La erosión dental ácida es un problema frecuente que afecta la estructura del esmalte, debilitándolo progresivamente. La mayoría de la gente asocia los problemas dentales con las caries o la acumulación de sarro, pero hay un enemigo silencioso y cada vez más común que puede arruinar tu esmalte sin que te des cuenta: la erosión ácida dental. Este tipo de desgaste no tiene nada que ver con bacterias, sino con los ácidos que entran en contacto directo con tus dientes y los van desgastando poco a poco.

Si no se detecta y trata a tiempo, puede provocar sensibilidad, dolor y afectar la estética dental. Es un proceso lento, silencioso, que muchas veces solo se detecta cuando ya es visible o molesto. En Madrid, con tantas opciones de alimentación, bebidas y estilo de vida acelerado, este tipo de daño es más común de lo que imaginas. Y por eso, actuar a tiempo es clave. No solo implica consecuencias en el plano estético, sino también funcional y conlleva otro tipo de problemas bucales, como el aumento de la sensibilidad dental.
¿Qué es la Erosión Dental Ácida?
Si tuviéramos que definir qué es una erosión dental, a grandes rasgos, son los daños ocasionados en el esmalte de nuestra dentadura. La erosión ácida es la pérdida progresiva del esmalte dental causada por la acción directa de los ácidos químicos no bacterianos. Esto quiere decir que no es una caries provocada por placa, sino un desgaste puro y duro por sustancias ácidas que «queman» el esmalte lentamente.
La erosión dental es uno de los cuatro modelos de desgaste dental conocidos (atrición, abfracción y la abrasión). Se trata de uno de los cuatro tipos de desgaste dental junto con la abrasión, atrición y abfracción.

A diferencia de la caries, que se origina por la acción bacteriana, la erosión se debe principalmente a factores externos como la alimentación o internos como el reflujo gástrico.
Causas de la Erosión Dental Ácida
El ataque ácido, que puede provenir de una variedad de fuentes, es la causa principal de la erosión dental. La erosión dental es el proceso por el cual un ácido disuelve el esmalte y la dentina en la superficie de un diente. La estructura dental se puede perder de varias maneras.

La erosión dental causada por la comida se observó por primera vez entre los recolectores de limón sicilianos. Los ácidos son la causa de la erosión dental. Los ácidos se acumulan durante mucho tiempo en la superficie de los dientes en personas que no practican una buena higiene dental. Estos ácidos desgastan el esmalte dental con el tiempo y causan problemas graves.
Algunas de las causas más comunes incluyen:
- Alimentos y bebidas ácidas: Refrescos, zumos de frutas cítricas, bebidas energéticas o incluso el agua con gas, frutas como la piña, el limón, el kiwi, el tomate o el vinagre balsámico. Muchos alimentos contienen ácidos, que pueden contribuir a la erosión dental. Si son lo suficientemente ácidos, los alimentos y bebidas pueden disolver la estructura dental.
- Problemas gastrointestinales: El ácido presente en el jugo gástrico es responsable de ayudar a la digestión de las comidas ingeridas. El reflujo sucede cuando el jugo gástrico sale del estómago y llega al esófago y a la cavidad oral, pudiendo perjudicar a la laringe, a los pulmones y a la boca, provocando mal aliento y erosión dental. Por ello, las personas con problemas gastrointestinales, como el reflujo, son más susceptibles a la erosión dental. La erosión dental intrínseca ocurre cuando los ácidos provienen del interior del cuerpo. Otra fuente de ácido que puede disolver los dientes es la regurgitación gástrica.
- Trastornos alimenticios: Trastornos alimenticios como la bulimia también están relacionados con la erosión dental.
- Malos hábitos de higiene: Los ácidos se acumulan durante mucho tiempo en la superficie de los dientes en personas que no practican una buena higiene dental.
- Químicos ambientales: Los químicos ambientales en el aire también podrían ser una fuente de químicos corrosivos.
Síntomas de la Erosión Dental
Debido a su progreso lento y sigiloso, no es fácil detectar los síntomas de la erosión dental en su primera fase de avance.

Los síntomas de la erosión dental incluyen:
- Sensibilidad dental: Sensación dolorosa al comer o beber algo frío, caliente o dulce. Si se está desgastando el esmalte, es posible que los dientes se vuelvan más sensibles a los alimentos calientes y fríos.
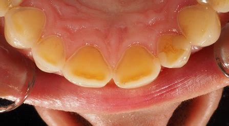
- Decoloración: Cambio de color de los dientes: Con la erosión dental se va perdiendo el blanco inicial de nuestra dentadura. Los dientes pueden parecer amarillentos, ya que la dentina (la capa que se encuentra debajo del esmalte) queda más expuesta.
- Cambios en la forma de los dientes: Dientes que se ven más pequeños, achatados o con superficies planas que antes no tenías. Los huecos en los dientes y el desgaste general de la superficie de los dientes y los bordes de mordida son signos comunes de erosión.
- Transparencia: Transparencia: los incisivos pueden parecer transparentes cerca de los bordes con los que muerdes.
- Grietas y hendiduras: Grietas y hendiduras: si el esmalte dental empieza a erosionarse, los dientes pueden presentar pequeñas grietas y hendiduras en la superficie masticatoria.
Tratamiento de la Erosión Dental
Cuando ya se tiene el diagnóstico claro es el momento de que el especialista tenga claro qué tratamiento seguir para curar la erosión dental. Los daños causados en el esmalte de los dientes son irreversibles. Lamentablemente, el esmalte no se regenera.
El tratamiento de la erosión dental depende de su gravedad. Por lo tanto, en los casos donde la pérdida de esmalte sea grande, su tratamiento será a través de restauraciones estéticas.
- Erosión leve: Para amortiguar el efecto inicial de la erosión dental sólo se deberían seguir una serie de premisas de carácter preventivo. Para amortiguar el efecto inicial de la erosión dental sólo se deberían seguir una serie de premisas de carácter preventivo.
- Restauraciones estéticas: Especialmente útil en dientes posteriores.
Erosión ácida dental por las sodas
Cómo Prevenir la Erosión Dental
Ya hemos comentado anteriormente que la erosión dental está ligada a nuestra dieta y modo de vivir. Adoptar hábitos preventivos, identificar los síntomas a tiempo y acudir al dentista regularmente son claves para evitar complicaciones.

A continuación se detallan las cosas que puede hacer para prevenir la erosión dental:
- Dieta equilibrada: Dieta sana y equilibrada, reducir al máximo alimentos ácidos y bebidas con un alto grado de azúcar. Reducir el consumo de alimentos y bebidas ácidas, como las bebidas carbonatadas y los zumos de cítricos.
- Higiene bucodental: Mantener una estricta higiene bucodental para poder eliminar los posibles restos de comida que se puedan acumular en nuestros dientes. Cepíllese los dientes antes de acostarse y al menos uno más a lo largo del día. Después de cepillarte los dientes, escúpelo para mantener el fluoruro en tus dientes por más tiempo.
- Consumir alimentos con pH básico: Consumir alimentos con Ph básico como leche, queso y yogurt así como abundante agua, para neutralizar las ingestas demasiado ácidas.
- Beber agua: Beber agua en abundancia para evitar la sequedad en la boca y así mantener unos altos niveles de saliva. El agua neutraliza y limpia la boca.
- Limitación de alimentos ácidos: Solo consuma alimentos y bebidas ácidos en las comidas. Los ataques de ácido en los dientes se reducirán como resultado de esto. Si tomas bebidas carbonatadas o zumos de frutas, acompáñalos con comida o usa una pajita para minimizar el contacto de la bebida con tus dientes. Tomar las bebidas gaseosas y los zumos de frutas con una pajita para limitar el contacto de los dientes con las sustancias ácidas. Bébelo rápido y sin agitarlo. También puede usar una pajita para llevar líquidos a la parte posterior de la boca.
- Masticar chicle sin azúcar: Después de que haya terminado su comida, mastique chicle sin azúcar. Mascar chicle sin azúcar también ayuda, ya que contribuye a que tu boca produzca más saliva para que tus dientes se recuperen de la exposición al exceso de ácido.
- Espera antes de cepillarte: ¿Eres de los que se lava los dientes justo después de tomar un zumo de naranja? Mala idea. Después de consumir alimentos o bebidas ácidas, espere al menos una hora antes de cepillarse los dientes. Espera al menos 30 minutos antes de cepillarte.
- Consulta a tu dentista: Consulta con tu dentista cuál es la mejor opción. A la menor sospecha o indicio de que algo no es normal hay que acudir de inmediato al especialista.
- Consulta a un gastroenterólogo: Un gastroenterólogo puede ayudarte a reducir la acidez estomacal si este es tu caso.
Además, el calcio que se produce de manera natural en la saliva puede ayudar a neutralizar el ácido presente en los alimentos que ingieres y protege el esmalte dental frente a la erosión. Sin embargo, si consumes alimentos o bebidas demasiado ácidos, es posible que el calcio de tu saliva no pueda desempeñar su función.
El Papel de la Saliva en la Prevención
La saliva puede ayudar a prevenir la erosión dental. La saliva es una poderosa defensa natural contra la erosión. La saliva es capaz de lavar los ácidos de la boca hacia el estómago. Neutraliza el ácido y repara los minerales dentales en las primeras etapas del ablandamiento dental.
Sin embargo, no podrá reemplazar la superficie del diente faltante.