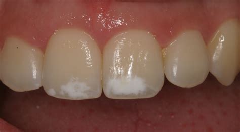
Las manchas blancas en los dientes son una alteración común del esmalte dental que puede afectar tanto a niños como a adultos. Estas lesiones, que pueden llegar a ser muy dolorosas, se producen cuando se acumula una cantidad excesiva de calcio en una zona específica del esmalte dental. Son zonas opacas y blanquecinas que aparecen en la superficie del diente debido a una pérdida de minerales en el esmalte.

¿Qué son las lesiones de mancha blanca en los dientes?
Las lesiones de mancha blanca son un tipo de desmineralización del esmalte dental, que pueden ser causadas por diversos factores, como el consumo excesivo de alimentos y bebidas ácidas y azucaradas, hábitos de higiene bucal inadecuados o enfermedades y trastornos sistémicos. Estas lesiones son fácilmente visibles, pues aparecen como manchas blancas en la superficie del diente y pueden aumentar de tamaño y profundidad si no se tratan adecuadamente.
Causas de las manchas blancas en los dientes
Las manchas blancas en los dientes aparecen por diferentes motivos:
- Desmineralización: La desmineralización ocurre cuando los ácidos producidos por las bacterias en la placa dental disuelven los minerales del esmalte dental.
- Fluorosis: La fluorosis se produce por una exposición excesiva al flúor durante el desarrollo de los dientes, generalmente durante la infancia. El exceso de esta sustancia puede provenir del agua potable con altos niveles de esta sustancia, la ingesta excesiva de suplementos o el uso excesivo de pasta dental fluorada.
- Hipoplasia: La hipoplasia es una condición en la que el esmalte dental no se forma adecuadamente. Puede ser causada por factores genéticos, enfermedades sistémicas durante el desarrollo dental o deficiencias nutricionales.
- Caries en fase inicial: En las etapas iniciales de una caries dental, se pueden formar estas manchas. En muchos casos, se pueden tratar y prevenir.
- Mala higiene dental: Una mala higiene dental supone que la placa bacteriana cause estragos en la boca.
- Dieta Pobre - Descalcificación: Una dieta deficitaria puede desembocar en déficits de calcio.
- Celiaquía: Si bien la sociedad cada vez está más informada, aún hay personas que son celíacas y no lo saben. Es una de las posibles causas de manchas blancas en los dientes. Además de causar las manchas, la enfermedad celíaca también puede conducir a dientes de tamaño insuficiente, dientes amarillentos, etc.
- Medicamentos: La composición de ciertos medicamentos provoca la aparición de manchas blancas en los dientes.

Consejos para la prevención de las lesiones de mancha blanca
Hay varios consejos útiles para prevenir las lesiones de mancha blanca en los dientes:
- Mejorar la higiene bucal: Es importante cepillarse los dientes al menos dos veces al día con un cepillo suave y un enjuague bucal fluorado para limpiar los residuos de alimentos y prevenir la acumulación de placa bacteriana.
- Evitar bebidas y alimentos ácidos y azucarados: Trata de limitar el consumo de bebidas y alimentos ácidos y azucarados, especialmente entre las comidas.
- Usar hilo dental regularmente: El hilo dental ayuda a remover los restos de alimentos y la placa bacteriana de los lugares difíciles de alcanzar por un cepillo de dientes.
- Consultar a tu dentista regularmente: Es importante programar una visita dental regular para detectar y tratar cualquier problema bucal temprano.
- Controla la cantidad de flúor en los niños: un exceso de flúor durante el desarrollo de los dientes puede provocar fluorosis, que se manifiesta con manchas blancas.
- Come de forma equilibrada: una alimentación rica en frutas, verduras y lácteos aporta los minerales que el esmalte necesita para mantenerse fuerte.
Tratamientos para las manchas blancas en los dientes
El tratamiento para las manchas blancas en los dientes dependerá de la causa subyacente de las manchas y de la gravedad de la condición. Es importante consultar a un profesional de odontología si notas alguna mancha blanca en algún diente para determinar la causa subyacente y recibir el tratamiento y la solución adecuada. Cada caso es único, y el tratamiento recomendado puede variar según la causa y la gravedad de las manchas blancas.
Algunos de los tratamientos posibles incluyen:
- Mejora de la higiene oral: En algunos casos, las manchas blancas pueden ser el resultado de una higiene oral deficiente.
- Cambios en la dieta: Si las manchas blancas se deben a una desmineralización del esmalte causada por una dieta rica en azúcares y carbohidratos, se recomienda reducir el consumo de estos alimentos y optar por opciones más saludables.
- Tratamientos de remineralización: En casos de desmineralización temprana del esmalte, se pueden utilizar productos remineralizantes que contienen calcio, flúor y fosfato para ayudar a fortalecer y restaurarlo.
- Blanqueamiento dental: En algunos casos, el blanqueamiento dental puede ayudar a igualar el tono de los dientes y hacer que las manchas blancas sean menos visibles.
- Restauraciones estéticas: Para manchas blancas más pronunciadas o persistentes, se pueden considerar opciones de restauración con procedimientos estéticos, como carillas dentales o coronas.
- Microabrasión: Cuando hablamos de manchas blancas debido a las caries, es necesario un tratamiento de microabrasión. Consiste en pulir la capa superficial afectada del esmalte.
- Infiltración de resina (ICON): Se emplea para casos de caries incipiente, y de fluorosis leves o moderados.
A continuación, se presenta una tabla con los tratamientos y sus causas asociadas:
| Tratamiento | Causa Asociada |
|---|---|
| Remineralización dental | Desmineralización del esmalte |
| Blanqueamiento dental | Manchas superficiales, fluorosis leve |
| Carillas dentales | Manchas pronunciadas, defectos estéticos |
| Microabrasión | Caries iniciales, manchas superficiales |
| Infiltración de resina (ICON) | Caries incipiente, fluorosis leves o moderadas |
Es fundamental que visites una clínica dental para que respondan a tus preguntas y realicen un diagnóstico adecuado y un plan de tratamiento personalizado según tu situación.
Si tienes manchas blancas en la dentadura y no sabes por qué, pide consulta con nosotros y estudiaremos tu caso.
Hemos de tener en cuenta que los defectos estéticos en los dientes, ya sean por manchas blancas o de otro tipo, pueden afectar al paciente emocionalmente. Contribuir en mejorar las vidas de los pacientes que confían en nuestro equipo de profesionales, es un valor que va más allá del tratamiento estético dental en sí.
PORQUE mis DIENTES tienen MANCHAS BLANCAS?? / 3 CAUSAS POSIBLES!! 😱👈
En la Clínica Dental Soler Gomis, en Barcelona, apostamos por la odontología slow, una filosofía que apuesta por un trato tranquilo, personalizado y respetuoso con el ritmo de cada paciente.