¿Has notado que tus encías están más rojas de lo normal? No ignores el enrojecimiento de tus encías. Detectarlo a tiempo es clave para prevenir problemas mayores, como la periodontitis. En González y Casado contamos con especialistas en Periodoncia, te ayudamos a detectar a tiempo cualquier patología de tus encías y tratarla eficazmente para que no evolucione a situaciones más graves. Reserva tu cita hoy mismo, olvídate de las encías rojas y vuelve a sonreír con confianza.

¿Qué Significa el Enrojecimiento de las Encías?
No, indican una alteración inflamatoria en la encía. Estas inflamaciones puede ocurrir en algunos casos también por factores temporales como el cepillado agresivo o cambios hormonales. Las encías inflamadas son una inflamación del tejido de las encías causada por la acumulación de placa bacteriana en la línea de las encías. Habitualmente se creía que las encías inflamadas eran causa de una mala higiene dental por mala limpieza o cepillos dentales con las cerdas muy duras, es cierto que es una de las causas pero no la única.
Causas Comunes del Enrojecimiento de las Encías
La principal causa de las encías inflamadas es la acumulación de placa bacteriana en los dientes y las encías. En muchas ocasiones, sucede que la higiene oral es incorrecta, incompleta o insuficiente, lo que hace que las bacterias crezcan, se agrupen y se lleguen a acumular en forma de biofilm o placa bacteriana en zonas escondidas, principalmente en los espacios entre dientes. También los surcos de las encías y las fisuras dentales en la superficie masticatoria de los molares son espacios protegidos donde las bacterias se refugian de la acción de la lengua, la saliva y los filamentos del cepillo dental.
Además, hay otros muchos factores vinculados a esta enfermedad como:
- Tabaco.
- Estrés.
- Enfermedades sistémicas, como la diabetes.
- Defensas bajas.
- Cambios hormonales, como los que suceden durante el embarazo o la menopausia.
Por ello, la progresión de las enfermedades periodontales y la gravedad de la destrucción de los tejidos orales se verá condicionada además de por factores de riesgo genéticos, por la presencia de uno o varios de estos factores ambientales.
Tipos de Enfermedades Periodontales
Según la afectación sea más superficial o más profunda, hablamos de gingivitis o de periodontitis.
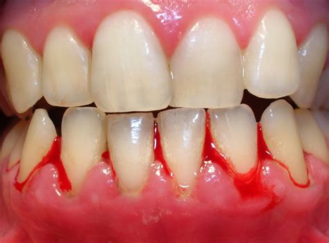
- Gingivitis: es una inflamación superficial de la encía. El sangrado es su principal señal de alerta y si no se trata adecuadamente, puede progresar a periodontitis.
- Periodontitis: es una infección más profunda de la encía, que se despega del diente, formando así las bolsas periodontales. Debido a esta infección, se pierde el hueso que sujeta al diente.
Estas enfermedades de las encías evolucionan normalmente sin dolor, silenciosamente, y no llegan a ser realmente evidentes hasta alcanzar fases muy avanzadas, por lo que un diagnóstico lo más precoz posible es esencial.
Síntomas de la Periodontitis
El principal y primer signo que alerta de que algo está pasando es:
- El sangrado de encías, espontáneo o durante el cepillado, y el enrojecimiento. Que la encía sangre no es normal.
Además, puede haber:
- Mal aliento.
- Hipersensibilidad al frío.
- Pérdida de encía o percepción de dientes más largos.
- Movilidad o separación de los dientes.
- Aparición de abscesos o flemones en la encía si la enfermedad sigue avanzando, pues estos últimos son ya una manifestación de una periodontitis en una fase avanzada.
Sin embargo, en personas fumadoras, la enfermedad suele diagnosticarse más tarde, pues el tabaco reduce el flujo sanguíneo, por lo que, en ocasiones, el sangrado de encías no se manifiesta hasta fases más avanzadas de la enfermedad. Por ello, es conveniente que los fumadores presten una especial atención a la salud de sus encías, además de intentar dejar de fumar, pues las personas que fuman tienen hasta tres veces más riesgo de padecer periodontitis.
Si percibes la aparición de alguno de estos síntomas, te recomendamos que consultes a tu odontólogo dentista, periodoncista o higienista dental. Todos ellos profesionales de la salud bucodental te ayudarán a identificar el problema, solucionar cualquier duda que tengas y te aconsejarán el tratamiento más adecuado.

Complicaciones de la Periodontitis
La periodontitis también afectar al estado de salud general, pues existe evidencia científica sobre la relación de esta enfermedad con el aumento del riesgo vascular, la descompensación de la diabetes, infecciones respiratorias o incluso el parto prematuro.
Relación con la Diabetes
La diabetes y la periodontitis tienen una relación bidireccional importante y si no se controlan de manera conjunta, pueden llegar a ser contraproducentes para una buena salud y una mejor vida.
Como cualquier otra patología infecciosa, la periodontitis altera el estado metabólico-endocrino de las personas. Así pues, el paciente diabético tiene más riesgo de sufrir periodontitis y la periodontitis puede iniciar o aumentar la resistencia a la insulina, como así lo demuestran múltiples estudios científicos, complicando o dificultando el control de la glucemia.
Además, la periodontitis destruye el tejido que soporta los dientes, provocando reabsorción ósea y produciendo cambios sobre células inmunocompetentes y sobre otras que participan en la prevención de las inflamaciones. Las personas diabéticas también padecen una reducción en el flujo salival, lo que conlleva la aparición de un mayor acúmulo de placa dental y, por ello, más caries, infecciones y enfermedades periodontales. Además, son más susceptibles a las infecciones en general y a la periodontitis en particular, debido a la resistencia de los tejidos a la acción de la insulina y los cambios vasculares. Un control en los niveles de glucosa hará que se controlen mejor dichas infecciones.
Enfermedad Cardiovascular
La periodontitis es un factor de riesgo para el desarrollo de enfermedad cardiovascular arterioesclerótica. La arterioesclerosis es una enfermedad fundamentalmente inflamatoria y está comprobado que focos infecciosos o inflamatorios no controlados, como los causados por la periodontitis, la hacen progresar, pudiendo llegar a desencadenar procesos más agudos, como síndromes coronarios graves.
Se han encontrado algunos de los gérmenes causantes de la enfermedad periodontal presentes en las placas de ateroma de los vasos sanguíneos. Esto se explica porque, cuando hay una periodontitis no tratada, puede darse una liberación al torrente sanguíneo de bacterias, toxinas y otros elementos inflamatorios que pueden provocar problemas en otras partes del cuerpo. La presencia de estos elementos en las arterias coronarias desencadena un proceso de obstrucción, aumentando el riesgo de infarto.
Así mismo, ambas enfermedades comparten factores de riesgo modificables (tabaquismo u obesidad, entre otros) y que están asociados al estilo de vida. Por tanto, en el contexto de una terapia periodontal integral sería muy positivo integrar programas para ayudar a los pacientes a dejar de fumar y un asesoramiento sobre posibles modificaciones del estilo de vida: dieta y ejercicio, que mejorarían tanto la salud general como la de las encías.
Tratamientos para el Enrojecimiento de las Encías
El tratamiento se centra en reducir la inflamación, eliminar la placa bacteriana y prevenir su acumulación futura. Lo ideal es actuar rápido y no esperar para solucionar la situación. El dentista es el profesional que posee la capacitación para diagnosticar y tratar los problemas de encías, así como para aconsejar sobre las medidas preventivas que ayuden a mantenerla en óptimas condiciones de salud, pudiendo ocuparse también de la reconstrucción de los tejidos perdidos a consecuencia de la enfermedad.
En ocasiones, el dentista o el mismo paciente pueden solicitar la colaboración de un periodoncista para tratar aquellos casos más complejos y avanzados.
Su tratamiento se fundamenta en tres pilares:
- La fase básica del tratamiento de las encías incluye el raspado y el alisado radicular (limpieza manual por debajo de las encías) junto a la enseñanza de instrucciones en higiene específicas y su cumplimiento.
- En determinados casos, se hace necesario pasar a una segunda fase de tratamiento en la que son necesarias pequeñas cirugías de las encías para corregir los defectos que pueda haber dejado la enfermedad.
- Por último, es imprescindible seguir un programa de mantenimiento o seguimiento para prevenir o controlar la posible aparición de recaídas, aún más si persiste la presencia de factores de riesgo antes mencionados.
En los últimos años, ha quedado patente que la periodoncia no trabaja aislada para tratar los problemas bucales y que, cada vez más, se relaciona con otras áreas de la medicina, así como con la labor farmacéutica, pues está demostrada la relación de la salud bucodental con la salud en general.
Tratamientos Profesionales
- Limpiezas dentales profesionales: Programa citas regulares para una limpieza dental profesional.
- Curetajes: raspado y alisado radicular: En casos más graves, puede ser necesario un tratamiento llamado raspado y alisado radicular.
- Mantenimientos periodontales: En aquellos pacientes con enfermedad periodontal diagnosticada con fases de agudización.
- Revisión completa y seguimiento personalizado: Acude a nuestra consulta si las molestias no desaparecen en una semana. En nuestra clínica dental en Madrid, te ofrecemos una atención especializada en salud gingival y Periodoncia.
Remedios Caseros y Medidas Adicionales
- Cepillado dental: Cepíllate los dientes al menos dos veces al día con un cepillo de dientes suave y pasta dental fluorada.
- Enjuagues bucales: Uno de los más conocidos y efectivos es realizar enjuagues bucales con agua tibia y sal. Otro de los remedios que podemos utilizar es la utilización del limón. El té también nos va a ayudar para las encías inflamadas, ya que tiene una solución antiséptica natural que es capaz de desinfectar y mejorar la curación.
- Alimentación equilibrada: En algunos casos por ciertas deficiencias de nutricionales puede parecer inflamación de las encías, por tanto, una dieta equilibrada puede solucionar el problema.
Diez Consejos para Prevenir la Periodontitis
La salud de nuestros dientes y encías puede condicionar nuestra vida, casi sin darnos casi cuenta. Desde bien pequeños deberíamos saber de su importancia y cuidar de ellos diariamente para que nos duren el mayor tiempo posible en óptimas condiciones, porque esto se traduce en una mejor calidad de vida.
- Lávate los dientes todos los días: Debes adquirir el hábito de cepillarte los dientes cada día; hazlo durante dos minutos y al menos dos veces al día, prestando especial dedicación al cepillado de la noche, que nunca debes olvidar. Y procura que tus hijos adopten también este hábito.
- Más allá del cepillo: Además del cepillado diario, es recomendable el uso del hilo dental o algún otro método de limpieza interdental, pues solo con el cepillado no se puede llegar a todos los rincones de tu boca. Cepilla también tu lengua cada día, pues en su superficie se retienen bacterias.
- Refuerza la limpieza con el enjuague: Complementa la limpieza con un enjuague bucal en caso de que sea necesario y siempre siguiendo las recomendaciones de tu dentista.
- Evita ciertos alimentos…: Los alimentos ricos en azúcar, incluidas las bebidas refrescantes con gas, no ayudan a la salud bucodental. Las bacterias que habitan en la boca transforman los azúcares en ácidos y estos, a su vez, atacan el esmalte dental y provocan la aparición de la caries y otras enfermedades bucales.
- …Y apuesta por otros: La alimentación también puede ayudar a mejorar tu salud bucodental. Podríamos decir que algunos de los alimentos más sanos para tu boca son algunas frutas (arándanos, kiwi, uvas) y todos aquellos alimentos ricos en grasas insaturadas Omega 3, como el pescado azul (salmón, caballa) y los frutos secos (nueces). También, bebidas como el té verde, por sus propiedades antioxidantes.
- No picotees entre horas: No picotear entre comidas es sano para tu salud, en general, y también para tu salud bucodental y más aún si después de comer algo no puedes cepillarte los dientes. En concreto, evita sobre todo los dulces, bollería, zumos industriales y snacks, por su potencial cariogénico. En todo caso, puedes tomar fruta natural, como la manzana, o un lácteo.
- Cuídate si estás embarazada: Si te encuentras embarazada o planeas estarlo, pide cita con tu dentista, porque durante estos meses los cambios que experimentará tu cuerpo también pueden repercutir en tu boca y acarrearte ciertos problemas.
- Máxima precaución ante ciertas enfermedades: Vigila especialmente tu salud oral o si eres una persona diabética o sufres alguna enfermedad cardiovascular. Estudios científicos han demostrado la relación directa entre estas dos patologías y los problemas periodontales.
- Presta más atención si tienes predisposición genética: En algunos casos, los problemas dentales tienen un componente hereditario. Si es tu caso, debes prestar una especial atención a tu dentadura para prevenir desde edades tempranas cualquier atisbo de problema y actuar de forma adecuada y rápida.
- Destierra el miedo a ir al dentista: La prevención es la medida más efectiva ante la periodontitis.

Por tanto, hemos visto que el problema de las encías inflamadas es una patología bastante frecuente y que puede ser debida a muchos factores, algunos leves y otras más graves.
Técnica correcta para el cepillado de dientes | Oral B LT
tags: #enrojecimiento #en #las #encias