica que hay un mayor número de melanocitos que provocan este color de encías más oscuro.

2. Tabaquismo
Si hay un vicio o hábito dañino para salud y, concretamente, para la salud oral, ese es el tabaquismo. El tabaquismo es conocido por causar una serie de problemas de salud bucal, incluido el oscurecimiento de las encías. Las encías oscuras por fumar representan la mayoría de los casos de cambio de color en las encías. Los pacientes con gran adicción o que fuman desde hace muchos años suelen presentar cambios de tonalidad en las encías, siendo la nicotina la principal responsable. La melanosis del fumador es una condición en la que la pigmentación de las encías aumenta debido al consumo de tabaco. Esta pigmentación es causada por el aumento de melanina en respuesta a la irritación continua del tabaco. Las manchas suelen ser de color marrón oscuro o negro y aparecen en áreas de las encías que están en contacto directo con el humo del tabaco.
3. Enfermedad Periodontal
Otra patología distinta son las encías oscuras por enfermedad periodontal. Las enfermedades de las encías, como la gingivitis y la periodontitis, pueden tener efectos negativos en los dientes, así como afectar al color de las encías. La enfermedad periodontal, también conocida como periodontitis, es una infección bacteriana grave que afecta las encías y el hueso que sostiene los dientes. La gingivitis es una inflamación de las encías causada principalmente por la acumulación de placa bacteriana. Ante la presencia del agente infeccioso, la encía reacciona, entre otras cosas, inflamándose y sangrando. Aunque no siempre sucede, pues lo habitual es que las encías se inflamen y se vuelvan rojas, en ocasiones pueden oscurecerse.

4. Amalgama para Empastes
Antiguamente, los empastes se realizaban con amalgama de plata. La amalgama de plata es un material metálico que, si se filtra desde el diente hasta la encía, puede causar manchas oscuras. Es posible que, con los años, quede un depósito de esta amalgama en las encías que crea una mancha oscura. Durante los procedimientos dentales, pequeñas partículas de amalgama pueden incrustarse en las encías, provocando una decoloración conocida como «tatuaje de amalgama». Estas manchas son generalmente inofensivas y se presentan como puntos negros o grises cerca del sitio del empaste.
5. Medicamentos
Algunos medicamentos pueden tener efectos secundarios que incluyen el oscurecimiento de las encías como uno de ellos. Algunos medicamentos como los anticonceptivos y algunos antibióticos presentan en sus efectos secundarios la melanosis gingival. Pueden hacer modificaciones en la mucosa oral, causando manchas negras en las encías. Medicamentos como la minociclina (un antibiótico), ciertos antimaláricos, y medicamentos antirretrovirales pueden causar manchas oscuras en las encías. Esta pigmentación es generalmente benigna y puede ser reversible al suspender el medicamento, aunque siempre debe hacerse bajo la supervisión de un médico.
6. Otras causas
- Nevus melanocítico: El nevus melanocítico, o lunar, es una acumulación de células productoras de pigmento (melanocitos) que puede aparecer en las encías. Estas manchas suelen ser de color marrón o negro, de forma redondeada o irregular, y pueden estar presentes desde el nacimiento o desarrollarse a lo largo del tiempo.
- Melanoma oral: El melanoma oral es una forma rara pero grave de cáncer que puede manifestarse como una mancha negra en las encías. Este tipo de melanoma puede ser agresivo y requiere atención médica inmediata. Las manchas asociadas con el melanoma oral pueden cambiar de color, tamaño o forma, y pueden estar acompañadas de otros síntomas como dolor, sangrado o crecimiento rápido.
- Tratamientos dentales: Durante el postoperatorio de algunos tratamientos dentales como el injerto de encía puede generarse una necrosis en la zona, haciendo que la encía se oscurezca.
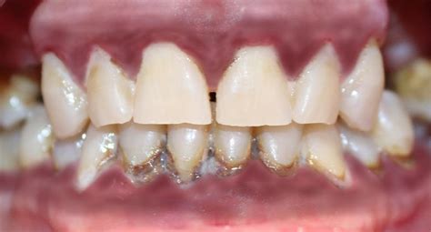
⚫️¿Qué son estas MANCHAS NEGRAS en las ENCÍAS? - Melanosis gingival
Tratamientos para las encías oscuras
El tratamiento para las encías negras depende de su causa. Sea cual sea tu caso, si buscas tratamiento o soluciones para las encías oscuras, consulta con tu odontólogo. Aquí hay algunas opciones comunes:
1. Raspado y Alisado Radicular
Con el raspado, se elimina la placa bacteriana y el sarro que han dado lugar a la periodontitis. Si el oscurecimiento de las encías es causado por enfermedades de las encías, es fundamental tratar la afección subyacente.
2. Despigmentación Quirúrgica
La despigmentación quirúrgica es una pequeña cirugía plástica periodontal. Sirve para eliminar el tejido epitelial. Este tratamiento se puede realizar con electrobisturí o con láser. En general, ambas técnicas son muy sencillas y rápidas. Sin embargo, el láser presenta una serie de ventajas para el paciente: reduce el sangrado y acelera la cicatrización.
3. Microabrasión
Otro de los tratamientos para solucionar las encías negras u oscuras es la microabrasión. Tanto la microabrasión como la despigmentación quirúrgica son tratamientos indicados para la melanosis gingival o para las encías oscuras debido al consumo de determinados fármacos. La microabrasión es otro tratamiento bucodental que se utiliza para pulir cuidadosamente cualquier tipo de mancha negra en la encía hasta borrarla. A través de esta técnica, el dentista es capaz de eliminar la melanosis gingival y devolver al paciente su color de encía natural.
4. Terapia Láser
La terapia láser es otra opción para aclarar las encías. El láser actúa en el exterior de la encía, en la última capa epitelial, que es donde se encuentra el exceso de melanocitos que producen la coloración, y consigue aclarar las encías en varios tonos. El láser permite eliminar las células pigmentadas sin dañar el tejido circundante. Además, este procedimiento es mínimamente invasivo, por lo que el tiempo de recuperación suele ser corto.
5. Injertos de Encía
En algunos casos, los dentistas pueden recomendar injertos de encía para cubrir áreas oscuras. Este procedimiento implica la colocación de tejido sano sobre las zonas afectadas, logrando un color más uniforme y natural en las encías.
6. Eliminación de Tatuajes de Amalgama
Para manchas causadas por partículas de amalgama, podemos realizar un procedimiento para eliminar estas partículas de las encías.
7. Cirugía Menor
En casos más graves, como un nevus melanocítico sospechoso o melanoma oral, podemos realizar una cirugía menor para extirpar la mancha y enviar una muestra para biopsia.
Prevención de las encías negras
En una gran cantidad de casos, las encías oscuras o negras no se pueden prevenir, ya que están causadas por razones genéticas. Sin embargo, hay medidas que se pueden tomar para mitigar otros factores de riesgo:
- Mantener una buena higiene bucal: Una higiene bucal adecuada es fundamental para prevenir una amplia gama de problemas dentales, incluidas las manchas negras en las encías.
- Evitar el tabaco: Dejar de fumar o reducir la cantidad de cigarros que se fuman diariamente.
- Consultar los efectos secundarios de los medicamentos: De esa manera, sabrás de antemano si pueden causar un perjuicio estético en tu boca.
¿Cuándo preocuparse por las encías oscuras?
Si el cambio en el color de las encías es repentino o preocupante, es importante buscar la opinión de un dentista o periodoncista. En general, las encías negras o muy oscuras no suponen un problema para la salud oral de la persona. Sin embargo, las encías moradas o rojas sí que pueden advertir la existencia de un problema de salud: gingivitis o periodontitis. En estos casos, es preferible acudir al odontólogo cuanto antes.
El color de las encías y su significado
El color y la textura de tus encías nos dice mucho sobre la salud de tu boca. Normalmente, cuando hay un cambio en la coloración de la encía, también aparecen otros síntomas, como inflamación, dolor, llagas y sensibilidad.
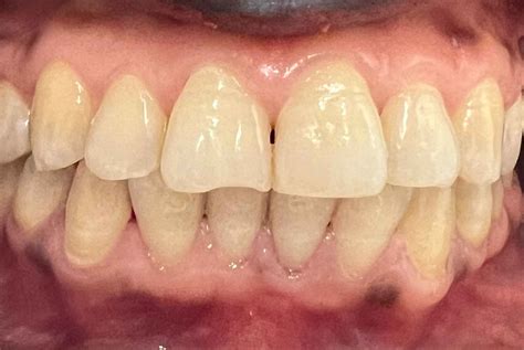
- Encías rosa pálido o encía rosada: Las encías de color rosa pálido nos indican que todo va bien y que la encía está sana y cuidada.
- Encías color café o tostado: Si tu piel es naturalmente de tono oscuro, tu encía también será más oscura.
- Encías rojas: Las encías enrojecidas, con o sin inflamación, suelen ser síntoma de alguna infección.
- Encías blancas o blanquecinas: Pueden tener varios orígenes, como la acumulación de placa bacteriana, la presencia de hongos o de una infección viral.
En conclusión, las encías negras pueden generar preocupación, pero es fundamental entender que tienen diversas causas y soluciones. Desde ajustes en el estilo de vida hasta tratamientos especializados, existen opciones para abordar este problema y mantener encías saludables y estéticamente atractivas. Si te preocupa el color de tus encías, no dudes en consultar a un profesional para recibir la orientación y el tratamiento adecuados.
tags: #endodoncia #encia #negra