La colocación de las carillas dentales es uno de los tratamientos de estética dental más demandados en los últimos años. Las carillas dentales representan una revolución en el mundo de la estética dental, ofreciendo una solución sencilla para ocultar la decoloración y otras imperfecciones de los dientes. Son unas láminas de cerámica ultrafinas, de solo 0.3 a 0.5 mm de espesor, que se adhieren a la parte frontal de los dientes para mejorar su apariencia.

Con una preparación dental mínima, este tratamiento es apenas invasivo, ya que apenas se talla el diente para su colocación. Antes de nada, siempre es importante saber qué es una carilla dental. Una carilla dental es una fina capa de porcelana o resina que se adhiere a la parte delantera del diente y que le cambia totalmente la forma y coloración. Las carillas pueden ocultar muchas imperfecciones de los dientes, y el proceso para conseguirlas es sencillo.
¿Por qué elegir carillas dentales?
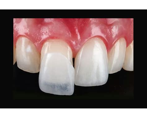
Las carillas dentales son finas carcasas hechas a medida de cada paciente que ofrecen una solución sencilla para ocultar la decoloración y otras imperfecciones de los dientes. Están hechas de plástico, resina o porcelana, y se adhieren directamente a los dientes.
Las carillas quedan pegadas a la cara externa del diente a través de un fuerte pegamento. Además, el material de las carillas (composite o porcelana) es muy resistente. Las de porcelana pueden durar más de diez años si sigues los cuidados bucodentales que te indicará el dentista.
Tipos de carillas y su duración
Las carillas de composite son más económicas y no requieren tallado dental. No obstante, su duración estimada es considerablemente menor (hasta cinco años aproximadamente). Además, con el paso del tiempo, se pigmentan y desgastan. Las carillas de disilicato de litio (mínimamente invasivas) son las más duraderas y estéticas.
Las carillas de composite duran alrededor de 5 años, mientras que las de porcelana, que son más resistentes, entre 10 y 15 años. Por tanto, aunque a muchos pacientes las carillas de disilicato de litio les duren diez años, en otras ocasiones se pueden despegar o romper mucho antes si no se siguen los cuidados adecuados. En cualquier caso, la duración de las carillas depende tanto del material como de los cuidados mantenidos por el paciente.

En Amora recomendamos las carillas Componeer creadas con material composite. Adicionalmente, las carillas necesitan su propio mantenimiento según el tipo de material que las compone. Estas revisiones deben hacerse cada 5 a 10 años en función del material por el que esté compuesto la carilla. No dudes en visitar a tu odontólogo lo antes posible si detectas cualquier cambio en la forma o composición de tus carillas.
Higiene oral diaria: La base del cuidado de tus carillas
De la misma forma que es importante cuidar la salud del esmalte dental, las finas láminas de porcelana o composite que forman las carillas precisan de un cuidado extra. Al igual que tus dientes naturales, las carillas dentales necesitan una higiene oral adecuada. Aunque las carillas están hechas de cerámica, un material que resiste las manchas y la placa bacteriana, los dientes y encías subyacentes son susceptibles a la enfermedad periodontal y las caries.

Cepillado dental
El cepillado de dientes es primordial para mantener la integridad de las carillas dentales. Cepíllate los dientes después de cada comida, usa el hilo dental al menos una vez al día y hazte un enjuague bucal todos los días. El cepillado regular es esencial para mantener tus carillas en buen estado. Cepíllate los dientes al menos dos veces al día para mantenerlas limpias y brillantes. Sin embargo, es importante tener en cuenta que no todas las pastas de dientes son adecuadas para las carillas.
Algunas pueden ser demasiado abrasivas y desgastar el brillo de la cerámica con el tiempo. Opta por una pasta de dientes suave que no contenga ingredientes abrasivos. Evita las pastas de dientes abrasivas, ya que pueden dañar el material de las carillas dentales. En cuanto al cepillo, elige uno con cerdas suaves para asegurarte de que limpie suavemente las carillas sin causar ningún daño.
Uso del hilo dental
No debemos olvidarnos de la importancia de la limpieza interdental, ya que entre las piezas dentales se acumulan gran parte de las bacterias bucales. Incluso con carillas, los restos de comida y la placa pueden acumularse entre los dientes, lo que puede provocar problemas de encías y caries en los dientes subyacentes. Por lo tanto, es vital usar hilo dental todos los días. Cuando uses hilo dental, sé cuidadoso alrededor de las carillas para evitar desplazarlas o dañarlas.
Además, el uso de hilo dental puede ayudar a mantener las encías saludables, lo que es esencial para mantener las carillas en buen estado.
Enjuague bucal
Para terminar la higiene bucodental y proteger la integridad de las carillas, los colutorios son el mejor complemento. Los enjuagues bucales no solo refrescan el aliento, sino que también ayudan a eliminar las bacterias y la placa que pueden acumularse en los dientes y alrededor de las carillas. Además, muchos enjuagues bucales contienen flúor, que puede ayudar a fortalecer los dientes adyacentes y prevenir las caries.
Sin embargo, al igual que con la pasta de dientes, evita los enjuagues bucales que contengan ingredientes abrasivos o alcohol, ya que pueden desgastar las carillas con el tiempo. Elige un enjuague bucal suave pero efectivo para mantener tus carillas y tu boca en general saludable.
Alimentación y hábitos para el cuidado de las carillas
Además de la higiene oral y una dieta equilibrada, mantener hábitos saludables puede prolongar la vida de tus carillas.
Alimentación balanceada
La alimentación juega un papel fundamental en la salud dental general y, por tanto, en el mantenimiento de tus carillas. Una dieta rica en frutas, vegetales, proteínas magras y productos lácteos proporciona los nutrientes esenciales para la salud dental.
Alimentos que debes evitar
Algunos alimentos, como el café, vino tinto, chocolate negro o el curry, pueden teñir las carillas dentales, sobre todo las de composite. Modera su consumo. Las de porcelana no suelen plantear este problema porque es un material que no se tiñe.
Para conservar el color y el brillo durante más tiempo es recomendable limitar el consumo de los principales alimentos y bebidas que manchan los dientes. Las bebidas y alimentos con intensos colorantes pueden causar manchas en las carillas con el tiempo. Es recomendable moderar el consumo de café, té, vino tinto y salsas con colorantes fuertes.
Alimentos duros o pegajosos
Otro de los cuidados que debes tener muy en cuenta es el de restringir el consumo de alimentos muy duros o pegajosos, ya que pueden hacer que las carillas se rompan o astillen. Las carillas se pueden romper debido al consumo de alimentos muy duros, por lo que se recomienda ser muy cuidadoso a la hora de consumirlos y preferiblemente cortarlos o triturarlos usando los dientes posteriores. Evita morder alimentos duros como hielo o caramelos que puedan causar fisuras o desprendimientos.
Malos hábitos
¿Eres de los que mordisquea los bolis? ¿Te muerdes las uñas? Ha llegado el momento de dejarlo. Son hábitos que pueden parecer inofensivos pero pueden dañar las piezas dentales o las carillas. Un mal hábito que es totalmente incompatible con el uso de carillas dentales es mordisquear objetos duros de forma recurrente como un bolígrafo. Este hábito tan común puede fracturar las carillas dentales o hacer que se despeguen.
Ocurre lo mismo con utilizar los dientes para abrir o romper cosas. Otro hábito común y perjudicial para los dientes es usarlos para abrir objetos, cortar determinados materiales o sujetar algunas cosas duras y pesadas. Y, por supuesto, más “prohibido” aún está el hecho de usar los dientes como herramientas.
Tabaco
Di adiós al tabaco. Fumar es muy perjudicial para la salud y además mancha las carillas dentales, sobre todo las de composite. Y es que, al igual que ocurre con los alimentos, el tabaco acaba dando a las carillas un antiestético tono marrón o amarillento. Otra de las sustancias que más pueden oscurecer y alterar el aspecto de las carillas dentales, así como de los propios dientes naturales, es la nicotina del tabaco. Por tanto, se recomienda no fumar.
El tabaco puede manchar las carillas y contribuir a problemas de encías que pueden poner en peligro tus carillas y tu salud dental en general. No fumar garantiza tener carillas bonitas y en buen estado por mucho más tiempo.
Bruxismo
Apretar los dientes fuertemente y hacerlos rechinar de manera inconsciente además de problemas dentales puede dañar las carillas. Aquellas personas que padecen de bruxismo, apretando la mandíbula o rechinando los dientes de manera involuntaria, tienen mayor riesgo de rotura en sus carillas. Por eso es conveniente utilizar una férula de descarga cuando duermes.
Si sufres de bruxismo o vas a practicar algún deporte en donde puedas recibir un fuerte impacto en los dientes, te recomendamos el uso de una férula o protector bucal. Si sufres de bruxismo, el uso de un protector nocturno puede ayudar a proteger tus carillas de los daños causados por el rechinamiento o apretamiento nocturno.
Con respecto a las férulas para el bruxismo esta evitan que los bordes de las carillas rocen entre sí, evitando que se rompan o astillen.
Protección bucal
Si practicas un deporte de contacto, como el boxeo, el judo, el baloncesto, el rugby o el fútbol entre otros siempre es conveniente que utilices un protector bucal. Si practicas deportes de contacto o actividades que puedan poner en riesgo tus dientes, es recomendable utilizar un protector bucal para proteger tus carillas y el resto de tus dientes.
Visitas regulares al dentista
Es importante no saltarse ninguna para comprobar si están en buen estado y prevenir roturas o pérdidas de carillas. Una visita anual al dentista para la correspondiente revisión y limpieza bucodental profesional es otra de las medidas para el cuidado de las carillas dentales. Lo más habitual es que las limpiezas sean realizadas una vez al año.
Durante estas visitas, el dentista puede realizar una limpieza profesional, verificar el estado de tus carillas y detectar y tratar cualquier problema dental temprano. Además, esa revisión se hace más necesaria en el caso de que te hayas decantado por unas carillas de composite. Son las más propensas a la pigmentación o resquebrajamiento.
Tabla resumen de cuidados para carillas dentales
| Cuidado | Descripción |
|---|---|
| Higiene oral | Cepillado suave, uso de hilo dental y enjuague bucal sin alcohol. |
| Alimentación | Evitar alimentos duros, pegajosos y con alta pigmentación. |
| Hábitos | No fumar, evitar morder objetos duros y usar protector bucal si es necesario. |
| Visitas al dentista | Revisiones y limpiezas profesionales al menos una vez al año. |
Si quieres mantener una sonrisa bonita es necesario seguir estos consejos para que tus carillas luzcan perfectas. Cuida tus dientes y tus carillas dentales con mucho mimo a través de estas recomendaciones, y durarán intactos por más tiempo. Utiliza los mejores productos para obtener grandes resultados.
En Dental Care Barcelona cuidamos la salud bucodental de todos nuestros pacientes explicándoles lo que deben hacer, cuándo y cómo. ¿Tienes más dudas sobre cómo cuidar las carillas dentales o quieres saber si son una buena opción para ti?