La ortodoncia es una especialidad odontológica que corrige la posición de los dientes y mejora la oclusión. Los tipos más comunes son los brackets tradicionales (metálicos, cerámicos, linguales) y los alineadores invisibles como Invisalign. A pesar de ello, algunos pacientes pueden preocuparse por la posibilidad de perder dientes durante el proceso.

La respuesta a esta preocupación es un rotundo «NO«. Por tanto, no hay razón para temer la caída de dientes por el uso de brackets o alineadores invisibles si se sigue un tratamiento adecuado y se cuida la higiene dental.
¿Qué es Invisalign? ¿Cómo funciona Invisalign?
¿Por qué es normal que se muevan los dientes con ortodoncia?
El principio básico de la ortodoncia, tanto si es con brackets como con Invisalign, es mover los dientes para alinearlos de forma correcta. Para lograr esto, el aparato ortodóncico ejerce una fuerza controlada sobre los dientes, lo que genera un movimiento gradual.
Estas fuerzas aplicadas por el ortodoncista movilizan los dietes a través del hueso. Este movimiento es fisiológico y está perfectamente estudiado. Es normal que durante el tratamiento ortodóncico se perciba cierta movilidad dental. Esta movilidad es temporal y ocurre porque los ligamentos periodontales se estiran y adaptan al nuevo movimiento.
La movilidad fisiológica es leve y desaparece tras el tratamiento. Los dientes flojos en ortodoncia son una señal de que las fuerzas aplicadas están surtiendo efecto, pero no implican que se vayan a caer.
¿Cuándo puede haber complicaciones y riesgo de pérdida dental?
Sin embargo, si existe enfermedad periodontal no tratada o una aplicación inadecuada de fuerzas, puede haber complicaciones. Una encía enferma o hueso debilitado pueden comprometer la estabilidad de los dientes durante el tratamiento. Cuando el tratamiento no está diseñado por un ortodoncista profesional, se pueden aplicar fuerzas inadecuadas que causen reabsorción radicular o movilidad dental excesiva.
En algunas ocasiones se puede escuchar pacientes decir que han sufrido pérdida de dientes por Ortodoncia, sin embargo, lo cierto es que esta resulta ser una situación realmente muy inusual y casi casi anecdótica. La pérdida de un diente con Ortodoncia puede considerarse una iatrogenia o caso de mala praxis, salvo que previamente el paciente hubiera sido correctamente informado de la existencia de uno o varios dientes en situación crítica con mal pronóstico, cuyo soporte podría no responder bien al movimiento.
Es importante tener en cuenta que una de las mayores complicaciones que el paciente puede presentar con el uso de la ortodoncia son las reabsorciones radiculares o acortamiento de la raíz del diente o deterioro del tejido de soporte o alguna enfermedad periodontal. Si estos problemas no son tratados de manera adecuada y a tiempo, es ahí cuando se pueden producir la movilidad de algunos de los dientes o incluso la pérdida de algunos de ellos, sin embargo, estos casos son muy poco frecuentes. Normalmente este evento no deseable es informado de antemano al paciente y es altamente inusual.

Además, la comunidad Ortodóncica en los últimos años, ha asistido a una disminución drástica de los casos documentados de reabsorciones radiculares, al incrementarse enormemente el número de pacientes que es tratado con alineadores, y se ha documentado como la reabsorción radicular es menos frecuente y prácticamente inexistente con alineadores, ya que existe un mayor control de las fuerzas aplicadas y el diente no será sometido nunca a fuerzas altas incontroladas con los alineadores, ya que antes de poder darse esta circunstancia el diente perdería el ajuste con el alineador. Si bien alguna de estas anomalías se detectase o produjese, como decíamos, deberá ser detectada de forma incipiente y a tipo de tratarlo.
En el caso de las enfermedades Periodontales, el tratamiento Ortodóncico adecuadamente ejecutado y con la coordinación del Ortodoncista y Periodoncista permite a casi la totalidad de los pacientes que experimentaron esta condición, con excepción de casos muy raros y extremadamente agresivos, frenar la destrucción del periodonto y conservar un soporte suficiente de sus dientes, evitando así la caída de las mismas. Por tanto, la unió de Ortodoncia y Periodoncia, no es perjudicial sino positiva y sinérgica. Sólo en casos de destrucción muy muy avanzada y dientes con pronóstico malo o reservado, se puede tomar la decisión de no mover o no “tocar” ortodóncicamente ciertos dientes, o asumir los riesgos junto con el paciente por beneficio para él, y previamente informado y consensuado.
Factores que pueden influir en la pérdida de dientes durante la ortodoncia:
- Enfermedad periodontal no tratada: Una encía enferma o hueso debilitado pueden comprometer la estabilidad de los dientes durante el tratamiento.
- Aplicación inadecuada de fuerzas: Cuando el tratamiento no está diseñado por un ortodoncista profesional, se pueden aplicar fuerzas inadecuadas que causen reabsorción radicular o movilidad dental excesiva.
- Mala higiene bucal: Una mala higiene favorece la aparición de caries, gingivitis y periodontitis. Estos problemas, si no se controlan, pueden terminar en pérdida de piezas dentales.
¿Cómo prevenir problemas y asegurar un tratamiento seguro?
Para evitar cualquiera de estos problemas lo ideal es acudir a un centro odontológico especializado en Ortodoncia, donde sus profesionales tengan una experiencia y formación adecuada en la especialidad de Ortodoncia y en donde el especialista determinará el método de ortodoncia que más se adecue a tus necesidades estéticas y que sea más eficaz al momento de corregir tu problema dental, así como su Plan de Tratamiento, adecuada aplicación y ejecución y adecuado plan de retención o mantenimiento.
Todo tratamiento debe comenzar con un estudio completo del paciente. Esto incluye radiografías, escaneo 3D y revisión de encías. Cepillado después de cada comida, uso de hilo dental, irrigadores y cepillos interproximales son fundamentales.
Si tienes miedo de que los dientes se te puedan caer con la ortodoncia, lo más importante es elegir un profesional cualificado que supervise todo el proceso de principio a fin.
Recomendaciones para un tratamiento de ortodoncia exitoso:
- Elige un ortodoncista cualificado: Busca un profesional con experiencia y formación adecuada.
- Sigue las instrucciones del ortodoncista: Usa los alineadores el tiempo recomendado y sigue las indicaciones de higiene bucal.
- Mantén una buena higiene bucal: Cepíllate los dientes después de cada comida y usa hilo dental diariamente.
- Acude a las revisiones periódicas: Asiste a todas las citas programadas para que el ortodoncista pueda supervisar tu progreso y realizar los ajustes necesarios.
- Trata cualquier problema de encías antes de comenzar la ortodoncia: La periodontitis puede debilitar el soporte de los dientes, haciendo que estos sean más vulnerables durante el tratamiento.
Sí, la ortodoncia es un tratamiento seguro, conservador y eficaz cuando es realizado por profesionales especializados. ¡Puedes estar tranquilo! En Travesí Granada contamos con todos los avances odontológicos del momento para ofrecerte el mejor tratamiento con las últimas técnicas de ortodoncia y nos avalan más de 40 años de experiencia y buen hacer, con protocolos adecuados y eficaces.
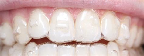
¿Qué son los ataches y pueden causar problemas?
Invisalign es una técnica revolucionaria en ortodoncia por su manera de abordar y resolver los problemas de malposición y alineamiento dentario. Para realizar ciertos movimientos, el plástico de los alineadores necesita «agarrar» bien el diente, tener algún elemento de retención en él, dado que muchos de los dientes tienen formas expulsivas, resbaladizas. Si no incorporamos algún tope o elemento retentivo que posibilite la adaptación de los alineadores, éstos se podrían desajustar o desinsertar de alguno o varios dientes. Con el objetivo de solucionar estos inconvenientes de Invisalign se incorporan a los dientes los «ataches» (del inglés «attachment»).
Éstos son pequeños aditamentos, o añadidos, realizados en el mismo material de los empastes, del color de los dientes, es decir, que son prácticamente inapreciables (excepto en algunos casos en los que es necesario colocarlos durante algún tiempo en dientes anteriores) que optimizan el movimiento dental y mejoran el ajuste y las posibilidades del movimiento dental. No molestan, ni rozan, ni duele su colocación en absoluto. Van completamente adheridos al diente y tienen un tacto suave y cómodo.

Aunque los ataches puedan paracer iguales existen distintos tipos que varian en función de su objetivo o finalidad. La diferencia principal a la hora de elegir un tipo de atache o otro es el movimiento que se quiere conseguir y su efecto por lo que su tamaño y la forma pueden variar en este aspecto. No son siempre necesarios en todos los casos, ni se colocan en todos los dientes. Tan solo en algunas fases del tratamiento de ortodoncia y para realizar algún tipo de movimiento concreto.
Solo un buen ortodoncista, especializado en la técnica y con formación específica avanzada, es capaz de decidir cuántos, en qué dientes, con qué forma y con qué tamaño, hay que colocar ataches. Pues bien, aunque normalmente suelen colocarse por fuera, como los brackets de la ortodoncia convencional, en algunas ocasiones yo prefiero colocarlos por la cara lingual de los dientes, es decir, como la ortodoncia por dentro. Es como si fuera una combinación de Invisalign y ortodoncia lingual.
Sí, los ataches de Invisalign se pueden caer, aunque esto ocurre en raras ocasiones. Estos aditamentos de ayuda para la efectividad y perfecto funcionamiento de Invisalign, van cementados a la superficie del diente con un “pegamento” especial muy resistente pero, aún así, las fuerzas de la masticación, las del cepillado o las que se ejercen al poner y quitar muchas veces los alineadores pueden causar el desprendimiento de todo, o parte, de uno o varios ataches. Esto no supone ningún contratiempo en tu tratamiento de ortodoncia, y no es una urgencia que requiera ser solucionada de un día para otro.
No es necesario acudir con una cita extra para recolocarlo (exceptuando los casos en los que éstos se usan para uso de elásticos, entonces sí es recomendable, aunque no imprescindible, recolocarlos cuanto antes), ya que suele haber unos cuantos ataches en varios puntos estratégicos de la arcada dental, para mejorar la adaptación. Aunque uno de ellos falte unos días no pasa nada: el resultado final obtenido será el mismo.
Invisalign y sus posibles efectos secundarios
Por ser un tratamiento nuevo e innovador, muchos se preguntan si el tratamiento con Invisalign tiene efectos secundarios. La respuesta que han dado los profesionales de la salud bucal ha sido muy prometedora, ya que el tratamiento con alineadores está diseñado para evitar problemas y efectos adversos graves. Definitivamente, no es casualidad que el tratamiento Invisalign sea tan popular. Los malos resultados Invisalign no son comunes.
Sin embargo, hay que tener en cuenta que cualquier tratamiento, incluido el Invisalign, puede presentar problemas si no se sigue correctamente. Este caso de efectos secundarios de Invisalign fue ocasionado porque los pacientes fueron negligentes a la hora de seguir las recomendaciones del doctor, consumían grandes cantidades de esta bebida sin retirar el alineador y sin realizar una adecuada limpieza bucal, lo que provocó una desmineralización extensa y grave del esmalte dental. Y como hemos comentado se trata de casos raros, de consumo compulsivo y de gran desinformación y falta de colaboración por parte del paciente.
Es importante destacar que los problemas con Invisalign, ocasionalmente serán más errores de planificación que efectos negativos intrínsecos del aparato. Por último, los efectos secundarios pueden estar relacionados con la mecánica, por ejemplo, un diente que no se mueva según lo previsto y experimente algún movimiento no planificado y que no se haya programado en el clincheck.
Si no se utiliza el aparato Invisalign el tiempo indicado, los resultados pueden no ser los esperados. Este problema o temor se tiene especialmente con los adolescentes, aunque con una adecuada motivación e información del paciente, solemos conseguir una adecuada colaboración y dado que los pacientes están cómodos y se sienten bien, generalmente no encuentran razones para retirarlo a escondidas de sus padres. Otro riesgo del Sistema invisalign relacionado con que sean removibles, es que pueden perderse. Debido a que el sistema se compone de muchas férulas que generalmente son cambiadas con regularidad de 7 a 10 días, si hay una pérdida eventual indicamos poner la siguiente férula de invisalign en el tratamiento o en determinados casos se puede hacer recambio o pedido de alineadores perdidos.
Otros posibles efectos secundarios de Invisalign:
- Complicaciones para hablar con normalidad, especialmente los 2-3 primeros días.
- Sensación de náuseas en algunas personas.
- Sentir presión y un poco de dolor en los dientes.
- Presión o roce en la encía.
- Problemas con los ataches, que son pequeñas bolitas de composite que adherimos en determinados dientes.
Como ves, Invisalign tiene efectos secundarios pero todos son pasajeros y tienen una solución sencilla. Si aún no tienes decidido si Invisalign es la mejor opción para ti o quieres resolver alguna duda acerca de tu caso, no dudes en contactar con nuestro equipo. Te haremos un estudio dental completo gratis en tu primera visita y te explicaremos qué vamos a hacer para que presumas de sonrisa.