Seguro que alguna vez has escuchado la expresión «matar el nervio» de un diente o muela, pero ¿sabes realmente cómo matar el nervio de una muela? Una endodoncia, popularmente conocida como matar el nervio dental o matar el nervio de una muela, es un tratamiento que se aplica a una pieza dental cuando el nervio, es decir, una de las partes internas, está inflamado.
Normalmente el nervio de un diente suele verse afectado por una caries que haya llegado a tocar esa parte y por tanto esto produzca cierto dolor. Siempre que la caries ha penetrado hasta el nervio, es aconsejable retirar el nervio dental afectado. En ocasiones, matar un nervio infectado, puede salvarnos de la extracción de nuestro diente o muela afectado. Si por cualquier cosa se te rompe un diente o una muela, suele procederse a la endodoncia o eliminación del nervio dental. En la colocación de coronas dentales, en ocasiones es indispensable matar el nervio de la zona afectada.
En este procedimiento se elimina la pulpa dental (nervio) afectada para tratar de reconstruir la pieza dental y no perderla. En este procedimiento se elimina la pulpa dental (nervio) afectada para tratar de reconstruir la pieza dental y no perderla. Una vez finalizado este proceso se aplica un material de relleno biocompatible que rellenará el hueco del interior de la raíz.
Realizar una endodoncia siempre evitará males mayores, pero la mejor opción para tener una boca sana es cuidarla día a día y acudir de forma periódica al dentista para que pueda evaluar su estado y actuar tempranamente en caso de que sea necesario.
Endodoncia, qué es y cómo se realiza. DENTIX
¿Por qué duele el nervio de una muela?
El dolor del nervio de una muela no es un caso infrecuente. Para empezar, es importante que sepas a qué puede deberse el dolor de muelas. Pero además de una caries profunda hay otras situaciones en las que podemos sentir ese dolor en el diente:
- Cuando una caries es superficial no suele dar ningún síntoma, de modo que puede pasar incluso desapercibida.
- Esta afección está relacionada con un desgaste del esmalte.
- Si has sufrido un impacto en la boca y sientes dolor en alguna pieza dental es posible que hayas tenido una fractura.
- La costumbre de rechinar o apretar los dientes, conocida como bruxismo, puede ocasionar dolor en sus fases avanzadas a causa del deterioro del esmalte y la presión continuada.
- Las enfermedades periodontales (gingivitis y periodontitis) son aquellas que afectan a las estructuras que rodean y dan soporte al diente.
La inflamación de la pulpa, que causa dolor intenso, se conoce como pulpitis dental. En una fase inicial, se trata de una afección leve tratable.
En cambio, el dolor que procede del nervio, aunque también es intenso, suele ser más constante. El dolor es siempre un indicador a tener en cuenta, por lo que es recomendable ir al odontólogo al primer aviso.
Si el dolor de muelas se vuelve intenso es muy posible que el nervio haya quedado afectado por la caries. En estos casos el dentista practicará una endodoncia. En concreto, se elimina la pulpa dental afectada, que incluye el nervio, y se reconstruye la pieza dental. Por lo tanto, este tratamiento permite conservar la funcionalidad del diente.

¿Cómo se diagnostica la afección?
Para diagnosticar esta afección el odontólogo suele realizar una radiografía, la cual confirmaría la gravedad de la caries. El tratamiento del dolor de muela dependerá de la causa del trastorno. Si se trata de una caries leve puede ser suficiente con un empaste. Por otro lado, el bruxismo se debe abordar desde diferentes perspectivas.
Procedimiento de la endodoncia paso a paso
El procedimiento de la endodoncia es muy sencillo:
- En primer lugar, anestesiamos localmente el diente o la muela a tratar.
- Tras las pruebas diagnósticas realizadas por tu dentista, se realiza una primera sesión en la que, tras aplicar anestesia local, se quita la caries que provoca la infección y se desvitaliza el nervio.
- Una vez el diente está limpio de caries localizamos los conductos del nervio.
- Una vez localizados los nervios, se procede a la limpieza y desinfección de ellos mediante las limas manuales.
- Con la ayuda del localizador de ápices y la radiografía establecemos la longitud del nervio para poder seguir desinfectando con las limas rotatorias.
- Desinfección: se limpia en profundidad el área y se extrae la pulpa dental afectada. Este paso es crucial y el profesional debe hacerlo de la manera adecuada.
- Una vez pasados todos los instrumentos rotatorios, se procede a sellar los conductos del nervio con un material definitivo, si esa muela o diente lo permite.
- Después del sellado se procede a realizar la reconstrucción adecuada para cada caso.
Una vez finalizado el tratamiento de conductos, que suele realizarse en una sesión, aunque a veces es necesario realizarlo en dos debido a las características de cada muela o paciente hay que realizar una buena reconstrucción del diente tratado. Depende del grado de destrucción de tejido (depende de lo grande y profunda que fuera la caries) será necesario un tipo de reconstrucción u otra.
En segundo lugar, hay que desinfectar y eliminar las bacterias de la zona en la que realizaremos la intervención y llevar a cabo la extracción de la pulpa dental afectada.

¿Cuándo es necesaria la endodoncia?
Normalmente siempre que notes un dolor en la pieza dental, aunque sea del todo intenso, es probable que necesites una endodoncia. Cuando sientas un dolor en la pieza dental aunque no sea intenso es probable que necesite una endodoncia.
Siempre que la caries ha penetrado hasta el nervio, es aconsejable retirar el nervio dental afectado. En aquellos casos en los que el paciente presente hipersensibilidad en una pieza dental.
Algunas de las situaciones en las que es necesario aplicar el tratamiento para matar el nervio de la muela, con la endodoncia son:
- Caries: si la caries no se detecta a tiempo habrá problemas, porque las bacterias llegan al nervio del diente. Ahí es cuando pueden causar un dolor insoportable, que se acentúa al comer.
- Hipersensibilidad dental: En ocasiones por diferentes afecciones como caries o gingivitis se puede sufrir de hipersensibilidad dental. Esta puede agravarse al masticar y allí es cuando hay que hacer este procedimiento. La idea es eliminar todo rastro del problema y sellar para evitar que vuelva a repetirse esta desagradable experiencia.
- Fracturas dentales: En ocasiones alguna lesión o golpe fuerte en nuestros dientes puede ocasionar una fractura, a tal punto que queda el nervio dañado. Esa situación genera mucho dolor y el dentista debe evaluar si es necesario aplicar una endodoncia.
Consecuencias de la endodoncia
La principal consecuencia de someterse a una endodoncia es que se acaba la infección. Las infecciones en la cavidad bucal pueden ocasionar una gran cantidad de problemas, como es el caso del mal aliento. Otra de las consecuencias directas de la endodoncia es que recuperarás la función de masticación normal. No olvides que uno de los principales síntomas que indican la necesidad de realizar una endodoncia es la presencia de dolor agudo a la masticación. En definitiva, gracias a un tratamiento adecuado de endodoncia lograrás mejorar significativamente tu calidad de vida.
Cuidados posteriores a la endodoncia
El cuidado de la pieza dental tratada con una endodoncia deberá ser estricto hasta que el dentista lo indique. La asistencia a los controles posteriores al procedimiento de endodoncia es muy importante a fin de evitar cualquier complicación futura. Se deberá continuar con la tarea habitual de higiene bucal, teniendo especial cuidado con el diente tratado.
Cepíllate los dientes como siempre, pero si usas hilo dental, evita tirar con el hilo hacia arriba.
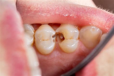
¿Qué es una muela picada?
La muela picada es un problema dental común que afecta a personas de todas las edades. Esta afección, también conocida como caries dental, se manifiesta en forma de pequeños agujeros que aparecen en las capas exteriores de los dientes, llamadas esmalte y dentina, y que protegen la pulpa dental.
Las bacterias que provocan la caries convierten los azúcares simples en placa ácida. Esta placa debilita el esmalte y la dentina, haciendo que se disuelvan con la saliva y formando una cavidad o agujero en el diente. Esta situación puede estar provocada por varias causas:
- Higiene oral insuficiente: no cepillarse los dientes adecuadamente o no usar hilo dental permite la acumulación de bacterias y la formación de placa dental.
- Consumo frecuente de alimentos y bebidas azucaradas y ricas en almidones: los azúcares y almidones alimentan las bacterias en la boca, que producen ácidos que desmineralizan el esmalte dental.
- Falta de flúor: el fluoruro ayuda a fortalecer el esmalte dental y prevenir la caries, por lo que una deficiencia de este en el agua potable o en la pasta dental puede aumentar el riesgo de tener una muela picada.
- Predisposición genética en la susceptibilidad a las caries dentales: factores como la dureza del esmalte y la composición de la saliva pueden influir en la aparición de caries y muelas picadas.
El síntoma principal que alerta de la presencia de una muela picada es el dolor localizado y punzante. Otro de los síntomas de una muela picada es la sensibilidad dental. El dolor puede aparecer cuando la muela dañada entra en contacto con alimentos o bebidas frías, permaneciendo incluso cuando se ha retirado el estímulo externo. Esta afección también puede dañar las encías, causando inflamación y sangrado de las mismas.
Por otro lado, las muelas picadas pueden presentar manchas marrones o amarillentas en la zona infectada, muestra de la desmineralización y avance de la caries. El mal aliento persistente (halitosis) y el sabor desagradable en la boca también pueden ser signos de una infección dental debido a una muela picada.
Soluciones para tratar una muela picada
Según la gravedad de la lesión, el tratamiento puede variar. Para curar una muela picada, es necesario un tratamiento en una clínica dental, donde un profesional evaluará el estado de la muela para poner en marcha un procedimiento u otro.
- Empaste dental: La obturación o empaste dental es el tratamiento más común y efectivo para curar muelas picadas. Se aplica en casos de caries menores, donde el dentista eliminará la parte afectada de la muela y la rellenará con resina compuesta o porcelana, entre otros posibles materiales. Se realiza bajo anestesia local.
- Coronas dentales: Se suelen utilizar en casos de daño extendido. En este tratamiento se realiza un limado del diente para ajustar una cubierta. Se mantiene el diente original, pero se coloca una corona en la superficie para protegerlo.
- Endodoncia: En casos más graves de muela picada, se puede realizar una endodoncia con el fin de vaciar el interior de la muela, donde están las terminaciones nerviosas y vasos sanguíneos. Así, se elimina la pulpa dental, se limpia el conducto radicular y, finalmente, se sella la muela.
- Extracción e implante dental: En casos en los que el diente del paciente no se puede reconstruir, puede ser necesario extraer la pieza. Posteriormente, se pueden considerar opciones de reemplazo como implantes dentales o puentes. Esta solución se suele dar cuando se recurre tarde a un profesional y la afección se ha desarrollado completamente.
Las muelas picadas pueden causar una variedad de problemas si no se tratan a tiempo. Reconocer los síntomas y buscar tratamiento dental es esencial para mantener una buena salud bucal. Con una higiene oral adecuada, una dieta saludable y visitas regulares al dentista, es posible prevenir y tratar eficazmente las muelas picadas, asegurando una sonrisa saludable y sin dolor.
Alternativas a matar el nervio dental
Aunque muchos se preguntan qué hacer para matar el nervio de una muela en casa, no es algo recomendado ya que es un tratamiento que debe hacer un especialista. Los métodos caseros para matar el nervio de la muela nunca son recomendados ante estos u otros padecimientos bucales.
¿Cómo aliviar el dolor de muelas?
Los remedios caseros para el dolor de muelas no son recomendados, si sientes mucha molestia podrías tomar el analgésico que te indique tu dentista mientras puedes llegar a la consulta. Coloca compresas tibias o frías en la zona para ayudar a aliviar las molestias. Enjuagarte con agua con sal, con peróxido de hidrógeno o con enjuague bucal sin alcohol también puede aliviar el dolor. Elevar tu cabeza de noche también puede ser de ayuda para aliviar el dolor de muelas de forma casera.
¿Cuándo ver a un dentista?
Debes ir al dentista al menos una vez al año para tu consulta regular. Pero si sientes dolor en un diente o muela debes asistir tan pronto como sea posible. El dolor en los nervios dentales se puede desarrollar gradualmente, inicialmente se puede sentir como algo leve y después tendrás mayor incomodidad. Ir al dentista lo antes posible no solo te ayudará a aliviar el dolor, sino que es más probable que los tratamientos sean más sencillos.
Los síntomas más comunes que indican daño en los nervios dentales son: dolor en la línea de la encía, dolor en un solo diente o que irradia por la boca, incomodidad que empeora cuando comes, especialmente con comidas calientes, frías o ácidas.
Riesgos y complicaciones de matar el nervio de una muela
Las complicaciones y riesgos comunes de la endodoncia son:
- Dolor temporal debido a la inflamación de los tejidos que rodean el diente.
- Un diente más oscuro, aunque hay procedimientos que pueden aclararlos.
- Fractura del diente, porque tiene menos fuerza y resistencia.
Riesgos menos comunes incluyen infecciones, fallas en el tratamiento, dolor persistente.
Preguntas frecuentes sobre el tratamiento para matar el nervio de un diente con endodoncia
Algunas preguntas frecuentes sobre la endodoncia y la muerte de los nervios de los dientes:
¿Qué es un nervio dental?
El nervio dental son las terminaciones nerviosas que están cerca de la superficie del diente y debajo de las encías, que van dentro del canal radicular. Es lo que también se conoce como pulpa, un tejido del cuerpo muy importante que almacena las células del diente, es el centro de este y alimenta los tejidos como la corona.
La pulpa también tiene muchas funciones fisiológicas, contiene el suministro de sangre y el oxígeno a las células nerviosas, e incluso el líquido que ayuda a disolver la materia dental muerta y en descomposición. La pulpa es la región del diente donde los nervios y vasos sanguíneos están presentes y la parte donde llega la sangre que circula en nuestro cuerpo. Una vez que no hay suministro de sangre hacia el diente, el nervio en la cámara pulpar gradualmente muere y, en consecuencia, también lo hace el diente. La muerte de la pulpa se conoce también como pulpa necrótica o diente sin pulpa.
¿Cómo muere el nervio de un diente?
Generalmente el nervio de un diente muere cuando una fractura o una caries comienza a invadir las capas del diente. Cuando el ambiente oral puede acceder a las capas internas del diente, las bacterias consiguen una vía de entrada. Y, una vez que estas entran en la pulpa, tu cuerpo comienza a pelear contra la infección para protegerse. Esto termina con la inflamación de la cámara pulpar, lo que crea presión, hinchazón y dolor en la región.
Si no se trata a tiempo, los nervios en la pulpa no reciben suficiente oxígeno y nutrientes para sobrevivir. Esto gradualmente lleva a la necrosis pulpar, por la reducción en el suministro de sangre que para completamente después de cierto tiempo, lo que lleva a la muerte del diente.
¿Qué pasa si se muere el nervio de un diente?
Es común que las personas tengan dudas con respecto a si se puede morir el nervio de una muela solo y la respuesta es sí. Muchos ignoran los síntomas de la infección del nervio dental lo que produce la muerte de este, también conocida como necrosis pulpar. Los dolores que presenta el paciente por la infección se detienen de forma repentina. Esto hace que piense que su problema está solucionado, pero no es así. El proceso infeccioso sigue avanzando hasta empezar a deteriorar y destruir el hueso de forma irreversible.
Este en poco tiempo puede producir que la pieza dental desarrolle movilidad y a largo plazo el desprendimiento total. Si el nervio dental muere y no es removido puede causar infecciones graves que incluso requieran el ingreso del paciente a un hospital.
¿En cuánto tiempo muere el nervio del diente?
El tiempo que tarda en morir la pulpa o los nervios del diente varían dependiendo de varios factores. Y la respuesta no es exacta, ya que depende de diferentes condiciones a las que se enfrenta el diente. Por ejemplo, si el diente está muriendo por la infección, entonces el proceso será lento y puede tomar años hasta que el nervio muere completamente.
Pero si el proceso es debido a un golpe, esta fractura deja una entrada directa a las bacterias a la pulpa, lo que lleva a una muerte del diente mucho más rápida; aunque igual tarda cierto tiempo.
tags: #endodoncia #muela #picada